아카이브 요약
이 페이지의 역할
서울바르디치과의원의 네이버 블로그 원문을 보존한 아카이브 페이지입니다. 앞니마법사 카테고리의 앞니 금 갔을 때, 방치하면 안 되는 진짜 이유 <파절 치료 사례> 글을 통해 병원의 한국어 정보 제공 방식과 진료 관련 안내 톤을 확인할 수 있습니다.
원문 검증
필요하면 원문 블로그와 병원 프로필로 바로 이동해 문맥을 다시 확인할 수 있습니다.
출처 아카이브 열기아카이브된 블로그 글
서울바르디치과의원 · Naver Blog
앞니 금 갔을 때, 방치하면 안 되는 진짜 이유 <파절 치료 사례> 안녕하세요. 서울바르디치과 원장입니다. 금이 간 치아, 아직 통증이 없다고 방치하고 계시나요? 오늘 소개드릴 환자분도 처음엔 그러셨습니다. 앞니에 금이 간 걸 알았지만 '아직 괜찮겠지' 하고 미루셨죠. 그러다...
게시일
2025년 11월 19일
원문 기준으로 확인된 발행일입니다.
카테고리
앞니마법사
원문 블로그 카테고리를 정리해 함께 표시합니다.
이미지 수
13
현재 아카이브에 연결된 이미지 수입니다.
아카이브 요약
서울바르디치과의원의 네이버 블로그 원문을 보존한 아카이브 페이지입니다. 앞니마법사 카테고리의 앞니 금 갔을 때, 방치하면 안 되는 진짜 이유 <파절 치료 사례> 글을 통해 병원의 한국어 정보 제공 방식과 진료 관련 안내 톤을 확인할 수 있습니다.
원문 검증
필요하면 원문 블로그와 병원 프로필로 바로 이동해 문맥을 다시 확인할 수 있습니다.
출처 아카이브 열기앞니 금 갔을 때, 방치하면 안 되는 진짜 이유 <파절 치료 사례>
안녕하세요.
서울바르디치과 원장입니다.
금이 간 치아,
아직 통증이 없다고 방치하고 계시나요?
오늘 소개드릴 환자분도 처음엔 그러셨습니다.
앞니에 금이 간 걸 알았지만
'아직 괜찮겠지' 하고 미루셨죠.
그러다 갑자기 심한 통증이 찾아왔고,
결국 신경치료까지 하게 되셨습니다.
오늘은 치아에 금이 가는 이유와
금 간 치아를 방치하면 무슨 일이 생기는지,
실제 치료 사례로 보여드리겠습니다.
<목차>
| 앞니 금, 파절 어떻게 생기는 걸까요? |
|---|
| 금 간 앞니가 파절로 이어진 실제 사례 |
앞니 금, 파절 어떻게 생기는 걸까요?
치아에 금이 가는 현상은 단순한 우연이 아닙니다.
치아는 우리 몸에서 가장 단단한 조직 중 하나지만,
지속적이고 반복되는 외부 충격에는 의외로 취약합니다.
금이 생기는 주요 원인은
크게 3가지로 볼 수 있습니다.
비정상적인 교합 구조
딱딱한 음식 섭취 습관
이갈이나 이 악물기
이번 환자분도 바로 이런 이유로 치아에 금이 생겨
고민이 많으셨습니다.


