안녕하세요~
서울바르디치과 대표원장 이주리입니다.
이미지는
타인이 나를 바라보는 전체적인 인상입니다.
겉모습뿐 아니라, 말투, 표정, 태도, 분위기,
그리고 치아처럼 작은 디테일까지 모두 포함돼요.
어릴 땐 덧니가 귀엽다고 칭찬받았지만,
성인이 된 지금은 사진 찍을 때마다 입을 꼭 다물게 됩니다.
예쁜 치아 배열이 곧 인상이 되는 시대.
이제는 덧니가 콤플렉스로 다가오는 분들이 많습니다.
고덕동 교정 치과 성인 덧니 교정 지금도 늦지 않았습니다.
덧니 교정, 꼭 필요한 이유와 방법을 알려드릴게요.

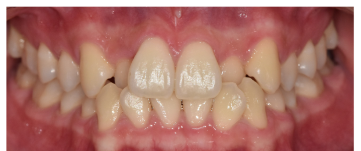
덧니는 일반적으로 치열이 고르지 못하고
치아가 겹쳐 나거나 제 위치에서 벗어나 난 상태를 말합니다.
치아가 울퉁 불퉁 배열된 것이죠~

250203
흔히 윗니 옆의 송곳니가 잇몸 위쪽으로 튀어나와 있는 경우가 많아
드라큘라 이빨이라고 불린답니다.
최근 태어나는 아이들의 경우 덧니 비율이 굉장히 높다고 합니다.
예전에 비해 턱은 작게 태어나는데..
치아 크기는 똑같기 때문이죠.
그 외에도 이유는 많습니다!
-
유치가 너무 일찍 빠져서 공간이 막힌 경우
-
유치가 너무 늦게 빠져 영구치가 비정상적으로 나는 경우
-
악습관(손가락 빨기, 혀 내밀기 등)으로 치열이 틀어진 경우
유치가 너무 빨리 빠져도
늦게 빠져도 문제가 생깁니다.
어린 시절 습관으로도 문제가 발생할 수 있고요.

241118
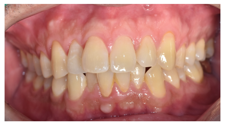
덧니는 이미지만의 문제가 아닙니다.
단순히 보기만 불편한 게 아니라,
치아 건강에 다양한 문제를 유발할 수 있습니다.
치아 배열이 겹쳐져 있고 하다보면
양치질이 어렵게 되고

241118
충치나 잇몸병의 위험이 증가합니다.
턱관절에 무리를 주는 경우도 많고
외모 콤플렉스로 자꾸 입을 다물게 되니
무뚝뚝한 인상이 되거나
우울하게 보이기도 합니다.
비정상적인 힘이 치아에 전달되면서
빠른 마모, 치근 노출 발생하게 되고
치아 수명도 단축될 수 있습니다.
그래서 많은 분들이 성인 덧니 교정 해볼까?
라는 고민을 하게 되는 거죠.

241209
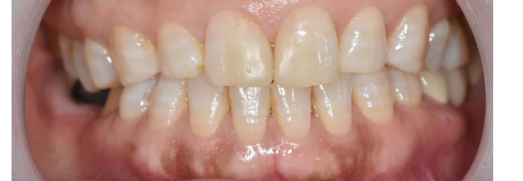
이미지 변신과 함께
구강 건강도 지킬 수 있습니다.
성장은 멈췄지만,
치아는 언제든지 이동이 가능하기 때문에
성인 덧니 교정 효과 있습니다!
치아 상태에 따라 발치 여부가 결정되기도 하며,
치조골 상태나 턱관절 상태까지 고려해
정확한 진단 후 치료 계획이 세워집니다.
성인은 자신이 느끼는 콤플렉스를 중심으로
진행됩니다.
단순히 치열만 가지런하게 만드는 것 이상의 가치를 갖습니다.
자신감도 되찾을 수 있으니까요.
치아는 어릴 때만 교정하는 게 아닙니다.
지금도, 성인인 지금도
교정은 늦지 않았고,
오히려 더 만족감이 크실 수 있습니다.
덧니 교정은,
내 구강 건강을 지키는 첫걸음이 될 수 있습니다.
감사합니다.
#성인덧니교정 #고덕동교정치과