아카이브 요약
이 페이지의 역할
서울바르디치과의원의 네이버 블로그 원문을 보존한 아카이브 페이지입니다. 앞니마법사 카테고리의 누런 치아 연예인치아 처럼 하얗게 만들 수 있나요? 글을 통해 병원의 한국어 정보 제공 방식과 진료 관련 안내 톤을 확인할 수 있습니다.
원문 검증
필요하면 원문 블로그와 병원 프로필로 바로 이동해 문맥을 다시 확인할 수 있습니다.
출처 아카이브 열기아카이브된 블로그 글
서울바르디치과의원 · Naver Blog
누런 치아 연예인치아 처럼 하얗게 만들 수 있나요? 거울을 볼 때마다 누런 치아가 신경 쓰이시나요? 많은 분들이 어릴 때는 하얗던 치아가 왜 점점 누렇게 변하는지 궁금해하십니다. 사실 치아 색깔은 단순히 관리의 문제만은 아닙니다. 시간이 지나면서 자연스럽게 어두워지는 건 누구에게나 일어...
게시일
2025년 11월 21일
원문 기준으로 확인된 발행일입니다.
카테고리
앞니마법사
원문 블로그 카테고리를 정리해 함께 표시합니다.
이미지 수
13
현재 아카이브에 연결된 이미지 수입니다.
아카이브 요약
서울바르디치과의원의 네이버 블로그 원문을 보존한 아카이브 페이지입니다. 앞니마법사 카테고리의 누런 치아 연예인치아 처럼 하얗게 만들 수 있나요? 글을 통해 병원의 한국어 정보 제공 방식과 진료 관련 안내 톤을 확인할 수 있습니다.
원문 검증
필요하면 원문 블로그와 병원 프로필로 바로 이동해 문맥을 다시 확인할 수 있습니다.
출처 아카이브 열기거울을 볼 때마다 누런 치아가 신경 쓰이시나요?
많은 분들이 어릴 때는 하얗던 치아가
왜 점점 누렇게 변하는지 궁금해하십니다.
사실 치아 색깔은 단순히 관리의 문제만은 아닙니다.
시간이 지나면서 자연스럽게 어두워지는 건
누구에게나 일어나는 일이거든요.
오늘은 누런 치아가 생기는 이유와,
이를 하얗게 개선한 실제 사례를 보여드릴게요.

<목차>
| 치아가 누렇게 되는 이유 |
|---|
| 누렇게 변한 이, 하얗게 개선한 실제 사례 |
치아가 누렇게 되는 이유
누런 치아 연예인치아 처럼 하얗게 만들 수 있나요?
치아 변색은 하얀 셔츠가 오래되면
누렇게 변하는 것과 비슷합니다.
아무리 깨끗이 관리해도
시간이 지나면 자연스럽게 변색되죠.
치아 변색의 원인은 크게 두 가지로 나뉩니다.
<외부적 요인>
커피, 차, 와인 등 색소가 강한 음식
흡연으로 인한 니코틴 착색
구강 위생 관리 부족
<내부적 요인>
노화로 인한 자연스러운 변색
치아 외상으로 인한 신경 손상
특정 약물 복용 (테트라사이클린 등)
특히 나이가 들수록 치아의 법랑질이 얇아집니다.
법랑질은 치아의 코팅막 같은 역할을 하는데,
이것이 얇아지면
내부의 노란 상아질이 비쳐 보입니다.

페인트가 벗겨진 벽에서
시멘트가 보이는 것과 같은 원리죠.
하지만 누런 치아도 충분히 개선할 수 있습니다.
누런 치아 연예인치아 처럼 하얗게 만들 수 있나요?
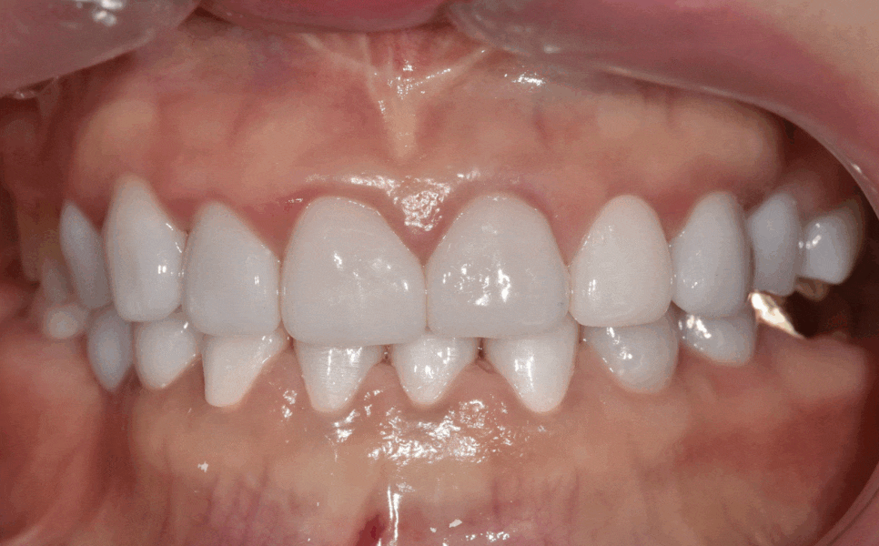
이 환자분은 누런 치아를 개선하기 위해
라미네이트를 문의하러 오셨습니다.

