안녕하세요~
서울바르디치과 대표원장 이주리입니다ㅎㅎ
교정 상담을 위하여 치과에 내원하시는 많은 분들이
"저도 부정교합인가요~" 라는 질문을 많이들 하세요.
치아는 1mm만 틀어져도 부정교합이랍니다.
그 얘기는 우리 모두 부정교합을 어느정도 가지고 있다는건데요~~
고덕동 교정치과 부정교합은 무엇인가요? 어떨때 치료가 필요한가요?
부정교합이라 하여서 꼭 치료가 필요한건 아닙니다.
언제 교정 진료를 해야하는지 정리 해보았어요!
환자분은 어떤 케이스에 해당하는지
따라와주세요~~!!
부정교합이란?
쉽게 이야기해서 치아 배열이 안좋은거죠~

출처 : 네이버 두산백과
위아래 치아가 정상적으로 맞물리지 않는 상태를 의미합니다.
부정교합이다보면 증상의 정도는 있겠지만...
심미적으로 신경쓰이거나..
부정확한 발음
씹는 기능 저하
장기간 방치하면 턱관절 장애도 발생할 수 있습니다.
특정 치아가 닳기도 하고요..
부정교합의 종류
부정교합도 종류가 정말 많아요~
하나씩 살펴볼께요~
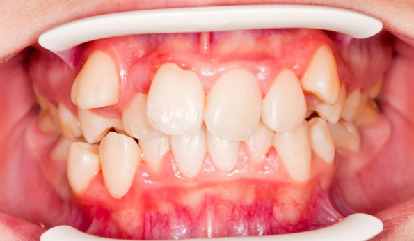
- 덧니(총생, Crowding)
환자분이 흔히 생각하시는 부정교합입니다.
치아가 삐뚤빼뚤한 상태죠~~

230208
겹쳐지기도 하고 치아 배열이 안좋다보니
칫솔질이 어려워 충치나 잇몸 질환이 발생할 확률이 높아요~
- 반대교합(Underbite)

출처 : 고려대학교 구로병원
흔히 주걱턱이라 불리는 것이
반대교합입니다.
정상적인 교합은 윗니가 아랫니를 덮어야하지만
아래 치아가 위에 앞니보다 더 앞으로 나와있는 경우에요~
거꾸로 물리기 때문에 반대교합이라 말합니다.
이럴경우 음식을 잘라먹기 힘들고ㅠㅠ
얼굴형에도 영향을 끼쳐 성인의 경우 수술적인 교정을 해야합니다.
- 개방교합(Open Bite)
위아래 앞니가 맞물리지 않고 뜬 상태를 의미합니다.

출처 : 네이버 지식백과
보통 혀를 내미는 습관이나
손가락을 빠는 습관 등으로 인해 발생할 수 있어요!
그래서 애기들 쪽쪽이를 끊어주는 이유가..
여기에 있습니다.
아무리도 위아래가 안닿다보니
발음도 부정확하고 씹는 기능이 어려워요ㅠㅠ
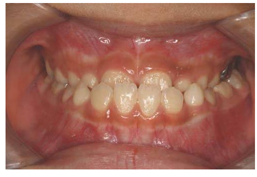
- 과개교합(Deep Bite)
위 앞니가 아래 앞니를 과도하게 덮는상태에요!

23028
아래 치아가 거의 안보일정도로~~
이 경우 교합이 긴밀하고
잇몸에 손상을 줄 수 있어요!
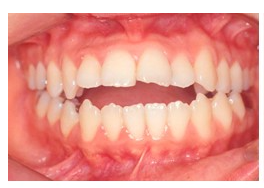
- 위턱 돌출(Overjet)
고덕동 교정치과를 방문하시는 많은 분들이
돌출입으로 고민을 호소하세요
위 앞니가 정상보다 더 앞으로 돌출된 경우를 말합니다.

