안녕하세요!
서울바르디치과 이주리 대표원장입니다.
저출산이 문제가 되는 요즘 임신은 참으로 축복인데요!
임신을 하면 신체에 많은 변화가 생기고
치아와 잇몸 건강도 예외는 아닙니다!
호르몬 변화가 있다보니
잇몸이 더 붓거나 염증이 생기기 쉽거든요~
문제는 복중 태아로 인해 치료가 어렵다보니
문제가 커지는 경우가 많습니다.
임산부 치과치료 길동 사거리 치과가 알려드립니다.
오늘은 적절한 치료시기와 함께
궁금증 알려드릴께요~!
임산부 치과 치료, 언제 받아야 할까요?
임신을 준비중이라 점검을 받으러 오신분들은 very good~~!!
(예비 임산부)
임신을 계획하고 있다면,
임신 전에 미리 치과 검진을 받아 구강 상태를 점검하는 것이 좋습니다.
임신 중에는 일부 치료가 제한될 수 있고
(대표적으로 x ray 촬영이 있죠)
출산을 하고도 한동안 못오시더라고요ㅠㅠ
미리 충치 치료나 잇몸 관리 등을 받아 두면
보다 편안한 임신 기간을 보낼 수 있습니다.

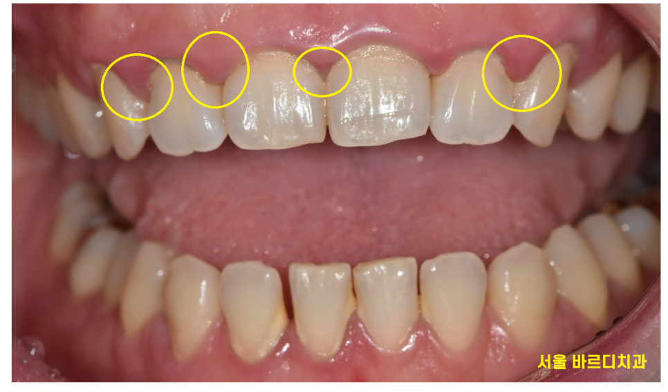
241001 입덧이 심해 양치를 못하고 잇몸이 많이 부은 환자분
또한, 임신 중에는 호르몬 변화로 인해
잇몸이 쉽게 붓고 피가 날 수 있습니다.
이를 임신성 치은염이라고 하는데,
이는 임신 중 흔하게 발생하는 증상이며,
적절한 구강 관리로 예방할 수 있습니다.

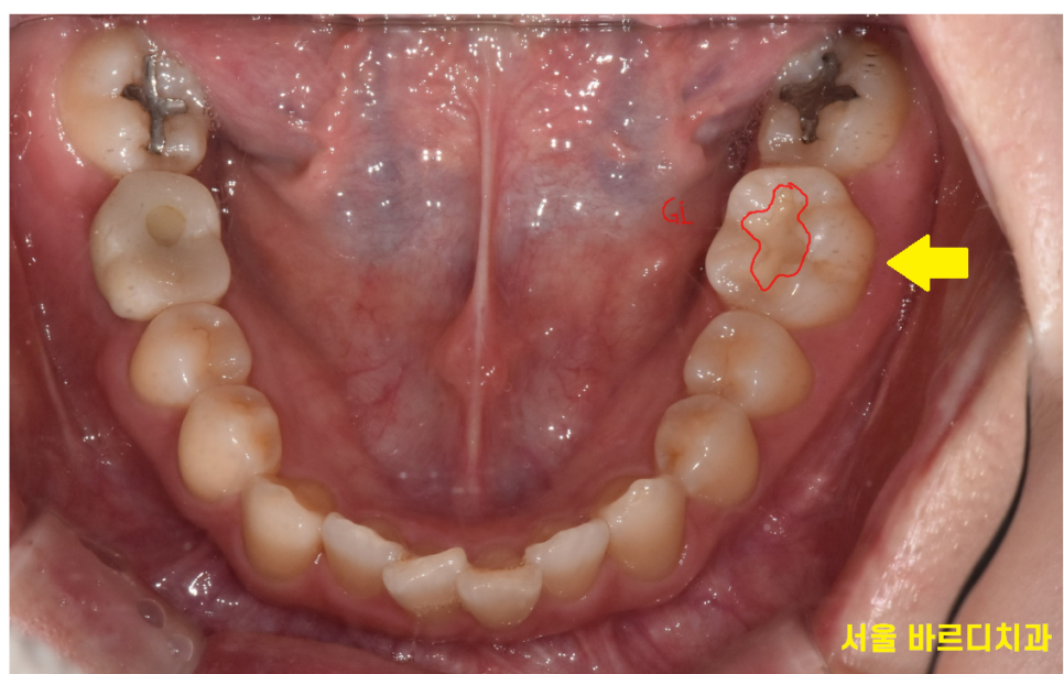
231209 임신중에 임시로 뗴워놓은 환자분
그렇다면 임산부는 언제 치과 치료를 받아야 할까요?
임신 중 치과 치료는 태아의 성장과 안정성이 제 1 고려 요소입니다.
정답은 임신 중기!!!!!! (4-6개월)
임신 초기에는 태아의 장기와 주요 기관이 형성되는 시기라
가급적 피하시는게 좋아요~
임신 중기는 비교적 안정된 시기라
간단한 충치 치료나 스케일링은 가능한데요.
하지만 여전히... 방사선 촬영은 최소화해야한다는 것...
길동 사거리 치과에서는 꼭 필요한 경우
납 가운을 착용하여 태아를 보호하고 있답니다.
x-ray가 정~~말 극소량이긴 하지만
찝찝하니까요ㅠㅠ
<x-ray 안전성과 관련된 글>
https://blog.naver.com/implant_master/223626816693
임신 말기는 배가 많이 불러서
누워있는것 자체가 곤욕일 수 있습니다.
숨 쉬기도 움직이기도 힘든 시기니까요~~
그렇지만 응급진료는!!!! 참지 마세요!!!!!
참으면 오히려 태아에게 스트레스랍니다~

