안녕하세요,
서울바르디치과 대표원장 이주리입니다.
일반적으로 치아를 떠올렸을 때 하얀색을 모두 떠올립니다.
그런데 갑작스러운 외상을 입거나
치수가 괴사되는 증상이 생기면
까맣게 변해버리는데요.
마치 멍이 든 것처럼 말이죠.
치아를 다시 하얗게 만들 수 있을지 질문을 주시는 분들이 많아
준비해보았습니다.

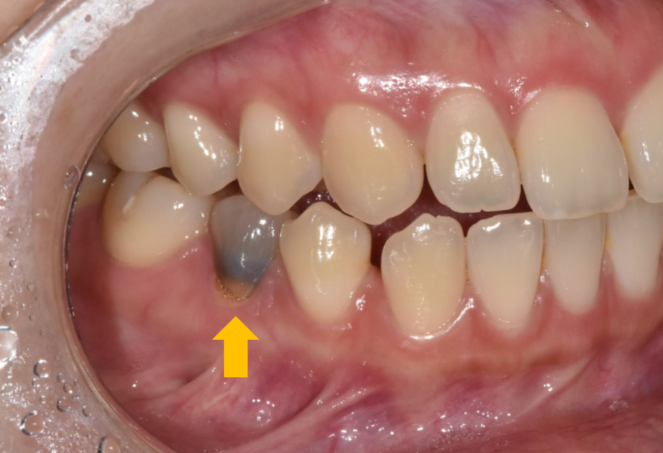
치아에 멍 든 것처럼 까맣게 됐어요
다시 하얗게 만들 수 없을까요??
최근 진료실에 찾아오신 한 환자분 이야기입니다.
예전에 임신 중 치아가 너~무 아파
신경치료만 받고 방치해두셨답니다.

231211
어느날부터 치아가 까맣게 변했는데...
말하거나 음식을 먹을 때마다
너무나 신경이 쓰인다고 하셨어요.
직접 눈으로 확인해보니
유달리 까만 치아가 눈에 너무나 잘 들어오네요~
주변 하얀 치아와 비교하여
대비되기도 하고요.
아무래도 임신 기간에는
치과 진료가 제약되다보니..
응급 진료만 진행
그 사이 치아가 괴사되었네요~
치아가 왜 멍든 것처럼 까매질까요?
치아는 뼈처럼 단단해 보여도
안쪽에는 혈관과 신경으로 채워져 있습니다.

240305
하지만 강한 충격을 받았다거나
(예를들면,,, 넘어져서 다쳤다거나)
신경치료 후 신경이 제거되면
혈액순환이 멈추게 되면서
치아가 까맣게 멍이든 것처럼 색이 변할 수 있습니다.

