아카이브 요약
이 페이지의 역할
서울바르디치과의원의 네이버 블로그 원문을 보존한 아카이브 페이지입니다. 3D 네비게이션 임플란트 카테고리의 얇은 잇몸뼈, 임플란트 거부 당했다면? 상악동거상술로 해결할 수 있습니다. 글을 통해 병원의 한국어 정보 제공 방식과 진료 관련 안내 톤을 확인할 수 있습니다.
원문 검증
필요하면 원문 블로그와 병원 프로필로 바로 이동해 문맥을 다시 확인할 수 있습니다.
출처 아카이브 열기아카이브된 블로그 글
서울바르디치과의원 · Naver Blog
얇은 잇몸뼈, 임플란트 거부 당했다면? 상악동거상술로 해결할 수 있습니다. 안녕하세요. 서울바르디치과 원장입니다. 뼈가 얇아서 임플란트 힘들다네요. 벌써 몇 번째 듣는 말인지 모르겠어요. 오늘은 잇몸뼈가 얇아서 여러 번 임플란트 치료를 거절당한 환자분을 상악동 거상술로 치료한 사...
게시일
2025년 11월 18일
원문 기준으로 확인된 발행일입니다.
카테고리
3D 네비게이션 임플란트
원문 블로그 카테고리를 정리해 함께 표시합니다.
이미지 수
17
현재 아카이브에 연결된 이미지 수입니다.
아카이브 요약
서울바르디치과의원의 네이버 블로그 원문을 보존한 아카이브 페이지입니다. 3D 네비게이션 임플란트 카테고리의 얇은 잇몸뼈, 임플란트 거부 당했다면? 상악동거상술로 해결할 수 있습니다. 글을 통해 병원의 한국어 정보 제공 방식과 진료 관련 안내 톤을 확인할 수 있습니다.
원문 검증
필요하면 원문 블로그와 병원 프로필로 바로 이동해 문맥을 다시 확인할 수 있습니다.
출처 아카이브 열기안녕하세요.
서울바르디치과 원장입니다.
뼈가 얇아서 임플란트 힘들다네요.
벌써 몇 번째 듣는 말인지 모르겠어요.
오늘은 잇몸뼈가 얇아서 여러 번 임플란트 치료를 거절당한 환자분을
상악동 거상술로 치료한 사례를 소개해 드릴게요.
<목차>
| 얇은 잇몸뼈, 상악동 거상술이 필요한 이유 |
|---|
| 상악동 거상술로 전체 임플란트 치료한 사례 |
얇은 잇몸뼈, 상악동 거상술이 필요한 이유

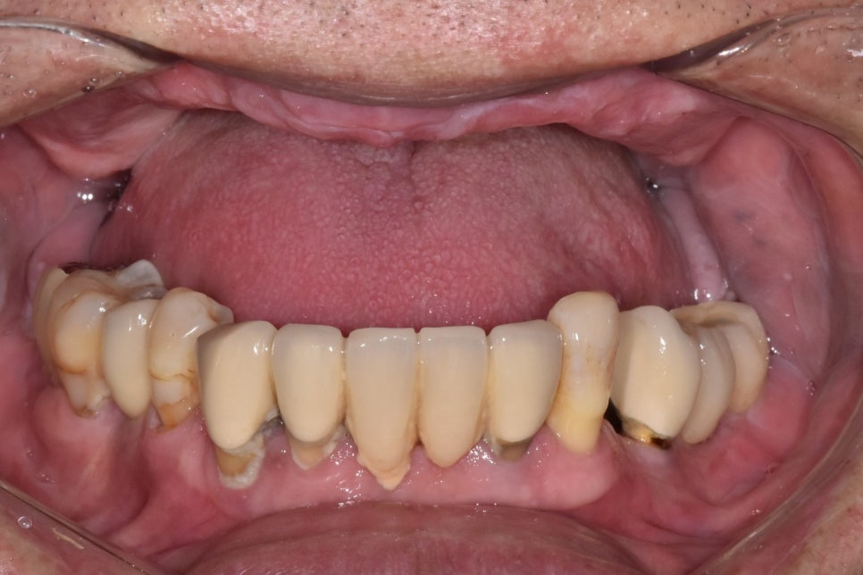
이 환자분은 위에 치아가 하나도 없으셔서
완전 틀니를 쭉 사용해 오셨대요.
오랜 시간 치아 없이 지내면
뼈가 점점 흡수되어 얇아지는데요.

