안녕하세요
서울 바르디치과 이주리 대표원장입니다.
“이 나이 먹고 틀니 말고 방법이 있을까요?”
“임플란트는 너무 많아서 비용이 감당이 안 돼요...”
치아가 거의 다 없어진 상황,
매일 흔들리는 치아 때문에 식사는 먹는둥 마는둥
사람 만나는 것도 불편하셨던 분들 많으시죠.
그렇다고 전체 임플란트를 심자니
비용도 한두푼이 아닌데요.
긴 치료 기간이 부담스러워 망설여지기도 합니다.
이럴 때, 최근 주목받고 있는 방법이 있습니다.
바로 단 4개의 임플란트로 상실된 치아 전체를 복원하는 치료,
올온포(All-on-4)입니다.
과연 이게 가능한 일일까요?
어떻게 4개로 전체를 지지할 수 있을까요?
틀니와는 뭐가 다른지
처음 들어보실 수 있는 올온포에 대하여
어떤 분들이 주로 하는지
장단점 상세하게 정리해보았습니다.
전체 임플란트를 고려 중이셨다면 꼭 읽어보세요!!!!
완전히 새로운 선택지가 될 수 있습니다.
올온포
All on 4
치아가 전체적으로 상실된 경우,
가장 먼저 떠올리는 치료는 틀니나 임플란트입니다.
이런 환자분들에게 또 다른 대안이 될 수 있는 치료 중 하나가
올온포 치료 방식입니다.
all on 4

23.10.24
이름 그대로 4개의 임플란트만으로 전체 치아를 복원하는 방식을 의미합니다.
일반적으로 전체 임플란트를 한다 가정하면
8-10개 정도는 식립이 필요합니다.
그렇지만 올온포는 그의 절반 4개-6개를 식립하여
전체를 지지할 수 있게 설계합니다.
흔히들 말씀하시는 똑딱이 틀니와는 치료 방식이 약간 다른데...
올온포는 틀니를 사용하지 않으셔도
임플란트 4개만으로 전체 치아를 수복하는 방식입니다.
똑딱이 틀니는 임플란트를 심고 그 위에 틀니를 얹는 형태이고요
어떤 환자에게 적합할까?
-
치아가 거의 없거나, 전체적으로 발치가 필요한 경우
-
기존의 틀니가 불편하고 불안정하신 분
-
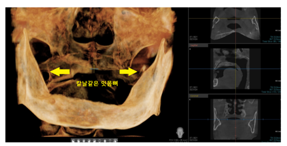
턱뼈가 많이 흡수되어 일반 임플란트가 어려운 경우
모든 분이 해당되는 것은 아닙니다.

231024
특히 틀니를 오래 쓰신 환자분.
어금니 뼈가 부족하여 임플란트 수술이 어려운 환자분들이
권장되고 있습니다.
분석이 중요하기 때문에
CT 촬영도 선행되어야하고요.
치아가 다 없어도 임플란트 4개만으로 복원이 하기에....

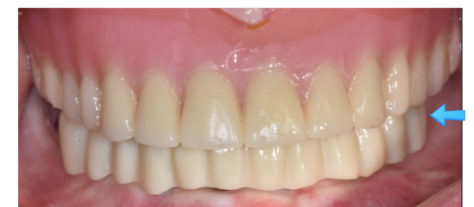
240203
무엇보다 전체 식립이 아닌 4개만 식립하여도 되니
수술 부담감이 적습니다.
금액적으로도 절약이 됩니다.
틀니보다 고정력이 우수하고
꼈다 뺐다 하지 않아도 된다는 가장 큰 장점이 있습니다.
외관적으로도 틀니에 비하여 자연스럽습니다.
내 치아처럼 쓸 수 있어
발음이나 저작력 같은 기능적인 회복도 가능하고요

240203
단점으로는 임플란트 처럼 염증이 생길 수 있고
청결 유지가 필요합니다.
이건 모든 치과 치료에 해당하는 내용이라
더 언급 드리지 않겠습니다.
과거엔 치아가 모두 없어진 경우
틀니 or 전체 임플란트만이 대안이었지만,
이제는 ‘올온포’라는 선택지가 생겼습니다.

240203 올온포 모습
전체 임플란트보다 덜 부담스럽지만
틀니보다 잘 씹을 수 있고
편하게 쓸 수 있다
3가지만 기억하시면 되실 것 같습니다.
모든 치료에는 장단점이 있고,
개개인의 상태에 따라 적합한 방식은 달라질 수 있습니다.
만약 전체 치아 상실로 고민하고 있다면,
정밀한 상담과 진단을 통해 나에게 맞는 치료법을 찾아 보세요!
이주리였습니다!

#올온포