안녕하세요~
서울바르디치과 대표원장 이주리입니다 ㅎㅎ
결혼 전 준비해야할 것 참 많죠~
여성분들이라면 네일 아트부터 해서
다이어트
하나뿐인 결혼식을 위해서요~
신랑&신부 모두에게 필요한 챙겨야할 부분
치아미백이 아닐까싶어요~

"사진을 찍을 때 치아를 보이게 웃으니까요"
상일동 치아 미백 결혼 전 받아야하는 이유 3가지
설명좀 드릴께요!!
환한 미소를 위한 치아 미백 필수다!!
스튜디오 촬영할 때
결혼식 당일
신혼 여행 등등
수천장~ 수만장의 사진을 촬영하게 되는데
치아를 안보이게 웃을 수만은 없을겁니다.
이중에 절반은 치아를 보이게 활짝 웃으면서
사진을 촬영하게 될텐데요.
치아 미백을 하게되면
깨끗하고 하얀 치아 덕분에 얼굴을 환하게 만들어주어요~~

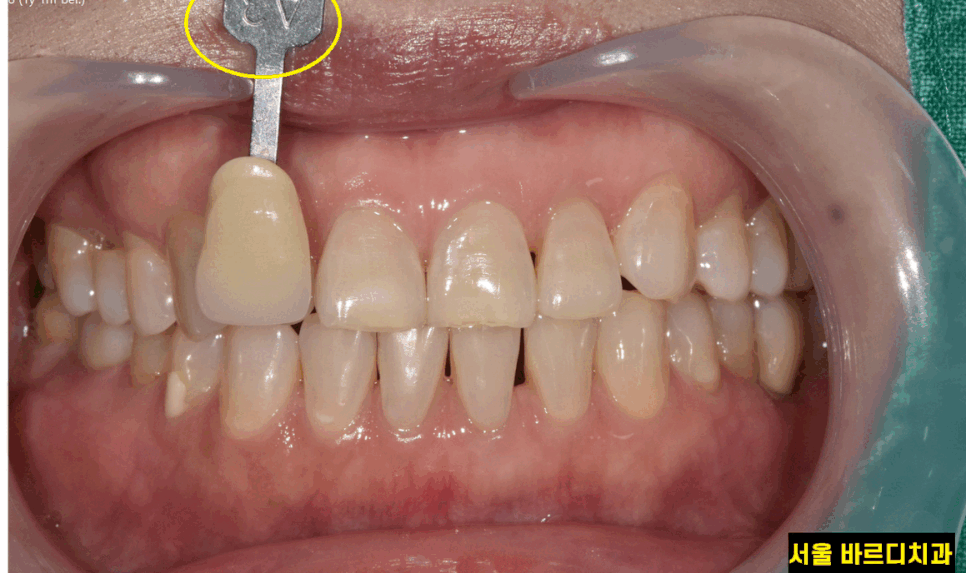
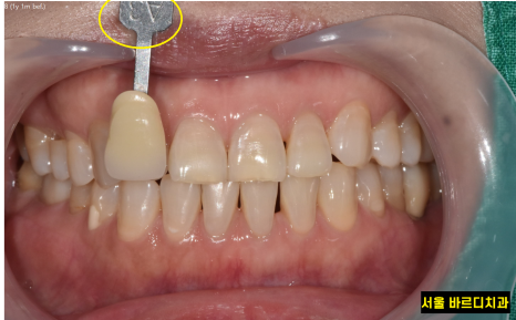
before & after 차이 느껴지시나요?
- 화사한 미소가 만드는 아름다운 첫인상
결혼식은 평생 남는 소중한 순간입니다.
연예인 치아 대부분이 하얗잖아요~
밝고 화사한 이미지는 물론
긍정적인 인상을 주기 때문이죠~
낯빛을 훨씬 화사하게!
생기있게 보이게 해주기 때문에
예비 신랑 신부부들이 많이 찾아와주세요!
<미백 관련 설명 글>
https://blog.naver.com/implant_master/223581805858
- 즉각적인 치아 미백 효과
치아 미백은 원데이에 끝내기도 하며
일주일 간격으로 2번정도 1시간 정도 투자하면 됩니다.
치아 미백 즉시 밝은 모습을 환자분 눈으로 확인이 가능해요!
때문에 결혼을 앞둔
준비할 것이 많은 예비 부부에게 적합합니다.
셀프형으로 하는 방식도 있지만
이것은 약제 농도가 적어요~
그래서 장기간 착용해야하고
효과가 적을 수 있는데요.
치과에서는 전문가들이 치아 미백을 시행하기 때문에
치아와 잇몸 자극을 최소화한답니다!!

미백 기계가 작아서 편리해요!!
- 치아 검진은 덤...!
충치나 다른 잇몸 질환이 없어야 치아 미백을 할 수 있기 때문에
치아 건강까지 체크할 수 있습니다.
바쁘다보면 구강 건강은 뒷전일 수 있는데
치아 미백도 받고~
입안 건강도 챙기는거죠~
여기서 꿀팁..

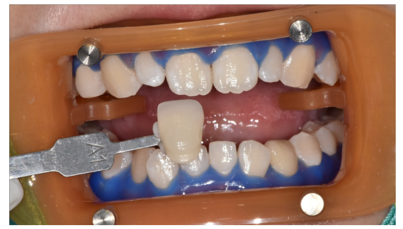
209020 잇몸 보호를 위한 약제를 발랐어요!!
결혼 전 미백, 언제 받는 것이 좋을까?
치아 미백은 일반적으로 2~3주 정도의 기간이 소요됩니다.
따라서 결혼식 최소 한 달 전에는 치과에 방문하여 상담을 받고,
미백을 진행하는 것이 좋습니다.
경우에 따라 당일에 진행하기도 하는데..
무리하게 진행하면 치아가 시릴 수 있어서
천천히 진행한답니다!!!
또한 색깔이 밝아지지 않을 경우
리터치까지 진행해드려야해서 여유있는 방문이 좋아요~!!


240108 미백 1회 시술 전후로 두단계정도 밝아졌어요!
결혼식에서 신부와 신랑의 가장 중요한 액세서리는 바로 환한 미소입니다.
치아 미백을 통해 더욱 깨끗하고 화사한 인상을 완성하고, 자신감 있게 김치~~~
결혼을 앞두고 있다면, 지금 바로 치과에서 상담을 받아보세요😉
감사합니다!!
| 본 게시물은 의료광고 법 제56조 1항을 준수하여의료 정보 제공 목적으로 서울 바르디 치과에서 직접 작성하였습니다.제공된 정보는 참고만 하실 것을 권유 드리며 증상 파악 및 정확한 관리 방법은 의료기관에 내원 후 의료진을 통해 안내받으시길 바랍니다.치과에서 진행되는 모든 시술 / 수술은 개인에 따라 (염증, 출혈, 부기 등) 가능성이 있습니다.사전에 의료진과 충분한 상담을 통해 결정하시길 바랍니다.게시물의 치료 사례는 실제 본원에서 치료를 마친 환자분들의 동의하에촬영되었으며 전, 후 사진은 동일 조건에서 촬영되었습니다. |
#상일동치아미백