안녕하세요~
서울바르디치과 대표원장 이주리입니다.
앞니가 못생겨서 사진 찍기 싫어요...
거울을 볼 때마다 앞니가 신경쓰이다보면
다른 사람에게 어떻게 보여질지 신경쓰게 되고
자연스럽게 위축되기 마련이죠.
교정할까 말까,
아직도 검색만 하고 있으시진 않나요?
삐뚤빼뚤하게 자리 잡은 덧니는
보기만 불편한 게 아닙니다.
칫솔질이 어려워 충치가 잘 생기고,
치아 사이에 음식물이 자주 끼며,
심하면 턱관절 통증이나 잇몸질환까지 유발할 수 있죠.
상일동에서 교정을 고민 중이신 분들께
덧니가 생기는 원인부터 치료 시기, 방법까지
꼭 알고 가셔야 할 내용을 정리해드릴게요.
앞니 덧니 때문에 웃기 불편하다면? 상일동에서 치아교정 솔루션

앞니 덧니란? 왜 생기는 걸까?
앞니 덧니란,
영구치가 날 때 자리가 부족하거나
위치가 어긋나 앞니가 겹치듯 배열된 상태를 말합니다.

250203
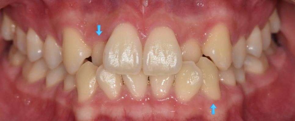
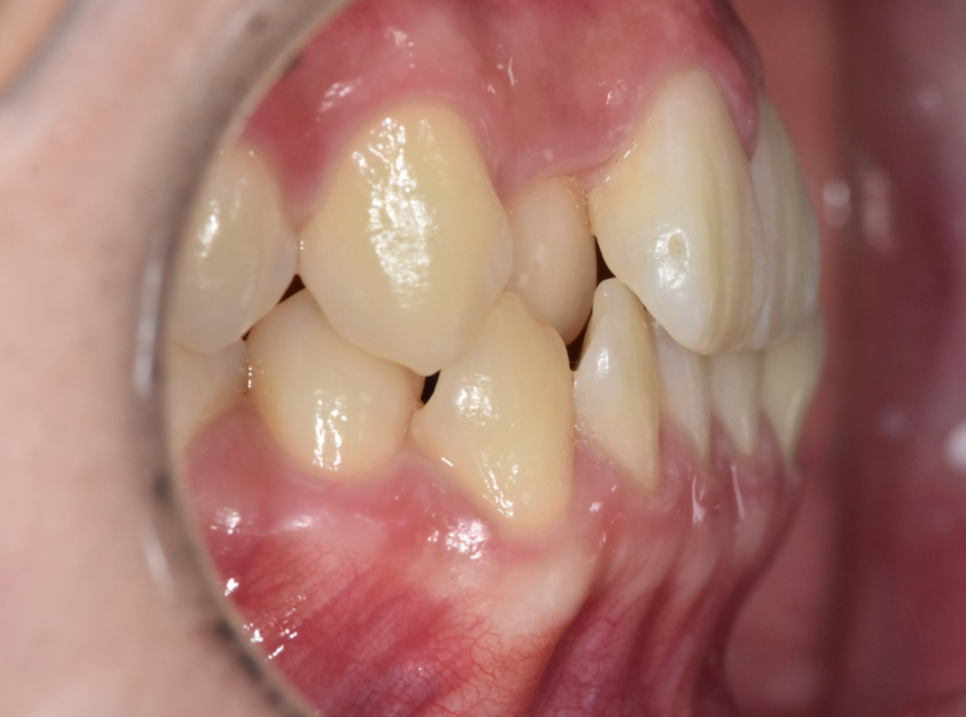
사진처럼 다른 치아에 비하여 안쪽으로 들어가 있기도 하고
튀어 나와있는 경우도 있지만
치아 배열이 울퉁불퉁한 것이라 보시면 됩니다.
주요 원인은 다음과 같습니다
-
턱뼈 크기에 비해 치아가 큰 경우
-
유치가 너무 일찍 빠졌거나, 반대로 너무 늦게 빠진 경우
-
구강 습관 (손가락 빨기, 입으로 숨 쉬기 등)
특히 현대인의 경우
턱뼈는 작아졌지만 치아 크기는 그대로인 경우가 많아
공간 부족으로 인한 덧니가 흔해졌습니다.
단순히 심미적인 문제만 있는 것은 아닙니다.

250616 양치가 어렵겠죠?
들어가 있는 치아와 나와있는 치아
불규칙한 치아 배열로 칫솔질이 어렵고
양치가 잘 안되는 사각지대가 생길 수 있겠죠??
충치·잇몸질환 위험이 증가할 수 있고
교합이 맞지 않아 턱관절에 무리가 가해질 수 있습니다.
제일 큰 문제는 심리적 위축으로
자신감 저하와 관련된 부분이에요.

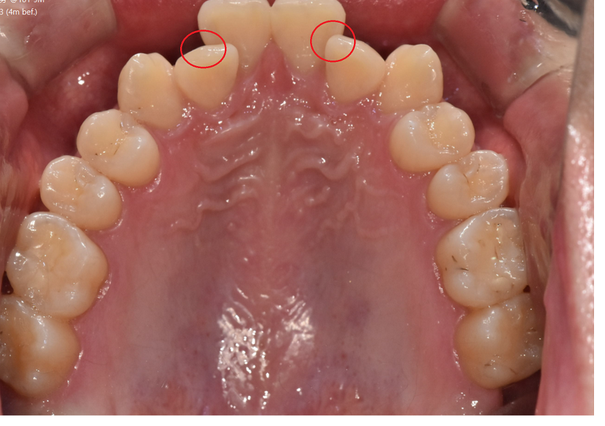
250203
특히 앞니는 사람의 인상을 결정하는 핵심 부위이기 때문에,
외모에 대한 스트레스를 동반하기도 하죠.
"앞니 때문에 취업이 잘 안되는 것 같아요.."라고
고민을 말씀하셨던 환자분이 생각납니다.
덧니를 치료하는 방식은 교정, 보철과 같은 치료가 있습니다.
보철의 경우 앞니에만 한정적이라면
고민해볼 수 있겠으나
교합까지 문제가 있는 경우
치아를 전반적으로 이동 시켜
재배열해주는 치아교정이 추천됩니다.

250616
상일동 치아교정에서는 다음과 같은 방법이 활용됩니다.
치아 상태, 환자분 연령을 고려
부분 교정, 전체 교정
발치를 해야할지 비발치로 진행할지
투명 교정을 할지 브라켓을 붙이는 철사교정으로 할지 말이죠.
덧니의 정도에 따라 선택지가 다르기 때문에,
정밀 진단이 꼭 필요합니다.
오늘의 저의 솔루션
도움이 되셨나요?
치아 교정, 꼭 누가 시켜서 하는 게 아니에요.
거울 속 내 미소가 마음에 들지 않을 때,
‘이제는 바꿔볼까?’라는 생각이 든다면, 그때가 바로 시작할 타이밍입니다.
도움이 필요하시다면 전화주셔도 좋습니다.
☎02-481-4278
긴 글 읽어주셔서 감사합니다!

#상일동치아교정 #앞니덧니