안녕하세요~
서울바르디치과 대표원장 이주리입니다.
거울을 볼 때 앞니가 아래 치아를 많이 덮고 있는 모습
이런 경험 있으신가요?
혹은 치과에서 윗니가 깊게 물리네요~
이런 얘기를 들어보셨다면
과개교합
deep bite를 가지고 계실 확률이 높습니다!
이 증상은 심미적인 문제도 있지만
턱관절 건강, 치아 마모 , 씹는 기능과도 밀접한 관련이 있습니다.
아랫니가 안보여요 과개교합 문제점 알아보아요!
이번 글에서는 과개교합이 무엇인지,
왜 생기는지, 어떤 문제를 유발할 수 있는지에 대해 알아보겠습니다.
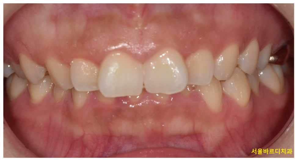
전치부 과개교합이란?
정상적인 교합 상태에서는
윗앞니가 아래앞니를 약간 덮고 있습니다.
그런데 지나치가 많이 덮는 상태를 과개교합
deep bite라 표현합니다.
보통 다음과 같은 모습이 관찰됩니다

250430
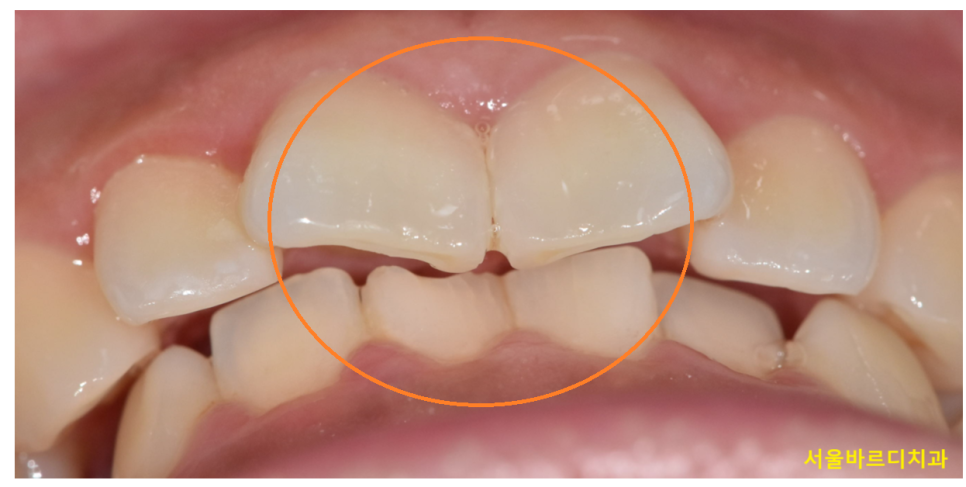
이를 앙 물었을 때 아래 치아가 거의 보이지 않거나
윗니가 아랫니를 과도하게 덮는 모습이죠.

250430
어떤 경우에는 아랫니가 윗 치아와 닿아
갈려 나가는 마모된 모습을 관찰할 수 있습니다.
과개교합 원인은?
왜이렇게 위 아래 치아가 깊게 물리는 것일까요??
딥바이트는 유전적인 영향부터 생활 습관, 치열 성장까지
여러 요인에 의해 발생할 수 있습니다.
첫번째로 턱뼈의 성장 문제가 있습니다.
위턱과 아래턱의 성장 속도가 달라 교합이 어긋날 수 있습니다.

250430 턱 성장의 차이
두번째로 치아의 위치가 잘못된 경우입니다.
윗앞니가 너무 아래로 내려오거나
아래 앞니가 너무 짧은 경우에 해당합니다.
세번째로 악습관도 있습니다.
이갈이나 이 악물기와 같은 안좋은 습관은
장시간 치아에 압력을 주다보니 교합이 깊어지는 경향이 있습니다.
네번째로 유치가 너무 빨리 빠지는 경우입니다.
치아가 교체되는 시기 치열이 틀어지면서
아랫니가 안보여요 증상이 생기는거죠!
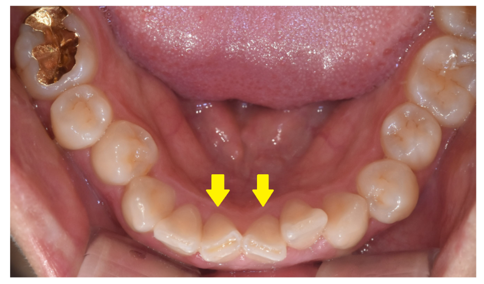
과개교합이 유발할 수 있는 문제들
단순히 아래 앞니가 안보이는 문제를 넘어
다양한 기능적·심미적 문제를 유발할 수 있습니다.

