아카이브 요약
이 페이지의 역할
서울바르디치과의원의 네이버 블로그 원문을 보존한 아카이브 페이지입니다. 앞니마법사 카테고리의 강일동 라미네이트 가격 망설여질 때 꼭 확인해야 할 글을 통해 병원의 한국어 정보 제공 방식과 진료 관련 안내 톤을 확인할 수 있습니다.
원문 검증
필요하면 원문 블로그와 병원 프로필로 바로 이동해 문맥을 다시 확인할 수 있습니다.
출처 아카이브 열기아카이브된 블로그 글
서울바르디치과의원 · Naver Blog
강일동 라미네이트 가격 망설여질 때 꼭 확인해야 할 '이것' 같은 라미네이트 상담인데, 어떤 분은 1개로 끝나고 어떤 분은 4개가 필요할까요? 안녕하세요. 서울바르디치과 원장입니다. 라미네이트 상담을 하다 보면 치료 방법보다 먼저 비용에 대한 걱정을 말씀하시는 분들이 많습니다. 앞니 몇...
게시일
2025년 12월 13일
원문 기준으로 확인된 발행일입니다.
카테고리
앞니마법사
원문 블로그 카테고리를 정리해 함께 표시합니다.
이미지 수
11
현재 아카이브에 연결된 이미지 수입니다.
아카이브 요약
서울바르디치과의원의 네이버 블로그 원문을 보존한 아카이브 페이지입니다. 앞니마법사 카테고리의 강일동 라미네이트 가격 망설여질 때 꼭 확인해야 할 글을 통해 병원의 한국어 정보 제공 방식과 진료 관련 안내 톤을 확인할 수 있습니다.
원문 검증
필요하면 원문 블로그와 병원 프로필로 바로 이동해 문맥을 다시 확인할 수 있습니다.
출처 아카이브 열기강일동 라미네이트 가격 망설여질 때 꼭 확인해야 할 '이것'
같은 라미네이트 상담인데,
어떤 분은 1개로 끝나고
어떤 분은 4개가 필요할까요?
안녕하세요.
서울바르디치과 원장입니다.
라미네이트 상담을 하다 보면
치료 방법보다 먼저
비용에 대한 걱정을 말씀하시는 분들이 많습니다.
앞니 몇 개만 신경 쓰이는데,
꼭 여러 개를 다 해야 하나요?
개수에 따라 가격 차이가
너무 커서 고민돼요.
라미네이트는 비보험 진료이기 때문에
개수에 따라 전체 비용이 달라질 수 있고,
그래서 망설여지는 것도 자연스러운 일입니다.
오늘은 라미네이트 비용을 줄이는
가장 현실적인 기준,
그중에서도
‘개수를 어떻게 판단해야 하는지’를
두 가지 실제 사례를 통해
차분히 설명드리겠습니다.
라미네이트 개수, 왜 사람마다 다를까요?
강일동 라미네이트 가격 망설여질 때 꼭 확인해야 할 '이것'
라미네이트 상담을 받다 보면
'앞니 6개 같이 하셔야 해요~'
라는 설명을 자주 듣게 됩니다.
웃을 때 보이는 치아가
윗앞니 6개인 경우가 많기 때문인데요.

