안녕하세요~
서울바르디치과 윤태호입니다!
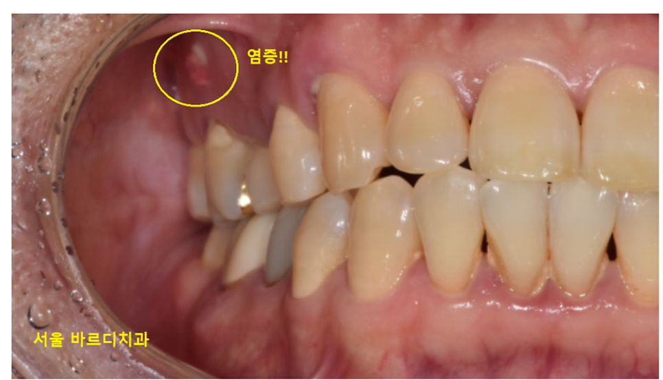
잇몸이 곪았어요.
눌러보니고름이 나와요
이런 증상으로 치과에 문의하시는 환자분들이 부쩍 많아졌습니다.
잇몸 질환은 정말 흔한데요~
특히 단순한 잇몸 붓기라고 생각하고 방치했다가,
통증이 심해지거나 고름이 생기면서 병원을 찾는 경우가 많습니다.
처음에는 잇몸이 부었다가 가라앉기 때문에
피곤한가보다... 여길 수 있는데요.
잇몸 곪음 피가 나오고 치통이 있을 때
치과 안 가고 버티다 큰일 날 수 있는 것을
알려드릴께요~~~
잇몸 고름 맛이 입에서 느껴지고
여드름처럼 부풀지는 않으셨나요~?
이렇게 말이죠!

230320
뾰루지가 나타날 수도 있고
치아 주변이 부어있을 수도 있습니다.
일반적으로 단순한 잇몸 염증이 아닐 확률이 크기 때문에
병원에 내원하셔서 정확한 진단이 필요한데요!
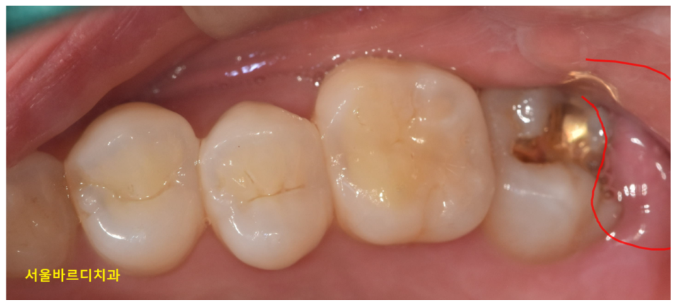
대표적인 원인으로는 뿌리 끝 염증이 있습니다.
이미 신경치료를 받았던 치아이거나
치아 뿌리 끝에 염증이 생기고 고름이 찰 수 있습니다.

240127 풍치와 뿌리 끝 염증이 동시에 있는 환자분
이 경우 겉으로는 멀쩡해 보여도 내부는 심각한 상태일 수 있죠.
두번째로는 풍치일 수 있습니다.
단순한 염증이 아닌 잇몸 뼈를 녹이고 고름이 차는 경우입니다.
이 경우는 고름도 나오지만
심하면 치아가 흔들릴 수도 있습니다.
풍치와 뿌리 끝 염증이 동시에 있을 수도 있습니다.
그 외에 치아가 깨졌다거나..
보철물에 염증이 생겼다거나
원인은 정말 다양하답니다!

250424 사랑니로인한 잇몸 부음일 수도 있죠.
병원에 오시면 환자분들이 자주 묻는 질문이 있습니다.
약 먹으면 괜찮아 지죠?
고름만 빼면 괜찮아지죠?
겉으로는 멀쩡해 보이기 때문에
잇몸 고름과 부은 것을 가볍게 여기는 경우가 많습니다.
잇몸에 염증이 있다고
치아에 통증이 느껴지는 것은 아니거든요~
또한 잇몸이 쉽게 붓는 환자분들은
피곤한가보다.. 여기는 경우가 많습니다.
그렇지만 모든 치료는 정확한 검사 후
진단되며
너무 병원을 늦게 내원하신 경우
최악의 경우 치아를 뽑을 수 있습니다.
고름을 빼는 것은 임시조치일 뿐이거든요~
원인을 파악하여 재신경치료나, 잇몸 치료 등이 동반될 수 있습니다.

22.12.16~23.11.18 치아에 때가 많이 껴도 잇몸이 부을 수 있습니다.
잇몸이 곪았을 때 증상을 느끼면
빠른 치과 방문이 중요합니다.
염증 상태를 오래 방치하면 염증이 뼈를 녹이고,
치아를 살리기 어려워질 수 있습니다.
제일 좋은 방법은 6개월에 한번씩 정기검진에 오셔서
염증이 생기기 전에 관리해주는 것이고요.
염증 초기라면 간단한 약 처방으로 호전될 수 있지만,
진행된 경우라면 적극적인 치료가 필요합니다.
특히 잇몸뼈 손상이 심한 경우,
잇몸 치료는 필수!!

230516 의외로 염증이 있어도 신경치료가 되어있으면 안아픈 경우도 많습니다.
잇몸 곪음 여드름처럼 괜찮아지는 존재가 아닙니다.
약만 먹어서 안될 가능성도 있고요.
눌렀을 때 고름이 나오거나
아프지 않다고 이러다 말겠지~ 태도는 위험합니다.
조금이라도 이상을 느끼셨다면,
바로 치과에 내원하셔서 정확한 진단을 받아보시길 추천드립니다.
감사합니다!
본 글은 의료법에 따라 의료인이 국민의 건강 증진을 위한 정보 제공 목적으로 작성한 것이며,
특정 진료나 의료기관에 대한 광고 또는 유인을 위한 내용이 아닙니다.
#잇몸곪음