안녕하세요,
서울 바르디치과 대표원장 이주리입니다.
앞니 모양으로 고민하시는 분들이 참으로 많습니다.
오늘 고민을 털어놓으신 환자분은
배열이 아닌 치아 크기로 상담온 환자분이였습니다.
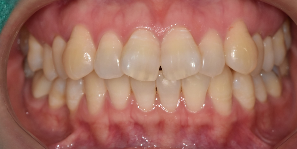
앞니가 유난히 커요..
크기가 고민이라고 하셨는데
하지만 검진을 해보니
치아 배열에 문제가 있던 것이죠.
오늘 환자분이 왜 이런 생각을 하셨는지 ,
나비 모양 앞니 2가지 방법으로 개선 가능합니다.
개선책까지 안내해드리겠습니다.


250621
이 글을 보시는 환자분들도
앞니가 유독 크게 느껴지시나요??
환자분은 부정교합인지 모르셨다고 해요.
잘 씹히고 문제 없이 사용해 오셨으니까요.
단지 앞니 크기가 고민이셨던 건데요.
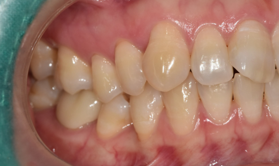
치아 크기가 다른 환자분과 비교해보았을 때
전혀 문제가 없는 분이었습니다.
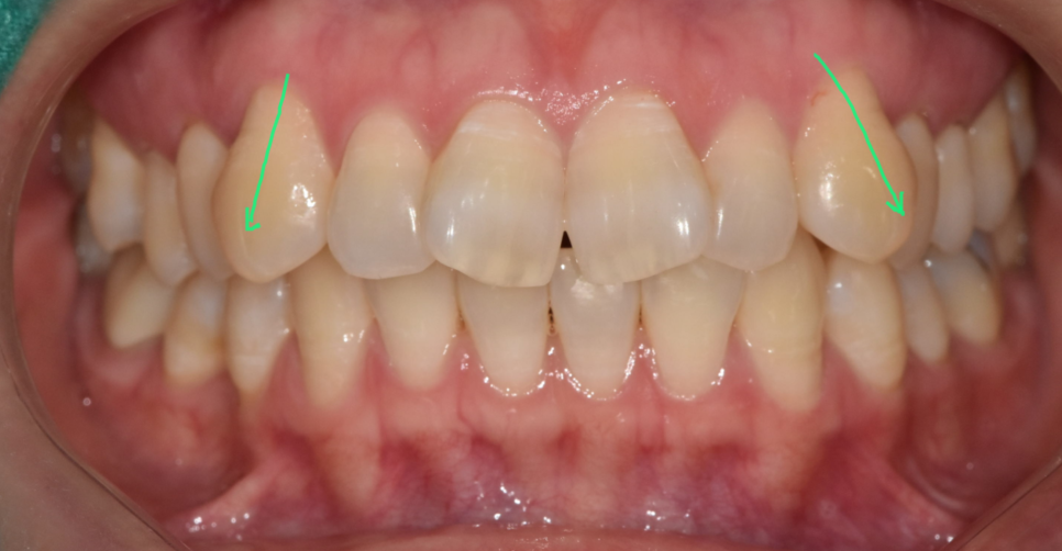
앞니가 유독 큰 게 아니라
치아 배열이 틀어지고, 각도가 벌어지면서
앞니가 더 도드라져 보였던 거였어요.
이런 형태의 앞니를 나비 모양 앞니라 표현합니다.