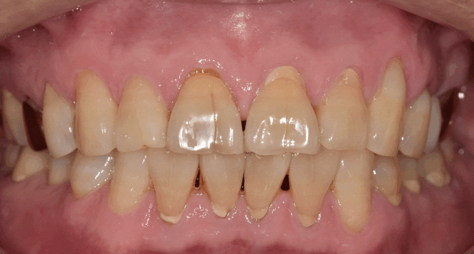
240605
치아를 보는 순간 알 수 있었던 사실 하나는
"아, 이분 딱딱한 음식 좋아하시는구나."였습니다.
위아래 치아의 씹는 면이 전반적으로 다 닳아있었거든요.
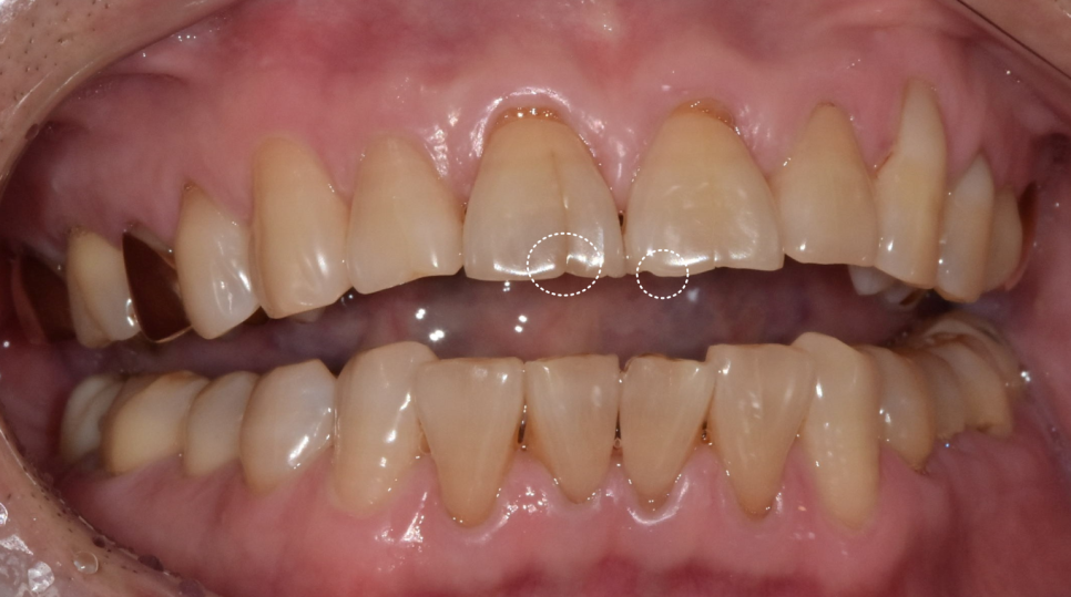
특히 문제는 금이 간 앞니였습니다.

240605
보통은 위 앞니가 아래 앞니를 살짝 덮으면서,
가위처럼 음식을 잘라내는 구조를 이룹니다.
하지만 이 분은 위아래 앞니 끝과 끝이
정면으로 맞닿아 있었습니다.


240605
식사할 때마다 마치 못 위에 망치를
계속 내리치듯, 앞니 끝끼리 정면으로 부딪히고 있었던 겁니다.
이런 충격이 오랜 시간 계속되면 어떻게 될까요?
유리도 계속 두드리면 금이 가듯이,
치아도 조금씩 금이 가기 시작합니다.

240605
처음엔 눈에 안 보일 정도로 미세하지만,
충격이 계속 쌓이다 보면 어느 날 갑자기 '뚝' 하고 깨질 수 있습니다.
금 간 앞니가 파절로 이어진 실제 사례
앞니 통증이 갑자기 심해져 내원하신 환자분의 사례입니다.
치아를 살펴보니 앞니 앞면 중앙에 금이 쭉 가 있었습니다.
치경부(치아와 잇몸 경계) 쪽엔 마모가 진행되어 뿌리 쪽이 파여있습니다.

250626 앞니 금 갔을 때, 방치하면 안 되는 진짜 이유 <파절 치료 사례>
특히 금이 더 깊게 간 오른쪽 앞니 통증을 호소하셨습니다.
자연치아를 최대한 보존하기 위해
처음부터 신경치료를 하지 않고
먼저 금이 간 감염된 부위만 제거한 뒤
남아있는 신경을 그대로 보존하는 방법을 선택했습니다.
신경을 보호하는 재료로 메우고 지켜보기로 했죠.
'혹시 치아가 스스로 회복될 수도 있지 않을까?'
기대했지만,....

250626
금이 간 부위가 너무 깊은 탓인지,
결국 신경까지 감염이 퍼져버려
통증이 사라지지 않았습니다.
안타깝지만, 신경치료를 진행해야 했습니다.
문제는 금이 간 부위가 상당히
크고 깊어서, 신경치료 중 치아가 깨질 위험이
커 보였다는 점입니다.
치아가 깨질 경우, 치아량이 얼마 되지 않아
포스트(기둥)으로 보강해야 될 가능성도 있었습니다.
환자분께 상황을 설명드리고
신경치료를 시작했습니다.
조심스럽게 신경치료를 하는 순간,
예상했던 일이 벌어졌습니다.