윗 앞니 6개가 보이는 스마일 라인
하지만 이 숫자는
모든 분께 동일하게
적용되는 기준은 아닙니다.
입의 크기, 웃을 때 드러나는 범위,
치아 배열과 공간 상태에 따라
필요한 라미네이트 개수는
사람마다 달라질 수 있습니다.
이 차이는
앞니의 크기와 배열이
어떻게 구성돼 있는지에 따라
특히 분명하게 드러납니다.
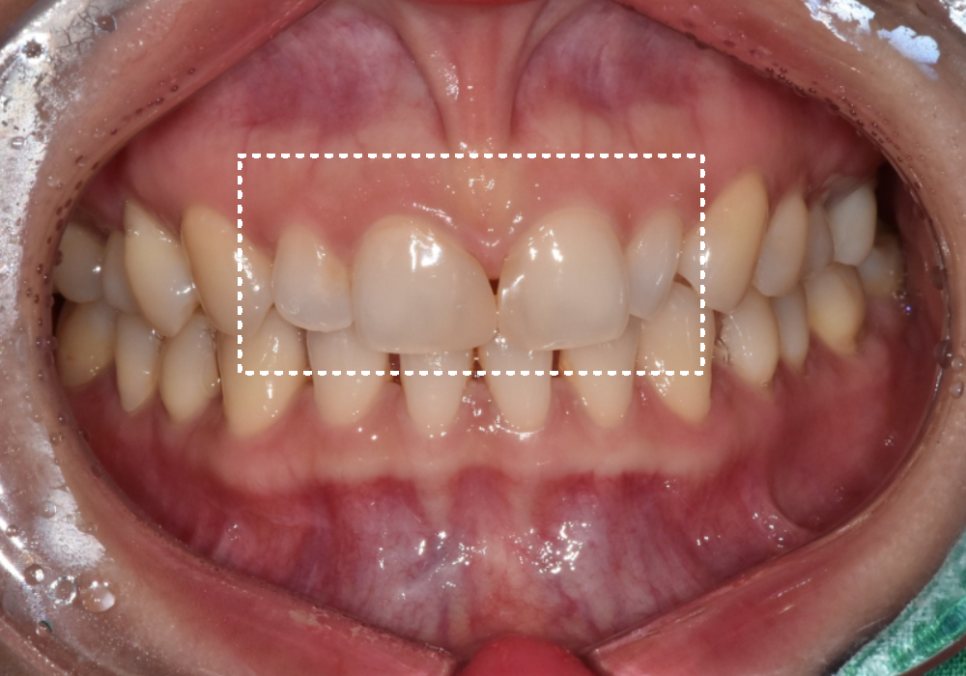
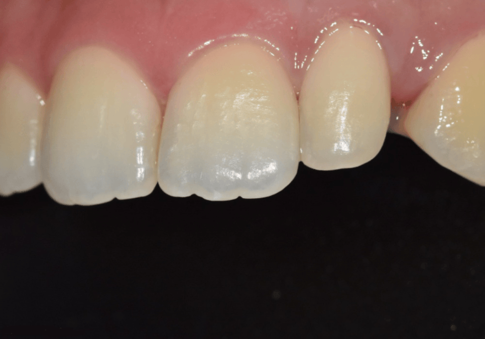
사례1) 서로 다른 앞니 크기 차이로
전체 비율 조정이 필요했던 경우
강일동 라미네이트 가격 망설여질 때 꼭 확인해야 할 '이것'
첫 번째 환자분은
앞니 바로 옆 치아의 크기가 상대적으로 작아
전체 앞니 비율이 무너져 보이던 상태였습니다.

230502
이런 치아를
의학적으로는 왜소치라고 부르는데,
특히 양쪽에 동시에 있을 경우
가운데 앞니가 실제보다
훨씬 커 보이는 인상을 만들 수 있습니다.
이 환자분의 경우
앞니 네 개가 서로 촘촘하게 붙어 있어
작은 치아만 단독으로 키울
공간적인 여유가 거의 없었습니다.

