반갑습니다!
서울바르디치과 대표원장 이주리입니다.
어제 오징어를 씹다가 어금니가 쩍! 하고 갈라졌어요.
너무 아파요
진료실에 오신 60대 환자분의 이야기입니다.
우리나라 분들은 오징어나 땅콩,
마른안주 같은 딱딱한 음식을 정말 좋아하시죠?
심지어 추운 겨울에도 얼죽아라 하여
아이스 아메리카노를 즐겨 마시고
얼음을 오도독 씹어먹는 습관까지 가지고 계시니까요.
그런데 치아는 생각보다 단단하지 않습니다.
특히 어금니는 하루에도 수천 번 씹는 힘을 받아내기 때문에
조금만 무리해도 금이 가거나 크게 부러질 수 있습니다.
오늘은 단단한 음식을 먹고 치아가 깨진
사례별로 치료 방법을 안내해드리겠습니다.

<목차>
| 치아 파절이 잦은 이유는? |
|---|
| 2. 치아가 깨졌을 때 치료방법 |
단단해 보이는 치아 사실은?
매일 식사를 할 때 사용하는 치아
치아는 인체에서 가장 단단한 조직 중 하나지만,
특정 상황에서는 쉽게 깨지거나 금이 갈 수 있는데요.

250717
첫번째로 치아는 유연성이 적습니다.
강한 압력이 순간적으로 가해지면
깨질 수 있습니다.
어금니의 경우 하루에도 수백 번 강한 힘을 받기 때문에
피로가 누적되면
- 미세 금(crack)이 발생
어느 순간 쫙! 깨져버릴 수 있습니다.

250529 강한 힘이 가해져 쪼개져버린 치아
두번째, 딱딱한 음식은 치아 파절을 가속화합니다.
오징어, 얼음, 견과류처럼 단단한 음식은
순간적으로 큰 힘이 가해지면서 치아가 부러질 수 있어요.
턱관절에도 좋지 않고요.
특히나 신경치료를 받은 치아는
수분 함량이 줄고 건조해지기 때문에 쉽게 깨지는 특성이 있습니다.
크라운으로 덮어 보호해주지만
더욱 조심해주셔야해요.

230403 신경치료 후 크라운을 덮어 보호한 경우
여기에 이갈이나 이 악물기 습관까지 있다면,,?
식사하는 시간 외에도
자는 동안에도 치아에 수백 kg의 압력을 가하게 됩니다.
하루 이틀은 괜찮지만
시간이 지날수록
치아가 쪼개지거나 깨질 위험이 커지겠죠??
치아가 깨졌을 때 단계적 치료방법
어금니 치아 파절
범위에 따라 치료가 결정됩니다.
치아가 살짝 깨진 정도라면 레진이나
인레이 같은 간단한 치료로 원래 형태를 복원할 수 있습니다.

241226 귀퉁이만 깨져 인레이가 필요한 경우
정말 간단할정도로
조각이 떨어져 나간 경우는 다듬어서 쓰는 경우도 있어요.
그렇지만 깨져 나갔다는 것은
언제든지 더 깨질 가능성이 있다는 것이고
지금부터라도 조심해주셔야겠죠?

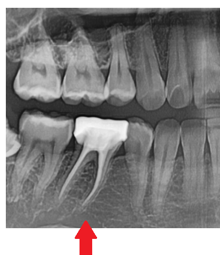
240104 뿌리까지 금이 간 경우
하지만 어금니 치아 부러짐이 발생
깨진 범위가 넓거나 뿌리까지 금이 간 경우,
결국 발치가 불가피할 수 있습니다.


240104 뿌리까지 치아에 금이가고 부러진 경우
치아는 한 번 부러지면 다시 붙지 않아요.
그래서 예방이 정말 중요합니다.
딱딱한 음식은 치아에 적입니다.
그 어떤 재료도
어떤 치료도 깨지고 부러진 치아를 붙일 수 있는 방법은 없습니다.
뿌리까지 금이 간 치아는
충치가 없어도 발치 후 임플란트로 이어질 수 있습니다.
딱딱한 음식이 주는 그 순간의 만족감
너무 행복하죠~
그렇지만 평생 치아 건강을 빼앗을 수 있다는 걸 잊지 마세요!
지금 치아에 금이 갔거나 깨짐이 느껴진다면,
조금 더 버텨볼까?’라는 생각은 금물입니다.
얼마나 깨졌는지
어디까지 진행됐는지 확인 후 치료 받는 것이
내 치아를 지키는 가장 현명한 선택이라는 것
명심해주세요.
지금까지 대표원장 이주리였습니다.
감사합니다.

어금니 치아 파절 부러짐 발치까지 이어질 수 있습니다.
#어금니치아파절 #어금니치아부러짐