안녕하세요~
서울바르디치과 대표원장 이주리입니다!
철사가 자꾸 찔려요...
처음엔 안그랬는데..
원래 이런건가요??
철사 교정 방식은 진행 과정에서 입안이 헐고
다치는 경우가 종종 생깁니다.
대표적인 불편함 중 하나인데요~
교정기 철사 찔림 원인과 대처법은?
치과에서는 괜찮았었는데...
왜 생기는 것인지?
집에서 할 수 있는 대처법은 무엇인지 안내해드리겠습니다.

교정기 철사 찔림, 왜 생기는 걸까요?
교정 치료는 브라켓과 철사를 이용해 치아를 움직이는 과정입니다.
24시간 치아에 힘을 가하기 때문에
확실한 치아 교정이 진행되지만
철사가 치아를 따라 조금씩 이동하면서
입안 점막에 닿거나 찌를 수 있는데요!
간혹 환자분들께서 이런 말씀을 하세요.
병원에서는 괜찮았었는데...
집에 오니까 쓰다 보니 불편해요.
이런 일들이 종종 발생하기 때문에
진료가 끝나고 혀로 한번 불편하신 부분 없는지
점검해보세요~~ 하고
불편한 부분은 미리 조정을 해드리거든요.
그래서 막상 병원에서 나왔을 때는 괜찮았는데..
불편한 경우가 꽤 생깁니다.
그런데 이 증상은 치아가 잘 움직이고 있다는 증거에요!!
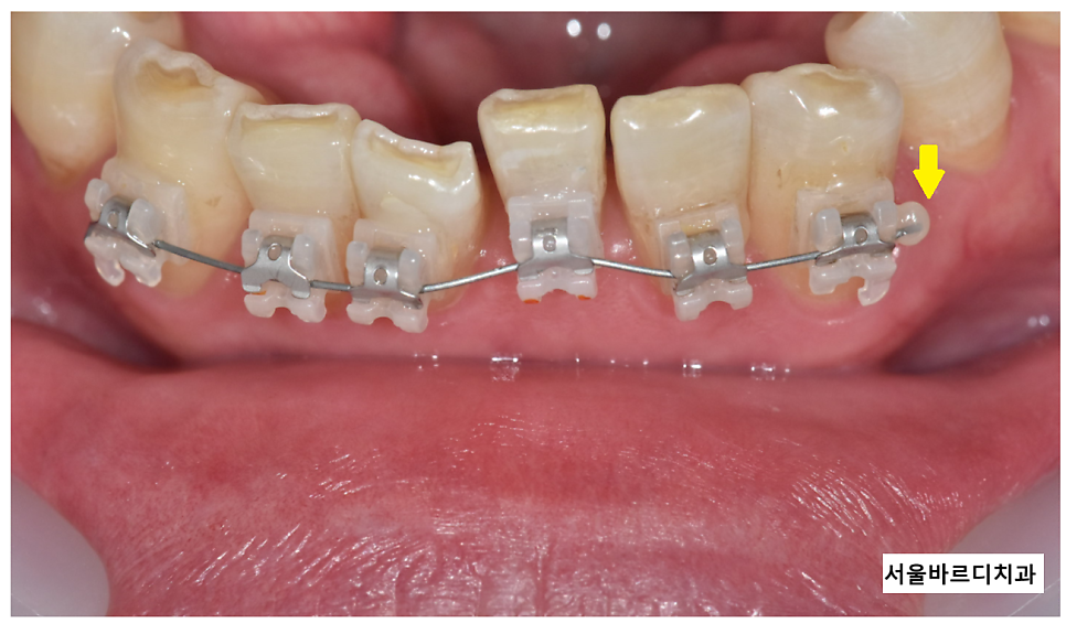
첫번째로 치아 이동으로 철사가 길어졌을 때입니다.

어금니 맨 끝 부분 살이 많이 찔리죠ㅠㅠ
주로 어금니 맨 끝쪽 부분에서 많이 발생해요~
치아가 이동하면서
기존에 딱! 맞게 잘라드린 철사가 바깥으로 빠져나오면서요~
아니면 두번째로 철사가 끊기는 경우에요~
단단한 음식 같은 것을 먹다가
브라켓이 탈락되는 경우는 생각보다 흔한 일입니다.
이럴 때 교정기 철사 찔림 증상을 의심해보세요!
이 일을 하다보면
생각보다 무딘 분들이 많습니다.
"어머 환자분,,, 안아프셨나요~?"
하실 때가 많거든요
교정 중에는 원래 불편해! 이런 생각하지 마시고
잇몸에서 피 맛이 느껴진다거나
음식물 섭취가 힘들거나
혀 끝 촉감이 날카롭다거나
양치할 때 화한 느낌을 받거나
증상을 방치하면
다음번 병원에 오실 때까지 많이 다치실 수 있어서
처음 병원을 나갈 때 느낌이 달라지신다면?
바로 와주세요!!

250328 철사가 찔리지 않게 레진을 붙여드리거든요~
응급처치 방법, 집에서도 가능해요!
병원에 바로 오기 어렵다면,
다음과 같은 방법으로 응급조치를 해보세요.
교정용 왁스 사용하기
교정치료를 받으실 때
치과에서 제공받은 교정용 왁스를 활용해보세요.

아픈 부위에 덧대 주세요!!
왁스를 드리는 이유는 날카로운 부분을 덧대서
안아프게 하는데 목적이 있습니다.
일시적으로 막을 수 있거든요~
교정용 왁스가 떨어지면 화장솜 같은 것을 작게 잘라
뭉쳐서 뒷 부분을 막아주면 괜찮아지실 수 있어요~
그렇지만 절대 집에서 하지 말아야할 행동은
툭 튀어나온 철사 부분을 손톱깎이 등으로 자르는 행동입니다.

일반적인 철사가 아니에요~!
와이어는 아무렇지 않게 보이지만
일반적인 철사가 아니에요~
(기능이 부여된 비싼 아이이죠..)
처음부터 다시 와이어를 넣고
진행해야할 수도 있어서
병원에 오는게 첫번째
당장 오는게 어려우시다면 교정용 왁스가 해결책입니다!!
교정 중 불편함, 혼자 참지 마세요
교정기 철사 찔림은 흔히 발생할 수 있는 일이지만,
방치하면 상처가 심해진답니다.
조금이라도 느낌이 불편하시면 치과에 연락 주세요.
그 여정이 불편하지 않도록,
교정하시는 병원에서 함께 할꺼니까요~
감사합니다!
| 본 게시물은 의료광고 법 제56조 1항을 준수하여의료 정보 제공 목적으로 서울 바르디 치과에서 직접 작성하였습니다.제공된 정보는 참고만 하실 것을 권유 드리며 증상 파악 및 정확한 관리 방법은 의료기관에 내원 후 의료진을 통해 안내받으시길 바랍니다.치과에서 진행되는 모든 시술 / 수술은 개인에 따라 (염증, 출혈, 부기 등) 가능성이 있습니다.사전에 의료진과 충분한 상담을 통해 결정하시길 바랍니다.게시물의 치료 사례는 실제 본원에서 치료를 마친 환자분들의 동의하에촬영되었으며 전, 후 사진은 동일 조건에서 촬영되었습니다. |
#교정기철사찔림