250430
아래 앞니가 윗니에 지속적으로 닿으며 마모되거나,
윗니가 아랫니를 강하게 누르면서 깨질 수 있습니다.
두번째로 위 아래 앞니가 너무 깊게 물리다보니
턱관절 통증이나 소리가 발생할 수 있습니다.
치아 배열이 비정상적이다 보니
음식물을 자르는 저작 기능이 떨어질 수 있습니다 .
아래 앞니가 보이지 않다보니
심미적인 문제점도 있고요.
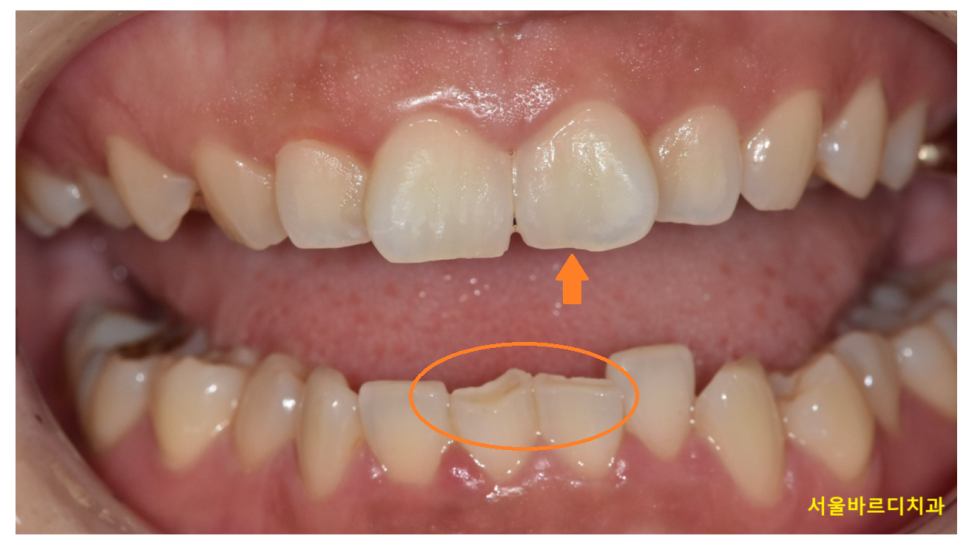
꼭 교정해야하나요?
아래 치아가 보이지 않는다고
위 아래 앞니가 깊게 물린다고 해서 무조건 교정 치료가 필요한 것은 아닙니다.

250430 깊게 물려 깨지고 닳은 앞니
그렇지만 환자분이 불편감을 느끼거나
턱관절 증상이 있다거나
심미적인 고민이 큰 경우에는 고려해보셔도 좋습니다.
치료 여부는 개인의 상태, 연령, 증상 유무 등에 따라 다르며
정확한 분석과 진단을 바탕으로 판단하게 됩니다.
특히나 과개교합은 치아 위치만 조절하는 것이 아닌
위 아래 물리는 교합 관계를 조절해야해서
정밀함이 요구됩니다.
스스로 판단하지 마세요!!
가장 중요한 것은 치과나 교정과 전문의와의
충분한 상담입니다.
모든 경우에 교정이 필요한 것은 아니기 때문에
증상 여부
현재 나타나는 문제점에 따라서 치료가 결정되니까요.
정리해보자면...
아래 앞니가 안보이는 것은
윗니가 깊게 물리는 과개교합 증상입니다.
심미적인 이유 외에도
기능적인 문제가 발생할 수 있다.
알아가시면 좋을 것 같습니다.
감사합니다.
본 글은 의료법에 따라 의료인이 국민의 건강 증진을 위한 정보 제공 목적으로 작성한 것이며,
특정 진료나 의료기관에 대한 광고 또는 유인을 위한 내용이 아닙니다.
#아랫니안보여요 #과개교합 #딥바이트