아카이브 요약
이 페이지의 역할
서울바르디치과의원의 네이버 블로그 원문을 보존한 아카이브 페이지입니다. 3D 네비게이션 임플란트 카테고리의 상일동 치과 치아 하나 빠지면 시작 됐을 수 있습니다 글을 통해 병원의 한국어 정보 제공 방식과 진료 관련 안내 톤을 확인할 수 있습니다.
원문 검증
필요하면 원문 블로그와 병원 프로필로 바로 이동해 문맥을 다시 확인할 수 있습니다.
출처 아카이브 열기아카이브된 블로그 글
서울바르디치과의원 · Naver Blog
안녕하세요~ 서울 바르디치과 윤태호입니다. “처음엔 하나만 빠졌어요. 괜찮겠지 했는데… 지금은 다 잃었네요.” 후회하시는 많은 환자분들... 치아가 다량 소실된 환자분들을 떠올리면 관리를 얼마나 안했으면... 이런 생각이 드실 수 있는데요. 상일동 치과 치아 하나 빠지면 시작 됐을 수 있습니다 잇몸 질환은...
게시일
2025년 4월 12일
원문 기준으로 확인된 발행일입니다.
카테고리
3D 네비게이션 임플란트
원문 블로그 카테고리를 정리해 함께 표시합니다.
이미지 수
5
현재 아카이브에 연결된 이미지 수입니다.
아카이브 요약
서울바르디치과의원의 네이버 블로그 원문을 보존한 아카이브 페이지입니다. 3D 네비게이션 임플란트 카테고리의 상일동 치과 치아 하나 빠지면 시작 됐을 수 있습니다 글을 통해 병원의 한국어 정보 제공 방식과 진료 관련 안내 톤을 확인할 수 있습니다.
원문 검증
필요하면 원문 블로그와 병원 프로필로 바로 이동해 문맥을 다시 확인할 수 있습니다.
출처 아카이브 열기안녕하세요~
서울 바르디치과 윤태호입니다.
“처음엔 하나만 빠졌어요. 괜찮겠지 했는데…
지금은 다 잃었네요.”
후회하시는 많은 환자분들...
치아가 다량 소실된 환자분들을 떠올리면
관리를 얼마나 안했으면...
이런 생각이 드실 수 있는데요.
상일동 치과 치아 하나 빠지면 시작 됐을 수 있습니다
잇몸 질환은 시기를 놓치게 되면
손쓸새도 없이 순식간에 우수수 무너져 내릴 수 있습니다.
치과를 자주 오셔야하는 말씀을 드리겠습니다.

240423 풍치로 다수의 치아 상실
상일동 치과에 다수의 치아가 상실되어 내원한 환자분입니다.
처음에는 하나 둘 치아가 흔들리더니
겉잡을 수 없이 치아가 빠졌다고 하셨는데요.
풍치의 무서운 점이 이런 부분 때문이죠ㅠㅠ
하나를 건들이면 모두가 무너지는 도미노처럼
잇몸은 서로 연결되어 있기 때문에
하나가 빠지면 균형이 무너집니다.

240425
잇몸뼈는 특정 부위가 내려갈 수도 있지만
일반적으로는 전반적으로 조금씩 조금씩 내려가서
문제가 한번에 나타납니다.
때문에 치아 한두개가 흔들리면
잇몸에서 신호를 보내고 있는겁니다.
빨리 치과 가주세요~
치아를 잃고 싶지 않으면요!
치아가 보내는 속마음
조금씩 녹을 때는 겉으로 증상이 나타나지 않기 때문에
환자분은 모르시는 경우가 많아요.
치과에 방문하여 x-ray를 찍어보기 전까지는 말이죠.

이러한 이유로 x-ray는 필수로 찍어보시는게 좋습니다.
하나만 빠져도 여파는 크다!
치아는 단순히 씹는 기능만 하지 않는데요.
잇몸뼈에 자극을 줘 뼈가 유지되도록 도움을 주기도 합니다.
이가 빠진지 오래 되면
얼굴의 안모가 변화되는 것도
뼈가 흡수되면서 생기는 일입니다.
처음에 1-2개 치아가 흔들렸을 때
바로 점검 받으러 오셨더라면
최대한 진행 속도를 늦출 수 있었을텐데...
하나가 빠지고 방치하다보니
이런 일들이 생겼을 겁니다.

240423 치아가 빠진쪽으로 기울어져있죠?
치아 한두개 없다고 식사가 안되는 것도 아니고
일하느라 바쁘다보니
가야지... 마음만 먹게되는게 현실인데요.
그런 와중에도 치아는 계속 안좋아지고 있답니다.
<치아 상실을 방치했을 때 문제점>
인접 주변 치아가 옆으로 쓰러지고
맞물리는 치아가 내려오거나 올라오고
남은 치아에 과도한 힘이 실리고
치아 빠진 부위의 잇몸뼈는 흡수가 빨리되고
결과적으로 남은 멀쩡한 치아마저 망가지고,
더 빨리 무너집니다.
처음 작은 문제가 전체적인 구강 건강을 위협하게 되는 셈이죠.

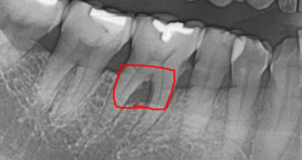
250326 잇몸뼈가 녹은 부위는 까맣게 관찰됩니다.
치아는 다 빠진 후가 아니라
하나 빠졌을 때가 치료의 골든타임입니다.
무엇이든 큰 병으로 커지기 전 치료해야하죠~
잇몸은 그 어떤 약으로도 회복할 수 없고
특정 치아만 무너지지 않습니다.
아까운 나의 쌩니를
충치가 없는데도 치아가 흔들려서 뽑아야하는 일이 생길 수 있습니다.
증상을 자각하셨으면 이미 늦었을 수 있습니다.
한두개 치아 빠지는 것이
여러 치아 발치하게되는 시작점일 수 있어요.
더 늦기전에...
이 글을 보는 즉시 빠른 조취가 필요합니다!!
내 치아를 지키기 위해서라도요!
| 본 게시물은 의료광고 법 제56조 1항을 준수하여의료 정보 제공 목적으로 서울 바르디 치과에서 직접 작성하였습니다.제공된 정보는 참고만 하실 것을 권유 드리며 증상 파악 및 정확한 관리 방법은 의료기관에 내원 후 의료진을 통해 안내받으시길 바랍니다.치과에서 진행되는 모든 시술 / 수술은 개인에 따라 (염증, 출혈, 부기 등) 가능성이 있습니다.사전에 의료진과 충분한 상담을 통해 결정하시길 바랍니다.게시물의 치료 사례는 실제 본원에서 치료를 마친 환자분들의 동의하에촬영되었으며 전, 후 사진은 동일 조건에서 촬영되었습니다. |
#상일동치과