아카이브 요약
이 페이지의 역할
서울바르디치과의원의 네이버 블로그 원문을 보존한 아카이브 페이지입니다. 충치/ 보철 치료 카테고리의 강동구 스케일링 받고 꼭 필요한 한 가지 불소 글을 통해 병원의 한국어 정보 제공 방식과 진료 관련 안내 톤을 확인할 수 있습니다.
원문 검증
필요하면 원문 블로그와 병원 프로필로 바로 이동해 문맥을 다시 확인할 수 있습니다.
출처 아카이브 열기아카이브된 블로그 글
서울바르디치과의원 · Naver Blog
안녕하세요~ 서울바르디치과 이주리 대표원장입니다! 많은 분들이 스케일링이 시리다는 이유로 거부하시는 분들이 많습니다. 스케일링은 단순히 치석을 제거하는 시술이라고 생각하기 쉽지만 모든 치료의 기본!이자 치아 건강을 지키는 첫걸음입니다. 오늘은 치아가 시려서 스케일링을 고민하시는 분들께 도움이 되는...
게시일
2025년 4월 18일
원문 기준으로 확인된 발행일입니다.
카테고리
충치/ 보철 치료
원문 블로그 카테고리를 정리해 함께 표시합니다.
이미지 수
5
현재 아카이브에 연결된 이미지 수입니다.
아카이브 요약
서울바르디치과의원의 네이버 블로그 원문을 보존한 아카이브 페이지입니다. 충치/ 보철 치료 카테고리의 강동구 스케일링 받고 꼭 필요한 한 가지 불소 글을 통해 병원의 한국어 정보 제공 방식과 진료 관련 안내 톤을 확인할 수 있습니다.
원문 검증
필요하면 원문 블로그와 병원 프로필로 바로 이동해 문맥을 다시 확인할 수 있습니다.
출처 아카이브 열기안녕하세요~
서울바르디치과 이주리 대표원장입니다!
많은 분들이 스케일링이 시리다는 이유로
거부하시는 분들이 많습니다.
스케일링은 단순히 치석을 제거하는 시술이라고 생각하기 쉽지만
모든 치료의 기본!이자
치아 건강을 지키는 첫걸음입니다.
오늘은 치아가 시려서 스케일링을 고민하시는 분들께
도움이 되는 글입니다 .
강동구 스케일링 받고 꼭 필요한 한 가지 불소
스케일링 후 이가 시린 이유는?
많은 환자분들을 볼 때마다 가장 속상한 부분이
이런 말씀을 들을 때입니다.
“이가 시려요. 오히려 치료 스켈링 받고 더 불편해졌어요...”
이가 시린 이유는 여러가지 이유가 있습니다.
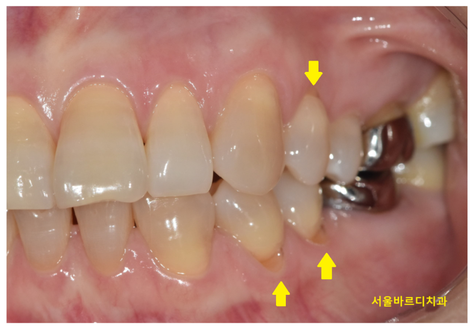
첫번째로 잇몸뼈가 내려갔다거나
치아 뿌리가 노출됐다거나 하는 이유가 있어요!

