아카이브 요약
이 페이지의 역할
서울바르디치과의원의 네이버 블로그 원문을 보존한 아카이브 페이지입니다. 충치/ 보철 치료 카테고리의 명일동 앞니 브릿지, 새로 교체 할 때 꼭 확인해 봐야 할 글을 통해 병원의 한국어 정보 제공 방식과 진료 관련 안내 톤을 확인할 수 있습니다.
원문 검증
필요하면 원문 블로그와 병원 프로필로 바로 이동해 문맥을 다시 확인할 수 있습니다.
출처 아카이브 열기아카이브된 블로그 글
서울바르디치과의원 · Naver Blog
명일동 앞니 브릿지, 새로 교체 할 때 꼭 확인해 봐야 할 '이것' 안녕하세요. 서울바르디치과 원장입니다. 10년 전에 한 브릿지가 요즘 자꾸 흔들려요. 브릿지는 한 번 하면 평생 가는 게 아니에요. 자동차도 10년 타면 점검받아야 하는 것처럼, 오래된 브릿지도 교체 시기가 오거든요. ...
게시일
2025년 11월 17일
원문 기준으로 확인된 발행일입니다.
카테고리
충치/ 보철 치료
원문 블로그 카테고리를 정리해 함께 표시합니다.
이미지 수
12
현재 아카이브에 연결된 이미지 수입니다.
아카이브 요약
서울바르디치과의원의 네이버 블로그 원문을 보존한 아카이브 페이지입니다. 충치/ 보철 치료 카테고리의 명일동 앞니 브릿지, 새로 교체 할 때 꼭 확인해 봐야 할 글을 통해 병원의 한국어 정보 제공 방식과 진료 관련 안내 톤을 확인할 수 있습니다.
원문 검증
필요하면 원문 블로그와 병원 프로필로 바로 이동해 문맥을 다시 확인할 수 있습니다.
출처 아카이브 열기명일동 앞니 브릿지, 새로 교체 할 때 꼭 확인해 봐야 할 '이것'
안녕하세요.
서울바르디치과 원장입니다.
10년 전에 한 브릿지가
요즘 자꾸 흔들려요.
브릿지는 한 번 하면 평생 가는 게 아니에요.
자동차도 10년 타면 점검받아야 하는 것처럼,
오래된 브릿지도 교체 시기가 오거든요.
하지만 단순히 새 브릿지로 바꾸기만 하면 될까요?
오늘은 브릿지 교체 전 반드시 확인해야 할 것들과
실제 사례를 말씀드리겠습니다.
<목차>
| 앞니 브릿지 교체 전, 반드시 확인해야 할 2가지 |
|---|
| 10년 된 브릿지를 새로 교체한 실제 사례 |
앞니 브릿지 교체 전,
반드시 확인해야 할 2가지
브릿지 교체는 생각보다 단순하지 않습니다.
겉으로 보이는 게 전부가 아니거든요.
브릿지는 양쪽 치아를 기둥 삼아 중간을 걸쳐놓는
다리 같은 구조예요.

10년 동안 이 다리를 지탱해온 기둥이 멀쩡할까요?
속으로는 충치가 진행되고 있을 수도 있고,
심하면 뿌리만 겨우 남아있을 수도 있어요.
또 뼈가 녹은 경우엔 이를 뽑고 진행할 수도 있어요.
그래서 환자분에게 맞는 정확한 진단이 필요합니다.
이것도 의외로 중요합니다.
교합이 너무 긴밀하면 브릿지에 계속 무리한 힘이 가해져요.
이런 상태로 계속 사용하면 보철물이 깨지거나 금이 갑니다.
결국 입안 전체를 꼼꼼히 살펴보고, 환자분 상태에 딱 맞는 치료 계획을 세워야 합니다.
그래야 또 10년, 아니 그 이상 편하게 쓸 수 있어요.
10년 된 브릿지를 새로 교체한 실제 사례
이번 환자분의 경우를 살펴보겠습니다.
10년 전 앞니 4개 브릿지를 하셨는데,
흔들림이 느껴져 내원하셨습니다.

