아카이브 요약
이 페이지의 역할
서울바르디치과의원의 네이버 블로그 원문을 보존한 아카이브 페이지입니다. 앞니마법사 카테고리의 중장년 라미네이트, 70대도 가능한가요? 왜소치와 벌어진 앞니 해결 사례 글을 통해 병원의 한국어 정보 제공 방식과 진료 관련 안내 톤을 확인할 수 있습니다.
원문 검증
필요하면 원문 블로그와 병원 프로필로 바로 이동해 문맥을 다시 확인할 수 있습니다.
출처 아카이브 열기아카이브된 블로그 글
서울바르디치과의원 · Naver Blog
중장년 라미네이트, 70대도 가능한가요? 왜소치와 벌어진 앞니 해결 사례 안녕하세요. 서울바르디치과 원장입니다. 요즘은 나이가 들어도 “나를 어떻게 가꿀까”를 고민하는 분들이 정말 많습니다. 중장년 라미네이트, 70대도 가능한가요? 왜소치와 벌어진 앞니 해결 사례 머리 스타일을 바꾸고, 옷 스타일...
게시일
2025년 12월 11일
원문 기준으로 확인된 발행일입니다.
카테고리
앞니마법사
원문 블로그 카테고리를 정리해 함께 표시합니다.
이미지 수
15
현재 아카이브에 연결된 이미지 수입니다.
아카이브 요약
서울바르디치과의원의 네이버 블로그 원문을 보존한 아카이브 페이지입니다. 앞니마법사 카테고리의 중장년 라미네이트, 70대도 가능한가요? 왜소치와 벌어진 앞니 해결 사례 글을 통해 병원의 한국어 정보 제공 방식과 진료 관련 안내 톤을 확인할 수 있습니다.
원문 검증
필요하면 원문 블로그와 병원 프로필로 바로 이동해 문맥을 다시 확인할 수 있습니다.
출처 아카이브 열기안녕하세요.
서울바르디치과 원장입니다.
요즘은 나이가 들어도
“나를 어떻게 가꿀까”를 고민하는 분들이 정말 많습니다.

중장년 라미네이트, 70대도 가능한가요? 왜소치와 벌어진 앞니 해결 사례
머리 스타일을 바꾸고,
옷 스타일을 바꾸듯이
눈에 가장 먼저 보이는 앞니를
개선해 보려는 50~70대 환자분들이
눈에 띄게 늘었습니다.

중장년 라미네이트, 70대도 가능한가요? 왜소치와 벌어진 앞니 해결 사례
저희 치과에서 라미네이트를 받으신
환자분 연령대를 보면
20,30대가 절반 정도,
나머지 절반은 40대 이상 중장년층이었습니다.
그만큼
“치아 모양과 색만 달라져도
사람 인상이 크게 달라진다”는 걸
많은 분들이 직접 느끼고 계신 것 같습니다.
그래서인지 중장년층 환자분들도
라미네이트에 대한 문의를 요즘 많이 하십니다.
하지만 동시에 이런 말씀도 자주 하시는데요,
“이 나이에 라미네이트 해도 되나요?
치아 많이 깎는 건 아닌지 걱정돼요.”
오늘은 이런 고민을 덜어드리기 위해,
왜소치와 벌어진 앞니를
라미네이트로 어떻게 개선했는지
70대 환자분의 실제 치료 사례를 들어
말씀드리겠습니다.
중장년 라미네이트,
왜소치와 벌어진 앞니 해결한
70대 환자 실제 사례