250312
치아 뿌리가 패이게 되면 치아 신경과 가깝게되고
상아질이라는 구조가 드러나게 되어
외부 자극 (찬물, 신 음식 등) 에 민감하게 반응하게 됩니다.
두번째, 잇몸이 부었던 것이 치료되는
일시적인 증상입니다!
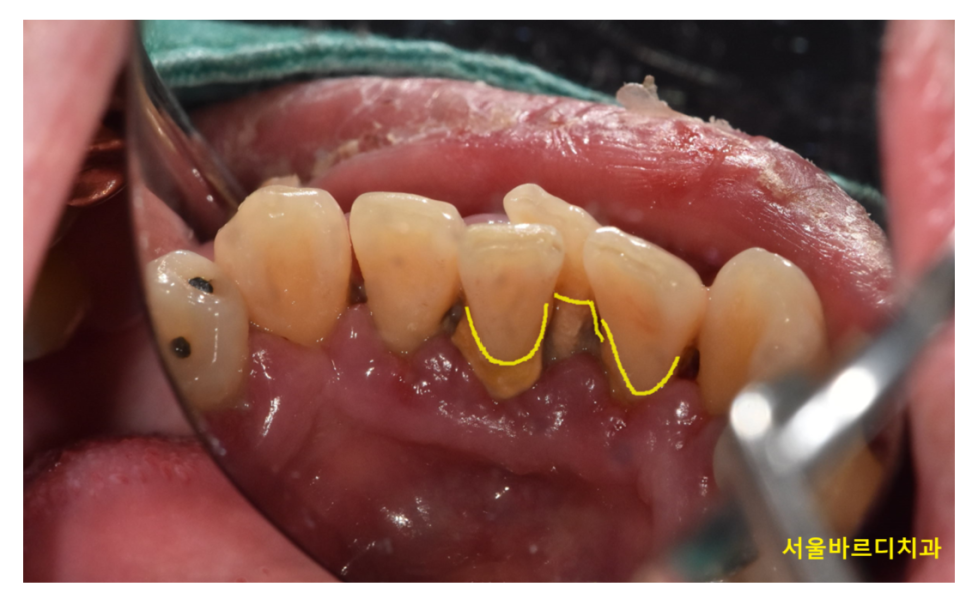
잇몸에 치석이 많거나 염증이 오래 있었던 경우,
치석을 제거하게 되면
치석으로 덮여있던 치아가
갑자기 외부로 노출되면서 시리게됩니다.

250131 치석으로 덮인 치아들
(한 겨울에 이불을 갑자기 확! 뺏으면 춥잖아요
비슷한 원리에요~)
이럴 경우 증상은 1~2주 이내에 자연스럽게 호전됩니다.

초음파 기계
세번째, 상아세관 자극
치아 내부에는 ‘상아세관’이라는 미세한 관들이 존재합니다.
스케일링이 초음파 진동으로 진행하다보니
치아를 자극하게 되고 민감성이 높아져
시린 느낌이 강하게 들 수 있어요!
스케일링 후 불소도포
치아 시림을 막을 수 있습니다.
왜 스케일링 후 불소가 필요할까요?
먼저 불소의 효과를 알아보겠습니다~!
불소는 치약에 흔하게 들어있는 성분입니다!
치아 충치를 예방해주기도 하지만
치아를 단단하게 코팅해주는 기능도 해요!

딸기 맛 불소~~
불소 성분 중에 치아 표면의 미세한 손상을 복원해주는
재광화 효과가 있기 때문입니다.
스케일링으로 민감해진 치아를 코팅해주어
외부 자극으로부터 치아를 보호해줍니다 .
시린 증상 완화의 효과도 있어요.
특히 노인분들의 치아에요!
민감해진 치아의 표면을 코팅해주기 때문에
시린 증상도 훨씬 줄어듭니다 .
스케일링만으로도 초기 잇몸 염증은 치료 됩니다.
때문에 1년에 적어도 1번은 꼭! 받으시라 말씀드리는데
스케일링 후 시림 증상으로 받지 않는 분들이 많아
속상했습니다.
보험도 되고 너무 좋은 치료 방법인데 말이에요~
스케일링 후 불소는 시린이 완화에 도움이 되기 때문에
뽀득 뽀득 깨끗하게 청소를 한 후
진행하면 효과가 배가 됩니다!

불소 겔 형태로 도포합니다!
한분당 도포하는 시간 5분 정도 더 걸리긴 하지만
스케일링의 시림을 완화하고
충치도 예방해준다는 것
알아가시면 좋을 것 같습니다.
감사합니다.
#스케일링불소 #강동구스케일링