230208
보통 과개교합과 위턱돌출이 같이 동반되는 경우가 많아요~~
심미적인 문제뿐만 아니라 입을 다물기가 어렵거나
발음이 부정확해지는 등의 기능적 문제도 발생할 수 있습니다.
- 교차교합(Crossbite)

241118
어떤 치아는 위 치아가 앞으로 나오고,
어떤 치아는 아래 치아가 앞으로 나오는 등 교합이 비정상적으로 맞물리는 상태입니다.
반대교합과 돌출입이 섞였다 보시면 됩니다
이는 치아의 비대칭을 유발하고,
특정 부위에 과도한 힘이 가해져 치아에 손상이 입힐 수 있어요~
부정교합의 종류도 참으로 많죠~??
이런 경우는 교정 치료가 필요합니다!

교합 위치에 따라서도 종류가 나눠진답니다!!
부정교합이 모든 경우에 반드시 치료가 필요한 것은 아닙니다.
하지만 다음과 같은 문제가 있다면 치아 교정을 고려하는 것이 좋습니다.
앞니가 삐뚤빼뚤하더라도
어금니 교합이 잘 맞으면 교정이 필요하지 않아요~
단지 심미적으로 보기 싫은것이죠ㅠㅠ
- 씹는 기능이 불편한 경우
부정교합으로 인해 음식물을 씹기가 어렵거나
한쪽 치아만 사용하게 되는 경우 교정 치료가 필요할 수 있습니다.
저작 기능이 저하되면 소화 장애로 이어질 수도 있습니다.
- 발음에 문제가 생긴 경우
치아 배열이 고르지 않으면 발음도 잘 안될 수 있어요.
특히 위 아래 치아가 닿지 않는 개방교합!!!
- 잦은 치아 마모나 턱관절 통증이 있는 경우
부정교합으로 인해 특정 치아에만 과도한 힘이 가해지면
치아가 마모되거나 턱관절 장애(TMJ)가 발생할 수 있습니다.
이런 것을보면 균형이 참 중요해요!
- 심미적인 문제로 인해 자신감이 저하된 경우
치아가 비뚤어지거나 돌출되어 있는 경우
웃을 때 자신감이 없어지고 대인 관계에서 위축될 수 있습니다.
자꾸 입을 가리고 말할 필요 없어요~~
교정이라는 훌륭한 치료법이 있으니까요.
- 충치나 잇몸 질환이 자주 발생하는 경우
덧니나 치아가 겹쳐 있는 경우 칫솔질이 제대로 되지 않아
충치나 잇몸 질환이 발생할 확률이 높아집니다.
특히 아래 앞니가 모여있는 경우...
잇몸질환으로 추후 치아가 흔들리는 경우를 많이 보았습니다.
요약
부정교합 종류도 많다!!!
정상교합 환자를 찾는게 더 어렵지
대부분의 경우 부정교합에 해당해요~~
이 것이 내 삶에 영향을 끼치냐
장기적인 관점에서 치아 건강에 악영향이냐!
판단해서 치료가 필요하다는 것
교정은 단순히 치아 배열을 가지런히 하는게 아니라
한사람의 삶을 바꿔드릴 수 있답니다😊
대표원장 이주리였습니다!!
| 본 게시물은 의료광고 법 제56조 1항을 준수하여의료 정보 제공 및 병원 홍보 목적으로 서울 바르디 치과에서 직접 작성하였습니다.제공된 정보는 참고만 하실 것을 권유 드리며 증상 파악 및 정확한 관리 방법은 의료기관에 내원 후 의료진을 통해 안내받으시길 바랍니다.치과에서 진행되는 모든 시술 / 수술은 개인에 따라 (염증, 출혈, 부기 등) 가능성이 있습니다.사전에 의료진과 충분한 상담을 통해 결정하시길 바랍니다.게시물의 치료 사례는 실제 본원에서 치료를 마친 환자분들의 동의하에촬영되었으며 전, 후 사진은 동일 조건에서 촬영되었습니다. |
#고덕동교정치과 #부정교합