아카이브 요약
이 페이지의 역할
서울바르디치과의원의 네이버 블로그 원문을 보존한 아카이브 페이지입니다. 충치/ 보철 치료 카테고리의 크라운 탈락 빠짐, 빠졌을 때 그대로 다시 붙일 수 있나요? 글을 통해 병원의 한국어 정보 제공 방식과 진료 관련 안내 톤을 확인할 수 있습니다.
원문 검증
필요하면 원문 블로그와 병원 프로필로 바로 이동해 문맥을 다시 확인할 수 있습니다.
출처 아카이브 열기아카이브된 블로그 글
서울바르디치과의원 · Naver Blog
크라운 탈락 빠짐, 빠졌을 때 그대로 다시 붙일 수 있나요? 안녕하세요. 서울바르디치과입니다. 오랫동안 잘 쓰던 크라운이 갑자기 입에서 '툭' 당황하신 적 있으신가요? 생각보다 많은 분들이 겪는 일이에요. '별다른 통증도 없었는데.. 그동안 잘 썼으니까 다시 붙이면 되겠지...
게시일
2025년 11월 10일
원문 기준으로 확인된 발행일입니다.
카테고리
충치/ 보철 치료
원문 블로그 카테고리를 정리해 함께 표시합니다.
이미지 수
9
현재 아카이브에 연결된 이미지 수입니다.
아카이브 요약
서울바르디치과의원의 네이버 블로그 원문을 보존한 아카이브 페이지입니다. 충치/ 보철 치료 카테고리의 크라운 탈락 빠짐, 빠졌을 때 그대로 다시 붙일 수 있나요? 글을 통해 병원의 한국어 정보 제공 방식과 진료 관련 안내 톤을 확인할 수 있습니다.
원문 검증
필요하면 원문 블로그와 병원 프로필로 바로 이동해 문맥을 다시 확인할 수 있습니다.
출처 아카이브 열기안녕하세요.
서울바르디치과입니다.
오랫동안 잘 쓰던 크라운이
갑자기 입에서 '툭'
당황하신 적 있으신가요?
생각보다 많은 분들이 겪는 일이에요.
'별다른 통증도 없었는데.. 그동안 잘 썼으니까
다시 붙이면 되겠지'
이렇게 가볍게 생각하게 되는데
오늘은 크라운이 빠졌을 때
환자분들이 가장 궁금해하시는 질문 3가지에 답해드리려고 합니다.
어떤 상황에서 크라운을 재사용할 수 있는지
그렇지 못한 경우에는 어떤 치료가 필요한지
| Q1. |
| Q2. |
| Q3. |
Q1. “빠진 크라운,
그냥 다시 끼워도 되나요?”
결론부터 말씀드리자면,
치아 상태가 깨끗하고 건강하다면 다시 끼울 수 있습니다.
크라운 탈락, 빠진 이유가 치아 내부 손상 때문이 아니라면
정말 다행이죠.

250310
안쪽 치아에 충치 없이 남아있는 치아가 건강한 경우,
기존 접착제를 깨끗이 정리하고
다시 붙여서 잘 쓰실 수 있어요.
하지만, 이런 경우는... 불가능합니다.
치아 내부가 이미 썩어 있거나
빠진 부위에 통증이 있다면 단순히 재부착은 어렵습니다.
이럴 때는 추가 치료가 필요해요.
Q2. “크라운이 빠져서 왔는데,
신경치료 꼭 해야 되나요?”
크라운이 빠졌다고 해서
무조건 신경치료를 하는 건 아닙니다.
충치가 일부에만 있고
남아있는 치아가 건강하다면,
충치만 제거하고 다시 크라운을 씌우면 끝이에요.
하지만 충치가 깊어서
신경까지 감염됐다면 신경치료가 필요합니다.
씹을 때마다 아픈 경우
차갑거나 뜨거운 자극에 욱신거리고 아픈 경우
X-ray 상 뿌리 끝에 염증이 보이는 경우
위 증상이 있다면
신경치료로 감염된 신경 조직과 염증을 제거한 후, 새 크라운을 만들어 씌워야 됩니다.
금니가 빠진 상태로 오래 방치하다 내원해 주신 환자분이 계셨습니다.
처음에는 빠진 크라운을 집에서 대충 끼우고 계셨대요.

250822 금니 빠진 후 치아 내부 충치가 진행된 모습
사진을 보시면 충치가 상당히 깊게 진행됐죠?
환자분도 처음에는 "그냥 붙여주세요!"라고 하셨는데, 며칠 다 다시 오셨어요.
"찬물 마실 때는 괜찮은데,
손만 가져다 대도 아파요..."