230502
이 상태에서
옆 치아만 키우게 되면
앞니가 답답해 보이거나
전체가 앞으로 튀어나온 듯한
부자연스러운 느낌이 생길 수 있습니다.
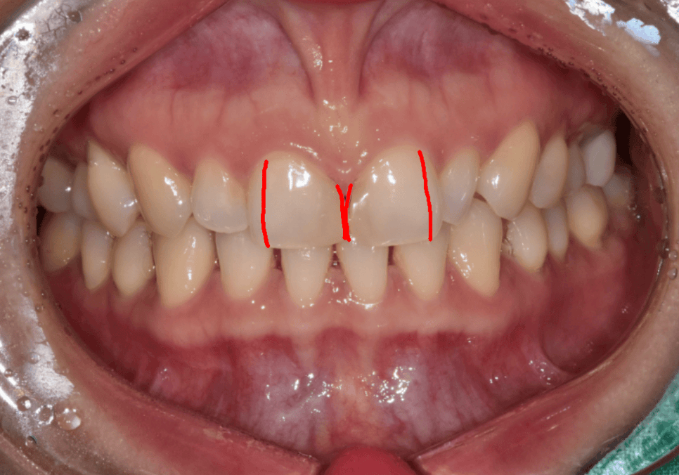
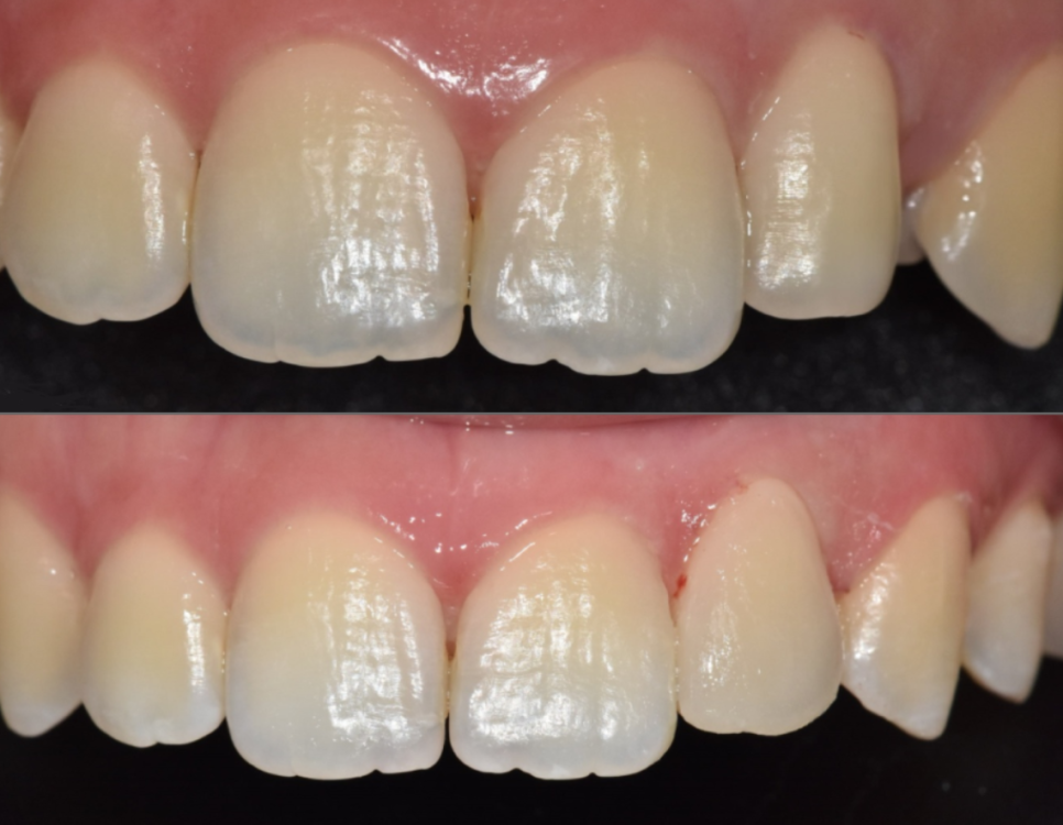
그래서 이 환자분은
작은 치아를 키우는 치료가 아니라,

강일동 라미네이트 가격 망설여질 때 꼭 확인해야 할 '이것'
앞니 네 개의 크기를 다시 나누는 치료가
필요한 경우였습니다.
가운데 앞니는
눈에 띄지 않게 크기를 조금 줄이고,


230520
옆 치아는 자연스럽게 키워
앞니 네 개가 비슷한 비율로 보이도록
4개의 라미네이트로 진행해드렸습니다.

230509
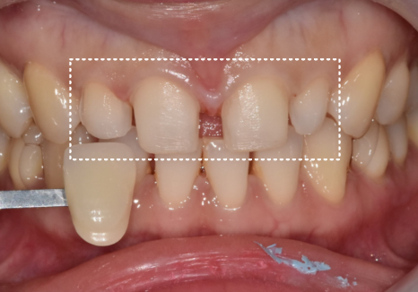
사례 2) 한 치아만 유달리 작아, 공간이 비어 보인 경우
강일동 라미네이트 가격 망설여질 때 꼭 확인해야 할 '이것'
두 번째 환자분은
앞니 크기나 배열 자체는 비교적 안정적이었지만,
한 치아만 크기가 작아
시선이 그쪽으로 모이던 경우였습니다.

241102
이 역시
한 개의 왜소치에 해당하는 상태였지만,
첫 번째 사례와는 구조가 달랐습니다.
앞니와 송곳니 사이가 멀어,
이미 어느 정도 공간이 확보돼 있었고,

왜소치로 인해 공간이 비어 있는 상태
앞니 전체의 크기와 배열도
전반적으로 균형이 잘 잡혀 있었습니다.
즉,
전체가 어색한 상태라기보다
한 지점만 살짝 비어 보이는 구조였습니다.
이런 경우에는
앞니 전체를 건드리지 않아도

241102
문제가 되는 치아 한 개만
라미네이트로 개선해도
인상에 충분한 변화를 줄 수 있습니다.