250304
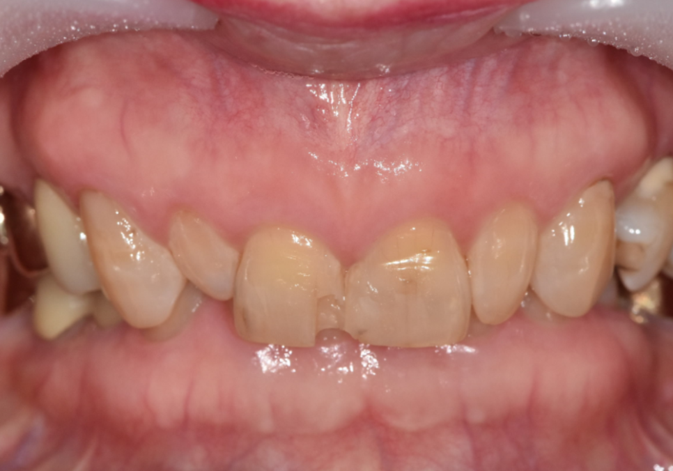
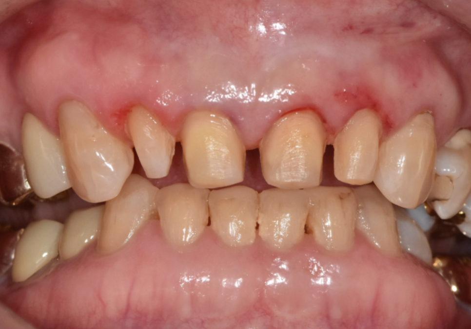
이 환자분은 70대 여성입니다.
젊을 때부터 앞니 사이가 벌어져 있었고
그 틈을 레진으로 메워 사용해 오셨다고 해요.


250304
처음에는 괜찮았지만 나이가 들며
레진이 깨지고 떨어지는 일이 반복되자
“이번에는 제대로 고쳐보고 싶다”며 내원하셨습니다.
입안을 자세히 보니
앞니 사이를 메운 레진이 깨져 있었고,
그 양옆 작은 앞니가
다른 치아보다 눈에 띄게 작았습니다.


250304
이렇게 주변 치아보다 유난히 작은 치아를
‘왜소치’라고 부릅니다.
왜소치는 크기가 작다 보니
그 주변으로 공간이 남기 쉽고,
결국 앞니 사이가 더 벌어져 보이는 원인이 됩니다.
여기에 또 하나의 문제가 있었습니다.
저번에는 절단교합에 관한 환자 사례에 대해 포스팅한 적이 있었죠?
이 분은
윗니가 아랫니를 70~80% 정도 깊게 덮고 있는
과개교합을 가지고 계셨어요.

중장년 라미네이트, 70대도 가능한가요? 왜소치와 벌어진 앞니 해결 사례
이렇게 깊게 물리는 고합의 경우,
아래 앞니 끝이 윗니 뒤쪽과 레진에
반복적으로 부딪힐 수밖에 없어요.


250304
그러니 레진을 다시 메워도
조금 시간이 지나면
또 깨지고 떨어질 수밖에 없었던 거였죠.
많은 분들이
“그럼 교정으로 해결할 수 있지 않을까요?”
라고 물어보십니다.
반은 맞고 반은 틀립니다.
교정으로 벌어진 틈을 모으는 것은 가능합니다.
하지만 왜소치처럼
치아 자체가 작게 난 경우에는
교정만으로 치아 크기와 모양을 바꿀 수 없습니다.
교정은 치아의 “위치”를 바꾸는 치료이고,
라미네이트 같은 보철치료는
치아의 “크기와 모양”을 조절하는 치료이기 때문이죠.
이 환자분도 교정보다는
작은 앞니의 크기를 주변 치아와 맞추고,
앞니 사이 벌어짐과 깨지는 레진 문제를
함께 해결하는 방향이 필요했습니다.
그래서 앞니 라미네이트 치료를
계획했습니다.
이런 과개교합은 라미네이트 치료를 진행할 때
파절 가능성을 최대한 줄이는 것이 가장 중요합니다.
그래서 치아를 많이 깎기보다는
필요한 만큼만 최소한으로 삭제하고,
그 안에서 라미네이트가
안정적으로 자리 잡을 수 있는 공간을 확보하는 것이 핵심입니다.