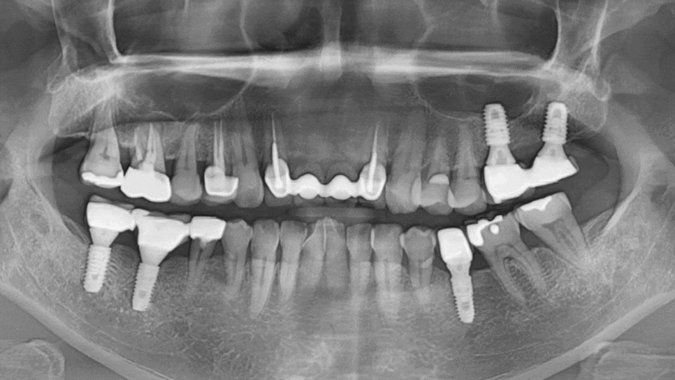
240622
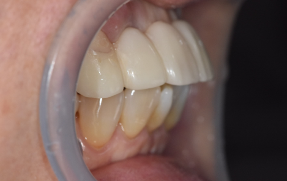
기존 브릿지를 살펴보니 도자기 재질이었는데
군데군데 깨져 있습니다.

240622
또 양쪽 끝 치아 2개에 포스트(기둥)가 박혀 있었습니다.
포스트를 했다는 것은 치아머리 부분이 많이 없었다는 뜻입니다.
즉, 치아가 약한 상태였던 거죠.
환자분께 솔직하게 말씀드렸습니다.
브릿지를 떼어보면 이 기둥 박은 치아들은
아마 못 살릴 수도 있다고요.

240622
그렇게 되면 양쪽 송곳니까지 포함해서
6개로 브릿지를 만들어야 한다고 설명드렸어요.
게다가 앞니 2개는 이미 오래전에 뽑은 상태라
뼈가 많이 흡수돼 있었습니다.

240622
임플란트를 심기에는 뼈가 너무 얇았죠.
환자분과 충분한 상의 후 브릿지로 진행하기로 했습니다.
기존 브릿지를 조심조심 제거했는데...
역시나...

240701
양쪽 끝 치아는 뿌리만 남아 있었고,
내부는 충치가 진행되어 있었습니다.
어쩔 수 없이 발치 후 6개 브릿지로 진행하기로 했습니다.
양쪽 송곳니를 살짝 다듬어야 하는데,
여기서 고민이 생겼어요.
송곳니는 신경이 살아있는 치아라 너무 많이 깎으면 시릴 수 있습니다.
그래서 최소한만 삭제했는데,
이렇게 하면 다른 문제가 생깁니다.
환자분 아래 앞니도 원래 약간 앞으로 나와 있는 편이셨어요.

위 치아가 아래 치아를 덮는 구조인데,
삭제량이 적으면 위 치아가 더 나와 보일 수 있습니다.
하지만 저희 병원에는 강력한 무기가 하나 있죠.
바로 원내 기공소!
발치 후 잇몸이 아무는 과정이 필요해서
그동안 임시치아를 쓰시는데요.

