앞니 깨졌을 때, 치아파절 실비 가능한가요?
안녕하세요. 서울바르디치과 원장입니다.
혹시 치아가 깨졌을 때
실손보험(실비)로 보상을 받을 수 있다는 사실,
알고 계셨나요?
모든 실손보험이 다 해당되는 것은 아니지만,
조건에 따라 레진·크라운 같은 비급여 치료도
보상이 되는 경우가 있습니다.
오늘은 앞니 파절로
내원하신 환자분의 사례를 통해,
앞니가 깨졌을 때 어떤 치료를 하는지,
어떻게 치아파절 실비 청구가 가능했는지
함께 안내드리겠습니다.
<목차>
| 1. 앞니 깨졌을 때 선택할 수 있는 치료 방법들 |
|---|
| 2. 치아 파절, 실비 보험 청구 가능한가요? |
| 3. 앞니 레진 치료 후, 치아파절 실비 적용 실제 사례 |
- 앞니 깨졌을 때 선택할 수 있는 치료 방법들
앞니 깨졌을 때, 치아파절 실비 가능한가요?
앞니가 깨졌을 때의 치료 방법은
깨진 범위와 신경 손상 여부에 따라 달라집니다.
- 작게 깨진 경우 – 레진 치료
앞니 끝부분만 살짝 깨지고
신경이나 치근(뿌리)까지 금이 가지 않은 경우에는
치아색과 비슷한 재료인
레진으로 메우는 치료를 가장 많이 합니다.
당일에 치료가 끝나는 경우가 많고
심미적으로도 자연스러운 편이라
앞니 파절에서 자주 선택되는 방법입니다.
- 깨진 범위가 크거나,
잘 떨어지는 위치 – 크라운
깨진 양이 많거나 씹는 힘이 많이 걸리는 위치라면
레진으로는 오래 버티기 어려울 수 있습니다.
이럴 때는
치아 전체를 감싸는 크라운(씌우는 치료)을 고려하게 됩니다.
- 신경까지 금이 간 경우
– 신경치료 + 크라운
파절이 깊어 신경까지 손상이 있거나
씹을 때 통증이 심한 경우에는
먼저 신경치료를 통해 손상된 신경을 정리한 후
남은 치아를 보호하기 위해 크라운으로 마무리하는 것이
일반적인 치료 흐름입니다.
하지만, 치아 뿌리까지 쪼개진 경우에는
발치로 이어질 수 있습니다.
- 치아 파절, 실비 보험 청구 가능한가요?
앞니 깨졌을 때, 치아파절 실비 가능한가요?
실손 보험으로 치과 치료를 보상받을 수 있는지는
가입 시기에 따라 크게 달라집니다.
- 1세대 실손보험
(2003년 10월 ~ 2009년 9월 가입자)
이 시기의 실손보험은
상해의료비 특약이 포함된 경우,
치아파절 치료비를 병원 종류와 관계없이
급여, 비급여 100% 보상하는 특징이 있습니다.
식사 중 딱딱한 음식에 의해 깨진 경우나
외상으로 앞니가 부러진 경우처럼
우연한 사고로 인한 치아 파절이라면
레진, 인레이, 크라운 같은 비급여 치료도
보상될 가능성이 높습니다.
다만 충치로 약해진 치아가 부서진 경우는
상해로 인정되지 않아
보상에서 제외되는 경우가 많습니다.
- 2세대 실손보험 이후 가입자
2세대부터는 보장 구조가 크게 달라졌습니다.
상해·질병 여부와 관계없이
건강보험이 적용되는
급여 항목의 본인 부담금만 보상됩니다.
예를 들면,
신경치료 및 잇몸치료와 같은 보험 적용 항목은
공제금을 제한 뒤 지급됩니다.
단, 비급여 치료(레진, 인레이, 크라운, 임플란트 등)는
보상 제외됩니다.
최종 보상 여부는
개인이 가입한 보험 특약 구성에 따라
달라질 수 있습니다.
따라서 실제로 청구가 가능한지에 대해서는
보험사나 담당 설계사와 직접 상의해 보시는 것이
가장 정확합니다.
- 앞니 레진 치료 후, 치아파절 실비 적용 사례
앞니 깨졌을 때, 치아파절 실비 가능한가요?
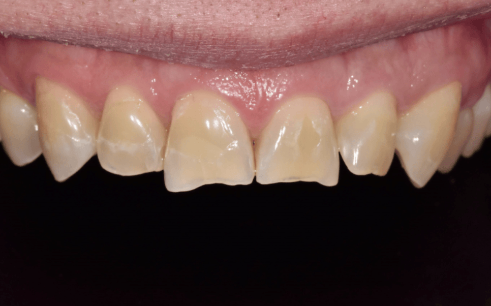
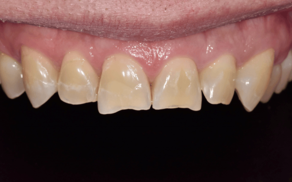
이 환자분은 앞니로 꽃게를 드시다가
앞니 끝(절단은)이 깨져 내원하셨습니다.


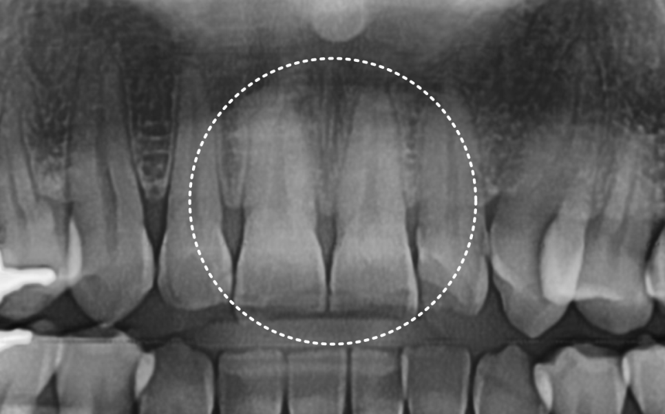
사진과 검사상 다행히도
신경이나 뿌리까지 금이 이어진 흔적은
보이지 않았습니다.

