안녕하세요,
서울바르디치과 이주리 대표원장입니다.
성인의 치아교정은
사회생활 이후
직장인 소득이 생겼을 때 시작하시는 분들이 많습니다.
시간이 갈 수록 신경쓰여서요.
연애, 사회생활 등으로
지금까지는 이대로 살아왔지만
부정교합으로 고민되시는 분들 의외로 많습니다.
더 늦기전에
앞으로는 다른 삶을 살아가고 싶어
방문해주시는 분들이 참 많습니다.
오늘은 부분적 반대교합 케이스에 대해
이야기 해보려고 합니다.

<목차>
| 부분적 반대교합 |
|---|
| 2. 치료방법은? |
윗니는 들어가고, 아랫니는 튀어나왔어요
고덕역 교정치과를 방문해주신 환자분의 니즈는
명확했습니다.

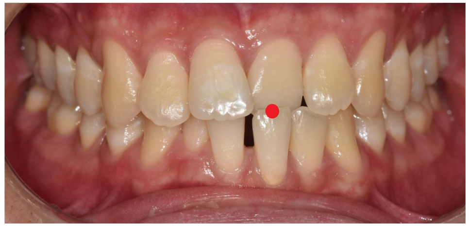
250307 위 아래 앞니가 뒤바뀐 부위
치아 들어가고 나오고를 일정하게 맞춰달라는
말씀을 해주셨어요.
앞니 물림이 뒤바뀐 부분을
"해소"해달라고 하셨습니다.
아래쪽 앞니가 앞으로 나와
치아가 튀어나와 보이는 느낌이라고 하시면서 말이죠.
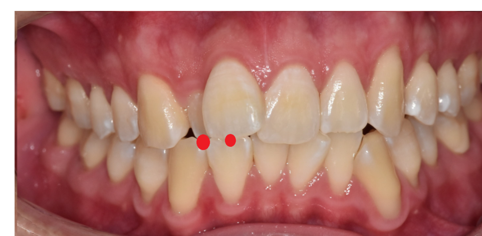
두번째 주문으로는 아래 앞니가 벌어진 부분을
교정하는 김에 같이 해결해달라고 하셨습니다.
부분적 반대교합 케이스란?
정밀 분석 결과 , 이런 문제가 있었습니다.
#21 (왼쪽 윗앞니)이 아랫니보다 안쪽으로 물리고 있어서
전치부 반대교합(Anterior Crossbite) 상태
아래 앞니(#31, #41)는 공간이 벌어져 있으면서
앞으로 나와 있는 모습이었습니다.
쉽게 말하면 위 아래 치아가 거꾸로 물리는데...
일부 치아만 반대로 물리는 상황
이런 것을 부분적 반대교합이라 말합니다.

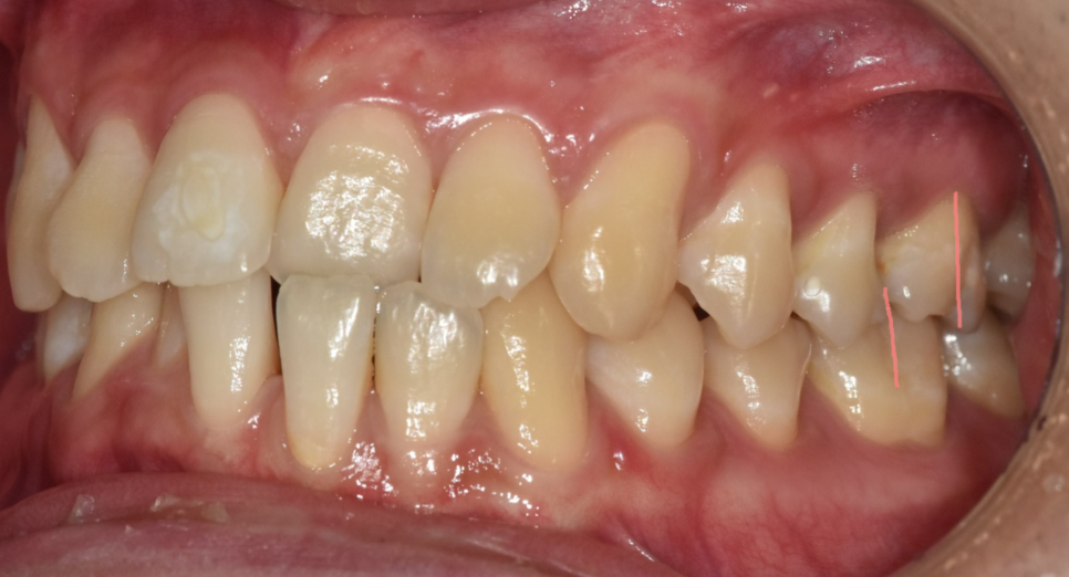
250714 또다른 부분적으로 반대교합 케이스
부정교합에도 종류가 있는데
반대교합은 3급 부정교합에 해당합니다.

