아카이브 요약
이 페이지의 역할
서울바르디치과의원의 네이버 블로그 원문을 보존한 아카이브 페이지입니다. 앞니마법사 카테고리의 50대 라미네이트, 앞니 벌어짐과 변색 고민 이렇게 해결했습니다. 글을 통해 병원의 한국어 정보 제공 방식과 진료 관련 안내 톤을 확인할 수 있습니다.
원문 검증
필요하면 원문 블로그와 병원 프로필로 바로 이동해 문맥을 다시 확인할 수 있습니다.
출처 아카이브 열기아카이브된 블로그 글
서울바르디치과의원 · Naver Blog
50대 라미네이트, 앞니 벌어짐과 변색 고민 이렇게 해결했습니다. 안녕하세요. 서울바르디치과 원장입니다. 50대에 접어들면 앞니를 바라보는 기준이 조금 달라집니다. 자녀 결혼식처럼 사진을 많이 찍게 되는 날이 있고, 동창회나 각종 모임에서 웃으며 대화할 자리도 잦아집니다. 이럴 때...
게시일
2025년 12월 18일
원문 기준으로 확인된 발행일입니다.
카테고리
앞니마법사
원문 블로그 카테고리를 정리해 함께 표시합니다.
이미지 수
11
현재 아카이브에 연결된 이미지 수입니다.
아카이브 요약
서울바르디치과의원의 네이버 블로그 원문을 보존한 아카이브 페이지입니다. 앞니마법사 카테고리의 50대 라미네이트, 앞니 벌어짐과 변색 고민 이렇게 해결했습니다. 글을 통해 병원의 한국어 정보 제공 방식과 진료 관련 안내 톤을 확인할 수 있습니다.
원문 검증
필요하면 원문 블로그와 병원 프로필로 바로 이동해 문맥을 다시 확인할 수 있습니다.
출처 아카이브 열기안녕하세요.
서울바르디치과 원장입니다.
50대에 접어들면
앞니를 바라보는 기준이 조금 달라집니다.
자녀 결혼식처럼
사진을 많이 찍게 되는 날이 있고,
동창회나 각종 모임에서
웃으며 대화할 자리도 잦아집니다.
이럴 때 앞니 사이가 벌어져 있거나
치아 색이 고르지 않게 보이면
괜히 한 번 더 신경이 쓰이기 시작합니다.
이번에 내원하신 환자분도
바로 이런 이유로 상담을 요청하셨습니다.
50대 라미네이트, 앞니 벌어짐과 변색 고민 이렇게 해결했습니다.

250220
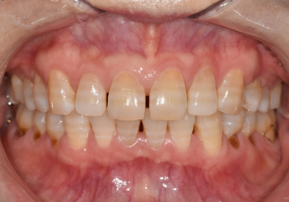
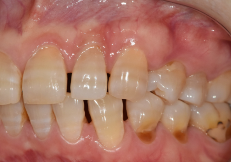
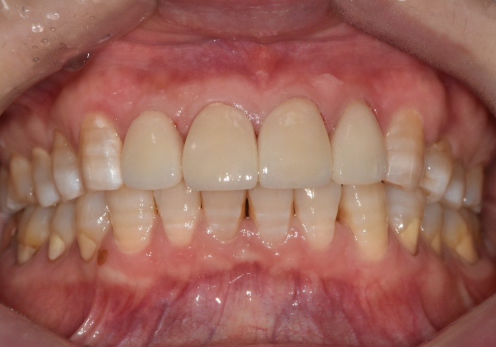
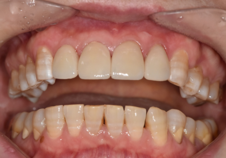
이 환자분은
앞니 사이가 벌어져 있고,
치아 전체가 어둡고 줄무늬처럼
얼룩져 보이는 상태였습니다.
과거에 사용됐던 항생제의 영향으로
치아 안쪽부터 색이 자리 잡은 경우였는데,
이런 변색은 겉면만 하얗게 하는 미백으로는
개선이 어렵습니다.

250220
마치 흰 셔츠에 커피를 쏟아 생긴 얼룩은
빨래로 지울 수 있어도,
원단 자체가 누렇게 바랜 느낌은
세탁만으로 해결이 안 되는 것과 비슷합니다.
앞니 벌어짐, 레진으로 메우면 안 될까요?
50대 라미네이트, 앞니 벌어짐과 변색 고민 이렇게 해결했습니다.
앞니 사이 공간만 보면
레진으로 메우는 치료도
충분히 가능해 보일 수 있습니다.
하지만 이 환자분처럼
치아 색이 줄무늬처럼 고르지 않은 경우에는,
치아 색에 맞춘 레진을 사용해도
붙인 부분만 유독 튀어 보일 수 있습니다.

