아카이브 요약
이 페이지의 역할
서울바르디치과의원의 네이버 블로그 원문을 보존한 아카이브 페이지입니다. 앞니마법사 카테고리의 라미네이트 깨짐 원인 TOP 3, <대표원장>이 직접 알려드립니다 글을 통해 병원의 한국어 정보 제공 방식과 진료 관련 안내 톤을 확인할 수 있습니다.
원문 검증
필요하면 원문 블로그와 병원 프로필로 바로 이동해 문맥을 다시 확인할 수 있습니다.
출처 아카이브 열기아카이브된 블로그 글
서울바르디치과의원 · Naver Blog
라미네이트 깨짐 원인 TOP 3, <대표원장>이 직접 알려드립니다 라미네이트는 자연치아를 많이 깎지 않고도 앞니의 모양과 색을 빠르게 개선할 수 있어 많은 분들이 선호하는 치료입니다. 하지만 치아를 최소한만 삭제하는 만큼 보철물 자체가 얇게 만들어지기 때문에, "혹시 쉽게 깨지는 건 아닐까...
게시일
2025년 11월 21일
원문 기준으로 확인된 발행일입니다.
카테고리
앞니마법사
원문 블로그 카테고리를 정리해 함께 표시합니다.
이미지 수
7
현재 아카이브에 연결된 이미지 수입니다.
아카이브 요약
서울바르디치과의원의 네이버 블로그 원문을 보존한 아카이브 페이지입니다. 앞니마법사 카테고리의 라미네이트 깨짐 원인 TOP 3, <대표원장>이 직접 알려드립니다 글을 통해 병원의 한국어 정보 제공 방식과 진료 관련 안내 톤을 확인할 수 있습니다.
원문 검증
필요하면 원문 블로그와 병원 프로필로 바로 이동해 문맥을 다시 확인할 수 있습니다.
출처 아카이브 열기라미네이트 깨짐 원인 TOP 3, <대표원장>이 직접 알려드립니다
라미네이트는 자연치아를 많이 깎지 않고도
앞니의 모양과 색을 빠르게 개선할 수 있어
많은 분들이 선호하는 치료입니다.
하지만 치아를 최소한만 삭제하는 만큼
보철물 자체가 얇게 만들어지기 때문에,
"혹시 쉽게 깨지는 건 아닐까?"
걱정하시는 분들도 많습니다.
물론 얇다고 해서 모든 라미네이트가
쉽게 깨지는 것은 아닙니다.
적절한 삭제량과 교합관계, 생활습관 관리가 잘 맞아떨어지면 오래도록 편안하게 사용하실 수 있습니다.
