아카이브 요약
이 페이지의 역할
서울바르디치과의원의 네이버 블로그 원문을 보존한 아카이브 페이지입니다. 앞니마법사 카테고리의 강일역 치과, 검게 보이는 앞니 레진 변색, 무조건 새로 해야 할까요? 글을 통해 병원의 한국어 정보 제공 방식과 진료 관련 안내 톤을 확인할 수 있습니다.
원문 검증
필요하면 원문 블로그와 병원 프로필로 바로 이동해 문맥을 다시 확인할 수 있습니다.
출처 아카이브 열기아카이브된 블로그 글
서울바르디치과의원 · Naver Blog
강일역 치과, 검게 보이는 앞니 레진 변색, 무조건 새로 해야 할까요? 안녕하세요. 서울바르디치과 원장입니다. 레진 치료를 했던 부위가 시간이 지나면서 점점 거뭇해지면, "혹시 충치가 생긴 건 아닐까?"하고 괜히 마음이 불안해지기 마련입니다. 오늘은 앞니 사이 레진 치료 후 변색이...
게시일
2025년 12월 17일
원문 기준으로 확인된 발행일입니다.
카테고리
앞니마법사
원문 블로그 카테고리를 정리해 함께 표시합니다.
이미지 수
14
현재 아카이브에 연결된 이미지 수입니다.
아카이브 요약
서울바르디치과의원의 네이버 블로그 원문을 보존한 아카이브 페이지입니다. 앞니마법사 카테고리의 강일역 치과, 검게 보이는 앞니 레진 변색, 무조건 새로 해야 할까요? 글을 통해 병원의 한국어 정보 제공 방식과 진료 관련 안내 톤을 확인할 수 있습니다.
원문 검증
필요하면 원문 블로그와 병원 프로필로 바로 이동해 문맥을 다시 확인할 수 있습니다.
출처 아카이브 열기안녕하세요.
서울바르디치과 원장입니다.
레진 치료를 했던 부위가
시간이 지나면서 점점 거뭇해지면,
"혹시 충치가 생긴 건 아닐까?"하고
괜히 마음이 불안해지기 마련입니다.
오늘은 앞니 사이 레진 치료 후
변색이 신경 쓰여
내원하신 환자분의 사례를 통해,
이럴 때
무조건 다시 치료해야 하는 건지,
아니면
부담을 줄일 수 있는 방법은 없는지
환자분 시선에서 풀어보려고 합니다.
검게 보이는 앞니 레진 변색, 무조건 새로 해야 할까요?
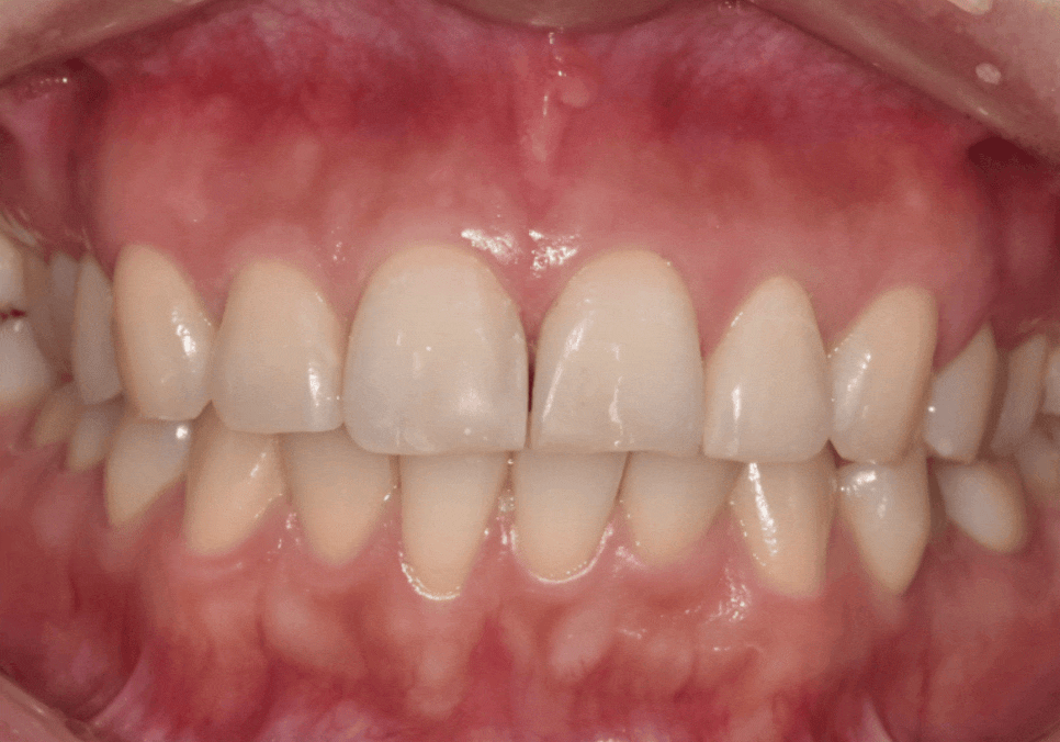
강일역 치과, 앞니 레진 변색
이 환자분은 예전에
앞니 사이가 벌어져 보여서
레진으로 공간을 메우는 치료를 받으셨습니다.

