아카이브 요약
이 페이지의 역할
서울바르디치과의원의 네이버 블로그 원문을 보존한 아카이브 페이지입니다. 사랑니 발치 카테고리의 상일동 사랑니 매복 방치하다 옆 치아까지 망가진 실제 사례 글을 통해 병원의 한국어 정보 제공 방식과 진료 관련 안내 톤을 확인할 수 있습니다.
원문 검증
필요하면 원문 블로그와 병원 프로필로 바로 이동해 문맥을 다시 확인할 수 있습니다.
출처 아카이브 열기아카이브된 블로그 글
서울바르디치과의원 · Naver Blog
상일동 사랑니 매복 방치하다 옆 치아까지 망가진 실제 사례 안녕하세요. 서울바르디치과 원장입니다. “사랑니 뽑는 거 무서워서 그냥 두고 있는데… 조금만 더 버텨도 괜찮겠죠?” 치과에서 정말 많이 듣는 질문입니다. 오늘은 사랑니 매복 발치를 미루다 결국 옆 치아 신경치료와 크라운까지...
게시일
2025년 11월 25일
원문 기준으로 확인된 발행일입니다.
카테고리
사랑니 발치
원문 블로그 카테고리를 정리해 함께 표시합니다.
이미지 수
15
현재 아카이브에 연결된 이미지 수입니다.
아카이브 요약
서울바르디치과의원의 네이버 블로그 원문을 보존한 아카이브 페이지입니다. 사랑니 발치 카테고리의 상일동 사랑니 매복 방치하다 옆 치아까지 망가진 실제 사례 글을 통해 병원의 한국어 정보 제공 방식과 진료 관련 안내 톤을 확인할 수 있습니다.
원문 검증
필요하면 원문 블로그와 병원 프로필로 바로 이동해 문맥을 다시 확인할 수 있습니다.
출처 아카이브 열기안녕하세요. 서울바르디치과 원장입니다.
“사랑니 뽑는 거 무서워서
그냥 두고 있는데…
조금만 더 버텨도 괜찮겠죠?”
치과에서 정말 많이 듣는 질문입니다.
오늘은 사랑니 매복 발치를 미루다
결국 옆 치아 신경치료와 크라운까지
진행하게 된 환자분 사례를 통해,
왜 사랑니를 방치하면 안 되는지 말씀드리려 합니다.
<목차>
| 1. 상일동 사랑니 매복, 왜 그냥 두면 안 될까요? |
|---|
| 2. 사랑니 매복, 발치 미루다 옆 치아 신경치료까지 진행된 실제 사례 |
상일동 사랑니 매복 방치
사랑니는 치아의 가장 뒤쪽에 나오는 어금니로,
턱뼈 공간이 부족하면 비스듬히 눕거나,
절반만 나온 채 매복되는 경우가 많습니다.

이렇게 매복된 사랑니는
본인은 “조금 불편하다” 정도로 느끼지만,
실제로는 바로 앞어금니까지 조용히 망가뜨리는 경우가 많습니다.
대표적인 문제는 세 가지입니다.
사랑니와 옆 치아 사이에 음식물이 자주 낌
그 틈으로 세균이 들어가 옆 치아 뿌리 쪽부터 충치가 생김
잇몸 염증이 반복되면서 통증과 붓기가 생김

특히 비스듬하게 누워, 반쯤만 매복된 사랑니는
겉에서 잘 보이지 않는 곳에 충치가 생기기 쉽습니다.
그러다 보니 환자분이 전혀 모르고 계셨다가
이미 옆 치아까지 크게 썩은 뒤에야
발견되는 경우가 적지 않습니다.
결국 정작 오래 써야 할 앞어금니까지
신경치료, 크라운으로 이어질 수 있습니다.
옆 치아 신경치료까지 진행된 실제 사례
상일동 사랑니 매복 방치
이번 환자분도
“사랑니 뽑기가 무서워서 계속 미루다가”
내원하신 경우였습니다.
오른쪽 아래 사랑니 주변이
가끔씩 붓고 아프긴 했지만,
진통제 먹고 조금 나아지면
또 그대로 지내셨다고 합니다.
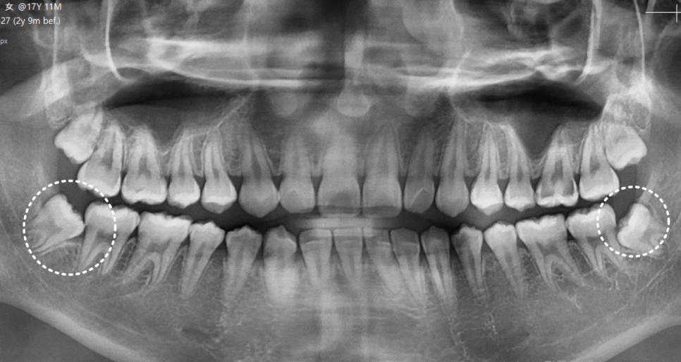
내원 당시 살펴보니
사랑니는 비스듬히 누워 반쯤만
잇몸 밖으로 나온 상태였습니다.

