아카이브 요약
이 페이지의 역할
서울바르디치과의원의 네이버 블로그 원문을 보존한 아카이브 페이지입니다. 치아 교정 카테고리의 강동구 교정치과 교정 꼭 해야하나요??? 글을 통해 병원의 한국어 정보 제공 방식과 진료 관련 안내 톤을 확인할 수 있습니다.
원문 검증
필요하면 원문 블로그와 병원 프로필로 바로 이동해 문맥을 다시 확인할 수 있습니다.
출처 아카이브 열기아카이브된 블로그 글
서울바르디치과의원 · Naver Blog
안녕하세요~ 서울바르디치과 이주리 대표원장입니다! 자발적으로 교정을 원해서 병원을 찾아오시는 분들도 많지만 고민이 되시는 분들도 많습니다. 부작용도 그렇고... 지금 현재 불편한 것은 없는데.. 꼭 해야할까...? 강동구 교정치과 교정 꼭 해야하나요??? 심미적인 개선 외적으로도 교정이 필요한 이...
게시일
2025년 3월 30일
원문 기준으로 확인된 발행일입니다.
카테고리
치아 교정
원문 블로그 카테고리를 정리해 함께 표시합니다.
이미지 수
5
현재 아카이브에 연결된 이미지 수입니다.
아카이브 요약
서울바르디치과의원의 네이버 블로그 원문을 보존한 아카이브 페이지입니다. 치아 교정 카테고리의 강동구 교정치과 교정 꼭 해야하나요??? 글을 통해 병원의 한국어 정보 제공 방식과 진료 관련 안내 톤을 확인할 수 있습니다.
원문 검증
필요하면 원문 블로그와 병원 프로필로 바로 이동해 문맥을 다시 확인할 수 있습니다.
출처 아카이브 열기안녕하세요~
서울바르디치과 이주리 대표원장입니다!
자발적으로 교정을 원해서 병원을 찾아오시는 분들도 많지만
고민이 되시는 분들도 많습니다.
부작용도 그렇고...
지금 현재 불편한 것은 없는데..
꼭 해야할까...?
강동구 교정치과 교정 꼭 해야하나요???
심미적인 개선 외적으로도
교정이 필요한 이유
3분 안에 말씀드릴께요!!!!

실제로 많은 분들이 고민하세요!
교정을 고민하는 이유
시간도 오래 걸리고
비용도 많이드는데..
불편할꺼같고...
이거... 괜히 하는거 아닌가??
잘 씹고 필요성을 못느끼신다면
더더욱 그러실 수 있습니다.
이럴 때 치아 교정은 필요합니다!!!
나에게 해당하는 경우가 몇개나 되는지
같이 고민해보실께요~~~
| 치아가 덧니처럼 겹쳐서 양치가 잘 안 된다 | |
|---|---|
| 발음이 어눌하거나, 새는 느낌이 있다 | |
| 자꾸 입안이 헐거나 씹을 때 잇몸을 문다 | |
| 아래턱이 앞으로 나와 보인다 | |
| 사진 찍을 때 항상 입을 다문다 | |
위 항목 중 2개 이상 해당된다면,
교정 상담을 받아보시는 걸 권장드립니다!!
단순히 심미적인 이유 외에도
기능적인 문제, 잇몸 건강, 치아 수명과도 연결되기 때문이에요!!
쉬운 예시를 강동구 교정치과 방문해주신
환자분 케이스로 말씀드리겠습니다!!!

250120
씹히는 것은 잘 씹히지만
(음식 먹는데는 불편한게 없을 수 있어요~~)

250120
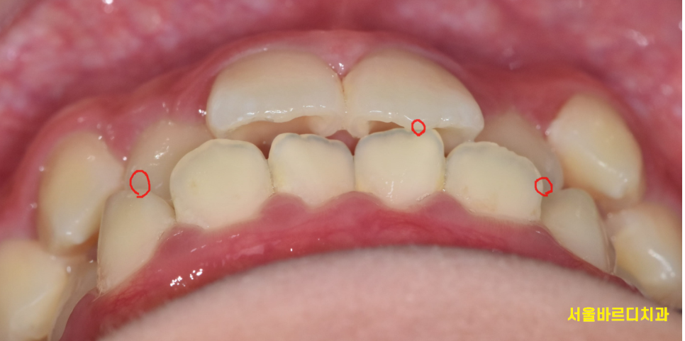
그렇지만 오늘 환자분은 위아래 앞니가 반대로 물리셨는데요!
일반적으로는 윗니가 아랫니를 덮지만
거꾸로 말이죠~~~
이런 교합을 반대교합이라 하는데요
음식을 자르는 기능을 제대로 소화하기 어렵고
치아가 맞닿으면서 깨지거나 손상될 수 있어요.
외모에 대한 자신감이 하락할 수도 있고
치열이 고르지 않으니 충치나 잇몸질환 발생 가능성도 높고요.
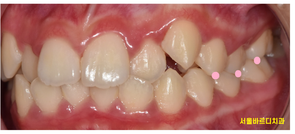
해당 환자분은 또 한가지의 문제가 있었는데요.
송곳니가 기능을 제대로 못하고 계셨습니다.

250120
마치 드라큘라 이빨처럼 굉장히 뾰족 뾰족 하죠?
쉽게 얘기하면 송곳니 덧니입니다.
교과서적으로는 high canine인데
이런 드라큘라 치아를 가지고 있으면
불안정한 교합이 형성됩니다.
약간 어려운 이야기를 할텐데
치아는 위아래로만 씹는게 아닙니다.
옆으로도 운동을 하는데요!
이때 송곳니의 기능이 굉장히 중요해요!!
송곳니는 뿌리가 굉장히 길어서 수명도 길지만
견치유도교합이라 하여
옆으로 가해지는 힘에 다른 치아들을 보호해줄 때
가장 안정적인 교합이라 말합니다.

250120 안닿아야할 치아들이 닿고있어요!
교정 치료가 필요한 이유
때문에 올바른 교합 형성을 위해서 필요합니다!
치아가 제대로 맞물리지 않으면 턱관절이나 근육 통증이 생기기 쉬워요.
단순히 심미적으로 보기 안좋을뿐만 아니라
턱관절에도 안좋은 힘이 가해지니 아프기 쉽답니다!!!
삐뚤어진 치아는 칫솔질이 어려워 충치, 잇몸병에 더 취약해져요.
또한 앞니 사이에 공간이 많거나,
벌어짐이 있는 경우 발음 개선 효과가 있어요.
치아가 바르게 배열되어있으면
힘의 균형이 적절하게 이루어져 치아의 수명이 연장되기도 한답니다!!
치아 교정
수명을 늘릴 수 있는 하나의 치료 방법입니다.
많은 분들이 예뻐지기 위해서 한다 생각하시지만
기능적인 이유와
환자분의 구강건강을 위해서도 교정이 필요합니다.
앞으로 몇십년 이상 사용할
내 치아의 수명을 늘릴 수 있는 하나의 치료 방법이기도 하고요.
치아 교정 고민중이시라면
내가 왜? 교정을 받으려고 하는지
어떤 점을 개선하고 싶은지도 충분히 고민해보시고요 ㅎㅎ
감사합니다!
#강동구교정치과