250220
마치 무늬가 있는 벽지 한가운데에
단색 종이를 붙여 놓은 것처럼,
고친 부분이 오히려
더 눈에 띄는 상황이 되는 겁니다.
그래서 이럴 때는
단순히 공간만 채우는 치료보다는
전체적인 색과 인상을 함께 정리하는 쪽이
결과적으로 만족도가 높아집니다.
크라운이 아니라 라미네이트를 선택한 이유
50대 라미네이트, 앞니 벌어짐과 변색 고민 이렇게 해결했습니다.
이 환자분은
다른 치과에서 레진으로는 어렵고
크라운 치료를 권유받으신 적도 있었습니다.
하지만 앞니를 많이 깎는 것에 부담을 느끼고
치료를 미뤄오셨다고 하셨습니다.
앞니는 평생 써온 치아이기도 하고,
한 번 삭제하면 되돌릴 수 없기 때문에
쉽게 결정내리기 어려울 수 밖에 없죠.
다행히 이 환자분은
교합에 큰 문제가 없었고,


250220
앞니 벌어짐과 색 개선이
주된 목적이었기 때문에
치아 삭제를 최소화하면서
심미적인 개선이 가능한
라미네이트가 잘 맞는 케이스였습니다.
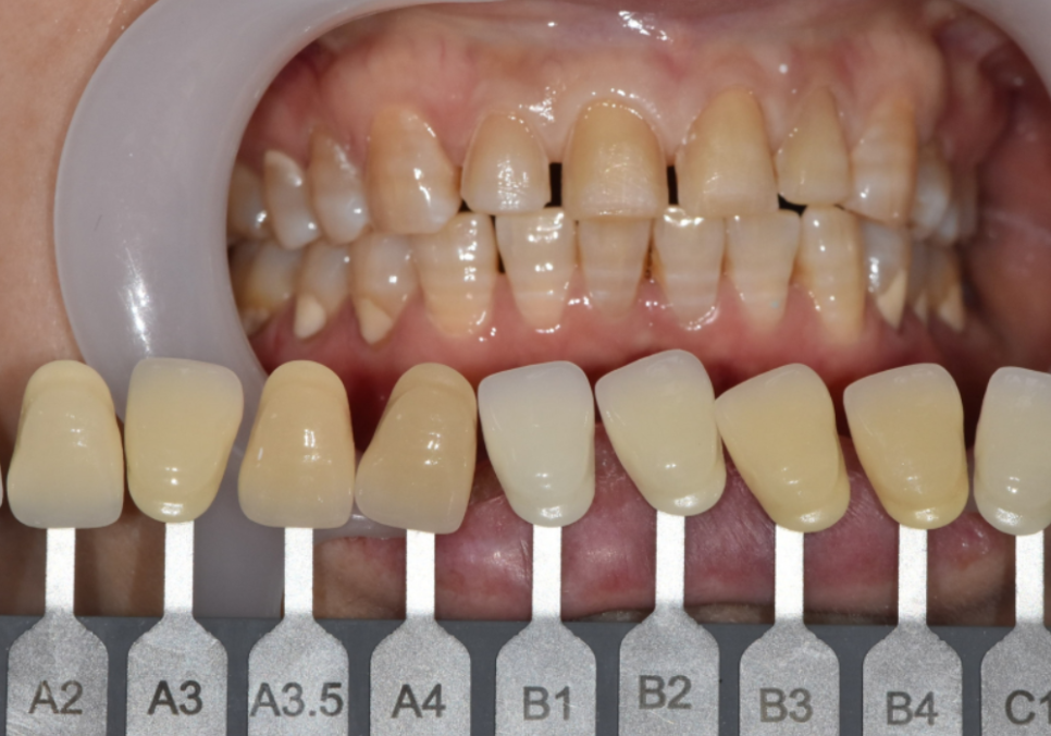
라미네이트는 '하얗게'보다 '조화롭게'가 기준입니다
50대 라미네이트, 앞니 벌어짐과 변색 고민 이렇게 해결했습니다.
라미네이트 상담하다 보면
"하얗게 해주세요"
이렇게 말씀하시는 분들도 계십니다.
하지만 실제로 가장 예쁘고 자연스러운 결과는
옆 치아들과 조화를 이루며
색과 형태가 정리된 경우입니다.
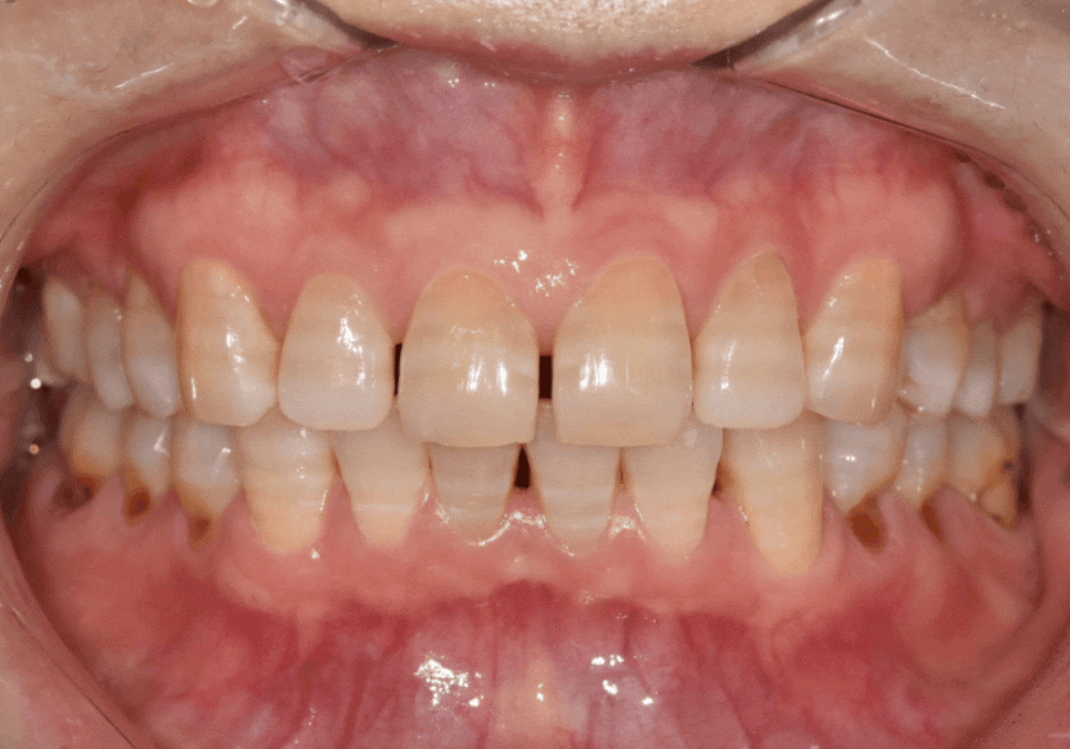
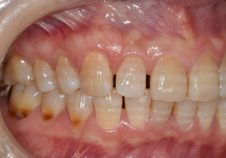
이번 치료에서도
눈에 띄게 밝히기보다는
벌어진 공간을 정리하면서
전체 치아 톤이 균일하고
편안해 보이도록 계획을 세웠습니다.

