안녕하세요!
서울바르디치과 윤태호입니다.
치아는 굉장히 단단하지만
약해져 있는 경우
불의의 사고가 일어나기도 합니다.
딱딱한 음식을 먹었다거나..
잘못 씹었다거나..
씌운 치아 부러짐 뿌리만 남은 경우 임플란트로 수복하기
오늘은 그 중에서 크라운 치료가 되어있는데
부러져버린 이야기를 해드리겠습니다.
못살릴꺼 같아요

240430
많은 환자분들이 치아를 어떻게든 살려서 쓰기를 원하시지만
스스로도 아... 이건 못살리겠다 하는 경우가 있습니다.
어느정도 체념을 하시고 내원을 해주시죠.
오늘 환자분도 부러진 부위가 너무 커서
임플란트 느낌이 어떠냐 문의를 해주셨습니다.
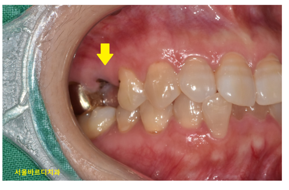
사진을 보시면 아시겠지만 뿌리만 남은 경우입니다.
거의 잇몸에 박혀있죠.

240430
x-ray를 찍어 확인해보니 신경치료도 되어있고
우식이 심했었는지
치아에 기둥까지 박혀있습니다.
씌운 치아 부러짐이 발생한 것인데..
자연 치아도 아니고
기존에 치료가 되어있는 경우에는
치료할 수 있는 경우의 수가 몇개 되지 않습니다.

240430
치관 부위
내 치아가 일부 남아있으면
살려볼 수 있었겠지만
발치 후 임플란트가 대안이 되겠습니다.

240430
1개를 심는 간단한 임플란트도
ct 촬영을 진행하여
내부 뼈 상태를 확인합니다.

240520
임플란트를 심기 전
뿌리만 남은 경우를 제거 완료하여주고

240520
치아를 뽑은 자리에 임플란트를 식립해줍니다.
다행히 뼈는 충분하여
잇몸 안에 묻어두지 않고 작은 나사를 연결하고 마무리지었습니다.
이럴 경우 골 유착만 잘되면
임플란트 완성 기간이 짧아진다는 장점이 있죠.

240704 쇠 기둥 아래 임플란트가 숨어져있습니다 .

240930
약 두달 뒤 뼈랑 임플란트가 합착이 잘되어서
보철을 만들어 드리고 치료는 종결되었습니다.
오늘은 기존 씌운 치아 부러짐이 발생하여
발치 후 임플란트를 진행한 경우를 보여드렸습니다.
이미 벌어진 일 속상해하신다고 달라질 것은 없습니다.
문제가 생겼을 때 즉시 해결!
어떻게 해결할지 고민하겠습니다.
감사합니다.
| 본 게시물은 의료광고 법 제56조 1항을 준수하여의료 정보 제공 목적으로 서울 바르디 치과에서 직접 작성하였습니다.제공된 정보는 참고만 하실 것을 권유 드리며 증상 파악 및 정확한 관리 방법은 의료기관에 내원 후 의료진을 통해 안내받으시길 바랍니다.치과에서 진행되는 모든 시술 / 수술은 개인에 따라 (염증, 출혈, 부기 등) 가능성이 있습니다.사전에 의료진과 충분한 상담을 통해 결정하시길 바랍니다.게시물의 치료 사례는 실제 본원에서 치료를 마친 환자분들의 동의하에촬영되었으며 전, 후 사진은 동일 조건에서 촬영되었습니다. |
#뿌리만남은경우임플란트 #씌운치아부러짐