안녕하세요
서울바르디치과 대표원장 이주리입니다.
최근 환자분과 대화를 하던 중
깜짝 놀란 일이 있습니다.
앞니끼리 닿지 않아
음식을 자르는데 불편하실꺼같아 여쭤보니...
원래 이렇지 않나요..? 라는 답변을 들었거든요.
면을 못 끊어먹는다고요?
그게 정상은 아닙니다.
"왜 자꾸 면이 안 끊어지지?"
이건 앞니가 제 기능을 못 하고 있다는 신호로
부정 교합일 수 있습니다 .
앞니 안물림 면을 끊어먹지 못하는 개방교합 치료가 시급합니다.
오늘은 개방교합에 대하여 안내해드리겠습니다.

여기서 잠깐...
치아의 기능을 살펴볼까요?
어금니는 음식을 부수고 씹어먹는 기능
송곳니는 질긴 고기를 찢어주는 역할
앞니는 면을 잘라주는 역할을 수행합니다.
앞니는 단순히 웃을 때 보이는 예쁜 치아가 아닙니다.
기능적으로는 자르기와 끊기를 담당합니다.

230608
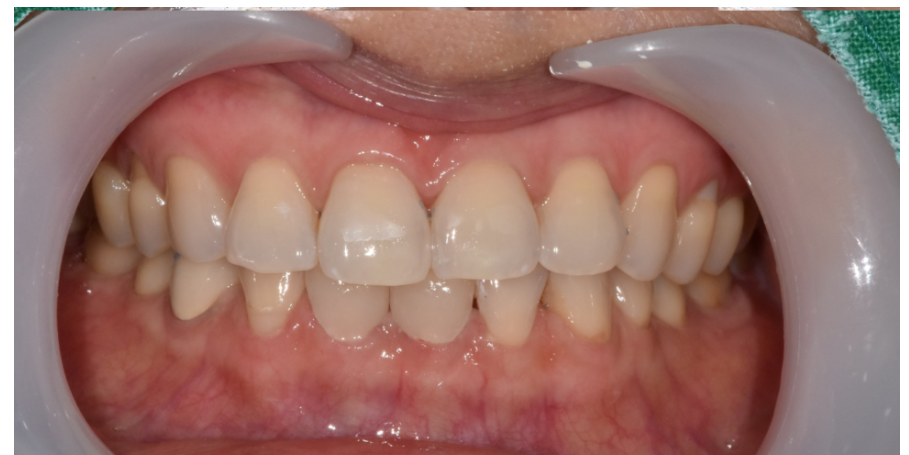
정상적인 앞니 교합은 위앞니가 아래앞니를 살짝 덮고 있는 상태입니다.
너무 깊게 물려도 좋지 않지만
더욱 심각한 상태가 개방교합인데요.
바로 오늘 환자분처럼 앞니 안물림 현상으로
면을 끊어먹지 못하는 경우이죠.
개방교합이란?
개방교합은 입을 다물었을 때도
앞니 사이가 떠 있는 상태를 말합니다.

개방교합은 위·아래 앞니 사이 공간이 있다 보니
서로 닿지 않는 것이 특징입니다.
앞니 공간이 있다보니
공기가 새고 발음 역시 좋지 못합니다.
면을 자르는 역할도 수행을 못하고
음식 섭취에 불편함이 생기죠.

주로 어린 시절 혀를 내미는 습관을 가졌다거나
손가락 빨기를 오래 하였거나
쪽쪽이를 너무 오래 사용하는 경우
개방교합이 생길 수 있습니다.

앞니 사이 공간이 있다보니 보기도 안좋지만
교정 치료가 꼭 필요한 부정교합중 하나입니다.
아무래도 음식물이 제대로 씹히지 않아
소화기관에 부담을 줄 수 있고
발음이 새다보니 부정확할 수 밖에 없습니다.
정말 심한 개방교합을 가진 환자분들은
어금니도 안닿는 경우도 있는데요.
이 경우 교합이 불안정하기 때문에
턱관절에 무리가 갑니다.
활짝 웃으면 앞니 사이 공간이 있다보니
외모 콤플렉스가 생길 수도 있고요.
특히 성장기 아이들을 가진 부모님들이라면
꼭 한번 관심을 가져주셔야해요!
단순히 치열만 교정하면 되는 경우도 있지만
턱 뼈 교정이 필요한 경우도 있습니다.
조기 치료를 놓치면 추후 양악수술과 같은
외과적 치료가 동반되어야합니다.
-
면을 잘 못 끊어먹는다
-
치아가 뜨는 느낌이 있다
-
발음이 자주 새거나 부정확하다
-
웃을 때 앞니가 보이지 않는다
위 항목 중 1개라도 해당 된다면 치과 내원이 필요합니다.
앞니로 음식을 자르는게 정상입니다.
스스로 느끼는 불편함이 작더라도,
원래 그게 정상이라고 생각하지는 말아주세요!
앞니는 자르고 끊는 기능을 합니다.
앞니가 닿지 않는 교합,
개방교합은 생활의 질을 떨어뜨릴 수 있습니다.
앞니로 잘 끊어먹는 것이 정상입니다.
감사합니다.
#앞니안물림 #개방교합