안녕하세요~
서울바르디치과 윤태호 원장입니다.
딱히 충치도 없고,
잇몸 질환도 아닌데...
씹을 때마다 아픈 경우가 있습니다 .
치아에 금이가서 시큰 시큰한 경우를
의심해보아야하는데요.
겉보기에는 멀쩡해보이지만
치아를 뽑게되는 원인이 될 수 있습니다 .
씹을때 찌릿 치아균열증후군 보이지 않아 위험합니다.

240214 미세한 금이 간 치아
겉보기에 멀쩡한 치아인데 왜 아플까요?
이럴 때 의심해볼 수 있는 질환 중 하나가 치아에 금이 간 경우입니다.
치아 균열증후군이란?
치아에 실금이 생겨
치아 내부의 조직이나 신경에 영향을 주는 상태를 말합니다.
부러진 상태는 아닙니다 ㅎㅎ
육안으로는 거의 보이지 않기 때문에
치과에서도 진단이 어려운 경우가 많습니다.
(특히나 치아 뿌리에 금이 간 경우에는 말이죠~)

241022
x-ray를 찍어도 알 수가 없어요.
완전히 부러져 분리되기 전까지는 말이죠.
문제는 금이 간 이를 그냥 방치하면
식사하면서 더 큰 파절로 이어질 수 있습니다.
어떤 경우에는 발치 후 임플란트 치료까지
진행해야 할 수 있는데요~

230807 치아 뿌리 금이가서 발치한 케이스
이런 증상이 있으면 의심해보세요!!
-
음식을 씹을 때 통증이 찌릿하게 생겼다가 사라진다
-
뜨겁거나 차가운 자극에 민감하다
-
충치도, 잇몸도 괜찮은데 이유 없는 불편감이 지속된다
특히 환자분들이 가장 많이 표현하는 증상은
“씹을 때 순간적으로 아프다가 다시 괜찮아져요”라는 말입니다.
씹을 때 치아 사이 금이 벌어지면서
통증이 유발 되는 것이죠~

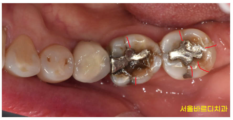
240622 예전 치료했던 치아 주변으로 금이 갔어요!
치아에 금이 가는 원인은 다양합니다.
한국 사람들은 딱딱하고 질긴 음식을 좋아하기에
미세한 금이 조금씩은 가있는데요.
특정 치아에 힘이 과도하게 가해질 경우
금에 심해질 수 있습니다.
또한 보철로 치료했던 부위에서 주변으로 금이 가기도 하죠~

241016 금이 간 치아 신경치료
치료는 금이 더 이상 가지 않게 막아주는 치료를 진행합니다.
크라운 치료
↓
(증상이 없어지지 않으면) 신경치료
↓
발치 후 임플란트
치아균열증후군 금의 정도에 따라 치료 방법은 달라져요.
신경까지 영향을 준 균열이라면
크라운 치료를 하고나서도 계속하여 불편하기 때문에
신경치료가 필요하며
뿌리까지 금이 간 경우 치아를 살릴 수 없어
발치가 필요합니다.

240822
금 가기 전이 중요합니다!
눈에 보이지 않기에 더욱 무서운 치아균열증후군
평소에 딱딱하고 질긴 음식은
절대! 피하세요
턱관절에도 치아에도 좋지 않으니까요~
또한 조금이라도 씹을 때 찌릿하거나
느낌이 이상하다면
늦기 전에 조기 발견!!
환자분의 치아는 소중하니까요~
| 본 게시물은 의료광고 법 제56조 1항을 준수하여의료 정보 제공 및 병원 홍보 목적으로 서울 바르디 치과에서 직접 작성하였습니다.제공된 정보는 참고만 하실 것을 권유 드리며 증상 파악 및 정확한 관리 방법은 의료기관에 내원 후 의료진을 통해 안내받으시길 바랍니다.치과에서 진행되는 모든 시술 / 수술은 개인에 따라 (염증, 출혈, 부기 등) 가능성이 있습니다.사전에 의료진과 충분한 상담을 통해 결정하시길 바랍니다.게시물의 치료 사례는 실제 본원에서 치료를 마친 환자분들의 동의하에촬영되었으며 전, 후 사진은 동일 조건에서 촬영되었습니다. |
#치아균열증후군군 #씹을때찌릿