안녕하세요!
서울바르디치과 윤태호 대표원장입니다.
충치 치료 했는데 더 시려요
치료 전보다 더 불편해요.
괜히 치료한것 같아요
충치 치료 후 시림을 호소하는 환자분들,
정말 ~ 많습니다.
아픈 것을 해결하기 위하여 치료했는데
증상이 더 심해진 느낌이라면 괜히 걱정이 되고
잘못된거 아닐까?
이거 쌩니 치료한거 아닐까? 싶기도 하죠~
하지만 치료 후 일시적인 시림은 흔하고,
대부분 자연스러운 회복 과정입니다.
오늘은 충치치료 후 이시림 자연스러운 반응일까 후유증일까?
이 질문에 대한 해결책을 드리겠습니다.
치료 직후에는 치아가 민감하다!
충치치료는 간단한 레진부터
심각할 경우 신경치료까지 진행할 수 있습니다.
증상을 느끼는 것은 사람 마다 다르지만
(감각에 무딜 수도 있고 예민할 수도 있으니까요)
일반적으로는 충치 부위가 클 수록
파내는 범위 역시 넓고 깊기 때문에 시림이 발생할 확률이 높습니다.
특히나 치아 신경과 가까운 충치일수록 말이죠

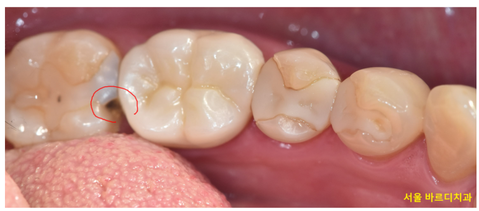
241227 치료한 주변으로 충치가 또 생겼어요.
충치를 제거하고 막는 과정이
물도 닿고 진동도 느껴지고
치아에게는 자극을 주는 행위라
시림이 발생할 수 있습니다.
넘어져서 까지면 상처가 치유될 때까지
물에 닿으면 따가운 것 처럼 말이죠


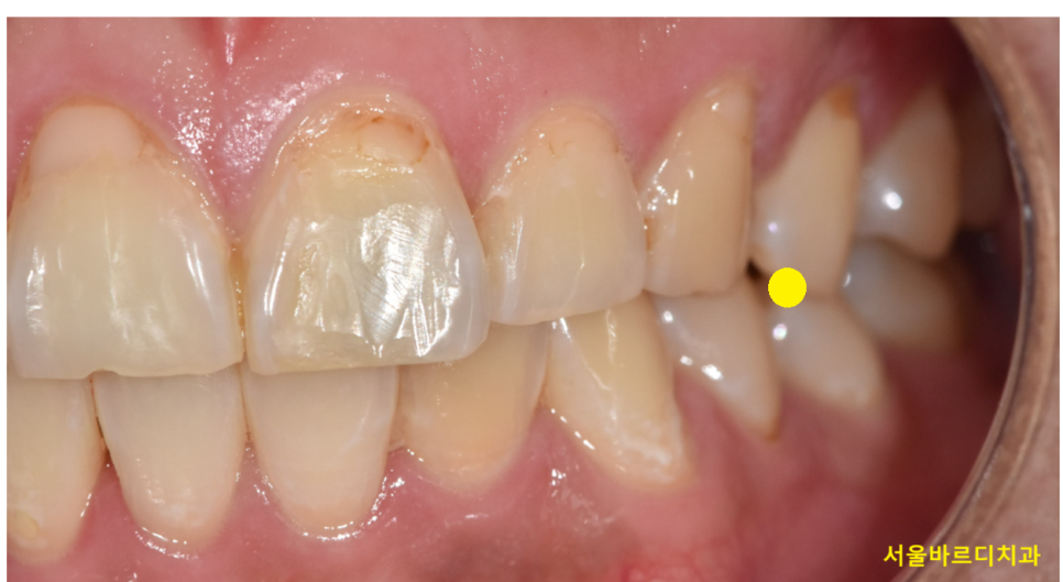
250120 치아 사이에 충치가 생겼어요!
평소보다 민감하고 예민하기 때문에
작은 온도 변화에도 차갑고 불편하게 느껴질 수 있어요.
간혹 씹는 힘에 문제가 있을 때
시림이나 통증으로 느껴질 수 있는데요.
치료한 이가 맞물릴 때 너무 빨리 닿는 경우
아프거나 시릴 수 있습니다.

250120 특정 치아가 먼저 닿으면 힘이 골구로 가해지지 않아 아플 수 있어요
치료 시 충분히 조정을 해드리지만
마취가 되어있을 때는 감각이 둔해져
높은지 잘 모르는 경우가 많습니다 .
치과에서는 괜찮다 하여도
집에 가서 마취가 풀린 후 불편할 수 있는 경우가 생깁니다.
김 한장이 들어가도 바로 느껴지는 것이 구강입니다.
이 문제는 간단하게 먼저 닿는 부분을 해결해주면
통증도 제거됩니다.
치료 전에는 안아팠는데..
치료 전에는 안아팠는데 아파와서
오해가 많이 생기는 부분입니다.
충치가 있어도 안아픈 경우가 대부분입니다.
특히 얕은 충치의 경우에는 검사 시 발견되는 것이 대부분입니다.
아파서 치과를 방문할 경우
이미 충치가 신경까지 근접하여 아프기 때문이죠~

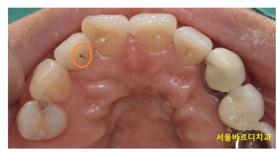
250429 치아의 2/3 이상 충치가 침범하였을 때 통증을 느끼는 경우가 많습니다 .
증상이 상당히 진행된 상태에서 내원한 것으로
안아팠을 때
충치의 크기가 작을 때 치료받는 것이 현명합니다.

241127 충치 크기가 작으면 치아 삭제량도 적고 치아에 가하지는 충격도 작습니다.
충치 치료 후 이시림 일시적입니다.
그렇지만 2주 이상 불편감이 지속되거나
증상이 점점 심해진다면 병원 내원이 필요할 수 있습니다 .
신경 염증으로 진행중일 가능성도 있고
다른 원인을 찾아보아야 하거든요~
치료 후 시림, 대부분 자연스러운 반응입니다
충치 치료 후의 시림은 환자분만 겪는 일은 아닙니다.
굉장히 흔한 증상이에요.
대부분은 며칠~2주 이내 자연스럽게 사라지지만
통증이 심하거나 오래 지속된다면
참으실 필요는 없습니다.
치료받으신 치과에 내원 후 재검진을 받아보시길 바라면서
환자분의 궁금증이 해결되셨기를 바랍니다.
감사합니다.
본 글은 의료법에 따라 의료인이 국민의 건강 증진을 위한 정보 제공 목적으로 작성한 것이며,
특정 진료나 의료기관에 대한 광고 또는 유인을 위한 내용이 아닙니다.
#충치치료후이시림