안녕하세요
서울바르디치과 이주리 대표원장입니다.
치과치료를 받기 꺼려지는 이유 중에 하나는
치료가 오래 걸린다는 점입니다.
레진 같이 당일 치료가 가능한 부분도 있지만
본을 떠서 진료해야하는 치료의 경우
제작에 며칠이 소요되는데요~
오늘은 치과 치료에 혁신적인 발전을 가져다 준
원데이 보철 치료에 대해 소개해드릴까합니다.
3분만 집중해서 읽어주세요!

<목차>
| 원데이 보철이란? |
|---|
| 2. 원데이 보철과 장단점 |
하루만에 끝나는 보철치료란??

디지털 기술의 발달로 치과 치료에도
혁신적인 변화가 일어나고 있습니다.
특히 보철치료 분야에서는 '원데이 치료'가 등장했는데요.
환자분들은 보철을 치과에서 제작할 것이라고
많이들 생각하세요 ㅎㅎ
그렇지만 보철은 "기공소"에 치과기공사 선생님들이 제작합니다.
저는 치아를 디자인한다면
만들어주시는 것은 기공사 선생님들이 전문가세요~

입안에 끼우는 보철을 만들어주시는 기공사 선생님
외부 업체에 의뢰하는 것이 일반적이라
제작에 며칠이 소요되다보니 최소 1번은 더 오셔야했습니다.
일반 직장인분들은 연차를 내셔야하거나..
해외에서 오신 분들은 출국 날짜로 인해
치료의 어려움을 겪으셨죠.
하루만에 끝나는 원데이 보철의 경우
외부에 보내는 시간 없이 치과 내에서 바로 보철물을 제작하는데요.

보철 제작이 가능한 장비도 있어야하죠..
치과 안에 기공사가 직접 상주하여
보철물(크라운, 인레이, 틀니 등)을 제작하는 시스템입니다.
즉, 치료와 보철물 제작이 한 공간에서 동시에 진행되기 때문에
정확도, 속도, 소통 면에서 월등한 장점이 있습니다.
원데이 보철의 장단점
장점은 너무 많습니다.
진료한 원장님과 제작하는 기공사가 실시간으로 소통하니
완성도가 높습니다.
응급상황 대처도 빠르고요.
예를들어..
어금니는 그래도 치아가 없어도 잘 보이지는 않지만..

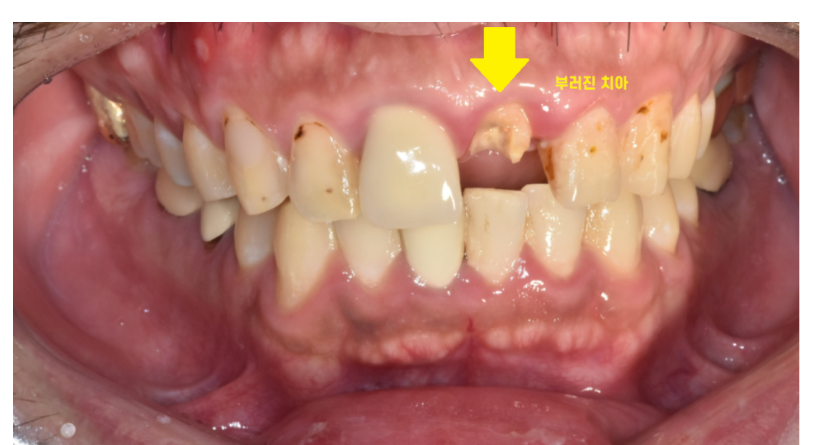
231218 앞니가 부러진 상황
앞니가 갑자기 부러지거나
보철이 탈락했다면..?
보철 제작에 소요될 때까지
마스크를 끼거나 손으로 입을 가리면서 생활해야했습니다.
(앞니 임플란트 환자분들이 이 점때문에 많이 힘들어하세요...)
그런데 병원 내에 기공소가 있으면
바로 바로 응급상황 대처가 가능합니다.
빠른 제작과 완성도 장점입니다.
즉각 수정이 필요할 때도 대응이 빠르고 말이죠..
바로 옆에 기공실이 있다보면
원장님과 기공사가 직접 상시 소통이 가능합니다.

디자인도 같이 가능하죠
예전에는 보철을 의뢰하는 종이에 내용을 전달하다보니
소통의 오류가 발생할 때가 가끔 있었거든요~
그럼 재제작에 들어가야하고
불편은 오로지 환자분의 몫이없습니다.
원내 기공소는 이런 문제 거의 없습니다.
<원데이 보철, 이런 분들께 추천드려요>
-
시간이 없어 빠른 치료가 필요한 직장인
-
중요한 면접, 촬영 등 일정을 앞두신 분
-
기존 보철물이 빠지거나 깨져서 바로 해결이 필요한 분
-
해외 출국이나 입대를 앞둔 분들
단점으로는...
보철 제작에 소요되는 시간동안 병원에서 대기하셔야한다.
그래도 일주일씩 기다리는 것보다
빠르긴 하죠~? ㅎㅎ
치아 하나 만드는데 왜 며칠씩 걸리죠?
한번에 끝내면 안 되나요?
이런 환자분들의 염원
이제는 가능합니다.
병원 내에서 보철을 제작하는 장비와
인력...
장소도 넓어야겠고요.
이 모든 것을 갖추기에는
많은 투자가 있어야하기에 쉬운 일은 아닙니다.
▼ 하루만에 보철완성이 가능한 병원 ▼
지금이라도 원내 기공소가 있는 치과에서
더 정확하고 빠른 보철 치료를 경험해보세요.
| 원데이 인레이 제작 케이스 보러가기 |
|---|
| https://blog.naver.com/implant_master/223873505644 |
오늘의 치과 치료 좋은 꿀팁
여기서 마무리하겠습니다.
감사합니다!!

보철치료 하루만에 편하고 빠르게 시간이 없을 때는?
#보철치료하루만에 #하루만에보철