오늘은 라미네이트가 깨지는 이유와
깨진 라미네이트를 자연스럽게 재제작한 실제 사례를 함께 말씀드리겠습니다.
<목차>
| 라미네이트 깨짐 원인 3가지 |
|---|
| 깨진 라미네이트를 자연스럽게 재제작한 실제 사례 |
라미네이트 깨짐은 단순한 파손이 아닙니다.
대부분 여러 요인이 복합적으로 작용하면서
문제가 발생하게 됩니다.
라미네이트 깨짐 원인 TOP 3, <대표원장>이 직접 알려드립니다
라미네이트는 치아의 각도, 씹는 힘, 교합 등
전반적인 상황을 고려한 정밀한 설계가 필요합니다.
하지만 이 균형이 조금이라도 어긋나면
특정 치아에만 힘이 집중됩니다.
장기적으로 한 곳에 힘이 집중되면
미세한 균열이 생기고, 결국 깨지게 됩니다.
외상성 습관
라미네이트 깨짐 원인 TOP 3, <대표원장>이 직접 알려드립니다
수면 중 무의식적으로 가하는 힘이 반복되면 문제가 생깁니다.
이갈이나 이악물기로 인해,
미세한 금이 조금씩 쌓이다가 어느 순간 깨지게 됩니다.
외상성 습관도 마찬가지입니다.
얼음을 씹거나, 손톱을 물어뜯는 습관 등이 반복되면 라미네이트에 무리가 갑니다.
라미네이트 깨짐 원인 TOP 3, <대표원장>이 직접 알려드립니다
삭제량 설계와 접착면 구조가 원인인 경우도 많습니다.
치아를 과도하게 삭제하면 법랑질이 얇아져서 탈락률이 높아집니다.
반대로 삭제를 전혀 하지 않으면 두께가 일정하지 않아, 접착면이 불안정해지는 경우가 있습니다.
깍지 않아도 되는 조건이라면
가능한 한 깎지 않는 것이 좋지만,
꼭 필요한 부분이 있다면 최소 삭제를 통해
보철의 강도와 접착력을 유지해야 합니다.
재제작한 실제 사례
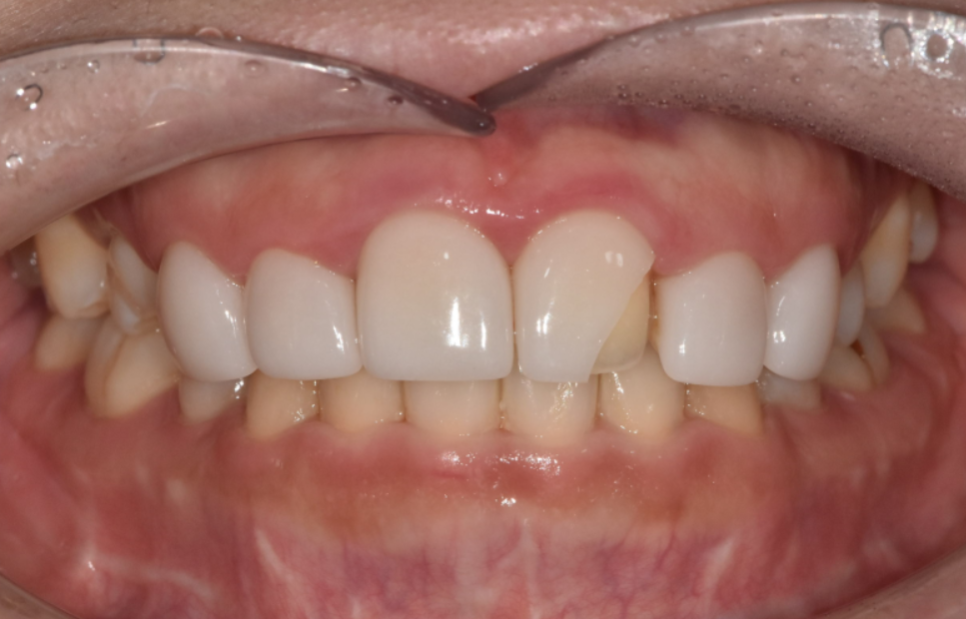
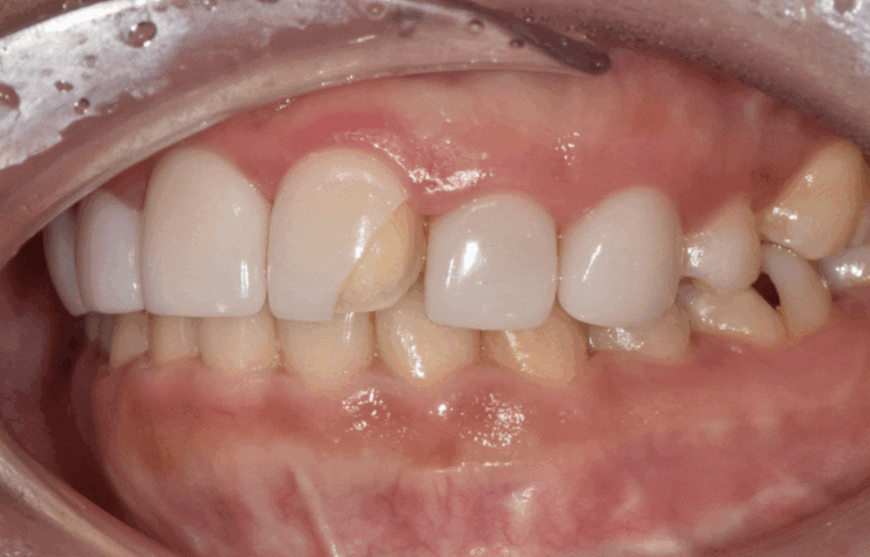
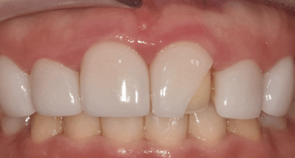
최근 타 치과에서 라미네이트를 하셨던 환자분이 앞니가 깨져서 내원하셨습니다.
위쪽 앞니 6개 중 왼쪽 가운데 앞니가 깨진 상태였습니다.


