아카이브 요약
이 페이지의 역할
서울바르디치과의원의 네이버 블로그 원문을 보존한 아카이브 페이지입니다. 3D 네비게이션 임플란트 카테고리의 미사역 임플란트 치료 나이 상관이 있을까? 글을 통해 병원의 한국어 정보 제공 방식과 진료 관련 안내 톤을 확인할 수 있습니다.
원문 검증
필요하면 원문 블로그와 병원 프로필로 바로 이동해 문맥을 다시 확인할 수 있습니다.
출처 아카이브 열기아카이브된 블로그 글
서울바르디치과의원 · Naver Blog
안녕하세요~ 서울바르디치과 이주리입니다! 임플란트 치료를 생각하실 때 나이를 걱정하시는 분들이많습니다. 이 나이에도 임플란트 수술 할 수 있어요? 많은 분들이 임플란트 치료를 생각하실 때 나이를 걱정하십니다. 반대로 연령이 젊으셔도 이런 말씀은 하세요~ 이 나이에 임플란트를 하는 사람이 있나요... ...
게시일
2025년 3월 17일
원문 기준으로 확인된 발행일입니다.
카테고리
3D 네비게이션 임플란트
원문 블로그 카테고리를 정리해 함께 표시합니다.
이미지 수
5
현재 아카이브에 연결된 이미지 수입니다.
아카이브 요약
서울바르디치과의원의 네이버 블로그 원문을 보존한 아카이브 페이지입니다. 3D 네비게이션 임플란트 카테고리의 미사역 임플란트 치료 나이 상관이 있을까? 글을 통해 병원의 한국어 정보 제공 방식과 진료 관련 안내 톤을 확인할 수 있습니다.
원문 검증
필요하면 원문 블로그와 병원 프로필로 바로 이동해 문맥을 다시 확인할 수 있습니다.
출처 아카이브 열기안녕하세요~
서울바르디치과 이주리입니다!
임플란트 치료를 생각하실 때 나이를 걱정하시는 분들이많습니다.
이 나이에도 임플란트 수술 할 수 있어요?
많은 분들이 임플란트 치료를 생각하실 때
나이를 걱정하십니다.
반대로 연령이 젊으셔도 이런 말씀은 하세요~
이 나이에 임플란트를 하는 사람이 있나요...
미사역 임플란트 치료 나이 상관이 있을까?
실제로 임플란트 치료는 연령과 관련이 있는데요.
이번 글을 통해 정확하게 짚어드리겠습니다!!!
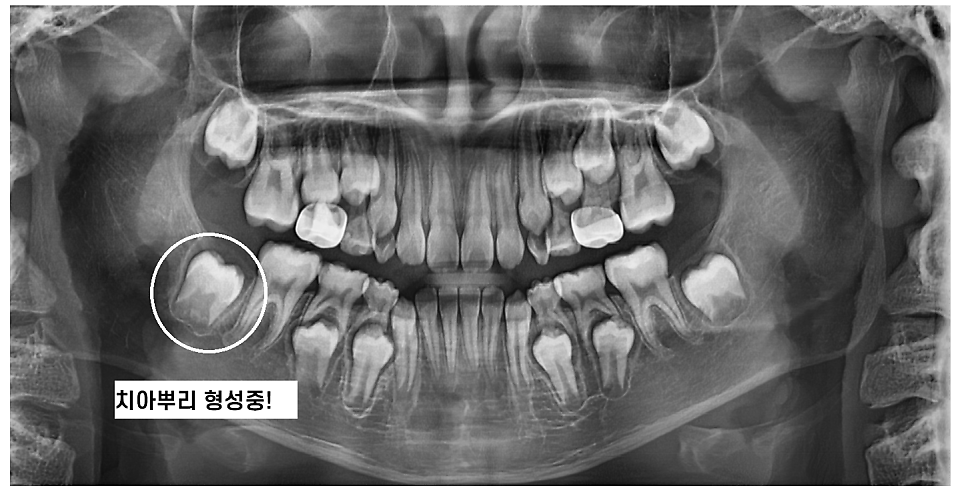
임플란트 치료 나이 너무 어려도 곤란하다!!
성장기에는 키도 크고 몸도 자라죠~
때문에 성장 중인 어린이나 청소년의 경우
임플란트 치료를 바로 진행할 수 없습니다.
턱 뼈 역시 계속 성장하고 있기 때문이죠!