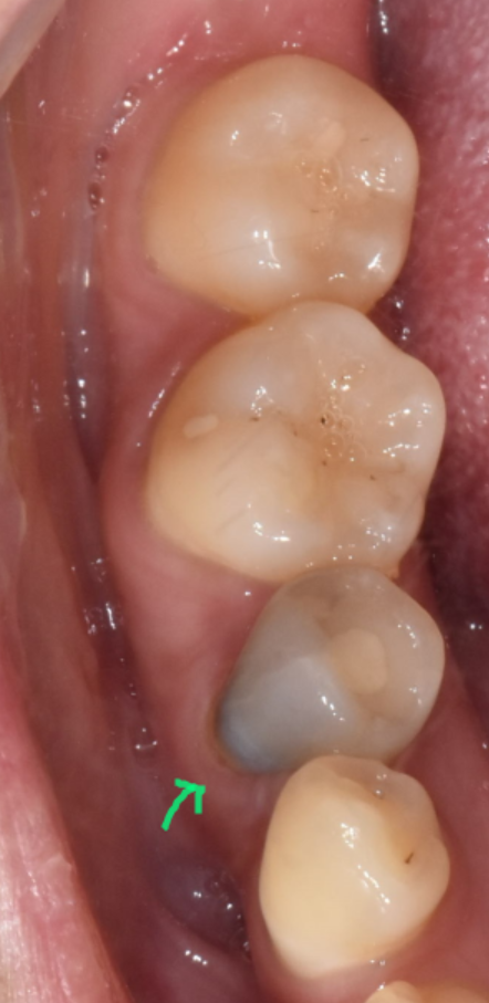
231211 치아에 그라데이션 처리 한 것 처럼 보이네요~
처음부터 까맣게 변하게 되지는 않습니다.
흰색 -> 회색 -> 갈색 -> 까만색
외상을 입거나
신경치료 후 보철을 씌우지 않았을 경우
급작스럽게 색깔이 변하지 않습니다.
몇달이 될 수도 있고
몇년이 지나고 나서
시간이 지나면서 색깔이 서서히 변하게 됩니다.
치아 미백으로는 안되는건가요??
많은 분들이 “그냥 미백하면 되지 않나요?”라고 물어보세요.
일반적으로 치아 미백은 치아의 겉 부분을 미백하는 것인데요.
이렇게 치아 멍 든것처럼 까맣게 변한 치아는
치아 내부부터 색깔이 변한 것이기 때문에
치아 안쪽에서부터 색깔을 밝게 해주어야해요
실활치 미백이라고
이렇게 까맣게 변한 치아를 치료해주는 방법도 있지만
내부 미백만으로 충분하지 않은 경우가 많습니다.
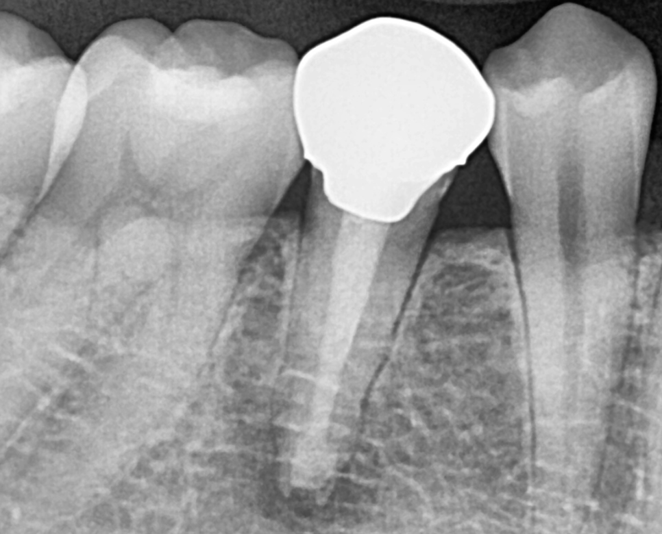
내부에서부터 원인을 제거하고,
필요하다면 보철로 덮어주는 방식이 가장 효과적이에요.

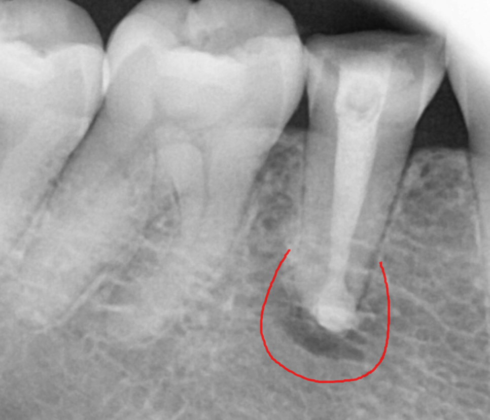
240312 뿌리 끝 염증
오늘 환자분처럼 신경치료 후 보철을 씌워주지 않으면
치아가 약해지면서
다양한 문제가 생길 수 있어요.
| 관련 글 보러가기 |
|---|
| https://blog.naver.com/implant_master/223528528552 |
정리하자면...
까맣게 변한 치아
좋은 신호는 아닙니다.
상한 과일도 멍이 든 것처럼 까맣게 변하잖아요~
치아 역시 충격을 입어서
신경치료 후 혈액 공급이 안되어
충치가 심해서
다양한 이유로
치아 색깔이 변할 수 있고
미용적인 이유 외에도
치아가 약화되고 있을 수 있습니다.

241026
속부터 건강하게 원인을 파악하면
치료해주면
환자분이 자신있게 입을 벌리실 수 있게
되돌려드릴 수 있어요.
치아 멍 까맣게 변했어요 변색되고 괴사되었을 때 대처법 공개
1)실활치 미백
- 크라운 치료
2가지 해결책을 얻고 가셨으면 좋겠습니다.
긴 글 읽어주셔서 감사합니다.