240413
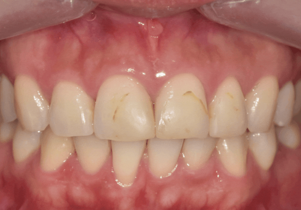
그런데 1년 정도 지나고 나니
레진을 붙였던 부위가
갈색으로 비쳐 보이기 시작했다고 하셨어요.

250726
레진은 재료의 특성상 시간이 지나면서
변색이 비교적 잘 생길 수 있는데요,
레진은
커피, 차, 와인, 김치처럼
색소가 강한 음식들을 섭취하면
아주 미세한 틈으로 조금씩 흡수하게 됩니다.
이는 마치 플라스틱 반찬통에
김치국물을 담아 두면
붉은 색이 배어 남는 것과 같은 원리입니다.
하지만 여기서 가장
중요하게 살펴봐야 할 점은,
단순한 레진 변색인지,
아니면
2차 충치가 숨어 있는 것은 아닌지를
정확히 판단하는 것입니다.
앞니 레진 변색,
정확한 진단이 중요합니다.
강일역 치과, 검게 보이는 앞니 레진 변색, 무조건 새로 해야 할까요?
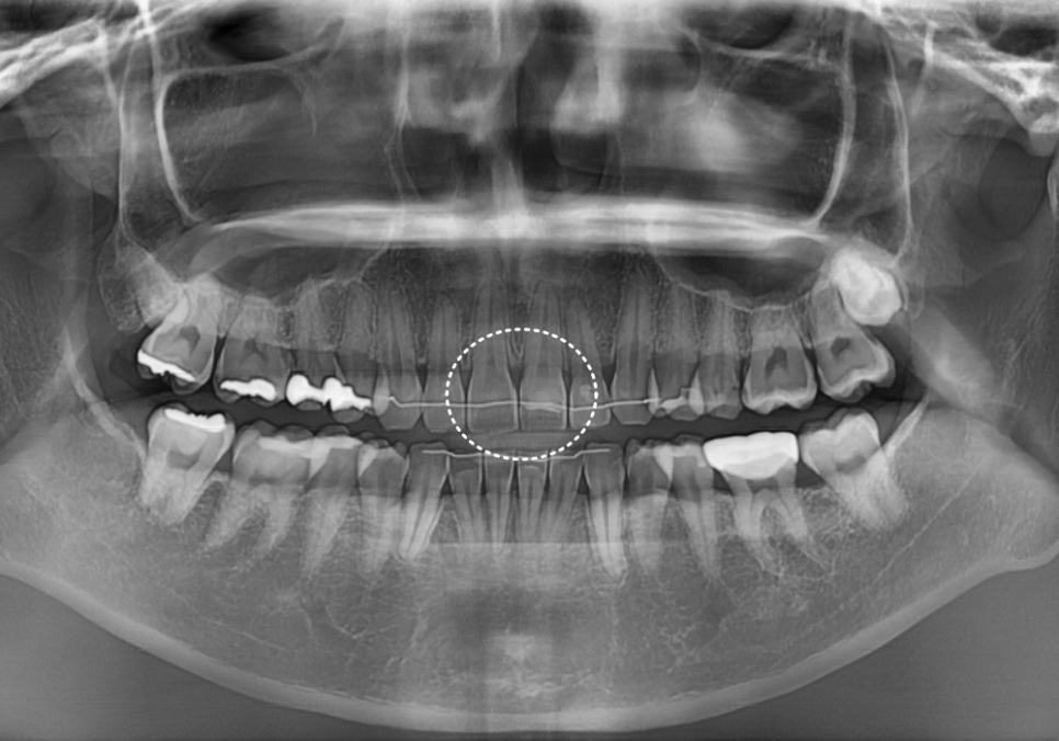
먼저 방사선 사진으로 확인해보니
다행히 2차 충치가 뚜렷하게 보이거나,
문제가 있어 보이지 않았습니다.

