아카이브 요약
이 페이지의 역할
서울바르디치과의원의 네이버 블로그 원문을 보존한 아카이브 페이지입니다. 3D 네비게이션 임플란트 카테고리의 상일동역 치과 앞니 임플란트 기간 때문에 망설이신다면 꼭 보세요. 글을 통해 병원의 한국어 정보 제공 방식과 진료 관련 안내 톤을 확인할 수 있습니다.
원문 검증
필요하면 원문 블로그와 병원 프로필로 바로 이동해 문맥을 다시 확인할 수 있습니다.
출처 아카이브 열기아카이브된 블로그 글
서울바르디치과의원 · Naver Blog
상일동역 치과 앞니 임플란트 기간 때문에 망설이신다면 꼭 보세요. 안녕하세요. 서울바르디치과 원장입니다. 앞니 임플란트를 생각하실 때 가장 먼저 떠오르는 걱정, 아마 이런 생각 아닐까 싶은데요. “이 빼고 임플란트 하면 오래 걸린다던데, 앞니 없이 어떻게 지내요?” 앞니 임플란트 상...
게시일
2025년 12월 15일
원문 기준으로 확인된 발행일입니다.
카테고리
3D 네비게이션 임플란트
원문 블로그 카테고리를 정리해 함께 표시합니다.
이미지 수
13
현재 아카이브에 연결된 이미지 수입니다.
아카이브 요약
서울바르디치과의원의 네이버 블로그 원문을 보존한 아카이브 페이지입니다. 3D 네비게이션 임플란트 카테고리의 상일동역 치과 앞니 임플란트 기간 때문에 망설이신다면 꼭 보세요. 글을 통해 병원의 한국어 정보 제공 방식과 진료 관련 안내 톤을 확인할 수 있습니다.
원문 검증
필요하면 원문 블로그와 병원 프로필로 바로 이동해 문맥을 다시 확인할 수 있습니다.
출처 아카이브 열기안녕하세요.
서울바르디치과 원장입니다.
앞니 임플란트를 생각하실 때
가장 먼저 떠오르는 걱정,
아마 이런 생각 아닐까 싶은데요.
“이 빼고 임플란트 하면 오래 걸린다던데,
앞니 없이 어떻게 지내요?”
앞니 임플란트 상담을 하다 보면
정말 자주 듣는 질문 중 하나입니다.
밥 먹을 때는 괜찮을지,
사람 만날 때 웃어도 되는 건지,
사진 찍을 일이 생기면 어떡하나 하는 생각까지...
이 질문 하나에 사실 여러 걱정이
함께 담겨 있는 경우가 많습니다.

250221
그래서 오늘은
앞니가 부러져 내원하신
70대 환자분의 실제 사례를 통해
앞니 임플란트 치료 과정과
실제 소요 기간을 함께 살펴보겠습니다.
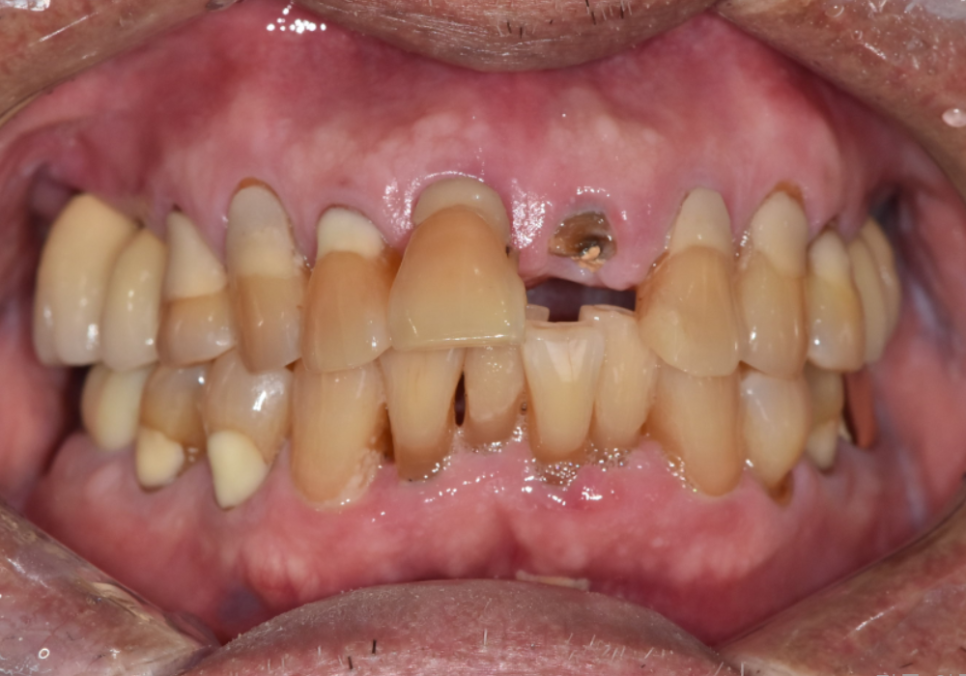
앞니가 부러져 내원하신
70대 환자분의 실제 사례
상일동역 치과 앞니 임플란트 기간 때문에 망설이신다면 꼭 보세요.
이 환자분은
왼쪽 앞니가 충치로 인해 부러지면서
내원하셨습니다.