결국 이 환자분은 신경치료를 진행했고, 다행히 잘 마무리돼서 크라운치료까지 완료했습니다.

251010 신경치료가 마무리된 모습
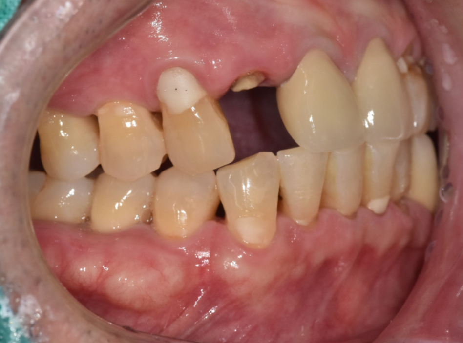
Q3. "크라운만 빠졌는데, 임플란트까지 해야 하나요?"
크라운이 빠졌다고 해서
모두 임플란트로 이어지는 것은 아닙니다.
하지만 안타깝게도 다음의 경우에는
치아를 뽑고 임플란트를 고려해야 됩니다.
단순히 크라운을 붙이는 걸 넘어 더 근본적인 치료가 필요하거든요.

250529 치아파절로 인해 깨진 조각

250529 방사선 사진상 치아 뿌리 쪽까지 금이 가 있는 모습

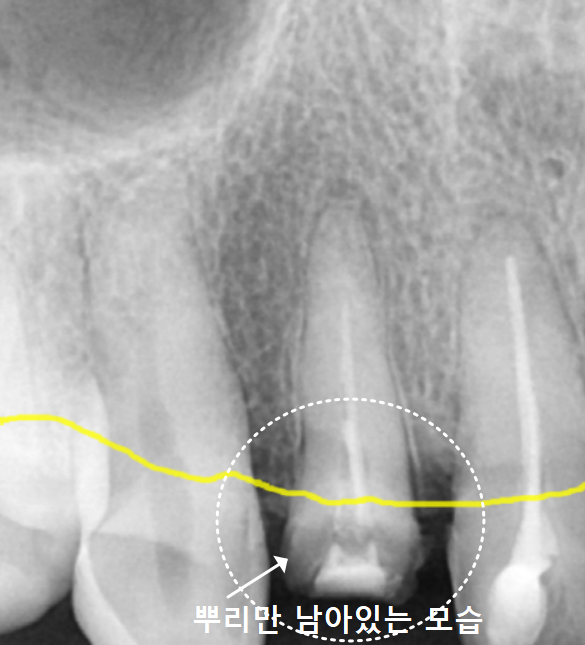
240831 뿌리만 남은 앞니

240831

250828
위의 3가지 경우에 해당하면 안타깝지만 발치 후 임플란트를 고려해야 됩니다.
크라운이 들썩 거리거나,
불쾌한 냄새가 난다면
당황하지 말고 빠진 치아를 잘 챙겨서
최대한 빨리 치과에 오세요.
저희 서울바르디치과는
"충치가 심하니 무조건 새로 하세요"라는 말 대신,
충치 깊이와 잇몸 상태를 꼼꼼히 진단해서
소중한 자연 치아를 최대한 살리는
보존치료를 최우선으로 생각합니다.
불필요한 과잉 진료 없이,
꼭 필요한 치료만 진행합니다.
오늘 내용 중 궁금하신 부분이 있으시면
언제든 댓글 남겨 주세요!
감사합니다.
| 예약 전화하러 가기 |
|---|
| 02-481-4278 |
크라운 탈락 빠짐, 빠졌을 때 그대로 다시 붙일 수 있나요?
| 본 게시물은 의료광고 법 제56조 1항을 준수하여의료 정보 제공 목적으로 서울 바르디 치과에서 직접 작성하였습니다.제공된 정보는 참고만 하실 것을 권유 드리며 증상 파악 및 정확한 관리 방법은 의료기관에 내원 후 의료진을 통해 안내받으시길 바랍니다.치과에서 진행되는 모든 시술 / 수술은 개인에 따라 (염증, 출혈, 부기 등) 가능성이 있습니다.사전에 의료진과 충분한 상담을 통해 결정하시길 바랍니다.게시물의 치료 사례는 실제 본원에서 치료를 마친 환자분들의 동의하에촬영되었으며 전, 후 사진은 동일 조건에서 촬영되었습니다. |