안녕하세요!
서울바르디치과 대표원장 윤태호입니다.
임플란트 관련 질문 중 자주 듣는 이야기는
이를 뽑고 수술을 언제 해야하는지? 입니다 .
이 뽑고 바로 해도 된다더라
친구는 몇달 뒤에 했다더라
같은 임플란트 수술인데도
누군가는 발치와 동시에
누군가는 몇개월 후에 시술을 받는 이유는 무엇일까요?
나에게 무언가 문제가 있어서 나중에 심는 것은 아닐까?
의문이 드실 수 있는데요.
발치후 임플란트 시기 기다려야할까 바로 해야할까?
두가지로 나누어지는 임플란트 식립 시기
총 정리해보겠습니다 .
임플란트 식립 시기, 크게 두 가지입니다.
이를 뽑고 바로 심느냐
뼈가 차오르기를 기다리느냐
이를 뽑고 당일날 바로 임플란트를 심는 것을
"즉시 식립 (당일 임플란트)"라고 표현하는데요.
잇몸 아무는 시기를 기다리지 않아도 되니
내원 횟수도 줄고
치료 기간도 짧다는 장점이 있습니다.

250124 치아 머리 부분에만 문제가 있고 잇몸 부위는 양호한 경우
모든 환자분들이 당일에 심으면 좋겠지만
남아 있는 뼈의 양도 충분하고
발치 부위에 염증이 없고
잇몸 상태가 양호해야한다는 조건이 붙습니다.

241125 한번 임플란트 식립을 한 자리는 지연 식립 가능성이 높습니다.
발치 후 뼈가 아문 이후에 수술을 진행하는 방식을
"지연 식립"라고 표현합니다.
주로 발치한 부위에 염증이 심하거나
뼈 손실이 있는 경우 이 방식으로 진행합니다.
결론부터 말하자면, 두 경우 모두 적절한 방법이며,
개인의 구강 상태와 뼈 상태에 따라 치료 시점이 달라집니다.

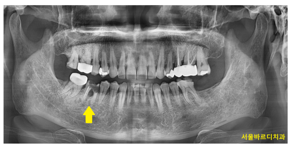
250214 x-ray 검사로 임플란트 식립 시기 확인할 수 있습니다.
일찍 심는다고 좋은것도 아니며
치유 기간을 충분히 둔다고 나쁜 것도 아닙니다.
시간은 소요 되지만
안정적이라는 장점이 있으니까요.
나는 왜 기다려야 하지...
이런 의문이 들 수 있습니다.
빨리 식사하시고 싶은 마음을 잘 알고 있습니다.

250408 뼈가 많이 녹은 경우 임플란트를 바로 심을 수 없습니다.
그렇지만 염증이 심한 경우 무리하게 수술을 강행하다
실패 확률이 높아질 수 있습니다.
두번 수술을 하게 될 가능성이 있기 때문에
회복 기간을 충분히 갖는거랍니다.
임플란트 식립 시기는 x-ray, ct등을 통해 결정됩니다.
보이지 않는 잇몸 내부안에 잇몸 뼈의 양과 질
염증 유무, 상태 등을 자세하게 관찰 할 수 있는 것이 x-ray입니다.

250409 잇몸 내부 뼈를 확인할 수 있는 ct
검사 결과에 따라 발치 당일 바로 진행하거나,
회복 시간을 둔 후 식립 시점을 계획하는 방식으로 나뉘게 됩니다.
때문에 똑같은 환자분이 임플란트 수술을 받게 되더라도
방식은 달라질 수 있다는 이야기입니다.
발치후 임플란트 시기는 사람마다 다를 수 있습니다.
무언가 문제가 있어서
나중에 심는다는 오해는 하지 말아주셨으면 좋겠습니다.
궁금한 점은 담당 의료진께 문의해주시면
충분히 상담을 통해 알려주실겁니다.
감사합니다!
본 글은 의료법에 따라 의료인이 국민의 건강 증진을 위한 정보 제공 목적으로 작성한 것이며,
특정 진료나 의료기관에 대한 광고 또는 유인을 위한 내용이 아닙니다.
#임플란트식립시기 #발치후임플란트시기