안녕하세요,
환자분들의 미소를 만들어드리는
서울 바르디치과 대표원장 이주리입니다.
치과의사로 환자분께 정보를 전달해드리고 있는데요.
오늘은 최근 주목받고 있는 MTA 교정에 대하여
소개해드릴까 합니다.
가장 얇고 작은 장치를 사용하여
심미적이지만
빠르게 교정할 수 있는데요.
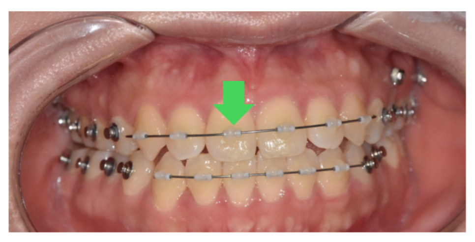
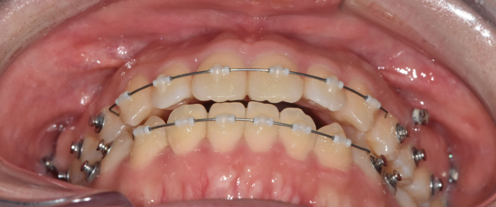
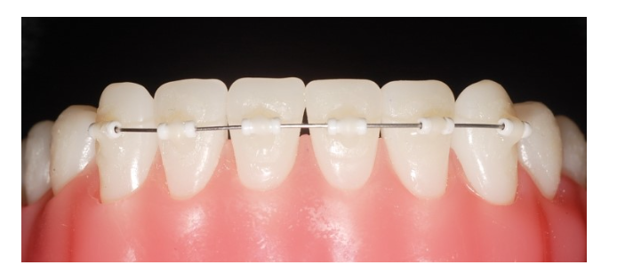
mta 장치 교정 앞니만 빠르게 심미적으로 정리할 수 있습니다.
3분만 집중해주시길 바랍니다.

mta 장치 들어보셨나요?
Mini Tube Appliance라고 하여
아주 작은 튜브 형태의 브라켓을 치아 표면에 부착하여
와이어를 연결하는 방식입니다.

250304
작고 얇으며
치아 색깔과 비슷하여 티가 많이 나지 않습니다.
부분 교정에 주로 적용하죠~
앞니만 삐뚤한데 꼭 전체 교정을 해야 할까요?
생각보다 많은 분들이 이런 고민을 합니다.
상담을 받아보면, 대부분
전체 교정이 필요하다, 기간이 오래 걸린다는 말에
포기하거나 망설이시는 분들이 많죠.
이럴 때 대안이 될 수 있는 교정 방법이 바로
MTA 장치 교정입니다.

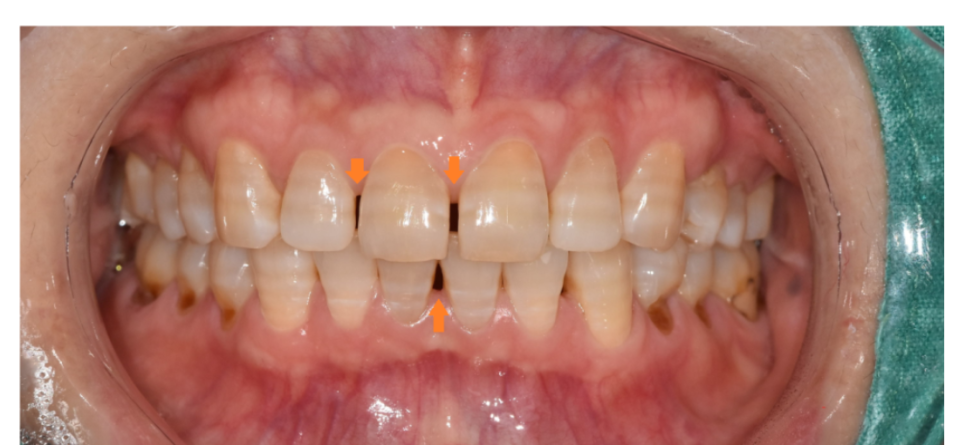
240220 벌어진 치아
이런 분들께 추천해요!!!
-
✔ 앞니만 살짝 틀어졌거나 벌어졌어요
-
✔ 웃을 때 보이는 치열이 불만이에요
-
✔ 교정 기간이 너무 길까 봐 걱정돼요
-
✔ 재교정이 필요한데 전체 교정은 부담돼요
-
✔ 돌출입 개선도 함께 원해요
제일 큰 장점은 장치가 작고 얇아
큰 불편감이 없습니다.
일반적인 철사 교정에 비해서 말이죠!
때문에 치아가 움직이더라도 통증이 적습니다.
가해지는 힘은 적지만
치아 이동 속도는 빠른데요.
MTA 장치는 말 그대로 여러 개의 튜브(관형 브라켓)를 활용하여
앞니에 정확한 방향과 강도의 힘을 가할 수 있는 교정 시스템입니다.

250622
기존 장치보다 세밀한 조정이 가능해서
짧은 시간 안에 원하는 위치로 치아를 유도할 수 있습니다.
역시나 치아 교정 방식 중 하나이기에
미니스크류나 고무줄 사용이 병행될 수 있습니다.
치아 상태에 따라 다르지만,
앞니 부분 교정의 경우 평균 3~8개월 정도면
눈에 띄는 변화를 기대할 수 있습니다.
이는 움직여야 할 치아 수가 적고
이동 거리가 짧기 때문이에요.
돌출입이라던가
뿌리 이동량이 많을 경우는 시간이 더 소요됩니다.

거울을 보며 살짝 벌어진 틈새
틀어진 치아 한개로 매일 신경쓰고 계신가요?
전체 교정은 부담스럽고
그렇다고 이대로 두기엔 부담스러운 상황이라면
mta 장치 교정이 대안이 될 수 있습니다.
특정 부위만을 집중적으로 개선하는데
주로 사용되는 방법입니다.
오늘 소개해드린 mta 장치 교정처럼
개인의 상황에 알맞은 치료 옵션이 준비되어있습니다.
모든 교정이 복잡하고
기간이 오래 걸리는 것은 아닙니다.
혼자 고민해보시지 말고
교정 원장님과 상의해보시길 추천드리면서
이만 마무리 하겠습니다.
감사합니다.

#mta #mta장치교정 #mta교정