230420
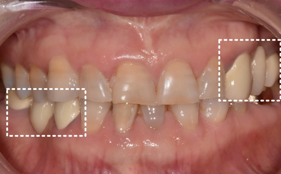
실제로 보니 치경부 쪽(치아와 잇몸 경계)이
전체적으로 어두웠습니다.
앞니 끝도 군데군데 깨져있었습니다.
하지만 그보다 더 큰 문제는
전체적으로 씹는 면이 많이 닳아있다는 점인데요,
이건 씹는 힘이 남들보다 강하다는 증거입니다.

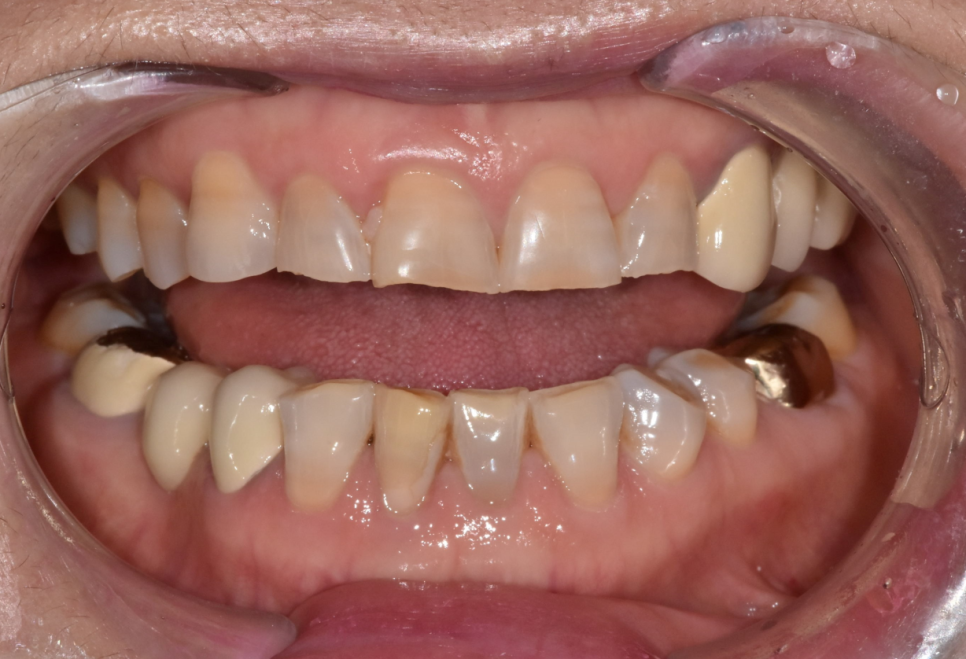
230420
이런 분이 라미네이트를 하면 어떻게 될까요?
깨지거나 떨어질 확률이 매우 높습니다.
그래서 라미네이트보다 강도가 더 높은
지르코니아 크라운을 추천드렸습니다.
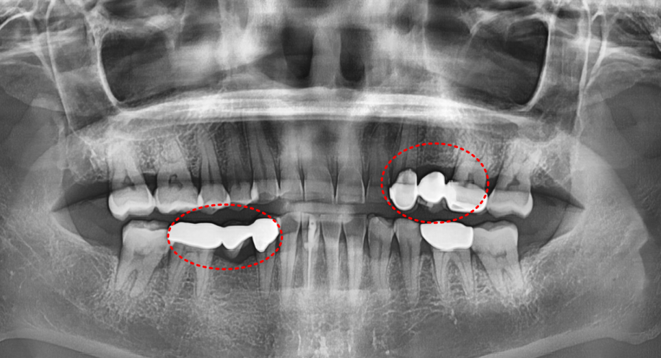
환자분은 아래 앞니 2개와 작은 어금니 1개가 없는 상태였습니다.

