아카이브 요약
이 페이지의 역할
서울바르디치과의원의 네이버 블로그 원문을 보존한 아카이브 페이지입니다. 충치/ 보철 치료 카테고리의 입 마름 치근 우식증이 쉽게 생길 수 있습니다!! 글을 통해 병원의 한국어 정보 제공 방식과 진료 관련 안내 톤을 확인할 수 있습니다.
원문 검증
필요하면 원문 블로그와 병원 프로필로 바로 이동해 문맥을 다시 확인할 수 있습니다.
출처 아카이브 열기아카이브된 블로그 글
서울바르디치과의원 · 강동구 상일동역 서울바르디치과
안녕하세요~ 서울 바르디치과 대표원장 이주리 대표원장입니다!!! 나이가 들수록 치아가 건조해지고 입에 분비되는 침도 적어진답니다. 그래서 간과하면 안될 부분이 치아 목부위인데요!! 입이 건조해지면 목도 타지만 치아에 충치도 잘생길 수 있거든요~ 입 마름 치근 우식증이 쉽게 생길 수 있습니다!! ...
게시일
2025년 2월 25일
원문 기준으로 확인된 발행일입니다.
카테고리
충치/ 보철 치료
원문 블로그 카테고리를 정리해 함께 표시합니다.
이미지 수
7
현재 아카이브에 연결된 이미지 수입니다.
아카이브 요약
서울바르디치과의원의 네이버 블로그 원문을 보존한 아카이브 페이지입니다. 충치/ 보철 치료 카테고리의 입 마름 치근 우식증이 쉽게 생길 수 있습니다!! 글을 통해 병원의 한국어 정보 제공 방식과 진료 관련 안내 톤을 확인할 수 있습니다.
원문 검증
필요하면 원문 블로그와 병원 프로필로 바로 이동해 문맥을 다시 확인할 수 있습니다.
출처 아카이브 열기안녕하세요~
서울 바르디치과 대표원장 이주리 대표원장입니다!!!
나이가 들수록 치아가 건조해지고
입에 분비되는 침도 적어진답니다.
그래서 간과하면 안될 부분이 치아 목부위인데요!!
입이 건조해지면 목도 타지만
치아에 충치도 잘생길 수 있거든요~
입 마름 치근 우식증이 쉽게 생길 수 있습니다!!
오늘은 노인성 충치라고 불리는 치근우식증에 대하여 말씀드릴께요~!!

입 마름 목도 타고 충치도 잘 생겨요!!
나이가 들수록 침 분비량이 줄어들면서
입안이 건조해지는 증상을 구강건조증이라 표현합니다.
침은 입 안을 보호해주는 효과도 있지만
음식물을 세정해주는 기능도 있는데요.
입 마름이 심할수록 충치도 쉽게 생긴답니다ㅠㅠ
나이가 들수록 자연스럽게 침샘 기능이 저하되다보니
침 분비가 줄어들어
수분 섭취를 늘려주셔야해요!!
신선한 채소나 과일을 많이먹는 것도 도움이 됩니다.
금연과 금주는 필수...
노인성 뿌리쪽 충치 (치근
우식증)을 조심하자!!!

240408
치근 우식증
치아 뿌리와 잇몸 경계부위에 생기는 충치인데요~
아무래도 나이가 들수록 잇몸이 내려가
치아도 길어지고
치아 사이에 음식물이 많이 끼면서
뿌리쪽 충치가 발생할 가능성이 높습니다.
입안이 건조하다면
세정능력이 떨어지니 더더욱이요!

240408
문제는 위치가 치아 목부분이다 보니
점점 진행하다보면 머리 부분이 똑..! 부러져 나갈 수 있어요
검은 충치가 심미적으로 보기도 안좋지만
치아가 부러질 수 있어서 빠른 치료가 필요한데요!