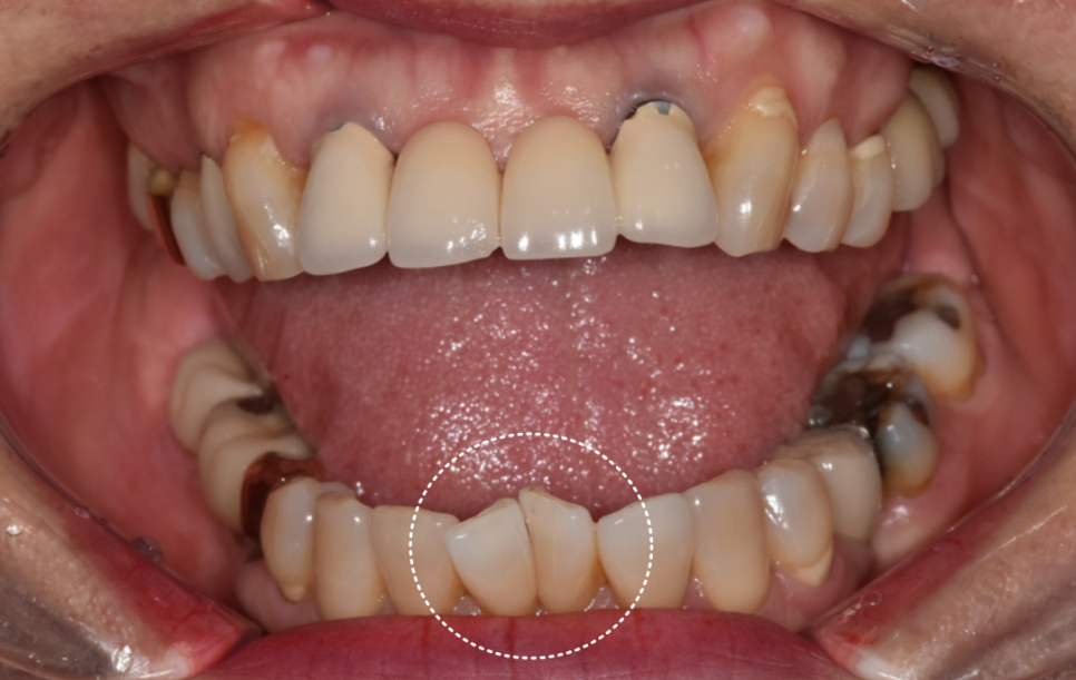
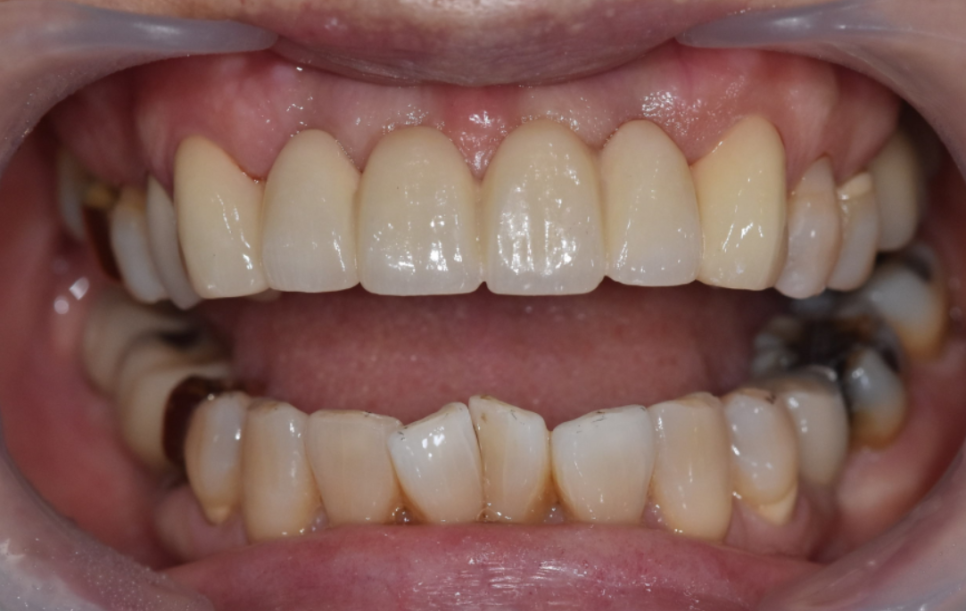
240708 임시치아