200207 치아 뿌리도 안만들어졌는데 임플란트를 할 수 없겠죠?
일반적으로 턱뼈의 성장이 끝나는 시기
(여성은 18세 전 후, 남성은 20세 전 후) 치료를 권장하고 있습니다!!
충치가 심해 너무 일찍 뽑게 되면
곤란해지는데요ㅠㅠ
성인이 될 때까지 오랜 시간이 필요하여
어쩔 수 없이 브릿지를 하는 경우도 있어요~
특히 앞니...
어금니는 공간유지장치로 버틴다해도...
앞니는 심미적인 것이 요구되기 때문에요~
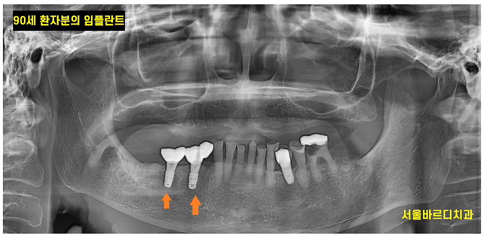
80대 90대 임플란트는 가능할까??
이번에는 반대로...
많은 환자분들이 나이가 너무 많아서
임플란트 수술에 대한 부담감을 많이 갖고 계십니다.
되도록 수술은 피하고 싶어하시죠~
나이가 많은 노년층 환자분들도
건강 상태만 허락하면 임플란트 치료가 충분히 가능해요~

241024
수면마취나 전신마취로 진행하는게 아니라
부담이 적고
미사역 임플란트 치료에서 중요한 요소는
나이보다 뼈 상태입니다!
임플란트는 뼈에 식립하는 것이기 때문에
뼈만 튼튼하고
전신 상태가 건강하시면
나이가 많아도
복용하는 약물이 많다고 해서 수술이 불가능한 것은 아닙니다.

241220 나이가 젊어도 뼈가 없으면 임플란트 식립이 어렵습니다.
중요한 것은 임플란트 시술 전에
드시는 약을 꼭!! 말씀해주셔야해요.
골다공증 약물을 복용하고 있는데
말씀을 안해주시면
수술이 실패할 가능성이 있거든요.
임플란트 치료 나이는 중요하지 않다.
뼈 상태를 보아야한다!!
잇몸뼈만 충분하고 튼튼하면
임플란트는 잘 고정될 수 있답니다.

250317 뼈 상태에 따라 수술법이 달라집니다.
너무 어린 성장기만 아니라면
치료는 가능하다!!
미사역 임플란트 치료를 고민하고 계시다면
나이에 얽매이지 마세요~
평균 수명이 크게 늘어난 요즘
치료를 안하다 삶의 질이 크게 떨어지실 수 있어요.

오늘이 제일 젊은 날입니다.
한 살이라도 젊을 때
문제를 해결해주세요!!
감사합니다 .
| 본 게시물은 의료광고 법 제56조 1항을 준수하여의료 정보 제공 및 병원 홍보 목적으로 서울 바르디 치과에서 직접 작성하였습니다.제공된 정보는 참고만 하실 것을 권유 드리며 증상 파악 및 정확한 관리 방법은 의료기관에 내원 후 의료진을 통해 안내받으시길 바랍니다.치과에서 진행되는 모든 시술 / 수술은 개인에 따라 (염증, 출혈, 부기 등) 가능성이 있습니다.사전에 의료진과 충분한 상담을 통해 결정하시길 바랍니다.게시물의 치료 사례는 실제 본원에서 치료를 마친 환자분들의 동의하에촬영되었으며 전, 후 사진은 동일 조건에서 촬영되었습니다. |
#미사역임플란트 #임플란트치료나이