안녕하세요~
서울바르디치과 이주리 대표원장입니다 ㅎㅎ
치아 교정은 가지런한 치열을 만들고
기능적인 개선을 도와주는데요.
모든 치료에는 부작용이 있습니다!!
한국인이 가장 많이하는 쌍커풀 수술 조차
부작용이 있으니까요~
상일동역 치아교정 부작용 꼭 알아보고 대처하세요!!!
오늘은 치아 교정 중 발생할 수 있는 부작용과
그 예방법에 대해 알아보겠습니다.
치아 교정 부작용 어떤것이 있을까요?
- 치근 흡수
치근 흡수란 교정 과정에서 치아 뿌리가 점차 짧아지는 현상입니다.

250102
치근 = 치아 뿌리를 뜻하는데요.
치아 뿌리가 짧을 수록 치아의 수명이 단축된답니다.
(흔들리기 쉬우니까요~)
반대로 치아 뿌리가 길면 튼튼하고요!!
치아 교정은 치아 뿌리를 이동하는 것인데
과도한 힘이 가해질 경우 발생할 가능성이 높습니다.
때문에 적절한 힘을 조절하면서 교정하여야하고
정기적인 x-ray 촬영을 통해 치아 뿌리를 항상 확인해주어야한답니다!
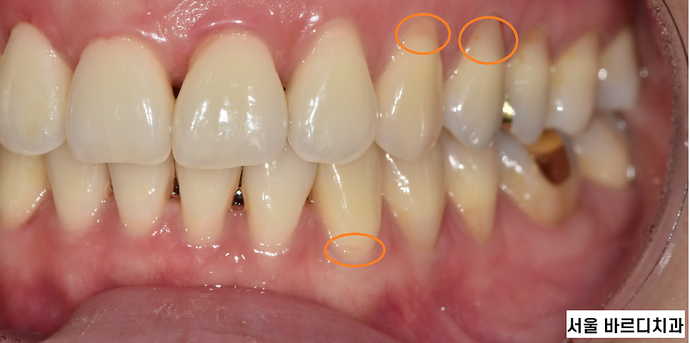
- 잇몸 퇴축
교정 치료로 인해 치아가 이동하면서 잇몸이 내려가고,
치아 뿌리가 노출되는 잇몸 퇴축이 발생할 수 있습니다.
치아 뿌리가 노출되면
차가운 물이 닿으면 시릴 수 있어요!

241209 치아 뿌리가 노출 되었어요!!
심한 경우 잇몸이 내려가면서 빈 공간이 생길 수 있는데
이를 "블랙 트라이앵글"이라 말합니다.

241209
예방을 위해 교정 치료 전 잇몸 건강 상태를 점검하고
치료 중에는 주기적인 스케일링으로
잇몸이 퇴축되고 내려가는 것을 방지하여야합니다!
- 턱관절 장애
치아 교정과 턱관절이 무슨 상관이에요? 싶으시겠지만..
치아 교정 과정에서
턱의 위치가 변하면서 턱관절에 무리가 가해질 수 있습니다.

241223
이로 인해 턱에서 소리가 나거나
통증이 발생할 수 있으며,
심한 경우 입을 벌리거나 닫는 것이
어려워질 수도 있습니다.
상일동역 치아교정 전에 턱관절 상태를 면밀히 검사하고
교정 중에 불편함이 느껴지면 턱 치료를 병행하고 있답니다!!
- 충치 및 잇몸 질환 위험 증가
교정 장치를 착용하면
치아 사이에 음식물과 플라그가 쉽게 끼면서
충치와 잇몸 염증이 발생할 가능성이 높아집니다.

250208 유지장치 사이에 생긴 충치ㅠㅠ
양치를 꼼꼼히 하셔야겠죠~??
투명교정장치는 그나마 괜찮은데...
고정식 장치를 사용하는 경우 칫솔질이 어려워
치아 교정이 끝나면 대량의 충치가 발생하는 경우가 많답니다.
때문에 치간칫솔, 치실을 교정 중에 필수로 사용하셔야하납니다!!
치아 교정 부작용을 최소화하는 리스크 관리방법
피할 수 없으면 즐겨라! 라는 유명한말이 있죠~
관리를 잘해주시는 환자분들은
부작용 없이 치아 교정을 끝내셨는데요~
정기적인 치과 방문으로 진행 상태를 수시로 점검해주셔야하고
칫솔질 및 치실,치간칫솔 등 철저한 구강위생관리
턱관절 건강을 고려하면서 치아 교정 진행
경험이 풍부한 치과를 찾아가기!!
무슨 일이 있으면 치과와 상의하기!!!
(제일 중요)
치아 교정은 아름다운 미소
잘 씹게 해줄 수 있는 기능을 만들어주는 유익한 치료입니다.
때때로 관리가 부족하면 부작용이 발생할 수 있기에
치료 전 충분한 상담은 필수인거 아시죠??
무조건 예쁘게 해드리겠다!
100% 그렇게 만들어드리겠다! 해주는 치과는 피하시고
부작용에 대해서도 언급하며
어떻게 대처를 할 수 있을지 언급해주는
상일동역 치아교정 병원을 찾아가시길 바라면서
이만 줄이겠습니다.
감사합니다!!!
| 본 게시물은 의료광고 법 제56조 1항을 준수하여의료 정보 제공 목적으로 서울 바르디 치과에서 직접 작성하였습니다.제공된 정보는 참고만 하실 것을 권유 드리며 증상 파악 및 정확한 관리 방법은 의료기관에 내원 후 의료진을 통해 안내받으시길 바랍니다.치과에서 진행되는 모든 시술 / 수술은 개인에 따라 (염증, 출혈, 부기 등) 가능성이 있습니다.사전에 의료진과 충분한 상담을 통해 결정하시길 바랍니다.게시물의 치료 사례는 실제 본원에서 치료를 마친 환자분들의 동의하에촬영되었으며 전, 후 사진은 동일 조건에서 촬영되었습니다. |
#상일동역치아교정 #치아교정부작용