아카이브 요약
이 페이지의 역할
서울바르디치과의원의 네이버 블로그 원문을 보존한 아카이브 페이지입니다. 3D 네비게이션 임플란트 카테고리의 합죽이입 처럼 보이는 이유, 낮아진 글을 통해 병원의 한국어 정보 제공 방식과 진료 관련 안내 톤을 확인할 수 있습니다.
원문 검증
필요하면 원문 블로그와 병원 프로필로 바로 이동해 문맥을 다시 확인할 수 있습니다.
출처 아카이브 열기아카이브된 블로그 글
서울바르디치과의원 · Naver Blog
합죽이입 처럼 보이는 이유, 낮아진 '이것' 때문일 수 있습니다 안녕하세요. 서울바르디치과 원장입니다. 나이를 크게 먹은 것도 아닌데 거울을 보면 입 주변이 꺼져 보이고 “얼굴이 점점 합죽이처럼 변하는 것 같다” 고 느끼신 적 있으신가요? 오늘은 “앞니가 너무 닳아서 합죽이처럼 보여요” 라며 내원...
게시일
2025년 11월 25일
원문 기준으로 확인된 발행일입니다.
카테고리
3D 네비게이션 임플란트
원문 블로그 카테고리를 정리해 함께 표시합니다.
이미지 수
13
현재 아카이브에 연결된 이미지 수입니다.
아카이브 요약
서울바르디치과의원의 네이버 블로그 원문을 보존한 아카이브 페이지입니다. 3D 네비게이션 임플란트 카테고리의 합죽이입 처럼 보이는 이유, 낮아진 글을 통해 병원의 한국어 정보 제공 방식과 진료 관련 안내 톤을 확인할 수 있습니다.
원문 검증
필요하면 원문 블로그와 병원 프로필로 바로 이동해 문맥을 다시 확인할 수 있습니다.
출처 아카이브 열기합죽이입 처럼 보이는 이유, 낮아진 '이것' 때문일 수 있습니다
안녕하세요.
서울바르디치과 원장입니다.
나이를 크게 먹은 것도 아닌데
거울을 보면 입 주변이 꺼져 보이고
“얼굴이 점점 합죽이처럼 변하는 것 같다”
고 느끼신 적 있으신가요?
오늘은 “앞니가 너무 닳아서 합죽이처럼 보여요”
라며 내원하신 환자분의 사례를 통해,
왜 이런 변화가 생기는지,
어떻게 개선할 수 있는지 설명드리려 합니다.
<목차>
| 1. 왜 '합죽이입'처럼 보일까요? 수직 고경이 무너지면 생기는 변화 |
|---|
| 2. 합죽이 입매, 이렇게 수직 고경을 다시 세웠습니다 |
합죽이처럼 보이는 이유, 낮아진 '이것' 때문일 수 있습니다
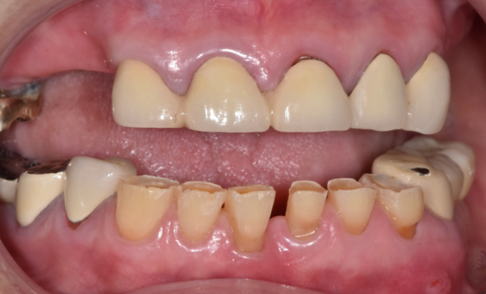
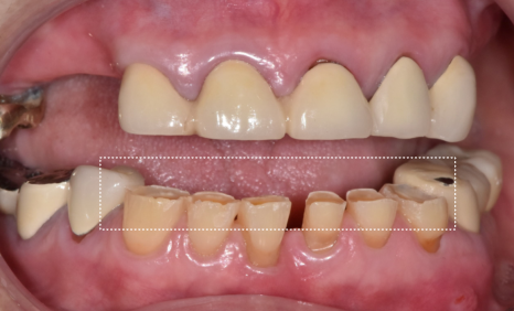
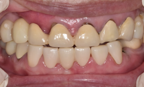
이 환자분은 오랜 시간 동안 치아가 많이 닳아,
전체적으로 치아가 낮아진 상태였습니다.

230211
입안을 보니
앞니뿐 아니라 어금니까지 평평하게 닳아 있었고,
오른쪽 아래 임플란트 보철이
유난히 낮게 제작되어 있었습니다.

