안녕하세요~
서울바르디치과 대표원장 이주리입니다.
치아교정을 마친 환자분들 중 일부는 시간이 흐른 뒤
다시 치아가 벌어지거나 삐뚤어지는 현상을 경험합니다.
분명히 치아교정이 끝난 직후에는 가지런했던것 같은데
왜 다시 흐트러졌을까요?
치아교정 재교정 다시 삐뚤어진 치아 원인과 해결방법은?
오늘은 많은 분들이 궁금해하는
재교정의 원인과 필요성에 대해 자세히 알려 드리겠습니다.
1)원인
2)치료방법
3)예방법
3가지 측면으로 말씀드릴께요~
다시 삐뚤어진 치아 대표적인 원인은?

꼈다 뺐다하는 유지장치
첫번째, 유지장치(리테이너) 미착용
가장 흔한 원인입니다.
교정 치료가 끝난 후 치아는 원래 위치로 되돌아가려 성질이 있습니다.
(기억력이 매우 좋아요!)
이를 막기 위해 리테이너를 착용해야 하는데,
초반 1년은 밥 먹는 시간 빼고 착용하라고 말씀드릴 정도입니다.
착용을 소홀히 하거나
조기에 끼는 것을 중단하면 재교정이 필요할 수 있습니다.
두번째, 성장기의 변화
청소년기에 교정을 마친 경우,
턱뼈나 얼굴의 성장이 완전히 끝나지 않았기 때문에
성인이 되면서 치아 배열이나 교합이 변형될 수 있습니다.
세번째, 습관성 문제
혀를 두는 위치에 따라서도 치아 배열에 영향을 미칩니다 .

올바른 혀의 위치 출처 ; 보건복지부
혀끝은 딱딱한 입천장 앞부분
혀의 앞 2/3 부분은 윗 입천장에 부드럽게 붙어야합니다.
그런데 혀를 아래 치아에 대거나
혀 내밀기 습관을 가진 환자분들이 많습니다.
무의식 중에 치아에 힘이 가해져
치아 배열에까지도 영향을 미칠 수 있답니다 .
네번째, 치아 상실 또는 보철물 문제
치아를 발치하거나 크라운·브릿지 등 보철치료 이후에
치아 위치가 변동될 수 있습니다.
다섯번째, 원래 교정 목표 미달성
과거 교정 당시 치료계획이 미흡했거나
환자 협조 부족, 구강 상태 변화 등으로 충분한 결과를 얻지 못했을 때 재교정을 고려하게 됩니다.
조기에 교정 장치를 뗀 경우도 해당하겠네요.
치아교정 재교정 환자분 결정에 달려있습니다.

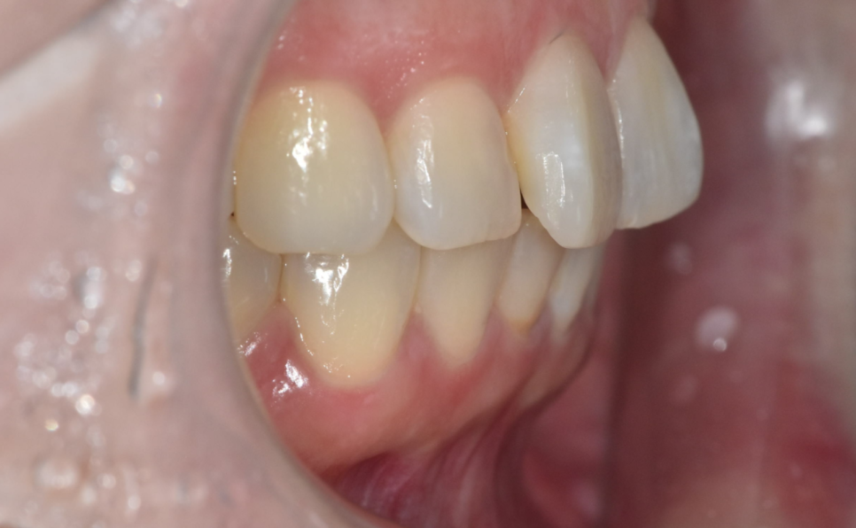
250418 치아 교정 후 경미하게 틀어진 앞니
모든 경우에 재교정이 필요한 것은 아닙니다.
변형 정도가 경미하다면 투명 교정으로 해결하기도 하고
환자분이 크게 스트레스 받지 않는 경우에는 그냥 지내셔도 됩니다~
하지만 치아 배열 변화가 심해져
씹는 기능에 문제가 있거나 심미적으로 스트레스를 받는 경우에는
고려해보셔도 되는데요.
재교정의 치료 방법
다시 삐뚤어진 치아 정도에 따라
전체 치아 모두 진행하기도 하며
일부만 교정을 하기도 합니다.

250414 필요한 부위만 재교정
-
투명교정
-
부분 교정
-
전악 교정
교정 기간은 부분으로 진행하게된다면 짧게는 6개월
전악으로 진행하면 2년 넘게 진행될 수도 있습니다.
투명 교정은 환자분이 장치를 착용하는 시간에 따라
치료 기간이 결정되고요.
재교정을 예방하는 방법
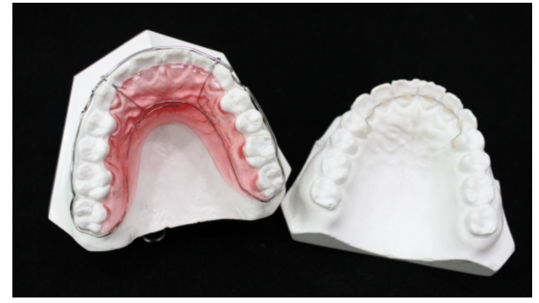
첫번째, 유지장치 착용 지침을 철저히 지키세요.
끼는 장치도 밤에 주무실때라도 꼭 착용하시고
치아 뒤에 붙이는 철사의 경우에는 제거하지 않는게 좋습니다.

230513 철사는 최대한 오래 붙이고 계신게 좋습니다 .
구강 악습관(혀 내밀기 등)이 있다면 의식적으로 교정하셔야합니다.
정기 검진을 통해 치아 위치가 변동되는지
파악하셔야하고요.
한 번 교정했다고 끝이 아닙니다.
혹시 치아 배열이 다시 변하고 있다면 너무 걱정 마세요.
요즘은 예전보다 부담이 적은 다양한 재교정 방법이 있다는 것
기억해주세요!!

#치아교정재교정 #다시삐뚤어진치아