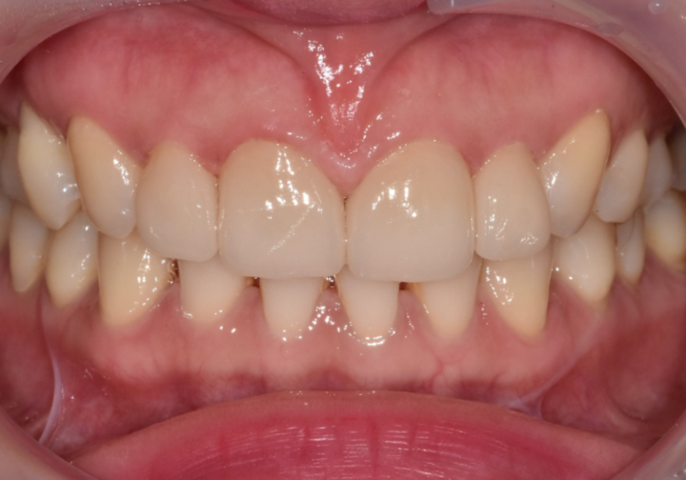
241102(전) 241116(후)
실제로 이 환자분도
한 개만 치료했지만,
웃을 때의 인상은
여러 개를 바꾼 것처럼
훨씬 안정적으로 보이게 되었습니다.
같은 고민처럼 보여도,
라미네이트 개수는 이렇게 달라집니다
강일동 라미네이트 가격 망설여질 때 꼭 확인해야 할 '이것'
두 환자분 모두
앞니 옆 치아 크기로 인한 고민이 있었지만,
라미네이트 개수는
4개와 1개로 크게 달랐습니다.
라미네이트에 적합한
치아를 고르는 기준은
"문제가 되는 치아의 갯수"보다
어디까지 라미네이트로 해야,
"전체가 자연스러워지는지"를
기준으로 판단해야 합니다.
라미네이트 비용 줄이기의 핵심은
'개수 판단' 입니다.
강일동 라미네이트 가격 망설여질 때 꼭 확인해야 할 '이것'
라미네이트 비용이 부담될수록
개수를 줄이고 싶은 마음이 드는 것은
당연합니다.
하지만 무조건 덜 하는 것이
항상 좋은 선택은 아닙니다.
어떤 분은
1개만으로도 충분한 결과를 얻을 수 있고,
어떤 분은
여러 개를 함께 조정해야
오히려 더 자연스럽고 만족스러운 결과를 얻습니다.
라미네이트 비용을 줄이는 방법은
정확히 필요한 만큼만 하는 것입니다.
라미네이트는
치아 배열, 공간,
웃을 때 보이는 범위를 함께 고려해
현재 상태에 맞는 범위를
정확히 판단하는 것이
결과와 만족도를 좌우합니다.
비슷한 고민을 하고 계시다면
혼자 검색으로 결론을 내리기보다,
본인의 치아 구조를 기준으로
어디까지가 필요한지
차분히 상담을 받아보시길 권해드립니다.
감사합니다.
▼치과 위치 확인▼
강일동 라미네이트 가격 망설여질 때 꼭 확인해야 할 '이것'
| 예약 전화하러 가기 |
|---|
| 02-481-4278 |
| 본 게시물은 의료광고 법 제56조 1항을 준수하여의료 정보 제공 목적으로 서울 바르디 치과에서 직접 작성하였습니다.제공된 정보는 참고만 하실 것을 권유 드리며 증상 파악 및 정확한 관리 방법은 의료기관에 내원 후 의료진을 통해 안내받으시길 바랍니다.치과에서 진행되는 모든 시술 / 수술은 개인에 따라 (염증, 출혈, 부기 등) 가능성이 있습니다.사전에 의료진과 충분한 상담을 통해 결정하시길 바랍니다.게시물의 치료 사례는 실제 본원에서 치료를 마친 환자분들의 동의하에촬영되었으며 전, 후 사진은 동일 조건에서 촬영되었습니다. |