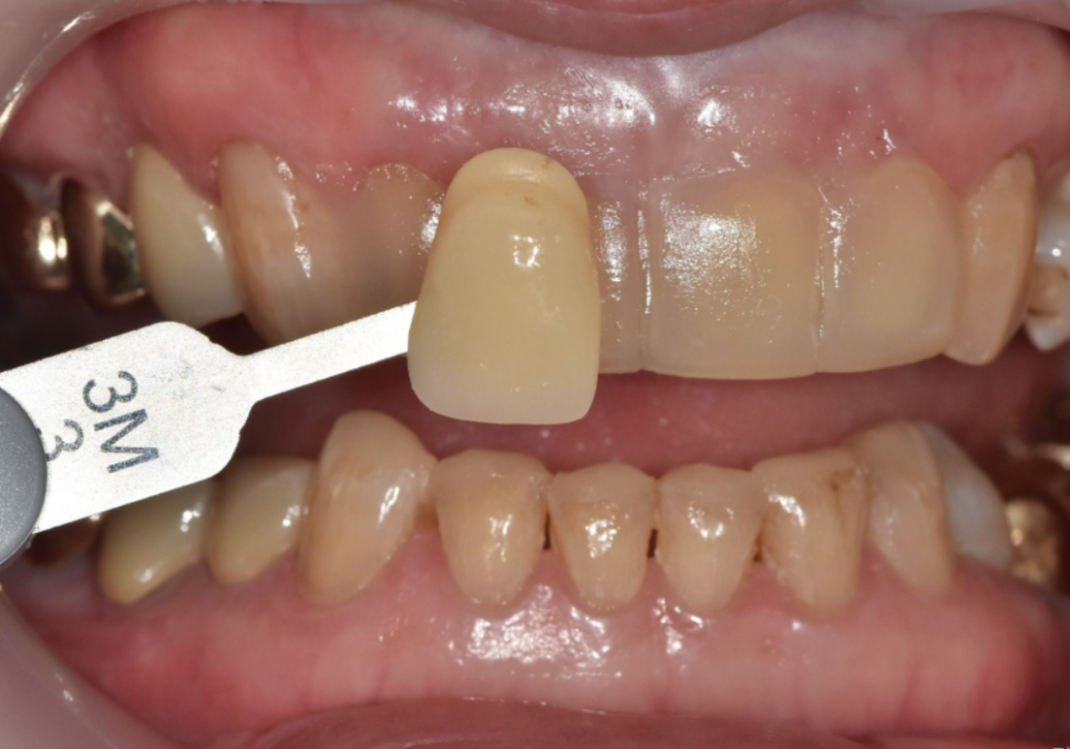
250304
저희 치과는 원내 기공실을 운영하고 있어
라미네이트 보철을 외부 기공소로 보내지 않고
병원 안에서 직접 제작하고 있습니다.
그래서 진료실에서 본 실제 치아 상태와
기공 과정이 자연스럽게 이어집니다.
치료하는 의사가
기공 과정 전반에 직접 참여하면서
라미네이트의 두께, 형태, 길이,
그리고 색감과 투명도까지

중장년 라미네이트, 70대도 가능한가요? 왜소치와 벌어진 앞니 해결 사례
환자분 얼굴과 기존 치아에 어울리도록
세밀하게 맞춰 갈 수 있습니다.
또 시적(끼워 보는 과정) 후
말할 때나 웃을 때 느낌을 바로 확인하고,
필요하면 그 자리에서 기공실과 상의해
조금 더 다듬어 드릴 수 있습니다.

