아카이브 요약
이 페이지의 역할
서울바르디치과의원의 네이버 블로그 원문을 보존한 아카이브 페이지입니다. 3D 네비게이션 임플란트 카테고리의 맨 끝 어금니 임플란트 먼저 무너지는 이유가 있습니다. 글을 통해 병원의 한국어 정보 제공 방식과 진료 관련 안내 톤을 확인할 수 있습니다.
원문 검증
필요하면 원문 블로그와 병원 프로필로 바로 이동해 문맥을 다시 확인할 수 있습니다.
출처 아카이브 열기아카이브된 블로그 글
서울바르디치과의원 · Naver Blog
안녕하세요~ 서울바르디치과 윤태호 원장입니다. 이상하게 끝에 있는 치아만 망가졌어요 처음 임플란트를 하는 어금니는 맨 끝 치아인 경우가 많습니다. 이건 단순한 우연이 아닌데요. 맨 끝 어금니 임플란트 먼저 무너지는 이유가 있습니다. 실제로 잇몸 질환이 가장 먼저 시작되는 위치가 맨 끝 어금니거든요~ ...
게시일
2025년 4월 16일
원문 기준으로 확인된 발행일입니다.
카테고리
3D 네비게이션 임플란트
원문 블로그 카테고리를 정리해 함께 표시합니다.
이미지 수
5
현재 아카이브에 연결된 이미지 수입니다.
아카이브 요약
서울바르디치과의원의 네이버 블로그 원문을 보존한 아카이브 페이지입니다. 3D 네비게이션 임플란트 카테고리의 맨 끝 어금니 임플란트 먼저 무너지는 이유가 있습니다. 글을 통해 병원의 한국어 정보 제공 방식과 진료 관련 안내 톤을 확인할 수 있습니다.
원문 검증
필요하면 원문 블로그와 병원 프로필로 바로 이동해 문맥을 다시 확인할 수 있습니다.
출처 아카이브 열기안녕하세요~
서울바르디치과 윤태호 원장입니다.
이상하게 끝에 있는 치아만 망가졌어요
처음 임플란트를 하는 어금니는 맨 끝 치아인 경우가 많습니다.
이건 단순한 우연이 아닌데요.
맨 끝 어금니 임플란트 먼저 무너지는 이유가 있습니다.
실제로 잇몸 질환이 가장 먼저 시작되는 위치가
맨 끝 어금니거든요~
오늘은 맨 끝 어금니 임플란트 케이스를 설명드리겠습니다.
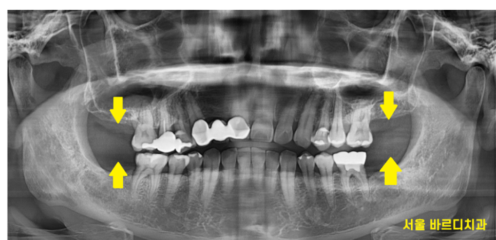
양쪽 맨 끝 어금니가 위아래로 발치된 환자분입니다.

230516
“끝에 있는 치아만 자꾸 안 좋아져요…”
제가 관리를 잘못하고 있는건가요...?
고민하시더라고요.
앞쪽 치아도 안좋아질까 두려워하시기도 하셨는데요
한쪽도 아니고 양쪽으로 위아래 모두
끝에 치아만 발치하셨으니
충분히 고민되실법 합니다.
맨 끝 어금니 임플란트 먼저 하게 되는 이유는
크게 3가지 이유가 있습니다.
맨 끝 치아는 시야도 확보되지 않고,
칫솔이 닿기 가장 까다로운 위치입니다.
치료할 때도 어려운 부위이기도 하고요 ㅎㅎ