임시치아, 옆 위아래 모두 확인하여 조정
이 임시치아로 환자분과 크기나 모양에 대한 의견을 나눕니다.
기공소가 병원 안에 있으니까 환자분의 의견을 바로바로 반영 가능.
"이 모양 어떠세요? 크기는 괜찮으세요?"
"조금만 더 작게 해주실 수 있을까요?"
하나하나 반영해서 다시 만들고, 또 확인받고.
이 과정을 여러 번 반복했습니다.
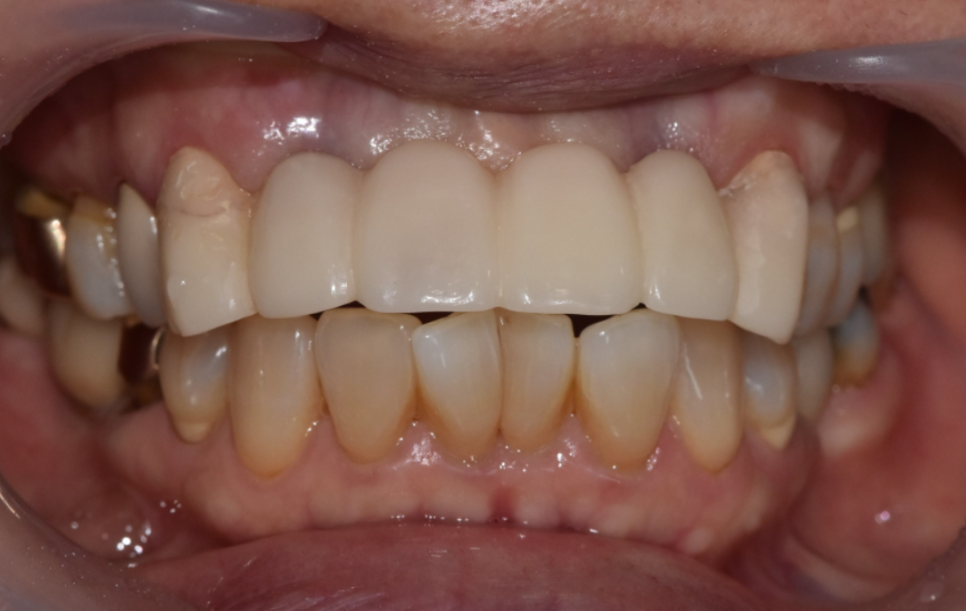
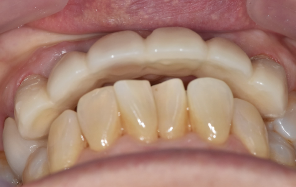
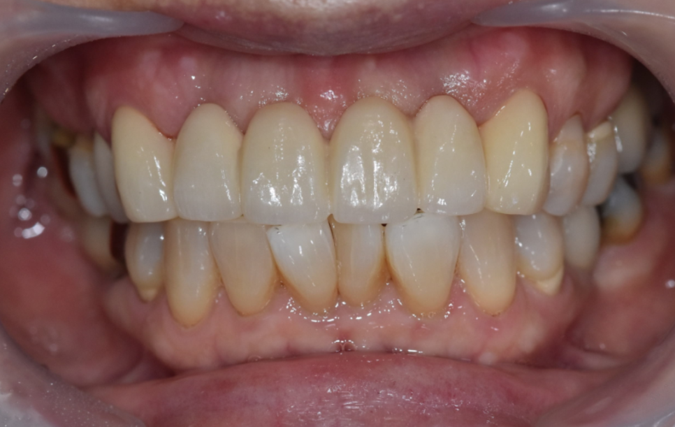
그렇게 완성된 최종 브릿지.

240719

옆 치아와의 색도 자연스럽게 나왔고,
모양과 크기도 적절했습니다.
무엇보다 환자분께서 정말 마음에 들어 하셨어요.
브릿지 교체는 단순히 낡은 것을 새것으로 바꾸는 단순한 작업이 아닙니다.
기존 치아 상태, 뼈 상태, 교합 상태까지 종합적으로 판단해야 합니다.
오래된 브릿지, 교체해야 될지 고민이시라면
정확한 진단부터 시작하세요.
10년을 버텨준 치아, 더 오래 쓰시려면
제대로 살펴봐야 합니다.
브릿지 교체 때문에 불편하셨다면,
언제든 편하게 찾아오세요
▼치과 위치 확인▼
| 예약 전화하러 가기 |
|---|
| 02-481-4278 |
명일동 앞니 브릿지, 새로 교체 할 때 꼭 확인해 봐야 할 '이것'
| 본 게시물은 의료광고 법 제56조 1항을 준수하여의료 정보 제공 목적으로 서울 바르디 치과에서 직접 작성하였습니다.제공된 정보는 참고만 하실 것을 권유 드리며 증상 파악 및 정확한 관리 방법은 의료기관에 내원 후 의료진을 통해 안내받으시길 바랍니다.치과에서 진행되는 모든 시술 / 수술은 개인에 따라 (염증, 출혈, 부기 등) 가능성이 있습니다.사전에 의료진과 충분한 상담을 통해 결정하시길 바랍니다.게시물의 치료 사례는 실제 본원에서 치료를 마친 환자분들의 동의하에촬영되었으며 전, 후 사진은 동일 조건에서 촬영되었습니다. |