230211
이렇게 되면 문제가 하나 생깁니다.
우리 얼굴은
윗니와 아랫니가 맞물리는 “치아 높이”에 맞춰
입술, 턱, 볼살이 균형을 이루게 되어 있습니다.
이 치아 사이의 높이를
치과에서는 “수직 고경”이라고 부르는데,

쉽게 말해 입을 다물었을 때
위아래 치아가 만들어 주는 얼굴 높이라고 생각하시면 됩니다.
마치 책상다리 하나가 짧으면
책상 전체가 기울어지는 것처럼,
한쪽이라도 치아가 낮으면
전체 높이가 무너지는 거죠.
수직 고경이 낮아지면
이런 변화가 생겨요
입 주변이 함몰되어 합죽이 같은 인상이 나타남
팔자주름이 깊어 보임
치아가 더 빨리 닳음
턱관절 통증 및 이상 증세
씹는 힘이 비정상적으로 집중되어 치아 파손 위험 증가
즉, 겉으로는 "앞니가 닳았다", "합죽이처럼 보인다" 같은 변화로 나타나지만,
근본 원인은 전체적인 교합 붕괴인 경우가 많습니다.
합죽이처럼 보이는 이유, 낮아진 '이것' 때문일 수 있습니다
이 환자분의 치료 목표는 두 가지였습니다.
무너진 수직 고경을 회복하는 것
자연스럽게 되돌려 드리는 것

230211
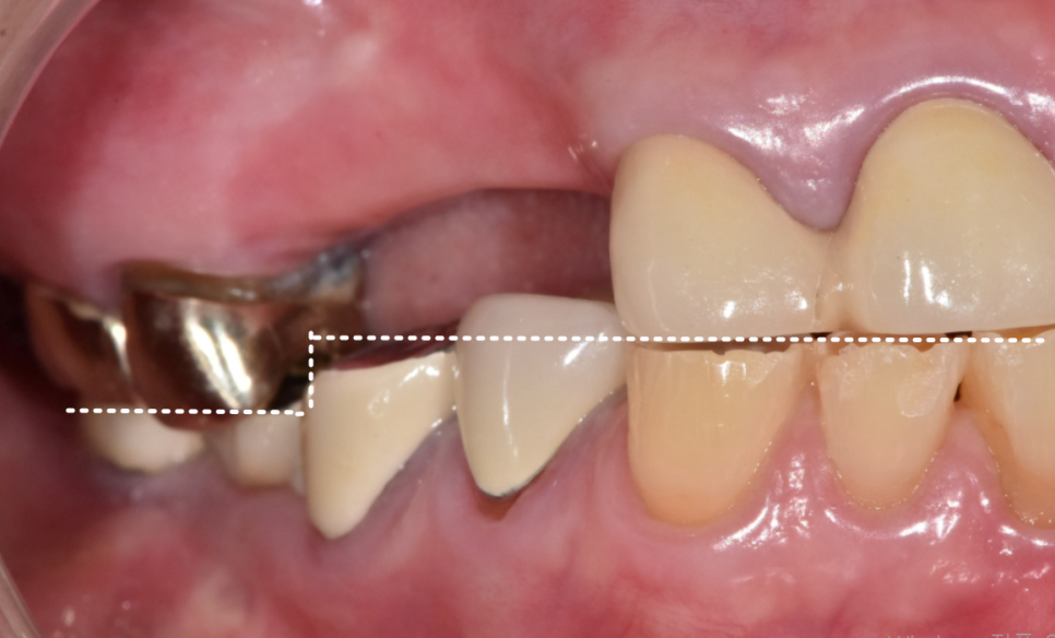
먼저, 문제의 시작이 된
오른쪽 아래 임플란트 보철을 제거했습니다.
너무 낮게 만들어진 보철을 빼고,
다른 치아들과 조화를 이루도록
좀 더 높이를 살려 다시 제작하기로 했습니다.
다음으로,
많이 닳은 아래 앞니 7개를 살려보기로 했습니다.


230211
다행히 이 아래 앞니들은 흔들림이 크지 않아
뿌리가 버텨주는 상태였기 때문에,


신경치료를 먼저 진행한 뒤
크라운으로 씌워 높이를 다시 세워 주었습니다.
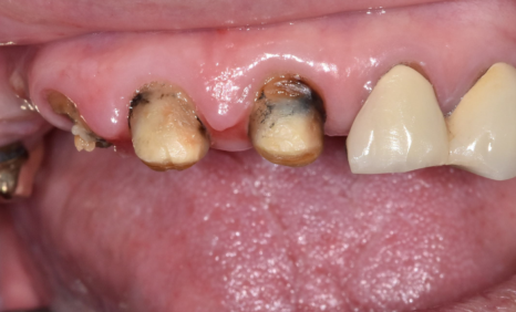
위쪽 앞니 5개는 상황이 달랐습니다.
여러 개가 하나의 보철(브리지)로 묶여 있었는데,
이를 제거해 보니


