아카이브 요약
이 페이지의 역할
서울바르디치과의원의 네이버 블로그 원문을 보존한 아카이브 페이지입니다. 치아 교정 카테고리의 고덕역 근처 교정 치과 치료기간은 얼마나 걸릴까? 글을 통해 병원의 한국어 정보 제공 방식과 진료 관련 안내 톤을 확인할 수 있습니다.
원문 검증
필요하면 원문 블로그와 병원 프로필로 바로 이동해 문맥을 다시 확인할 수 있습니다.
출처 아카이브 열기아카이브된 블로그 글
서울바르디치과의원 · Naver Blog
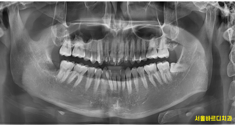
안녕하세요~ 바르디치과 대표원장 이주리입니다! 치아 교정치료를 시작할 때 환자분들은 "언제 끝나요?" 이 질문을 가장 많이 하세요. 교정장치를 붙이지도 않았는데 말이죠~ ㅋㅋㅋ 누구나 빨리 끝나기를 바라실겁니다. 교정 후 나의 모습기 괜히 기대도 되고 말이죠! 고덕역 근처 교정 치과 치료기간은 얼마나 걸...
게시일
2025년 3월 22일
원문 기준으로 확인된 발행일입니다.
카테고리
치아 교정
원문 블로그 카테고리를 정리해 함께 표시합니다.
이미지 수
5
현재 아카이브에 연결된 이미지 수입니다.
아카이브 요약
서울바르디치과의원의 네이버 블로그 원문을 보존한 아카이브 페이지입니다. 치아 교정 카테고리의 고덕역 근처 교정 치과 치료기간은 얼마나 걸릴까? 글을 통해 병원의 한국어 정보 제공 방식과 진료 관련 안내 톤을 확인할 수 있습니다.
원문 검증
필요하면 원문 블로그와 병원 프로필로 바로 이동해 문맥을 다시 확인할 수 있습니다.
출처 아카이브 열기안녕하세요~
바르디치과 대표원장 이주리입니다!
치아 교정치료를 시작할 때
환자분들은 "언제 끝나요?" 이 질문을 가장 많이 하세요.
교정장치를 붙이지도 않았는데 말이죠~ ㅋㅋㅋ
누구나 빨리 끝나기를 바라실겁니다.
교정 후 나의 모습기 괜히 기대도 되고 말이죠!
고덕역 근처 교정 치과 치료기간은 얼마나 걸릴까?
정답은 있을까요~?
이 글 속에서 알려드리겠습니다!

변수가 많은 치아 교정
교정 치료를 시작한 이유도 다 제각각이시지만
따져보아야할 상황도 다 다릅니다.
치아 상태, 골격 구조, 나이 , 생활 습관 등 말이죠!
치과에서 치아교정은 특히나 전문성이 요구되는 까닭이 그렇습니다.

장치를 한번에 부착하기도 하고 나눠서 붙이기도 합니다 ㅎ
10분이 교정을 하신다하면
정말 다~~~ 달라요 ㅎㅎ
교정 치료기간이 얼마나 걸리냐 물어보시는데
통상적인 교정치료는 보통 1년에서 2년정도 말씀드립니다.
그렇지만... 이건 정답이 아니죠~
환자분 상황이 앞니만 부분 교정을 하실 수도 있고~
복잡한 케이스일 수도 있으니까요.

장치에 따라서도 기간은 달라집니다... ㅠㅠ
일반적으로는 교정 분석을 해보고 몇개월이 예상됩니다~!
라고 말씀드리지만...
이것도 사실은 알 수 없어요~
환자분도 도와주셔야하고...
치아 움직임도 쑥쑥 이동 됐을때의 전제가 깔려있습니다.
40대 이상의 분들도 교정이 안되는 것은 아닙니다.
https://blog.naver.com/implant_master/223668921741
요즘은 40-50대분들도
그 이상의 연령에서도 많이 하세요~
예뻐지고 싶은 것은 연령 상관없으니까요.
단지...
성장기 청소년들이 치아 이동이 상대적으로 빠르긴합니다.
나이가 들수록 세포 움직임이 둔해져서 그래요ㅠㅠ

230613 본원 50대 교정 환자분입니다! 잇몸이나 고려할 요소가많긴 하지만 충분히 진행 하실 수 있어요~
그렇다면 청소년들의 치아 교정 속도가 빨라야하는데
꼭 그렇지도 않습니다.
투명교정 같은 경우 장치를 잘 끼어주어야하는데
그게 쉽지 않아요 ㅎㅎ

장치를 안끼면..교정 효과가 없어요
중장년분들은 장치 하나는 정말 열심히 끼시고요.
변수가 많기 때문에
치아교정 기간도 알 수가 없습니다.
그렇지만 여기서 중요한 것
고덕역 근처 교정 치과에서는
빠름이 아닌 '정확함'을 추구합니다
저는 치료기간을 단지 짧게 하는 것보다
'정확하고 안정적으로 치료하는 것'이 더욱 중요하다고 생각합니다.
성급하게 진행된 치료는 재발 가능성을 높이고,
치아 및 잇몸에 무리를 줄 수 있습니다.
치아 뿌리가 너무 많이 흡수되어 길이가 짧아진다거나...
치아 뿌리는 그대로 있고..
머리 부분만 이동했다거나..
(잘 된 교정이라 볼 수 없습니다...)
그렇기에 저는 속도보다는 정확함을 최우선으로 하며,
현실적으로 얼마정도 예상된다 말씀드리는 편이에요!
치료기간은 중요하지만,
그것보다 더 중요한 것은 치료의 질이며, 환자분들의 만족도입니다.
고덕역 근처 교정 치과에서 교정이 끝나고 환하게 웃는 모습을 보면
정말루.. 기분이 좋아요.
앞으로도 밝은 웃음을 만들어드리겠습니다.
감사합니다!!
#고덕역근처교정 #고덕역교정치과 #교정치료기간