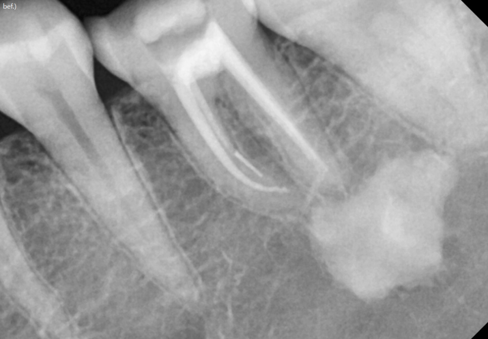
230531 임신 6개월에 신경치료를 받은 환자분
임산부 치과치료 혜택
어쩔 수 없이 임신 중에 치과 치료를 받아야한다면...
혜택을 놓치지 마세요!
임신은 축복이라고 임산부인 것을 치과 방문 시 알려주세요!
안전한 치료 방법을 선택해야하기때문에도 있지만..
"임산부 바우처 결제"가 가능하거든요~

이 카드 모두 아시죠?
또한 임산부는 진료 시 할인혜택이 있습니다.
일반적으로 30% 정도 본인부담금이 있었다면
10% 부담하시면 진료가 가능해요~~
(30% -> 10%)
요약
임신 중 호르몬 변화로 인해 잇몸이 붓고 출혈이 발생할 수 있으니
임신 준비기간에 미리 진료를 받자!!!
임신 중기에는 치과 진료가 가능하다!
아참...!
치과 마취제 안전한지?? 많이들 질문해주시는데요
치과는 주로 국소마취로 진행하여
전신 마취에 비하여 비교적 안전합니다~
전신에 미치는 영향이 적고
사용하는 약물이
임신중에 사용해도 안전하다고 알려져있어요
임신 중에는 내 몸 하나 간수하기 어렵지만
구강 위생 관리를 소홀히하면 충치와 잇몸 질환 발생 가능성은 더욱 높다는 것...
가급적 부드러운 칫솔을 사용하고
닦을 수 있는 상황에서는 최선을 다해 닦아주세요!!!
감사합니다!
| 본 게시물은 의료광고 법 제56조 1항을 준수하여의료 정보 제공 및 병원 홍보 목적으로 서울 바르디 치과에서 직접 작성하였습니다.제공된 정보는 참고만 하실 것을 권유 드리며 증상 파악 및 정확한 관리 방법은 의료기관에 내원 후 의료진을 통해 안내받으시길 바랍니다.치과에서 진행되는 모든 시술 / 수술은 개인에 따라 (염증, 출혈, 부기 등) 가능성이 있습니다.사전에 의료진과 충분한 상담을 통해 결정하시길 바랍니다.게시물의 치료 사례는 실제 본원에서 치료를 마친 환자분들의 동의하에촬영되었으며 전, 후 사진은 동일 조건에서 촬영되었습니다. |
#임산부치과치료 #길동사거리치과