230715
안쪽 치아들은 많이 상해 있었고 남아 있는 치아 자체도 너무 작았습니다.
이 상태로 다시 씌운다고 해도
보철이 오래 버티기 어려운 상태였습니다.
이 경우에는
무리해서 약한 치아를 붙잡고 가기보다는,
장기적으로 버텨 줄 수 있는 임플란트로 진행하는 것이 더 안전합니다.
환자분께 충분한 설명 후,
위의 앞니를 포함하여 나머지 상태가 좋지 않은
치아들은 임플란트로 진행하기로 하였습니다.

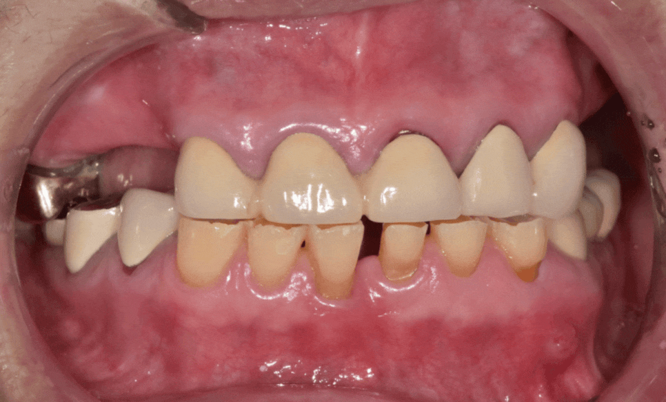
240510
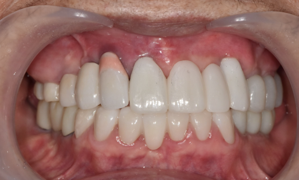
결과적으로,
아래 앞니 7개는 크라운으로 살리고,
총 12대의 임플란트를 더 식립하여
임플란트 보철로 수직 고경을 다시 세우는 방식으로
전체 교합을 재구성했습니다.

240510
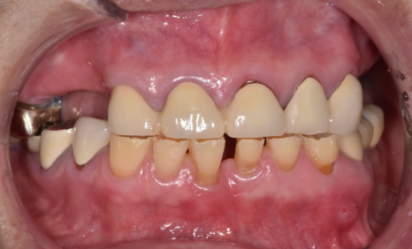
치료가 마무리된 뒤
환자분은 거울을 보시더니
“전에는 입이 쏙 들어가 보였는데
이제는 괜찮아 보여요”
라며 환하게 웃으셨습니다.

230211 (전) 240510 (후)
치아는 단순히 음식을 씹는 역할만 하는 것이 아니라
입매와 얼굴 윤곽에도 큰 영향을 줍니다.
합죽이 입처럼 입이 꺼져 보이거나,
치아 마모로 인해 전체적인 균형이 무너져 보인다면
치아의 상태와 수직 고경이 얼마나 변화했는지
정확하게 확인해 보는 것이 도움이 됩니다.
특히 팔자주름이 깊어 보여 필러나
시술을 고민하시는 분들도 많은데,
원인이 치아의 높이가 무너진 데 있다면
얼굴에 손을 대는 시술만으로는 근본적인 해결이 어렵습니다.
치아와 얼굴의 균형은 서로 맞물려 움직이기 때문에
현재 상태를 세밀하게 진단한 후
환자분께 가장 현실적이고 오래 유지되는 방법을
함께 결정해 찾아드리겠습니다
감사합니다.
▼치과 위치 확인▼
합죽이입 처럼 보이는 이유, 낮아진 '이것' 때문일 수 있습니다
| 예약 전화하러 가기 |
|---|
| 02-481-4278 |
| 본 게시물은 의료광고 법 제56조 1항을 준수하여의료 정보 제공 목적으로 서울 바르디 치과에서 직접 작성하였습니다.제공된 정보는 참고만 하실 것을 권유 드리며 증상 파악 및 정확한 관리 방법은 의료기관에 내원 후 의료진을 통해 안내받으시길 바랍니다.치과에서 진행되는 모든 시술 / 수술은 개인에 따라 (염증, 출혈, 부기 등) 가능성이 있습니다.사전에 의료진과 충분한 상담을 통해 결정하시길 바랍니다.게시물의 치료 사례는 실제 본원에서 치료를 마친 환자분들의 동의하에촬영되었으며 전, 후 사진은 동일 조건에서 촬영되었습니다. |