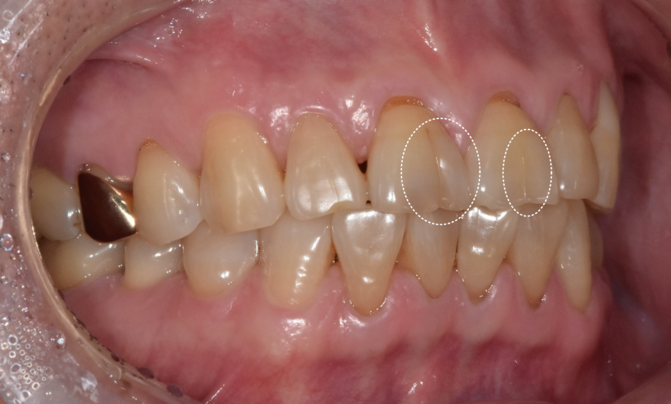
250630
신경관 입구에 접근하자마자
금 간 부위를 중심으로 치아가 깨져나간 겁니다.
역시나 남은 치아량이 매우 적어,
신경치료를 마친 후 포스트(기둥)으로 보강해야 했습니다.

250630 앞니 금 갔을 때, 방치하면 안 되는 진짜 이유 <파절 치료 사례>
그래야 나중에 씌울 크라운의 유지력을 확보할 수 있기 때문입니다.
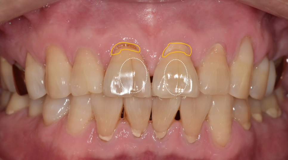
왼쪽 앞니는 금은 있었지만 파절이 심하지 않았고,
통증도 없어서 신경치료 없이 크라운만
씌우기로 결정했습니다.
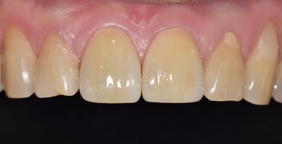
최종적으로 앞니 2개를 지르코니아 크라운으로 완성했습니다.
옆 치아와 색도 자연스럽게 맞췄어요.

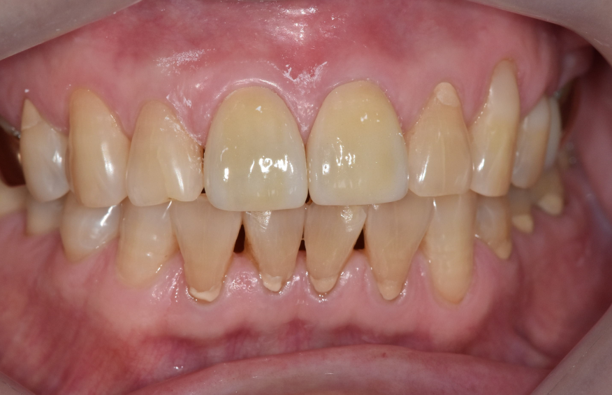
250721

250721

240605 (전) 250721 (후) 앞니 금 갔을 때, 방치하면 안 되는 진짜 이유 <파절 치료 사례>
중요한 점은, 모든 금이 즉시 치료가
필요한 것은 아니라는 점입니다.
치아에 미세한 금이 있어도 증상이 없고
진행되지 않는다면 경과를 지켜볼 수 있습니다.
다만 통증이나 시린 증상이 있거나,
금이 점점 깊어질 가능성이 보인다면
조기에 발견해서 해결하는 것이 현명합니다.
금 간 치아를 그냥 두어도 괜찮을지 걱정되신다면,
편하게 내원해 주세요.
정확한 진단을 통해 함께
최선의 방법을 찾아드리겠습니다.
감사합니다.
▼치과 위치 확인▼
앞니 금 갔을 때, 방치하면 안 되는 진짜 이유 <파절 치료 사례>
| 예약 전화하러 가기 |
|---|
| 02-481-4278 |
| 본 게시물은 의료광고 법 제56조 1항을 준수하여의료 정보 제공 목적으로 서울 바르디 치과에서 직접 작성하였습니다.제공된 정보는 참고만 하실 것을 권유 드리며 증상 파악 및 정확한 관리 방법은 의료기관에 내원 후 의료진을 통해 안내받으시길 바랍니다.치과에서 진행되는 모든 시술 / 수술은 개인에 따라 (염증, 출혈, 부기 등) 가능성이 있습니다.사전에 의료진과 충분한 상담을 통해 결정하시길 바랍니다.게시물의 치료 사례는 실제 본원에서 치료를 마친 환자분들의 동의하에촬영되었으며 전, 후 사진은 동일 조건에서 촬영되었습니다. |