주걱턱을 연상하시면 쉬운데요.
주걱턱을 가지신 분들은 아래 턱이 윗 턱에 비해 돌출되어있죠?
인상이 다소 강해보이고
그로인하여 치아가 거꾸로 물립니다.
웃을 때 윗니가 안보이기때문에
(아랫니가 먼저 보입니다.)
심미적으로 좋지 않지만
그냥 두면 앞니 기능을 제대로 소화할 수 없고
교합이 불균형해져 턱관절 문제로까지 이어질 수 있어요.
치료 방법은??
위아래가 거꾸로 물릴때는?
-
성인 부정교합
-
성장기 청소년 반대교합
연령을 확인하는데요.
성장 속도에 맞추어 턱 성장을 유도할 수 있는지
먼저 확인해보아야합니다.
성인 부정교합의 경우 이미 턱 성장이 완료되었기 때문에
-
골격의 문제인지?
-
치아의 문제인지?
판단하게 됩니다.
골격 , 턱뼈 자체의 문제라면
양악 수술과 같은 악교정 수술과
치아 교정이 병행되어야합니다.
그런데 치아 배열 문제로 인한 경우는
교정치료만으로도 개선이 가능합니다.

250307
앞니는 부분적으로 반대교합이더라도
어금니 교합은 정상교합일 수 있는데요.
이런 경우 아래턱이 살짝 발달하여
반대교합으로 악화될 소지가 있는 케이스예요.
교합은 정상인데
배열은 부정교합이라니
어려우시죠?
교정은 교합,
안모와의 조화
고려해야 할 부분이 참 많아요 ^^

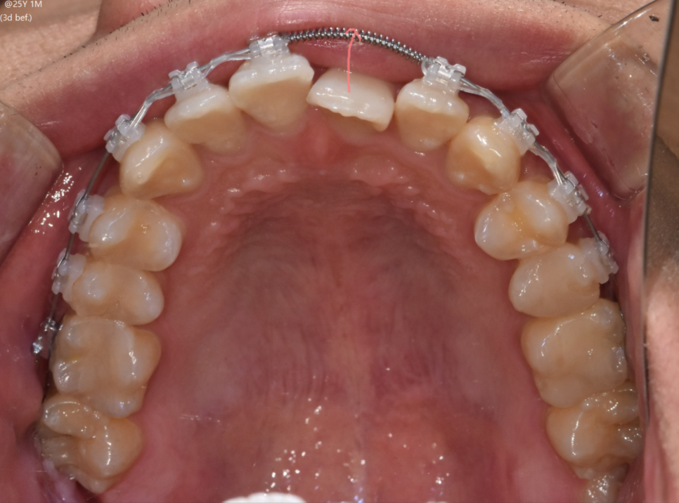
250721
다행히 교합은 정상이었기 때문에
이럴 경우는 앞니 배열을 개선하면 치료가 종결됩니다.
기간도 1년 정도
상대적으로 짧게 소요됩니다.
아래 앞니는 뒤로 보내고
안쪽으로 들어간 윗니는 나오면서
전체 배열 정리가 되겠네요.
거꾸로 물리는 반대교합이 해소되면
웃을 때 답답한 인상이 개선됩니다.
벌어진 아래 앞니도
공간이 사라지면서 심미 회복까지 이루어지겠네요

250721 고덕역 교정치과
이처럼 부정교합일 경우
여러가지를 고려하여 치료가 진행됩니다.
치아는 가지런해지기만 해도
인상이 훨씬 부드러워집니다.
위 아래 배열이 개선되면
면을 앞니로 끊어먹을 수도 있겠고요.
성인 부정교합은
환자분 본인 의지에 달려있습니다.
청소년기는 부모님의 결정에 의해 좌우되지만
성인은 본인이 의사를 결정할 수 있으니까요.
그 얘기는 지금부터라도 얼마든지
달라질 수 있습니다.
환자분의 환한 미소
자신감
언제나 응원하겠습니다.
감사합니다!
고덕역 교정치과 성인 부정교합 위아래가 거꾸로 물릴때는?
#고덕역교정치과 #성인부정교합