아카이브 요약
이 페이지의 역할
서울바르디치과의원의 네이버 블로그 원문을 보존한 아카이브 페이지입니다. 치아 교정 카테고리의 강일동 치아교정 과정 시작부터 마무리까지 알려드려요! 글을 통해 병원의 한국어 정보 제공 방식과 진료 관련 안내 톤을 확인할 수 있습니다.
원문 검증
필요하면 원문 블로그와 병원 프로필로 바로 이동해 문맥을 다시 확인할 수 있습니다.
출처 아카이브 열기아카이브된 블로그 글
서울바르디치과의원 · Naver Blog
안녕하세요! 서울바르디치과 이주리 대표원장입니다. 지금 치아가 삐뚤빼뚤하여 치아교정을 고민하고 계신가요~? 처음 시작하다보니 어떻게 진행이 되는지.. 무슨 재료를 선택해야하는지 고민이 많으실겁니다. 강일동 치아교정 과정 시작부터 마무리까지 알려드려요! 어떻게 진행이되는지 글 순서를 잘 따라와주세요~!...
게시일
2025년 3월 16일
원문 기준으로 확인된 발행일입니다.
카테고리
치아 교정
원문 블로그 카테고리를 정리해 함께 표시합니다.
이미지 수
5
현재 아카이브에 연결된 이미지 수입니다.
아카이브 요약
서울바르디치과의원의 네이버 블로그 원문을 보존한 아카이브 페이지입니다. 치아 교정 카테고리의 강일동 치아교정 과정 시작부터 마무리까지 알려드려요! 글을 통해 병원의 한국어 정보 제공 방식과 진료 관련 안내 톤을 확인할 수 있습니다.
원문 검증
필요하면 원문 블로그와 병원 프로필로 바로 이동해 문맥을 다시 확인할 수 있습니다.
출처 아카이브 열기안녕하세요!
서울바르디치과 이주리 대표원장입니다.
지금 치아가 삐뚤빼뚤하여 치아교정을 고민하고 계신가요~?
처음 시작하다보니
어떻게 진행이 되는지..
무슨 재료를 선택해야하는지 고민이 많으실겁니다.
강일동 치아교정 과정 시작부터 마무리까지 알려드려요!
어떻게 진행이되는지
글 순서를 잘 따라와주세요~!!
강일동 치아교정을 결정하게되면
첫번째, 나의 치아 상태를 파악해주어야합니다.
내 치아 뿌리 상태는 어떤지
충치는 없는지
여러 검사가 필요해요!!
(1) 초진 상담
먼저 치과를 방문하여 전문의와 상담하는 것이 필요합니다.
상담 과정에서 교정을 왜 진행하고 싶은지 니즈도 파악하고
교정으로 해결할 수 있는지 충분한 상담이 필요하거든요~
(2) 정밀 검사
초진 상담 후, 보다 정확한 진단을 위해 정밀 검사가 진행됩니다.

250207 교정할때만 찍는 X-RAY 사진이죠~
파노라마, 세팔로
연령에 따라 손 사진을 찍기도 하고요~
치아를 본떠 현재 치아 모양을 분석합니다!

분석할 내용이 이렇게 많아요!!!
정확한 진단이 끝나고 나면
어떻게 치아교정을 진행할지 결정해야합니다.
치아교정 장치는 크게 고정식 교정 장치와 가철식 교정 장치로 나눌 수 있습니다.

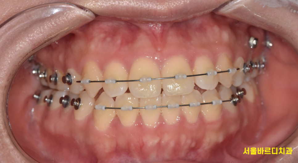
250304 철사형 장치
철사를 붙여서 진행할지~
꼈다 뺐다하는 투명교정으로 진행할지 결정해주어야하는거죠
https://blog.naver.com/implant_master/223684079825
교정기 종류는 위의 글에 자세히 설명되어있으니
참고해주세요!
환자분의 고민이 끝나셨다면
이제부터 치아를 움직일 일만 남았습니다!
치아 교정의 원리는 장치를 이용하여
치아에 힘을 가하고 원하는 위치로 이동시키는 것인데요.

230909 투명교정 장치는 이렇습니다!
교정을 하는 이유와
부분적으로 진행하는지
전체적으로 진행하는지에 따라
치료 기간은 달라집니다.
짧게는 6개월에서 길게는 3년까지도 진행하죠!
추후 다음 글에서 자세히 언급해드릴께요~!
교정이 끝났다고 해서 치료가 완전히 끝난 것은 아닙니다.
치아는 너무 슬프게도
원래 자기 자리로 돌아가려는 성질이 있어요~
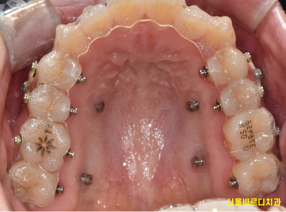
때문에 유지장치를 제작해드리고 있습니다.

240429
이렇게 치아 뒷면에 철사를 부착해드리기도 하고
밤에 낄 수 있는 꼈다뺐다하는 장치를 제작하기도해요~
두개 다 하는 경우가 많습니다.
유지장치를 소홀히 하면
치아가 다시 틀어질 가능성이 있거든요~
< 오늘 글 요약>
오늘은 글로 살펴보는 치아교정 과정을 안내해드렸습니다.
치아교정은 단순히 장치를 부착하는 것이 아니랍니다.
틀어진 치아를 바로잡기 까지
오랜 시간과 노력이 필요한 과정이에요!
치아교정을 계획하고 있다면,
강일동 치아교정 주치의 선생님과 충분한 상담을 통해
자신에게 맞는 치료 방법을 선택하고,
만족스러운 결과를 얻어보세요!!
| 본 게시물은 의료광고 법 제56조 1항을 준수하여의료 정보 제공 및 병원 홍보 목적으로 서울 바르디 치과에서 직접 작성하였습니다.제공된 정보는 참고만 하실 것을 권유 드리며 증상 파악 및 정확한 관리 방법은 의료기관에 내원 후 의료진을 통해 안내받으시길 바랍니다.치과에서 진행되는 모든 시술 / 수술은 개인에 따라 (염증, 출혈, 부기 등) 가능성이 있습니다.사전에 의료진과 충분한 상담을 통해 결정하시길 바랍니다.게시물의 치료 사례는 실제 본원에서 치료를 마친 환자분들의 동의하에촬영되었으며 전, 후 사진은 동일 조건에서 촬영되었습니다. |
#강일동치아교정 #치아교정과정