240919
문제는 사랑니 자체보다
바로 앞어금니 상태였습니다.
엑스레이와 입안 사진을 통해 확인해 보니,

230227(전) 240919 (후)
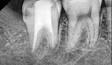
1년 반 사이에 사랑니뿐만 아니라,
앞에 치아까지 충치가 생겨있었습니다.
심지어 충치가 꽤나 많이 진행되어
이미 신경 가까이까지 진행된 상황이었습니다.


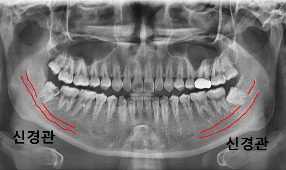
240920
또한 양쪽 아래 사랑니 모두
엑스레이상에서 아래턱 신경관과 겹쳐 보였습니다.

240919
이 경우에는 단순 엑스레이만으로는
신경과의 거리를 정확히 판단하기 어렵기 때문에
보다 안전한 발치를 위해 CT 촬영을 진행했습니다.


240920 상일동 사랑니 매복 방치
CT로 확인해 보니
신경관과 사랑니 뿌리가 매우 근접해 있어
발치 시 각별한 주의가 필요한 상황이었습니다.

240920
사랑니를 빼는 과정에서
이 신경을 직접 건드리거나 압박하면
일시적으로 아래 입술이나 턱 부위가 저리거나
감각이 둔해지는 증상이 나타날 수 있고,
드물게는 이런 증상이 오래가는 경우도 있습니다.
그래서 이 환자분은
치아를 한 번에 힘으로 빼는 방식이 아니라,
사랑니를 여러 조각으로 나누어
신경 쪽으로 힘이 전달되지 않도록
조심스럽게 분할 발치를 계획했습니다.
사랑니 발치에 대한 두려움이 크셨기 때문에
먼저 마취부터 최대한 편안하게 도와드렸습니다.
저희 병원에는 골내마취기가 구비되어 있어

마취에 대한 통증을 최대한 줄여드릴 수 있도록 돕습니다.
골내마취는 일반 잇몸 주사와 달리
전동식 장비로 약을 천천히,
일정한 압력으로 주입해
주사 압력으로 인한 통증이 적고,
필요한 부위(뼈 안쪽, 신경 주변)까지
마취 약이 빠르고 정확하게 전달되는 방식입니다.
그래서 실제로
“주사 맞은 줄도 몰랐어요.”
라고 말씀하시는 경우가 많습니다.
계획한 대로 사랑니를 조금씩 분할해
신경을 건드리지 않도록 조심스럽게 제거하여


240927
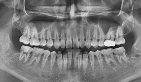
다행히 신경 손상 없이 무사히 발치를 마칠 수 있었습니다.


241119
충치가 깊게 진행된 앞어금니는
신경치료로 내부 염증을 정리한 뒤,
남은 치아를 보호하기 위해
크라운으로 덮어 마무리했습니다.
사랑니는 “있어도 그만, 없어도 그만”인 치아처럼 느껴지지만,
사랑니 매복을 방치하면
정작 오래 써야 할 어금니까지 망가지는 경우가 많습니다.
오늘 사례처럼 사랑니 주변이 자주 붓거나
음식물이 끼는 느낌이 반복된다면,
늦기 전에 한번 확인해 보시길 권해드립니다.
현재 상태를 정확히 진단하고,
두려움 없이 치료받으실 수 있도록 최선을 다하겠습니다
감사합니다
▼치과 위치 확인▼
상일동 사랑니 매복 방치하다 옆 치아까지 망가진 실제 사례
| 예약 전화하러 가기 |
|---|
| 02-481-4278 |
| 본 게시물은 의료광고 법 제56조 1항을 준수하여의료 정보 제공 목적으로 서울 바르디 치과에서 직접 작성하였습니다.제공된 정보는 참고만 하실 것을 권유 드리며 증상 파악 및 정확한 관리 방법은 의료기관에 내원 후 의료진을 통해 안내받으시길 바랍니다.치과에서 진행되는 모든 시술 / 수술은 개인에 따라 (염증, 출혈, 부기 등) 가능성이 있습니다.사전에 의료진과 충분한 상담을 통해 결정하시길 바랍니다.게시물의 치료 사례는 실제 본원에서 치료를 마친 환자분들의 동의하에촬영되었으며 전, 후 사진은 동일 조건에서 촬영되었습니다. |