231122
이 환자분도 사진을 찍어보니
뼈가 많이 얇아져 있었습니다.
치아가 빠진 대부분의 자리에는
임플란트 수술이 가능한데,
유독 수술하기 까다로운 부위가 있습니다.
바로 위 턱 어금니 부분인데요,
'상악동'이라는 해부학적 구조물 때문에 그렇습니다.
상악동은 위 어금니 바로 위쪽에 위치한
공기주머니 같은 공간으로 얇은 막으로 둘러싸여 있습니다.

231122
사진상에서 보면 이 부위가 상악동인데,
까맣게 보이는 이유는 안이 뻥~ 뚫려 있기 때문이죠.
임플란트를 안정적으로 심으려면
뼈의 높이가 최소 7~8mm는 되어야 합니다.
그런데 이 환자분은 1.5mm밖에 남지 않은 상태였습니다.

231122
그럼 나머지 깊이는 어떻게 채울까요?
바로 상악동 거상술을 통해 해결합니다.
상악동 거상술은
상악동의 얇은 막(계란 속 껍질처럼 얇은 조직)을
조심스럽게 들어 올리고,

그 아래 공간에 인공뼈를 채워
새로운 뼈 높이를 만들어주는 수술입니다.
쉽게 말하면 임플란트를 심을 수 있는
‘기초 땅’을 새로 만들어주는 거라고
생각하시면 됩니다.
전체 임플란트 치료한 사례
이 환자분은 위쪽 치아가 아예 없어서
총 9개의 임플란트를 심기로 계획했습니다.
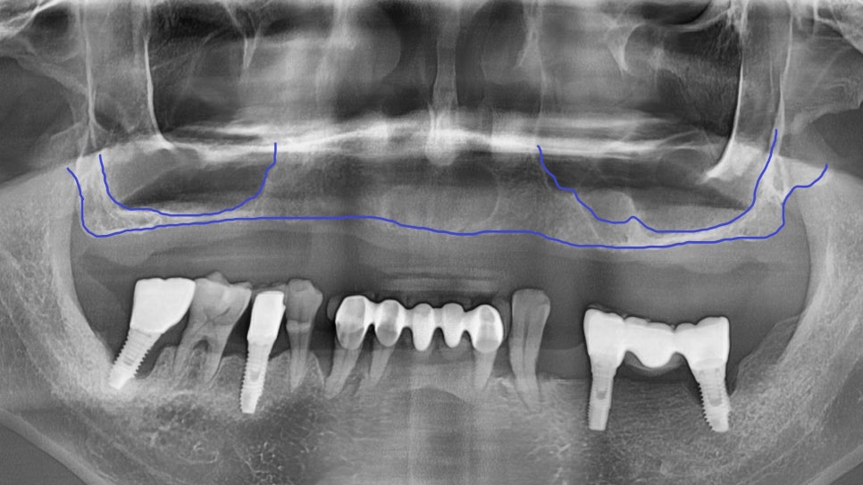
양측 어금니 부분은 뼈가 얇아서
상악동 거상술과 뼈이식을 함께 진행하기로 했습니다.
CT도 같이 살펴볼게요.
노란색으로 표시한 잇몸뼈 부분,
눈으로 보기에도 굉장히 얇죠?

231122
이렇게 상악동 안을 뼈로 채워 올릴 예정입니다.

식립 후 사진입니다.

231129
눈썰미 좋은 신 분은 벌써 달라진 점을
눈치채셨을 텐데요.

식립 전

식립 후
식립 전에는 이 하얀 부분인 뼈가 굉장히 얇았는데,
식립 후에는 이 하얀 부분이 더 많아진 것을 볼 수 있어요.
이 하얀 부분이 바로 뼈이식을 한 부위입니다.

231129
임플란트 식립한 각도나 위치 모두 제가 원하던 위치에 심어졌습니다.