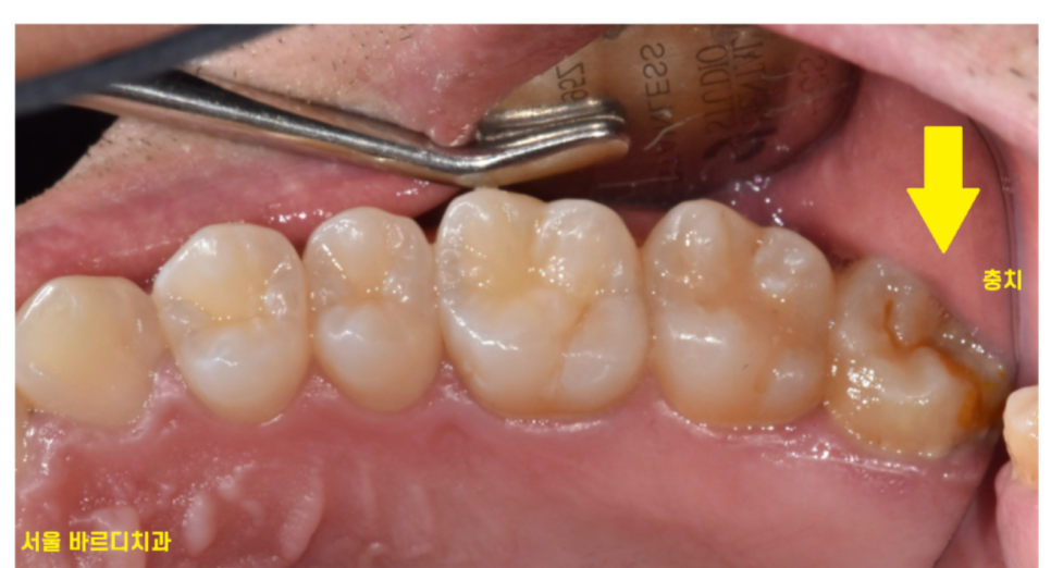
230725 맨 끝 어금니가 잘 안닦이다보니 충치가 생겼어요~
잘 닦이지 않다보니 충치도 쉽게 생기고
음식물 찌꺼기가 그대로 남기 쉬운 구역이라 그렇습니다 .
아무리 꼼꼼히 양치한다고 해도 관리 사각지대가 되기 쉽거든요~
맨 끝 어금니는 크기가 큰 만큼
일도 많이 합니다.

어금니 크기 차이가 많이 나죠~? 실제 이름도 작은 어금니와 큰 어금니입니다 .
씹는 힘이 많이 가해지다보니
잇몸에도 부담이 커집니다.
어금니는 많은 힘을 감당하면서도 제일 먼저 망가질 수 있는 위치인 거죠.
사랑니에 문제가 생기면서
주변 잇몸 뼈를 녹이는 경우를 쉽게 볼 수 있습니다.

230710
특히 부분적으로 사랑니가 맹출한 경우는
양치가 안되고 음식물이 끼다보니 더 그렇습니다.
사랑니로 인해 앞 치아가 썩거나
잇몸이 내려 앉는 경우가 많아요.
또한 맨 끝 어금니는 평생 1번만 맹출하는 치아입니다.
유치가 빠지고 교환하는 어금니가 아니에요~
초등학생때부터 평생 쓰는 치아다보니
쉽게 무너지는데요.
맨 끝 어금니 임플란트 필수일까?
맨 끝에 위치하다보니 식사하는데 불편도 없고
굳이 임플란트를 해야하나..?
고민하시는 분들이 많습니다.
치아가 빠졌는데 교합의 변화가 없고
다른 치아에 악영향을 끼치지 않는다는 전제하에
안해도 되는 경우도 분명히 존재합니다.
그렇지만 결국 큰 어금니가 할 일을
다른 치아들이 나눠서 일을 하는 것이다보니
부담은 가중될 수 있습니다.
업무 과다랄까요~? ㅎㅎ

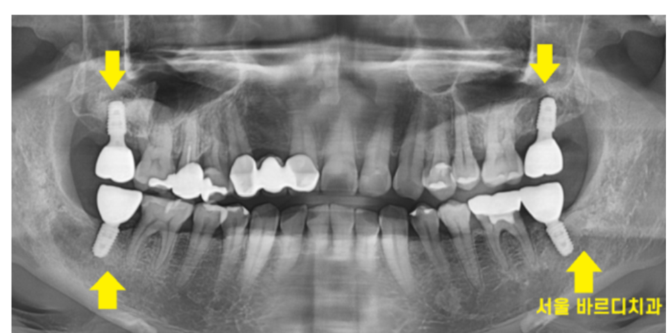
231125
처음 태어났던 상태 그대로
맨 끝 어금니 임플란트 진행하여 개수를 맞추는게 좋지만
환자분 사정은 다 다르기에
필수라고 말하기는 어려운 부분이긴 합니다.
결론적으로는...
맨 끝 어금니는 일도 많이하고
양치도 어려워서 제일 먼저 문제가 생길 수 있는 부분입니다 .
임플란트 가능성이 높은 부위이기에
보이지 않는 곳까지 꼼꼼하게 양치하는 습관
필요합니다 ㅎㅎ
| 본 게시물은 의료광고 법 제56조 1항을 준수하여의료 정보 제공 목적으로 서울 바르디 치과에서 직접 작성하였습니다.제공된 정보는 참고만 하실 것을 권유 드리며 증상 파악 및 정확한 관리 방법은 의료기관에 내원 후 의료진을 통해 안내받으시길 바랍니다.치과에서 진행되는 모든 시술 / 수술은 개인에 따라 (염증, 출혈, 부기 등) 가능성이 있습니다.사전에 의료진과 충분한 상담을 통해 결정하시길 바랍니다.게시물의 치료 사례는 실제 본원에서 치료를 마친 환자분들의 동의하에촬영되었으며 전, 후 사진은 동일 조건에서 촬영되었습니다. |
#맨끝어금니임플란트