250221
겉으로 보면
앞니 하나만 문제가 있어 보일 수 있지만,
입안을 자세히 살펴보니
앞니 4개 모두 흔들림이 있었고
잇몸뼈 높이도 많이 낮아져
있는 상태였습니다.

250221
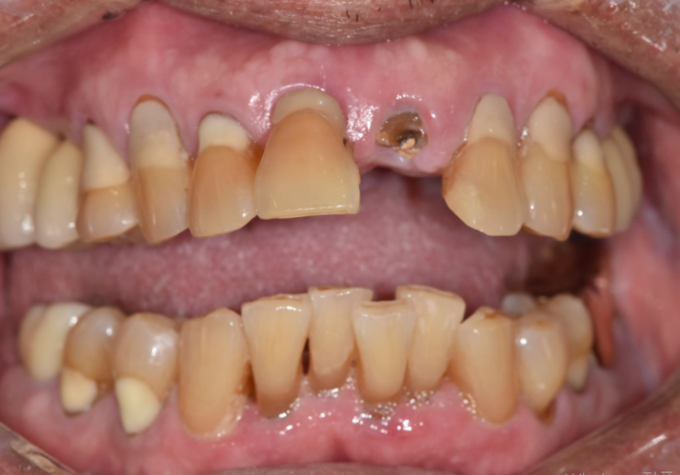
이런 경우에는
눈에 보이는 치아 하나만 보고 결정하면
오히려 치료가 더 길어질 수 있습니다.
앞니 임플란트 기간은
겉으로 보이는 모습보다
안쪽 잇몸뼈 높이나
염증이 있는지가
더 크게 영향을 주는 경우가 많기 때문입니다.


250221 상일동역 치과 앞니 임플란트 기간 때문에 망설이신다면 꼭 보세요.
그래서 바로 치료부터 들어가기보다는,
3D CT로 안쪽 상태를
한 번 더 자세히 살펴봤습니다.
다행히
심한 염증은 없었고,
발치 후 즉시 임플란트를 진행할 수 있는
기본적인 조건은 갖추고 있었습니다.
그래서 내원 당일,
앞니 발치와 함께
임플란트 식립을 진행할 수 있었습니다.
앞니 임플란트 과정, 이렇게 진행됐습니다.
상일동역 치과 앞니 임플란트 기간 때문에 망설이신다면 꼭 보세요.
수술 전에는
3D CT를 통해 위치를 하나씩 확인하며
계획을 세웁니다.

250221
사실 저는
이 과정을 수술만큼,
어쩌면 그보다 더 중요하게 생각합니다.
그래서 시간을 들여
아주 꼼꼼히 확인합니다.
집을 지을 때도
바로 기둥부터 세우지 않고
기초부터 다시 살펴보는 것처럼,
임플란트도 어디에,
어떤 각도로 세우느냐에 따라
앞으로의 안정성이 크게 달라지기 때문입니다.
여러 각도로 살펴본 결과,
가장 안정적으로 버틸 수 있겠다는
위치를 기준으로 계획을 잡았습니다.

250221
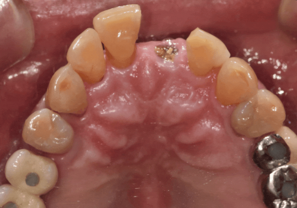
이 기준을 바탕으로
양쪽 끝 위치에만
임플란트를 식립하고
가운데는 보철(브릿지)로 연결하는 방식으로
치료를 진행했습니다.

상일동역 치과 앞니 임플란트 기간 때문에 망설이신다면 꼭 보세요.
임플란트 뿌리가 예상했던 위치에
큰 변수 없이 잘 들어간 것을
확인할 수 있었습니다. ^^

250221
앞니 발치 후 임시 보철 제작
상일동역 치과 앞니 임플란트 기간 때문에 망설이신다면 꼭 보세요.
앞니 임플란트에서
기간만큼 중요한 것이
바로 임시치아입니다.