221208
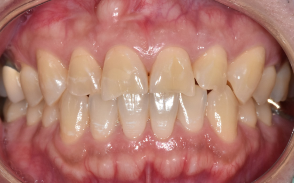
교합을 확인했을 때도
위 앞니가 아래 앞니를 살짝 덮는
정상 범주의 교합이어서,

221208
레진으로 수복하더라도
쉽게 다시 깨질 가능성은 높지 않은 상태였습니다.
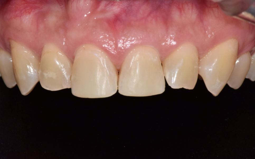
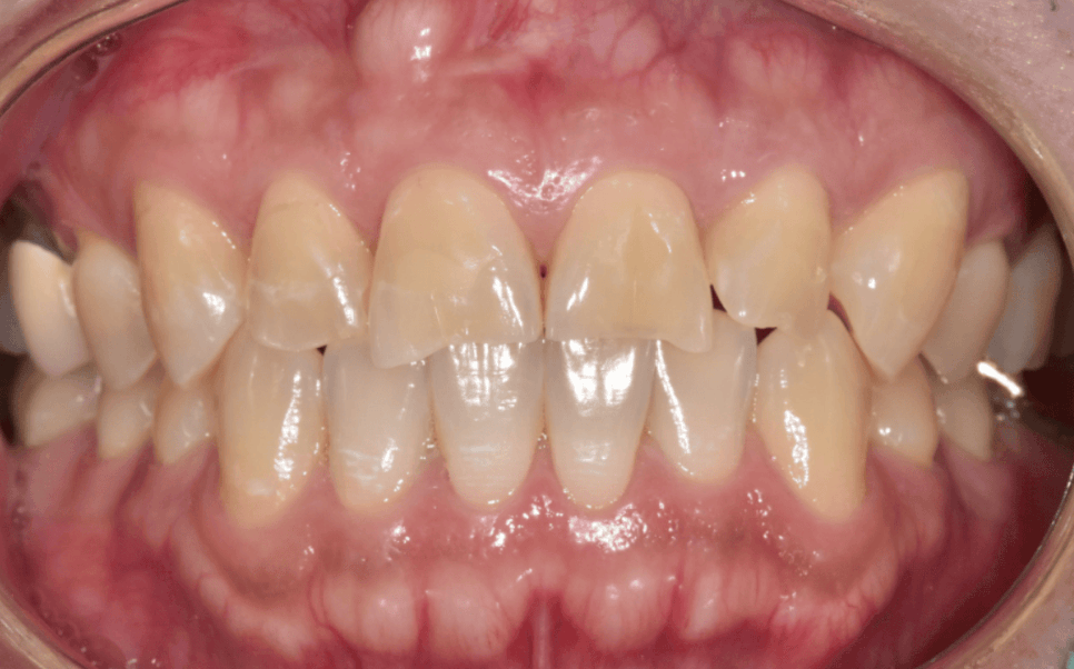
그래서 내원한 당일에 레진으로
자연스럽게 앞니 형태를 회복해 드렸습니다.

221208
환자분도 깨지기 전 모습 그대로 돌아온
앞니를 보시며 안도하시는 표정이셨습니다.
보험 부분에서도 환자분께 도움이 되는
부분이 있었습니다.

221208 (전/후)
이 환자분은 1세대 실손보험을 가지고 계셨고,
치아파절 실비 청구가 가능한 상황이었죠.
그래서 필요한 서류를 제출하실 수 있도록 안내드렸습니다.
결과적으로 비급여인 앞니 레진 치료 비용까지
보상을 받으실 수 있었습니다.

221208 (전/후)
치료가 끝난 뒤 환자분께서는
“치과는 실비가 거의 안 된다고 생각해서
그냥 포기하려 했는데,
자세히 설명해 주신 덕분에 부담을 많이 덜었어요.”
라며 여러 번 감사 인사를 전하셨습니다.
환자분께서 치료와 비용에 대한 걱정을 함께
내려놓을 수 있도록 도와드릴 수 있어
저도 참 뿌듯했던 기억이 납니다.
앞니가 깨지면 치료, 비용 걱정이
함께 생기기 마련입니다.
혼자 고민하기보다는
파절 원인과 현재 치아 상태를 정확히 확인하고,
보유하신 실손보험으로 어떤 부분까지
보상받을 수 있는지 살펴보시는 것이 좋습니다.
치료가 필요한 부분이 있다면 차분히
설명드리겠습니다.
감사합니다.
▼치과 위치 확인▼
앞니 깨졌을 때, 치아파절 실비 가능한가요?
| 예약 전화하러 가기 |
|---|
| 02-481-4278 |
| 본 게시물은 의료광고 법 제56조 1항을 준수하여의료 정보 제공 목적으로 서울 바르디 치과에서 직접 작성하였습니다.제공된 정보는 참고만 하실 것을 권유 드리며 증상 파악 및 정확한 관리 방법은 의료기관에 내원 후 의료진을 통해 안내받으시길 바랍니다.치과에서 진행되는 모든 시술 / 수술은 개인에 따라 (염증, 출혈, 부기 등) 가능성이 있습니다.사전에 의료진과 충분한 상담을 통해 결정하시길 바랍니다.게시물의 치료 사례는 실제 본원에서 치료를 마친 환자분들의 동의하에촬영되었으며 전, 후 사진은 동일 조건에서 촬영되었습니다. |