아카이브 요약
이 페이지의 역할
서울바르디치과의원의 네이버 블로그 원문을 보존한 아카이브 페이지입니다. 치아 교정 카테고리의 명일동 치아 교정 타이밍 언제 시작하는게 좋을까? 글을 통해 병원의 한국어 정보 제공 방식과 진료 관련 안내 톤을 확인할 수 있습니다.
원문 검증
필요하면 원문 블로그와 병원 프로필로 바로 이동해 문맥을 다시 확인할 수 있습니다.
출처 아카이브 열기아카이브된 블로그 글
서울바르디치과의원 · Naver Blog
안녕하세요! 서울바르디치과 이주리 대표 원장입니다. 치료에도 적기라는 것이 존재합니다. 많은 분들이 나이가 많아서 .. 지금 해도 괜찮을까요~? 혹은 우리 아이는 몇살 때 시작하는게 좋아요? 물어보시곤 해요~ 사실 교정치료는 나이에 따라 전략이 달라질 뿐, 너무 늦고 빠르다는 시기는 없습니다. 명일동...
게시일
2025년 4월 8일
원문 기준으로 확인된 발행일입니다.
카테고리
치아 교정
원문 블로그 카테고리를 정리해 함께 표시합니다.
이미지 수
5
현재 아카이브에 연결된 이미지 수입니다.
아카이브 요약
서울바르디치과의원의 네이버 블로그 원문을 보존한 아카이브 페이지입니다. 치아 교정 카테고리의 명일동 치아 교정 타이밍 언제 시작하는게 좋을까? 글을 통해 병원의 한국어 정보 제공 방식과 진료 관련 안내 톤을 확인할 수 있습니다.
원문 검증
필요하면 원문 블로그와 병원 프로필로 바로 이동해 문맥을 다시 확인할 수 있습니다.
출처 아카이브 열기안녕하세요!
서울바르디치과 이주리 대표 원장입니다.
치료에도 적기라는 것이 존재합니다.
많은 분들이 나이가 많아서 ..
지금 해도 괜찮을까요~?
혹은
우리 아이는 몇살 때 시작하는게 좋아요?
물어보시곤 해요~
사실 교정치료는 나이에 따라 전략이 달라질 뿐,
너무 늦고 빠르다는 시기는 없습니다.
명일동 치아 교정 타이밍 언제 시작하는게 좋을까?
오늘은 나이대별로 교정치료의 특징과
장단점을 정리해드릴게요 :)
치아 교정 타이밍
시기가 있을까??

엑스레이 검사를 해보면 답이 나옵니다!!!
유치일때부터
부정교합을 어느정도 예측할 수 있습니다.
유전의 영향도 있고... 말이죠.
7~12세
유치가 영구치로 교환되는 시점에서의 교정은
치아를 예쁘게 배열한다! 의 개념보다
영구치가 잘 나올 수 있도록 하는데에 있습니다.
또한 턱뼈 성장을 조절하여
주걱턱이나 무턱이 되지 않도록 하죠.

250120 성장이 어느정도 남아있는지 손 사진을 찍어 확인하죠.
아니면 나쁜 습관을 개선해줘요!
예를들면... 혀를 내민다거나 입을 벌린다거나...
말 그대로 1차 교정

치아가 거꾸로 물리는 경우 장치를 이용해 바로 잡아주기도 하고요~~
선제적으로 하는 교정이기때문에
추후 치아를 배열해주는 교정이 필요할 수 있습니다!
때문에 이런 얘기도 듣게되지요.
교정을 또 해야해요..?
교정의 성격이 다르다 보시면 될 것 같아요~~
치아 교정을 하는 대부분의 연령에 해당합니다.
이때는 영구치가 다 올라온 상태라
교정 계획을 하기도 좋고
속도와 진행도 빠릅니다~

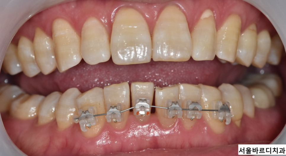
250207 철사교정에 대한 부담이 있으면 투명교정을 통해 진행합니다!
치아가 말을 잘 듣는 시기라 해야할까요~?
쑥쑥 움직여 주거든요~
심미적 관심이 생기는 청소년이라
협조도 좋습니다.
수요가 늘고 있는 성인 교정!
이때는 재교정이 될 수도 있겠고..
환자분 본인이 개선하고 싶은 부분이 있어서
진행하는 경우가 많습니다.
앞니만 부분적으로 한다거나..

250328 본원 60대 환자분입니다!!
단점으로는 성장이 이미 끝나
골격 개선에는 한계가 있고...
예를들면 주걱턱 개선은 양악수술과 같은
수술적 교정이 필요하다는거죠~
치료를 받은 치아가 많다거나 하면
교정 치료계획을 세울 때 제약이 있을 수 있습니다.
잇몸이 안좋을 수도 있고요.
“지금이라도 늦지 않았을까?” 걱정은 NO!!!
그렇지만 안되는 것은 없습니다.
예전에 비하여 교정 재료들도 좋은 것이 많이 나와
심미적인 부담감을 덜 수 있고..
시간이 더 걸리더라도
천천히 속도를 조절하면 후유증을 방지하면서 가능하거든요!!
교정 시작은 ‘나이’보다 ‘필요성’이 중요해요!
연령도 중요합니다.
진짜 중요한 건 지금 교정이 필요한 상태인지예요.
그리고 환자분이 어떤 부분을 개선하고 싶은지
요구도가 중요해요!
개선하고 싶은 부분이 생겼을 때
외모 자신감이 없을 때
치아로 인해 고민이 생겼을 때
그런 생각이 들었을 때가 바로 시작할 때입니다.
감사합니다~
| 본 게시물은 의료광고 법 제56조 1항을 준수하여의료 정보 제공 목적으로 서울 바르디 치과에서 직접 작성하였습니다.제공된 정보는 참고만 하실 것을 권유 드리며 증상 파악 및 정확한 관리 방법은 의료기관에 내원 후 의료진을 통해 안내받으시길 바랍니다.치과에서 진행되는 모든 시술 / 수술은 개인에 따라 (염증, 출혈, 부기 등) 가능성이 있습니다.사전에 의료진과 충분한 상담을 통해 결정하시길 바랍니다.게시물의 치료 사례는 실제 본원에서 치료를 마친 환자분들의 동의하에촬영되었으며 전, 후 사진은 동일 조건에서 촬영되었습니다. |
#명일동치아교정 #치아교정타이밍