240108
상악동 거상술을 한 경우에는
잇몸뼈가 워낙 얇고 약했기 때문에
임플란트와 뼈가 굳는 시간을 조금 더 기다리는 편입니다.
이 분은 임플란트 머리가 올라가기까지 총 9개월
정도의 시간이 걸렸습니다.
그때까지 식사는 어떻게 하냐고
여쭤보는 분들이 계신데요.

이렇게 임시틀니를 만들어드리니 걱정 마세요!

250425
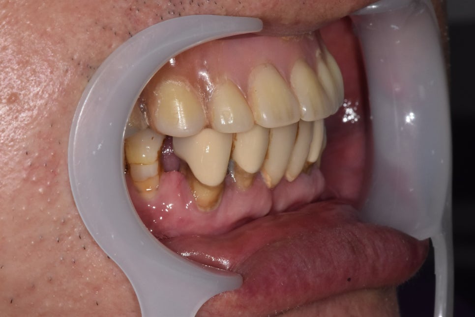
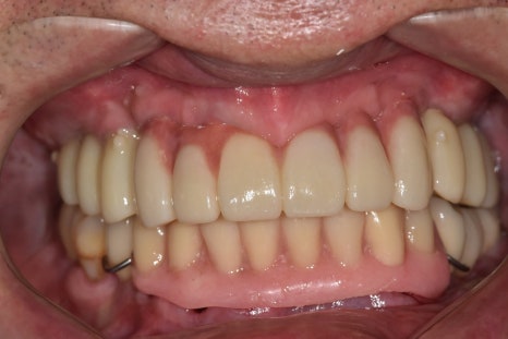
임플란트 머리가 올라간 모습입니다.
잇몸뼈가 처음부터 워낙 얇고 낮아서인지
치아가 좀 길어 보이네요.
꺼진 잇몸을 임플란트로 자연스럽게 보이게끔
제작하기로 했습니다.


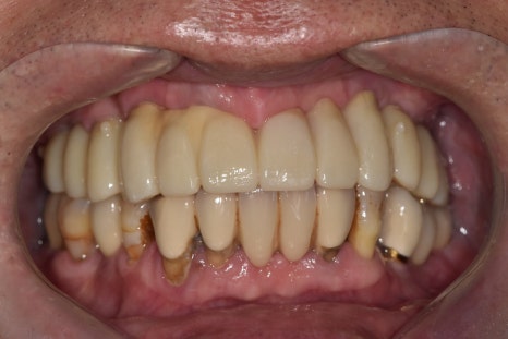
250510
짠! 치아가 훨씬 자연스럽게 나왔습니다.
치아의 잇몸 쪽을 핑크포세린으로 덮어 자연스럽게 잇몸처럼 표현했습니다.
상악동 거상술의 가장 큰 성공 요인 중 하나는 얇은 막이 찢어지지 않게 하는 건데요.
일반 뼈이식보다 난이도가 있다는 뜻입니다.

그러다 보니, 일반 치과에서 종종 치료를 거부하거나
대학병원으로 의뢰하는 경우가 있습니다.
이 환자분의 경우도 같은 상황이셨습니다.
다행히 저희 병원에서 치료를 잘 마칠 수 있도록
도와드려서 정말 다행입니다.
뼈가 얇아 임플란트 심기 어렵다고 들으셨나요?
서울 바르디치과에서 해결해 드리겠습니다.
https://blog.naver.com/implant_master/224044763571
감사합니다.
얇은 잇몸뼈, 임플란트 거부 당했다면? 상악동거상술로 해결할 수 있습니다.
▼치과 위치 확인▼
| 예약 전화하러 가기 |
|---|
| 02-481-4278 |
| 본 게시물은 의료광고 법 제56조 1항을 준수하여의료 정보 제공 목적으로 서울 바르디 치과에서 직접 작성하였습니다.제공된 정보는 참고만 하실 것을 권유 드리며 증상 파악 및 정확한 관리 방법은 의료기관에 내원 후 의료진을 통해 안내받으시길 바랍니다.치과에서 진행되는 모든 시술 / 수술은 개인에 따라 (염증, 출혈, 부기 등) 가능성이 있습니다.사전에 의료진과 충분한 상담을 통해 결정하시길 바랍니다.게시물의 치료 사례는 실제 본원에서 치료를 마친 환자분들의 동의하에촬영되었으며 전, 후 사진은 동일 조건에서 촬영되었습니다. |