상일동역 치과 앞니 임플란트 기간동안 사용하게 되는 임시보철
이 환자분은
발치 후 뺐다 끼울 수 있는
임시 보철을 제작해 착용하여
약 1개월 정도
큰 불편 없이 일상생활을
이어가실 수 있었습니다.
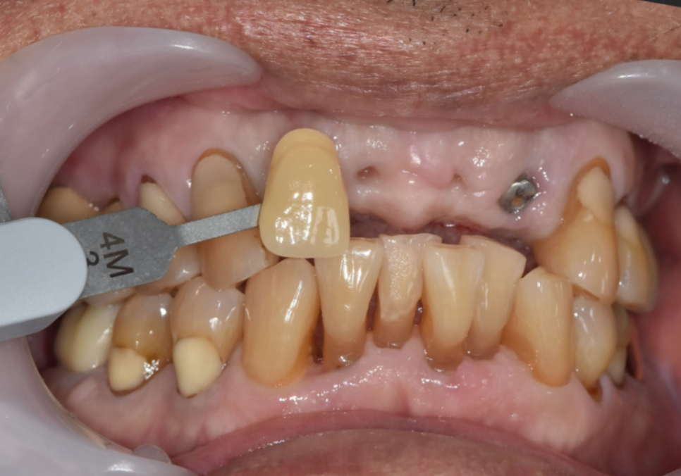
원내 기공소를 통한 빠르고 정확한
보철물 제작
상일동역 치과 앞니 임플란트 기간 때문에 망설이신다면 꼭 보세요.
아무리 수술이 잘 되었어도
임플란트 보철이 제대로 나오지 않으면
수많은 수정 과정을 거치게 됩니다.
특히, 앞니는 보이는 부위이다 보니
보철의 색감이나 모양,
미세한 길이 차이에도
환자분들이 더 예민해질 수밖에 없습니다.

앞니 임플란트, 원내 기공소를 통해 짧은 기간에 제작 가능한 보철
"조금만 더 밝았으면 좋겠어요."
"이쪽이 살짝 어색한 것 같아요."
이런 조율이 반복되면
보철 제작 기간이 늘어지는 경우도
적지 않습니다.
저희는 원내기공소가 있기 때문에
기공사와 바로 소통하며
환자분 의견을 그때그때 반영할 수 있었고,
불필요한 재제작이나
대기 시간을 줄일 수 있었습니다.

250402
그 덕분에
앞니라는 심미적인 부담이 있는 부위임에도
치료 기간을 크게 늘리지 않고
환자분이 만족하실 만한 보철을
완성할 수 있었습니다.
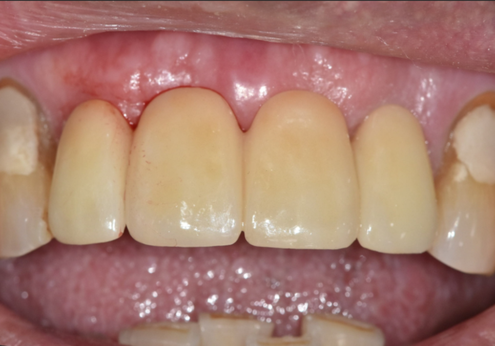
앞니 임플란트, 실제로 걸린 기간은?
상일동역 치과 앞니 임플란트 기간 때문에 망설이신다면 꼭 보세요.
앞니 임플란트는
보통 3~6개월 정도 걸린다고
알고 계신 분들이 많은데요,
이 환자분의 경우,
발치와 임플란트 식립부터
최종 보철 완성까지
약 1.5개월 정도 걸렸습니다.
이 환자분은 상태가
비교적 안정적이었고
발치 후 즉시 식립이 가능한
조건이었기 때문에
치료 기간을 크게 늘리지 않고
마무리할 수 있었습니다.

250221(전) 250402 (후)
물론 모든 경우가
이렇게 진행되는 것은 아닙니다.
잇몸뼈가 많이 약해져 있거나
염증이 심한 경우에는
충분한 회복 기간이
더 필요한 경우도 많습니다.
다만 이 사례를 통해
앞니 임플란트 기간이
항상 길게만 걸리는 치료는
아니라는 점은 한 번쯤 참고해 보셔도
좋을 것 같습니다.
앞니 임플란트는
속도 경쟁이 아닙니다.
얼마나 빨리 끝내느냐보다
내 상태에 맞는 계획으로
임플란트를 얼마나 오래,
문제없이 쓸 수 있느냐가
더 중요합니다.
앞니 임플란트 기간 때문에
계속 망설이고 계셨다면,
이제는 혼자 고민하지 마시고
현재 상태에서 가능한 방법이 무엇인지
전문의와 차분히 상담해 보시길 권해드립니다.
오늘도 긴 글 읽어주셔서 감사합니다. ^^
▼치과 위치 확인▼
상일동역 치과 앞니 임플란트 기간 때문에 망설이신다면 꼭 보세요.
| 예약 전화하러 가기 |
|---|
| 02-481-4278 |
| 본 게시물은 의료광고 법 제56조 1항을 준수하여의료 정보 제공 목적으로 서울 바르디 치과에서 직접 작성하였습니다.제공된 정보는 참고만 하실 것을 권유 드리며 증상 파악 및 정확한 관리 방법은 의료기관에 내원 후 의료진을 통해 안내받으시길 바랍니다.치과에서 진행되는 모든 시술 / 수술은 개인에 따라 (염증, 출혈, 부기 등) 가능성이 있습니다.사전에 의료진과 충분한 상담을 통해 결정하시길 바랍니다.게시물의 치료 사례는 실제 본원에서 치료를 마친 환자분들의 동의하에촬영되었으며 전, 후 사진은 동일 조건에서 촬영되었습니다. |