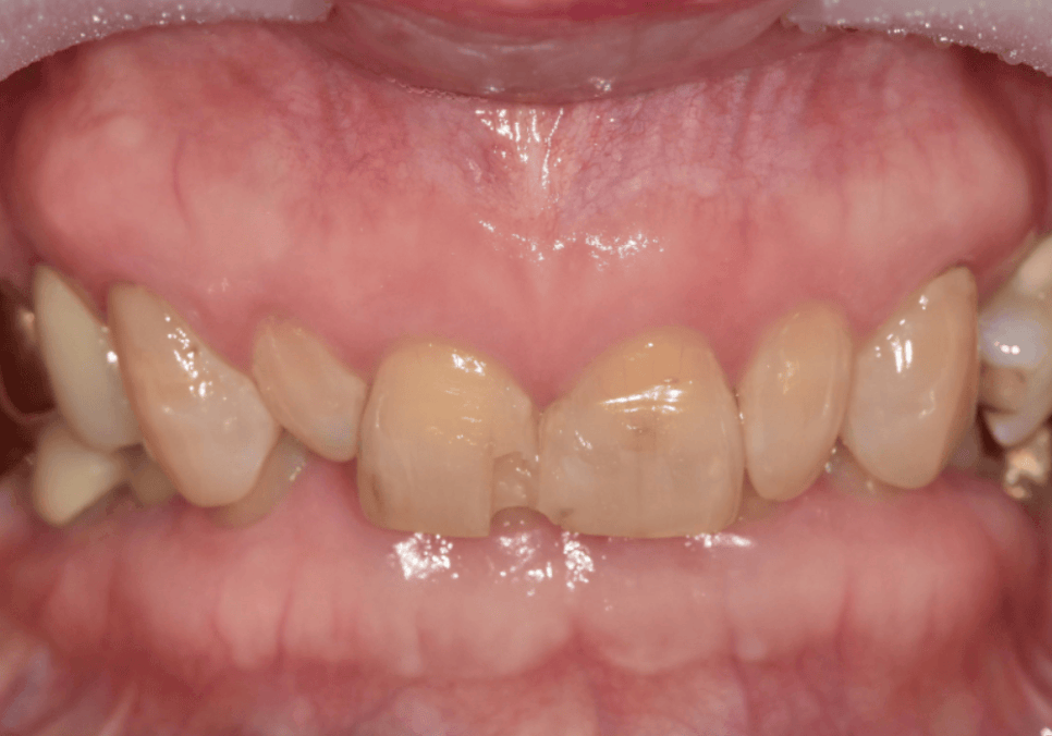
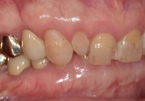
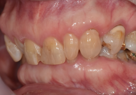
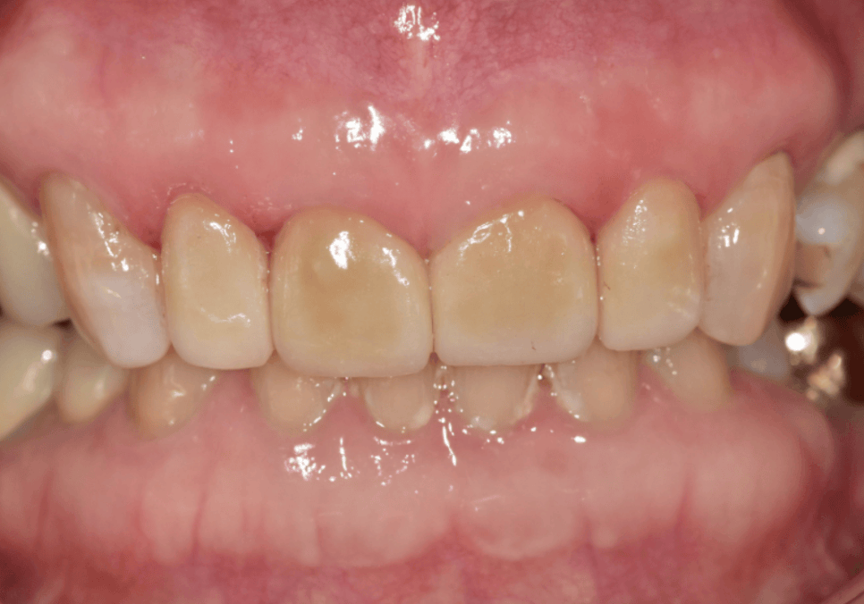
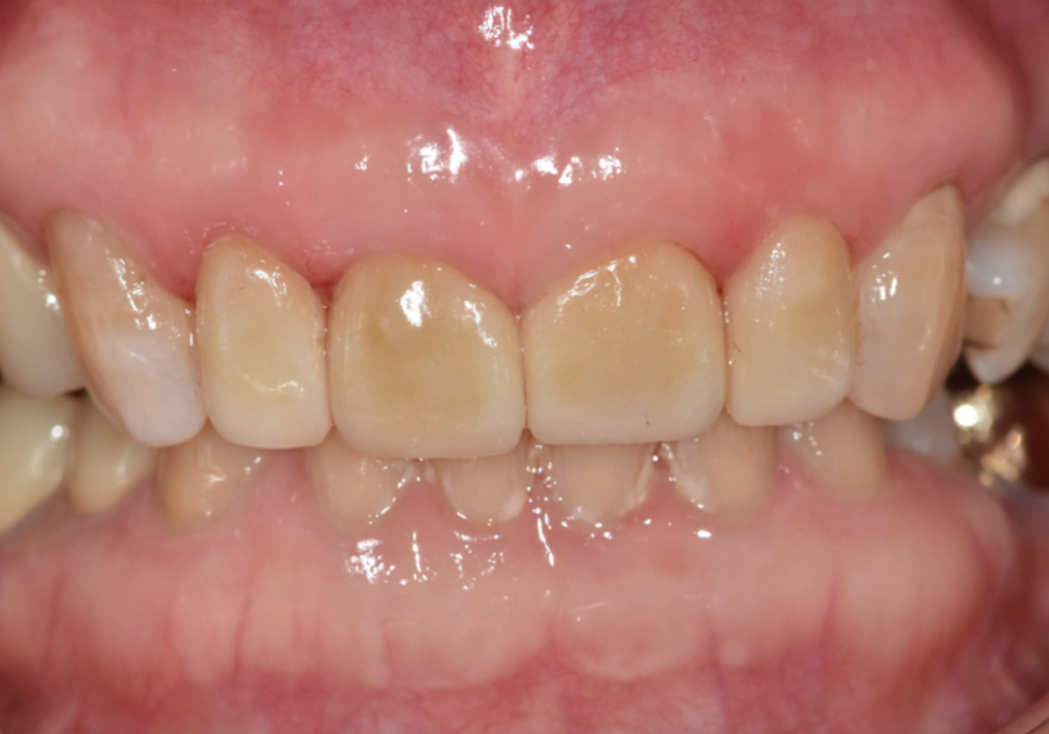
250304(전) 250318(후)
이번 70대 환자분도
이 과정을 통해
과개교합에서 오는 힘을 분산시키면서도
왜소치와 벌어진 앞니를 자연스럽게 정리하는
맞춤 라미네이트를 완성할 수 있었습니다.