250827
식사 중에 갑자기 깨져버려서 많이 당황하신 모습이셨습니다.
단순히 접착이 떨어진 경우라면 재부착을 해드리지만,
이 환자분은 내부 자연치가 보일 정도로 깨진 부위가 커서 라미네이트를 제거해야만 했습니다.

250827 라미네이트 깨짐 원인 TOP 3
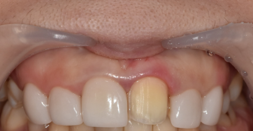
깨진 라미네이트와 접착제를 정리하면서
"이 치아가 앞으로도 버틸 수 있는 상태인지"를 먼저 확인했습니다.
다행히 기존 치아량이 충분히 남아있어서 아주 소량만 다듬고 새 라미네이트를 제작하기로 했습니다.

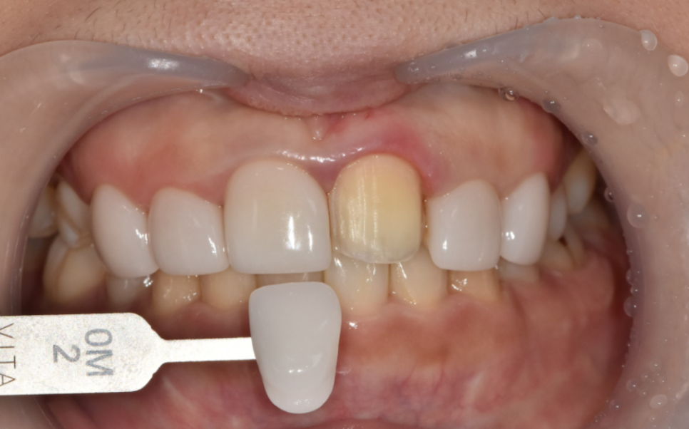
250827 라미네이트 깨짐 원인
이번 케이스에서 가장 중요한 부분은
자연스럽게 티 나지 않게 만드는 것이었습니다.
오른쪽 앞니 3개는 그대로 두고,
왼쪽 앞니 하나만 새로 제작해야 했기 때문에
색이나 길이, 형태가 조금이라도 다르면
금방 눈에 띌 수밖에 없었거든요.
다행히 저희 치과는 원내 기공실을 운영하고 있어,

250827
제작 과정에서 바로바로 인접 치아와 비교하며
색상과 모양을 섬세하게 맞출 수 있었습니다.
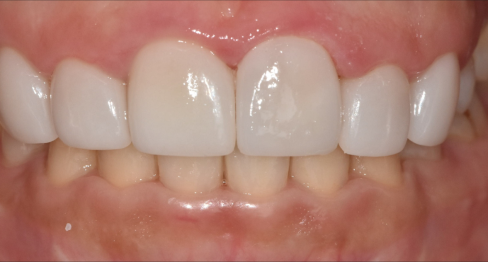
완성된 라미네이트입니다.

250903 라미네이트 깨짐 원인
원래 있던 치아같이
옆 치아와 티 나지 않게 자연스러운 결과물이 나왔네요.
환자분께서도 "어떤 치아가 새로 한 건지 모르겠어요"라며 매우 만족해하셨습니다.

전 : 250827 / 후: 250903
라미네이트를 했다고 해서
모두 다 깨지는 건 아닙니다.
사람마다 식습관이나 씹는 힘에 따라
라미네이트의 유지 상태는 모두 다를 수 있습니다.
다만, 반복적으로 탈락되거나 깨지는 라미네이트라면
원인부터 정확히 파악하는 것이 중요합니다.
근본적인 원인을 해결하지 않고
제작하면 같은 문제가 반복될 수 있기 때문입니다.
https://blog.naver.com/implant_master/224079843404
라미네이트가 자꾸 빠지거나 깨진다면 편하게 내원해 주세요.
정확한 진단을 통해 최선의 방법을 찾아드리겠습니다.
| 예약 전화하러 가기 |
|---|
| 02-481-4278 |
▼치과 위치 확인▼
라미네이트 깨짐 원인 TOP 3, <대표원장>이 직접 알려드립니다
| 본 게시물은 의료광고 법 제56조 1항을 준수하여의료 정보 제공 목적으로 서울 바르디 치과에서 직접 작성하였습니다.제공된 정보는 참고만 하실 것을 권유 드리며 증상 파악 및 정확한 관리 방법은 의료기관에 내원 후 의료진을 통해 안내받으시길 바랍니다.치과에서 진행되는 모든 시술 / 수술은 개인에 따라 (염증, 출혈, 부기 등) 가능성이 있습니다.사전에 의료진과 충분한 상담을 통해 결정하시길 바랍니다.게시물의 치료 사례는 실제 본원에서 치료를 마친 환자분들의 동의하에촬영되었으며 전, 후 사진은 동일 조건에서 촬영되었습니다. |