반갑습니다.
환자분의 환한 미소를 책임져드리는
서울바르디치과 대표원장 이주리입니다.
요즘은 아이들이 가정당 1명씩이다보니
부모님들의 관심이 느껴집니다.
아이 이가 비뚤게 났어요
방치하면 유치가 영구치로 교환되고 나서도
삐뚤빼뚤하게 날까 많이들 걱정을 해주시는데요.
덧니는 단순히 미관상의 문제를 넘어서
치아 건강과 턱 관절 발달에도 영향을 줄 수 있기 때문에
조기 진단이 무엇보다 중요합니다.
그리고 교정 시기가 정말 중요합니다.
오늘은 유치가 삐뚤빼뚤하게 나서
고민이신 부모님들을 위해 도움을 드리는 글입니다.

<목차>
| 덧니의 원인 |
|---|
| 2. 소아 교정의 적절 시기 |

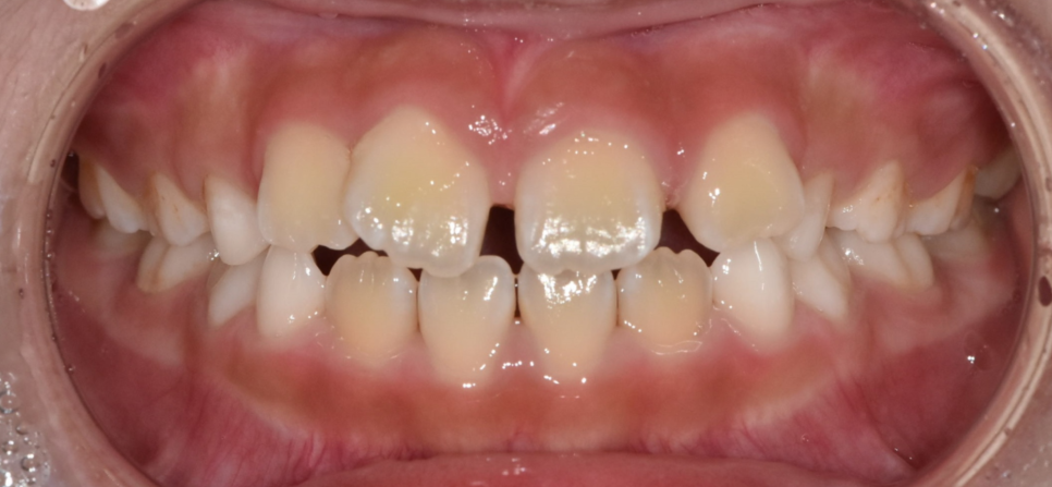
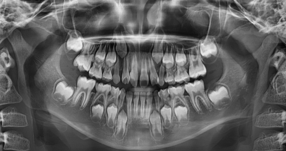
250218
초등학교 1학년 아이의 치아입니다.
어린이 덧니로 인해
걱정이 되는 마음에 방문해주셨습니다.
의료진의 입장에서는 이 시기에는
충분히 일어날 수 있는 일이지만
부모님 입장에서는 아직 나이도 어린데...
우리 아이가 덧니라 어쩌지? 걱정되실 수 있죠~
어린이 덧니의 원인은?
첫번째로는 유전입니다.
부모님이 주걱턱인 경우
아이도 반대교합을 가지고 있을 확률이 높습니다.
위아래 치아가 거꾸로 물리는거죠.
성인이 되기 전 1차 교정이 필요한데
자세한 내용은 아래 글을 참고해주세요!
| 프리올소 장치를 이용한 교정 |
|---|
| https://blog.naver.com/implant_master/223877511725 |
두번째, 턱 크기와 치아 크기의 불균형입니다.
특히 예전에 비해 현대인들은
좁은 턱을 가지고 태어나는 경우가 많습니다.
턱 공간이 부족하면서 치아가 제 위치를 찾지 못하고
겹쳐 나오죠.

세번쨰, 악습관
쪽쪽이를 너무 늦게 끊었다거나
손가락을 빠는 습관이 있으면 치열을 망가뜨리고
덧니를 유발할 수 있습니다.
네번째, 유치 탈락 지연 또는 조기 탈락
아이들 성장에 맞추어 유치가 빠져야하는데..
너무 빠르게 빠지거나
늦게 빠지면 영구치가 덧니가 되기 쉽습니다.
너무 일찍 빠질 경우
공간 유지장치를 통해
관리해주어야합니다.

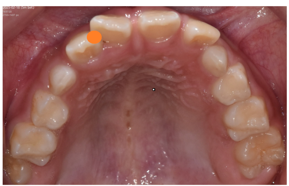
250218
덧니는 미관상 좋지 않지만
충치나 잇몸질환의 위험이 증가합니다.
칫솔질이 어려워 그렇습니다.

250218 겹쳐지는 부위는 잘 안닦이겠죠?
또한 씹는게 불안정하다보니
턱관절 문제도 발생합니다.
발음도 불균형해질 질수 있고
안면 비대칭까지 유발할 수 있어
교정은 필수라고 생각이되는데요.
여기서 나오는 두번째 질문
어린이 교정,
언제 시작해야 할까요?
- 소아 교정의 적절 시기
최근에 안타까웠던 케이스가
아이가 어렸을 때는 너무 빨리 와서
지켜보자는 이야기를 들으셨다합니다.
바쁘고 하다보니 몇년만에 치과를 재방문하였고
너무 늦어 턱 교정은 어렵다는 이야기를 들으셨다하였는데요.
어린이 덧니 교정은
무조건 바로 시작하는 것은 아닙니다.

250218 1,2차 교정 모두 필요할 떄도 있죠
어떤 아이들은 턱뼈 성장을 이용해야하기 때문에
영구치와 유치가 섞여있을 때 진행하고
어떤 아이들은 영구치 맹출이 끝난 후에 시작합니다.
때문에 병원에서 지정해준 정기검진에 방문하여
적절한 시기를 파악해야해요.
어린이 주걱턱이나 무턱일 경우
악궁 확장장치를 사용할 수도 있고
턱 뼈 성장까지 조절해야하기 때문에
초등학교 고학년 이전에 시작하여 끝내야합니다.
가장 적절한 시기는...
6세 전후로 첫 영구치가 나오기 때문에
이때쯤 치과 검진을 받아보시는 것을 추천드립니다.
충치가 심하면 이를 빨리 뽑아야할 수 있기 때문에
충치 예방을 위한 불소도포를 해주시러
주기적으로 방문하시면
자연스럽게 점검이 되겠죠?
어린이 치아 교정의 골든타임은 6~12세 입니다.
어린이 덧니를 발견하셨다면
그 즉시 병원에 점검을 받아 보러 방문해보세요.
소중한 우리 아이의 치아
조기에 관리해주면 덧니 걱정도 크게 줄일 수 있고
외모에까지 영향을 끼칠 수 있으니까요.
감사합니다!

어린이 덧니 교정 걱정되신다면 이 글 꼭 보세요! 적정 시기는?
#어린이덧니교정 #어린이교정시