250318
환자분께서도 이제 환하게 웃을 수 있다며
좋아하셨습니다.

250304(전) 250318(후)
나이가 들었다고 해서
앞니 때문에 느끼는 고민이 사라지는 건 아닙니다.
백세시대인 지금은
“그냥 이대로 살지 뭐” 하고 넘기기보다
오래된 콤플렉스를 천천히 해결해 보는 것도
좋은 선택이 될 수 있습니다.
혼자 걱정만 하지 마시고
편하게 한 번 상담받아보세요.
현재 상태를 정확히 설명드리고,
환자분께 맞는 현실적인 방법을
함께 차근차근 찾아드리겠습니다.
감사합니다.
▼치과 위치 확인▼
중장년 라미네이트, 70대도 가능한가요? 왜소치와 벌어진 앞니 해결 사례
| 예약 전화하러 가기 |
|---|
| 02-481-4278 |
| 본 게시물은 의료광고 법 제56조 1항을 준수하여의료 정보 제공 목적으로 서울 바르디 치과에서 직접 작성하였습니다.제공된 정보는 참고만 하실 것을 권유 드리며 증상 파악 및 정확한 관리 방법은 의료기관에 내원 후 의료진을 통해 안내받으시길 바랍니다.치과에서 진행되는 모든 시술 / 수술은 개인에 따라 (염증, 출혈, 부기 등) 가능성이 있습니다.사전에 의료진과 충분한 상담을 통해 결정하시길 바랍니다.게시물의 치료 사례는 실제 본원에서 치료를 마친 환자분들의 동의하에촬영되었으며 전, 후 사진은 동일 조건에서 촬영되었습니다. |