250621
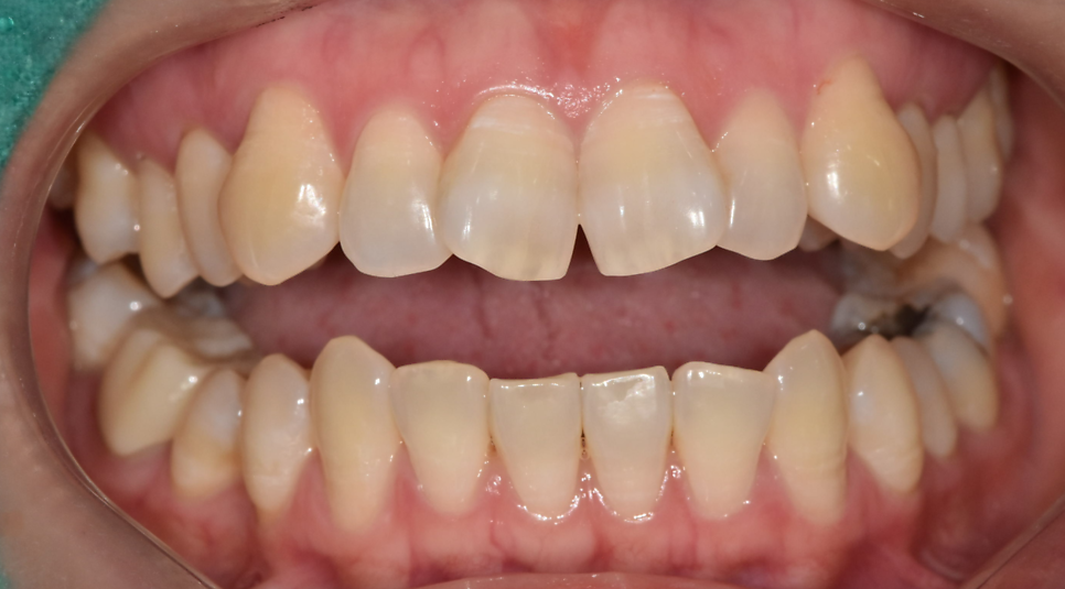
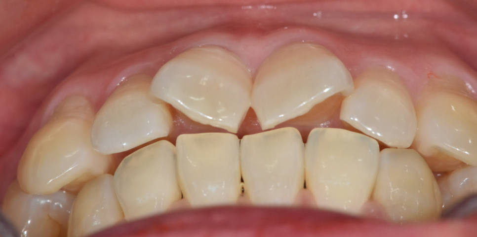
안쪽에서 보면
나비가 양 날개를 펼친 모양이죠???
윗 앞니 두 개가 양옆으로 벌어져
나비 날개처럼 보이면,
실제보다 더 커 보이고 눈에 띌 수밖에 없습니다.

겉으로는 크게 배열에 문제가 없어보여도
보는 시선을 조금만 달리 보아도
부정교합인 것을 확인할 수 있습니다.

250621
겉으로 보이는 문제 뒤에 숨어 있던
진짜 이유를 알려드리자, 환자분도 놀라워하셨습니다.
이럴 경우 치아 크기를 줄일 것이 아니라
배열을 개선해준다면
환자분이 가지고 계신 고민
해결 가능합니다.
이런 경우 크게 두 가지 선택지가 있어요
1)앞니만 부분 교정한다.
- 전체 교정을 진행한다.

250621
환자분은 교합에는 문제가 없었기에
앞니만 재배열하는 부분 교정도 가능했습니다.
부분 교정은 양 옆으로 벌어진 나비 모양 앞니를
재배열 하면서 심미적인 만족감을 드릴 수 있습니다.
그렇지만 전체 치아를 움직이는게 아니다보니
일부 기능적인 개선은 제한적일 수 밖에 없는데요.
환자분은 30대 후반으로
약 2년 정도 소요되는 교정 기간에 부담을 느끼셨습니다.
이럴 때는 환자분 상태에 맞춘 계획을
의료진으로써 전달해드리고
결정은 환자분이 하시는거죠.

250621
송곳니가 밖으로 기울어진 각도 개선은
개선이 어렵다는 점을 설명
그렇지만 환자분이 가장 개선하시고 싶어하시는
앞니 2개는 해결해드릴 수 있다 말씀 드렸습니다.
전반적인 환자분이 가진 문제점을 해결하려면
전체 교정으로 진행하는 것이 맞지만
환자분 상황도 고려해야하는 것이
진짜 치료!!
혹시 오늘 환자분처럼 앞니가 커 보여서 자꾸 신경 쓰이셨나요?
그게 사실은 치아 배열, 턱관절, 얼굴형에서 오는 문제일 수 있어요.
치아 교정은 밸런스가 참 중요합니다!
치아 배열만 볼 것이 아니라
전반적으로 확인해야한답니다.
그래서 더 심해지기 전에
치과에서 내 상태를 정확히 알고
환자분께 맞는 방법을 찾는 게 중요해요.
오늘 글도 도움이 되셨나요?
비슷한 고민을 가진 환자분들의 글들을
정리해보았습니다.
| 부분 교정 글 보러가기 |
|---|
| https://blog.naver.com/implant_master/223899449562 |
| https://blog.naver.com/implant_master/223833177404 |
환자분께 도움이 되시길 바랍니다.
감사합니다.

#나비모양앞니