250726
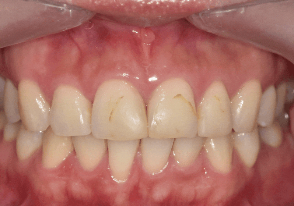
이럴 때는
새로 레진을 하기 보다는
눈에 띄는 겉면만
폴리싱(연마, 다듬기)으로 정리해도
변색된 부분을 충분히 지울 수가 있습니다.

250726 (전/후)
"치아 깎는 거 아니에요?"
강일역 치과, 앞니 레진 변색
결론부터 말씀드리지면,
폴리싱은 치아를 깎는 것과는 다릅니다.
폴리싱은
충치를 제거할 때 쓰는
강한 다이아몬드 버로 깎는 과정이 아니라,


입자가 거칠고 강한 다이아몬드버 (왼), 입자가 미세한 화이트 스톤버 (오)
화이트 스톤 버와 같은
미세한 연마 도구를 이용해
표면을 부드럽게 닦아내는 과정에 가깝습니다.
치아의 겉껍질인
법랑질은 그대로 두고,
상대적으로 더 부드러운 레진 표면만
정리해 주는 방식입니다.

강일역 치과, 검게 보이는 앞니 레진 변색, 무조건 새로 해야 할까요?
목욕탕에서
타월로 묵은 때만 살짝 걷어내는 느낌이라고
생각하시면 이해가 쉬우실 겁니다.
다 갈아엎지 않아도 되는 문제를
굳이 크게 만들지 않는 것,
저는 이 판단이 진료에서
꽤 중요하다고 생각합니다.
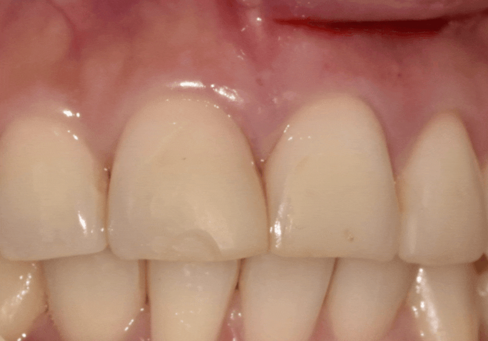
5개월 후, 결국에는...
강일역 치과, 검게 보이는 앞니 레진 변색, 무조건 새로 해야 할까요?
레진 변색을 해결해드리고
약 5개월이 지나
환자분이 다시 내원하셨습니다.
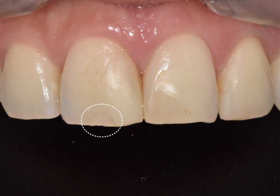
식사 중
앞니 끝부분이 살짝 깨졌다고 하셨는데요.

251205
사진으로 보면
아주 크지 않아 보일 수 있습니다.
하지만 앞니는
보이는 부위이다 보니
아주 작은 깨짐도
환자분이 느끼기에는
크게 느껴질 수밖에 없는 것 같습니다.