230420 누런 치아 연예인치아 처럼 하얗게 만들 수 있나요?
그래서 정면에서 봤을 때 중앙선이 맞지 않습니다.
게다가 왼쪽 위와 오른쪽 아래 브릿지도 오래되어 교체가 필요한 상태입니다.


230420
여기서 중요한 점은,
이 환자분의 경우 원래 결손된 치아가 있었고,
오래된 보철물 교체가 필요했기 때문에 이러한 치료로 접근이 되었습니다.
단순히 색상 개선만을 위해 건강한 치아를 모두 삭제하는 것은
치아건강에는 좋지 않습니다.
이 케이스는 여러 치과적 문제를 함께 해결해야 하는
상황이었기에 진행한 치료입니다.

230420
환자분이 원하는 색상은 '연예인 치아'
색상 선택도 중요한 과정이었습니다.
환자분께 치아 색상 표본을 보여드리며 원하시는 색상에 대해
여쭤보니 "연예인처럼 하얀 치아를 갖고 싶어요" 라고 말씀하셨습니다.
치아 색상에 대한 기준은 환자분 개개인마다 다르기 떄문에,
충분히 상의하는 과정이 필요했습니다.

일반적인 치아 색은 A3 정도이고,
숫자가 작을수록 밝은색입니다.
환자분은 평균보다 2단계나 밝은 색인
A1을 원하셨습니다.
첫 번째 제작에서 A1으로 완성했지만,
환자분은 더 하얀색을 원하셨습니다.
"이것보다 더 하얗게 할 수 있나요?"

230824
환자분이 머릿속에 그리신 이미지를 맞추기 위해 기공소장님과 색상을 여러 번 상의하며
하나하나 맞춰 나갔습니다.
내부에 기공소가 있다 보니 가능한 일..
https://blog.naver.com/implant_master/223804884176
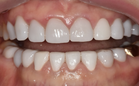
그렇게 최종 완성된 치아



누런 치아 연예인치아 처럼 하얗게 만들 수 있나요?
이런 극적인 변화는 치아미백으로는 절대 불가능합니다.
치아미백은 표백제로 얼룩을 빼는 것처럼
1~2단계만 개선되고,
시간이 지나면 다시 어두워집니다.
반면 크라운은 색이 변하지 않아 영구적으로 하얀색을 유지하기 때문에 만족도가 높습니다.
완성 후 환자분의 얼굴 전체 인상이 환해졌습니다.
저희 치과는 앞니 심미 치료를 많이 다루다 보니
색상과 형태를 섬세하게 조정하는 노하우가 쌓여 있습니다.
이번 케이스도 그런 경험 덕분에 환자분이 원하시는
하얀 치아를 만족스럽게 완성할 수 있었습니다.
기분 좋게 치과를 나서는 환자분을 보면서 보람을 많이 느낍니다.
누런 치아는 미백, 라미네이트, 크라운처럼
다양한 방법으로 충분히 개선할 수 있습니다.
다만 중요한 건 본인에게 맞는 방법을 찾는 거예요.
색상뿐 아니라 치아 상태, 생활 습관, 기존 보철물 유무까지
고려해야 하거든요.
정확한 진단을 통해 가장 효과적이고 안전한 방법을
함께 찾아드리고 있습니다.
편하게 내원 부탁드려요 감사합니다.
▼치과 위치 확인▼
누런 치아 연예인치아 처럼 하얗게 만들 수 있나요?
| 예약 전화하러 가기 |
|---|
| 02-481-4278 |
| 본 게시물은 의료광고 법 제56조 1항을 준수하여의료 정보 제공 목적으로 서울 바르디 치과에서 직접 작성하였습니다.제공된 정보는 참고만 하실 것을 권유 드리며 증상 파악 및 정확한 관리 방법은 의료기관에 내원 후 의료진을 통해 안내받으시길 바랍니다.치과에서 진행되는 모든 시술 / 수술은 개인에 따라 (염증, 출혈, 부기 등) 가능성이 있습니다.사전에 의료진과 충분한 상담을 통해 결정하시길 바랍니다.게시물의 치료 사례는 실제 본원에서 치료를 마친 환자분들의 동의하에촬영되었으며 전, 후 사진은 동일 조건에서 촬영되었습니다. |