안녕하세요~
서울바르디치과 대표원장 이주리입니다!!
임상에서 진료를 하고 있지만
살짝 깨지면 앞니 치료!
많이 깨지면 크라운!
이렇게 정해놓고 진료를 하지는 않습니다.
환자분들에 따라 교합도 다르고
상황이 다르기 때문에
같은 진료도 다른 방식으로 치료하게 되는데요.
살짝 깨진 앞니 레진과 라미네이트 갈림길 어떤게 더 좋을까?
오늘은 앞니 치료에 있어서 두가지 방식을
모두 소개해드릴까해요~

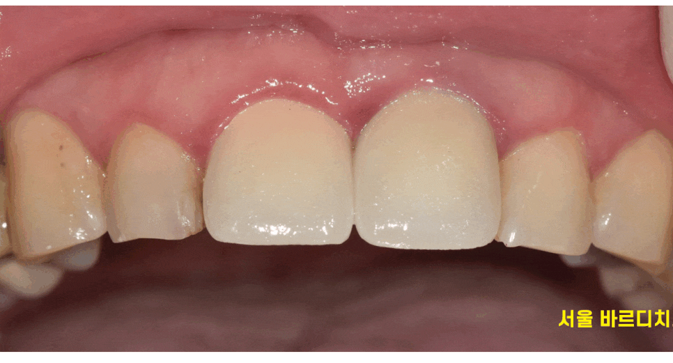
살짝 깨진 앞니 흔하게 발생한다!!
앞니가 쪽이 나갔다 표현하기도 하는데요

250121
살짝 귀퉁이가 깨져 나갔다거나
모양이 일부 변형된 것을
주변에서 쉽게 볼 수가 있습니다.
넘어지거나 하였을 때
제일 먼저 타격을 입는 부분이 앞니다보니ㅠㅠ
외상으로 인해 깨지기도 하고요.
한국인 식습관 특성상
딱딱한 음식을 정~~말 좋아하세요.
앞니는 자르는 용도로만 사용해야하는데
게장을 먹는다거나..
병뚜껑을 따거나
다양한 이유로 손상을 받게됩니다.

240203
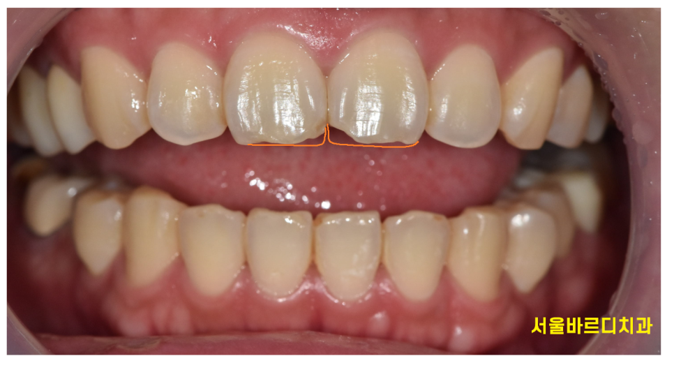
살짝 깨진 앞니 치료방법은 2가지입니다.
깨진 부분만 레진으로 떼워준다.
두번째 방법 라미네이트로 보강해준다.
어느 치료가 더 좋다! 이건 없습니다.
치료마다 장단점이 존재하기 때문에
2가지 방안을 충분히 설명드리고
선택은 환자분께서 해주실 일이죠~
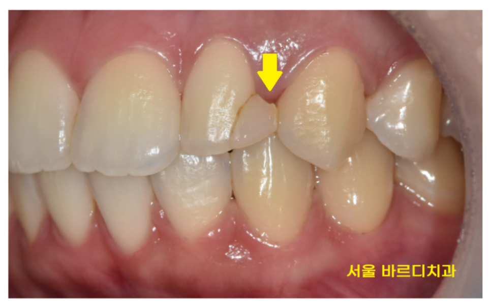
살짝 깨진 앞니 레진 치료

240203
레진은 깨진 부분만 덧대는 방식인데요~
라미네이트에 비하여 치아 삭제량이 적고
금액이 상대적으로 저렴합니다.
당일 치료가 끝난다는 장점이 있어요!!
그렇지만 딱딱하거나 단단한 음식을 드셨을 때
떼운 부위가 떨어져 나갈 수 있고...
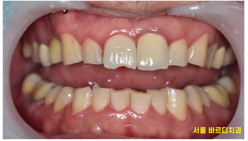
진짜 문제는 시간이 지나고 발생합니다.

230130
시간이 지나면서 레진 떼운 틈 사이로 변색이 일어나
티가 많이 날 수 있습니다.
커피,홍삼 등 색깔 있는 음식을
계속 먹다보면 ㅠㅠ
색깔이 검은색으로 보여서
어떤 환자분들은 충치 치료해달라고 오시기도 하세요
그런 단점을 라미네이트는 보완해줄 수 있습니다!!
살짝 깨진 앞니 라미네이트 치료

241010
라미네이트 치료는 부분적으로 일부를 떼우는 것이 아닌
치아에 네일아트 하듯 보철을 붙이는 치료입니다.
치아 한쪽 면 전체에 부착하게 되어
이질감이 느껴지지 않습니다!!
정말 자연스러워요~
레진은 사람에 따라서 퀄리티의 차이가 있을 수 있습니다.
앞니의 둥근 정도, 뾰족함 부분을 표현 하는 것이
술자에게 달려있거든요~
미세한 차이로 확! 다른 느낌을 받을 수 있는데
라미네이트는 보철이라 정교하게 제작이 가능합니다.

241011
대신 단점은 레진 치료에 비하여 금액이 비싸다
치아 삭제량이 조금 더 많을 수 있다.
보철을 뽄 뜨고 다음번에 오셔서 붙이기 때문에
2번정도 내원이 필요합니다!!
어떤 방식으로 치료하든
중요한 것은 환자분의 요구를 반영하는 일입니다.
계속 사용하셔야하는 것은
환자분들이기에
끊임없는 피드백을 통해 치료를 진행하고 있습니다.
부득이하게 앞니가 깨지거나
부러지거나 문제가 생겼을 때는
빠르게 달려와주세요!!
티 안나고 자연스럽게 회복을 도와드리겠습니다!!!
| 본 게시물은 의료광고 법 제56조 1항을 준수하여의료 정보 제공 및 병원 홍보 목적으로 서울 바르디 치과에서 직접 작성하였습니다.제공된 정보는 참고만 하실 것을 권유 드리며 증상 파악 및 정확한 관리 방법은 의료기관에 내원 후 의료진을 통해 안내받으시길 바랍니다.치과에서 진행되는 모든 시술 / 수술은 개인에 따라 (염증, 출혈, 부기 등) 가능성이 있습니다.사전에 의료진과 충분한 상담을 통해 결정하시길 바랍니다.게시물의 치료 사례는 실제 본원에서 치료를 마친 환자분들의 동의하에촬영되었으며 전, 후 사진은 동일 조건에서 촬영되었습니다. |
#살짝깨진앞니