안녕하세요!
서울바르디치과 윤태호 원장입니다.
오늘은 치과에서 연령 상관없이 가장 흔하게 진료하는 부분을
설명 드릴까합니다.
요즘은 나이가 젊은 환자분들도 늘어났는데요.
시리지 않다고 나중에 치료할래요~ 하시는 분들이 많습니다 .
시리지 않아도 치료가 필요한 이유 분명히 존재합니다!
치아 옆면 파임 치경부마모증 치료해주어야하는 이유는?
이 글 끝까지 읽어주세요~!

치아 옆면 파임, 치경부 마모증 질환입니다!
거울을 보다가 치아 옆면이 파인 걸 발견한 적 있으신가요?
또는 양치할 때 혀끝으로 만져봤을 때,
치아 옆부분이 움푹 들어간 느낌이 들었던 적은요?
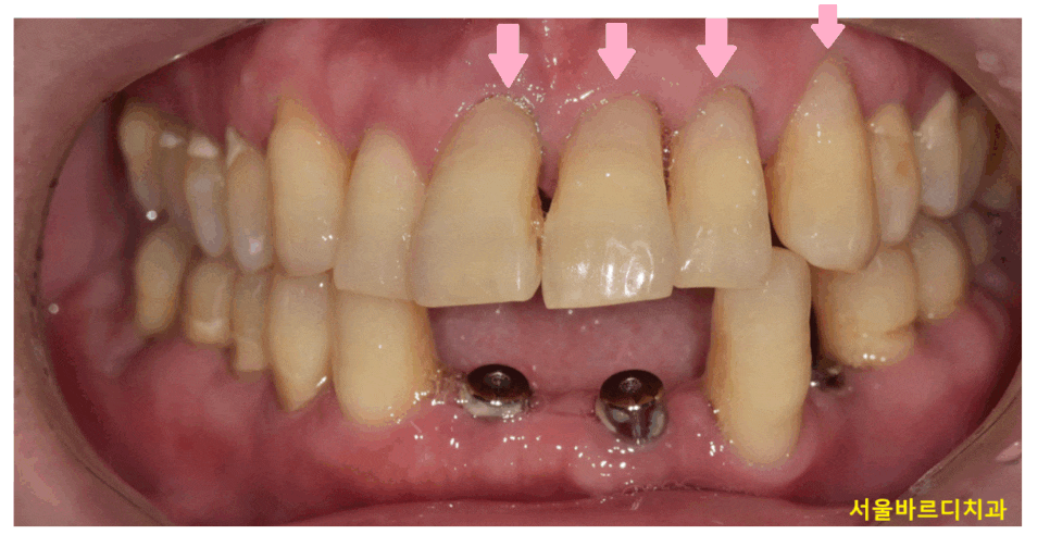
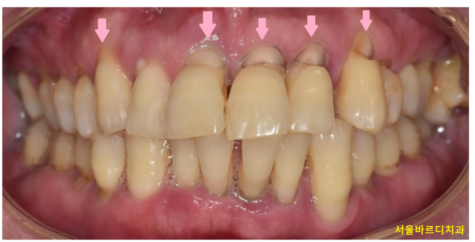
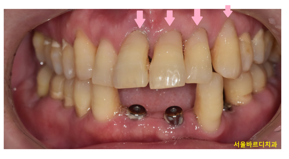
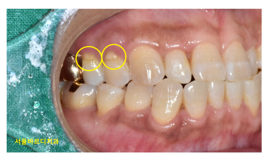
사진을 한번 봐볼까요~?

241224
치아가 잇몸쪽 부위가 파여있죠~?
이런 증상을 우리는 치경부마모증이라고 부릅니다.
치아와 잇몸이 만나는 부분
치아의 목 부분이기 때문에 치경부라 말하는데요.
이 부위가 마모되어 치아가 깎여 나간 상태를 뜻합니다.

241224 치아 목 부위 = 치경부
나도 모르게 생긴 치경부마모증, 왜 생기는 걸까?
원인으로 꼽히는 것은 몇가지가 있습니다.
첫번째로 분노의 양치질입니다.
(옆으로 힘을 주면서 문지르는)
과도한 힘을 주고 양치하면 잇몸도 상처를 입지만
치아 옆면이 닳아 없어질 수 있습니다.
특히 옆으로 좌우로 문지르는 습관을 가지고 있진 않으신지
점검해보세요!
두번째로 턱 힘이 좋으신 분들입니다.
이 악물기라던가 씹는 힘이 좋으신 분들은
치아에 힘이 집중되면서 특정 부위가 약해질 수 있습니다.
세번째, 잇몸이 내려간 경우
노화 현상으로
잇몸 뼈가 녹으면서 치아 뿌리 일부가 노출될 수 있습니다.
어쨌거나 치아가 파이게 되면
찬 물이나 신 음식에 자극이 생깁니다.
그런데 자극이 계속되다보면 무뎌지게되어
치아가 파여나갔어도 시리지도 않고
아프지도 않습니다.

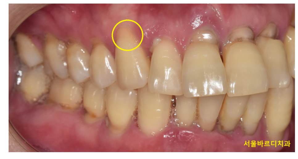
230525 심하게 파인 치아
치아 옆면 파임이다 보니
식사하는데 지장이 없어
이거... 꼭 치료해야하나? 생각할 수 있는데요.
문제는 진행이 된다는 것입니다.
매일 양치를 하고 식사를 하면서 사용을 하니까요 ^^
그대로 두게되면 더 깊이 파이면서
치아 내부 신경이 드러날 수 있습니다.
진행이 계속되면 치아가 똑! 부러질 수도 있고요.
자연 치아가 계속해서 닳아 없어지는 것이기에
좋지 않습니다.
치경부마모증 치료는 파여진 목 부위를 떼워주는
메꿔주는 것으로 아주 간단합니다!
보험이 되어 부담이 없는 재료도 있고
레진 재료도 있습니다.

250417 레진 재료로 앞니를 떼워주었습니다 .
눈에 잘 보이는 앞니의 경우 심미성이 뛰어난 레진으로 보통 치료해줍니다.
내 치아와 색상 차이가 나지 않고
본드로 치아에 접착해주기 때문에 쉽게 떨어지지 않습니다.

221201
보험이 되는 재료 gi입니다.
글래스 아이오노머라는 친구인데
이름이 어렵다보니 보험 되는 재료라 보통 말씀드립니다
불소가 나오기 때문에 시린 증상을 완화해주고
보험이 되기 때문에 비용 부담도 적습니다.
대신에 색깔이 우유 색상이라 티가 난다는 것
접착제를 쓰지 않고 얹어두기 때문에 쉽게 떨어질 수 있습니다 .
색상 때문에 잘 안보이는 어금니 부위에 주로 떼우는데요~
시리지 않아도 치료는 필요합니다!
.
“시릴 때 치료하자”라고 생각하기보다,
발견 즉시 치료하자 생각하는 것이 가장 현명합니다.
치아 수명 연장에 큰 도움이 되니까요~
마무리 요약가겠습니다.
치경부마모증은 치아 목 부위가 파여져 나간 것이다.
방치하면 더 깊이 패이기 때문에 떼워주는 것이 좋다.
레진이나 GI를 이용한 간단한 치료이다.
3가지만 기억하시면
오늘 글 제대로 읽고 가시는 겁니다 ㅎㅎ
감사합니다!
| 본 글은 의료법에 따라 의료인이 국민의 건강 증진을 위한 정보 제공 목적으로 작성한 것이며, 특정 진료나 의료기관에 대한 광고 또는 유인을 위한 내용이 아닙니다. |
#치경부마모증 #치아옆면파임