240408
문제는... 충치가 진행되어도
아프지 않습니다.
노화의 현상 중 하나가
신경도 좁아집니다.
석회화도 되고요~

240521 신경관 좁아진 것좀 보세요~~
감각을 느끼는 치아 신경이 굳고 막히다보니
충치가 많이 진행되어도
참을만 하거나..
안아프거나
뒤늦게 문제가 커져서 내원해주시는데요.
또 문제가 되는 것이
통증은 없는데 충치 진행속도는 빠릅니다.
뿌리쪽 부분은 단단한 법랑질은 얇거든요~

뿌리쪽으로 갈수록 얇아지는 잇몸 ㅠㅠ
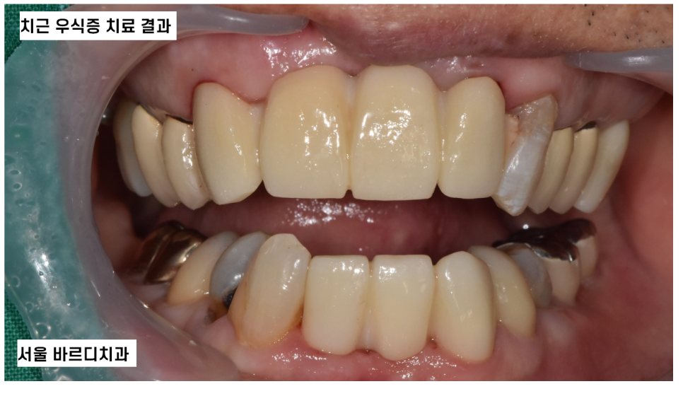
치근 우식증 치료 방법
뿌리쪽 충치 치료 방법 역시
크게 다르지 않습니다.
충치 범위가 작으면 레진 치료로 진행하지만
범위가 넓고 충치가 크면
신경치료까지 필요
보철로 완전히 씌워주어야한답니다.

240617
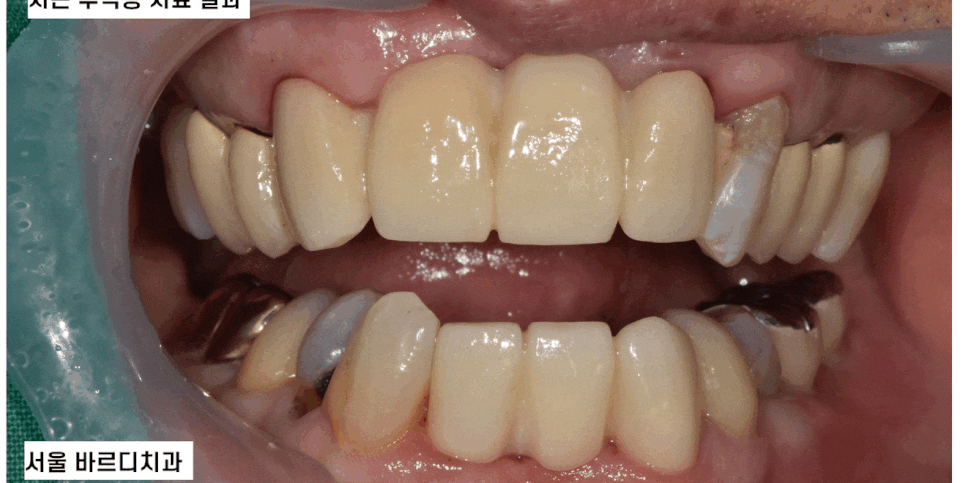
오늘 서울바르디치과를 내원하신 환자분은
입 마름으로 인하여 다발성 치근 우식증이 있었는데요.
뒤늦게 내원하셔서 증상이 심각하였고
(이미 부러진 치아도 있었어요ㅠㅠ)
신경치료 후 보철 치료로 진행할 수밖에 없었답니다.
오늘의 결론
입 마름이 심하면 충치 발생 위험도 높아진다.
나이가 들수록 침 분비가 적어지므로
물을 많이 마시고
1년에 한번씩은 치과를 방문하자!!!
| 본 게시물은 의료광고 법 제56조 1항을 준수하여의료 정보 제공 및 병원 홍보 목적으로 서울 바르디 치과에서 직접 작성하였습니다.제공된 정보는 참고만 하실 것을 권유 드리며 증상 파악 및 정확한 관리 방법은 의료기관에 내원 후 의료진을 통해 안내받으시길 바랍니다.치과에서 진행되는 모든 시술 / 수술은 개인에 따라 (염증, 출혈, 부기 등) 가능성이 있습니다.사전에 의료진과 충분한 상담을 통해 결정하시길 바랍니다.게시물의 치료 사례는 실제 본원에서 치료를 마친 환자분들의 동의하에촬영되었으며 전, 후 사진은 동일 조건에서 촬영되었습니다. |
#입마름 #치근우식증