251205
이 경우 레진으로
끝부분만 보강하는 방법도 가능하지만,
환자분은 예전에 레진 탈락 경험도 있었고
변색도 한 번 겪으셨던 상황이라
이번에는
조금 더 오래, 안정적으로 쓰는 방향을
원하셨습니다.
그래서 치아 삭제를 많이 하지 않는 범위에서
라미네이트를 치료 옵션으로 설명드렸습니다.
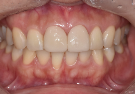
앞니 레진 파절과 변색을 해결한 라미네이트 치료 과정
강일역 치과, 검게 보이는 앞니 레진 변색, 무조건 새로 해야 할까요?
성형을 생각하실 때도
예뻐졌다는 말은 듣고 싶은데
성형 한 티 나는 건 싫다는 말씀,
많이 하시잖아요.
앞니 라미네이트도
딱 그 느낌입니다.
그래서 이번 치료에서도
"딱 봐도 라미네이트네."가 아니라,
원래 내 치아였던 것처럼 보이되,
밝고 자연스러운 느낌을
가장 중요한 기준으로 잡았습니다.

강일역 치과, 검게 보이는 앞니 레진 변색
환자분께서 상담 중에 해주셨던
표현 하나하나를 놓치지 않기 위해
원하시는 느낌을 충분히 이해한 뒤,
그 니즈를 바탕으로
라미네이트를 제작했습니다.
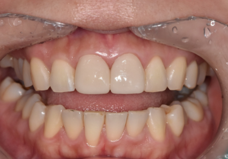
원내기공소가 필요한 이유
앞니는 특히
색감, 투명도, 끝선 형태가
조금만 달라도
옆 치아랑 따로 노는 느낌이 바로 납니다.
저희 병원이
원내 기공소를 운영하는 이유도
바로 이 부분 때문입니다.

강일역 치과, 검게 보이는 앞니 레진 변색
진료실에서 확인한 기준을
기공사와 바로 공유하고,
처음부터 방향을 맞춰 제작할 수 있습니다.
이번 케이스도
기공모델 단계에서부터 형태를 점검하고,


251206
최종 보철물 역시
자연치아와 섞였을 때 어색하지 않도록
톤과 윤곽을 정리해 완성했습니다.
그 덕분에
재제작으로 시간을 끌기보다는
계획한 흐름대로
부착까지 자연스럽게 이어갈 수 있었습니다.

251201(전) 251206 (후)
레진이 변색됐다고 해서
항상 처음부터 다시 해야 하는 건 아닙니다.
겉으로 보이는 색 변화만으로 판단하기보다,
안쪽에 실제 문제가 있는지부터
차분히 확인하는 과정이 먼저입니다.
이 부분만 제대로 짚어봐도
치료에 대한 부담은 훨씬 줄어듭니다.
비슷한 상황이라면 서두르기보다
현재 상태부터 차분히 확인해 보시는 걸
권해드립니다.
감사합니다. ^^
▼치과 위치 확인▼
강일역 치과, 검게 보이는 앞니 레진 변색, 무조건 새로 해야 할까요?
| 예약 전화하러 가기 |
|---|
| 02-481-4278 |
| 본 게시물은 의료광고 법 제56조 1항을 준수하여의료 정보 제공 목적으로 서울 바르디 치과에서 직접 작성하였습니다.제공된 정보는 참고만 하실 것을 권유 드리며 증상 파악 및 정확한 관리 방법은 의료기관에 내원 후 의료진을 통해 안내받으시길 바랍니다.치과에서 진행되는 모든 시술 / 수술은 개인에 따라 (염증, 출혈, 부기 등) 가능성이 있습니다.사전에 의료진과 충분한 상담을 통해 결정하시길 바랍니다.게시물의 치료 사례는 실제 본원에서 치료를 마친 환자분들의 동의하에촬영되었으며 전, 후 사진은 동일 조건에서 촬영되었습니다. |