250220
앞니는 특히
조금만 과해도 바로 티가 나기 때문에
'크게 바꾸는 것'보다
'어색하지 않게 맞추는 것'이 더 중요합니다.
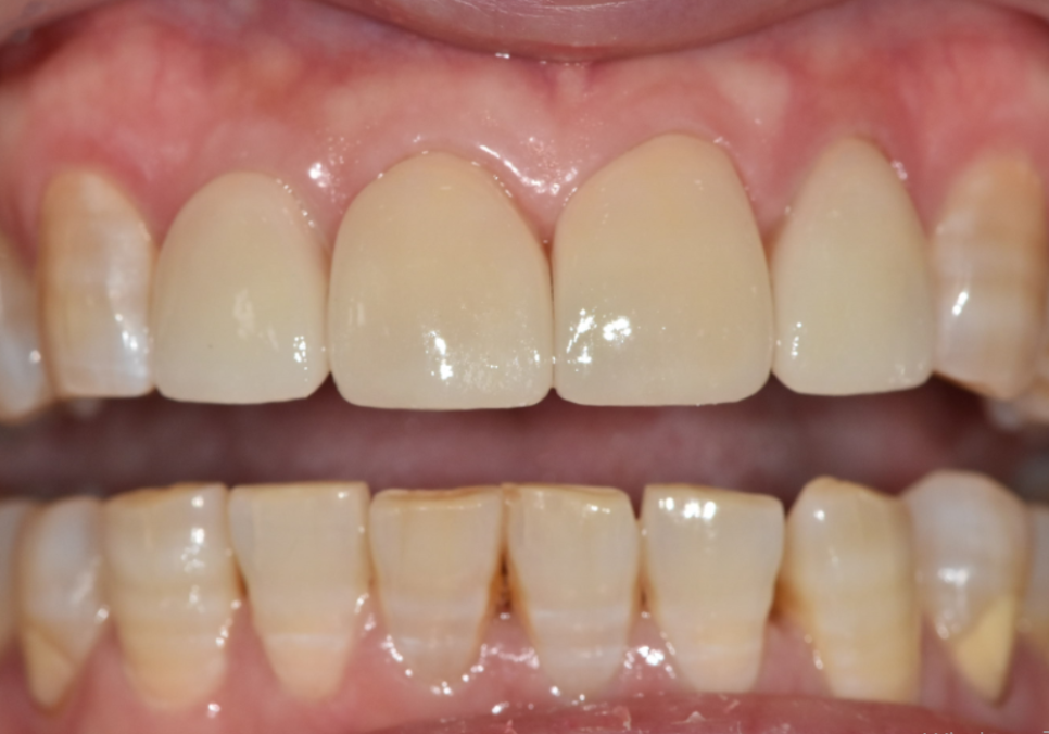
원내기공소가 체감되는 순간은
바로 이때였습니다
50대 라미네이트, 앞니 벌어짐과 변색 고민 이렇게 해결했습니다.
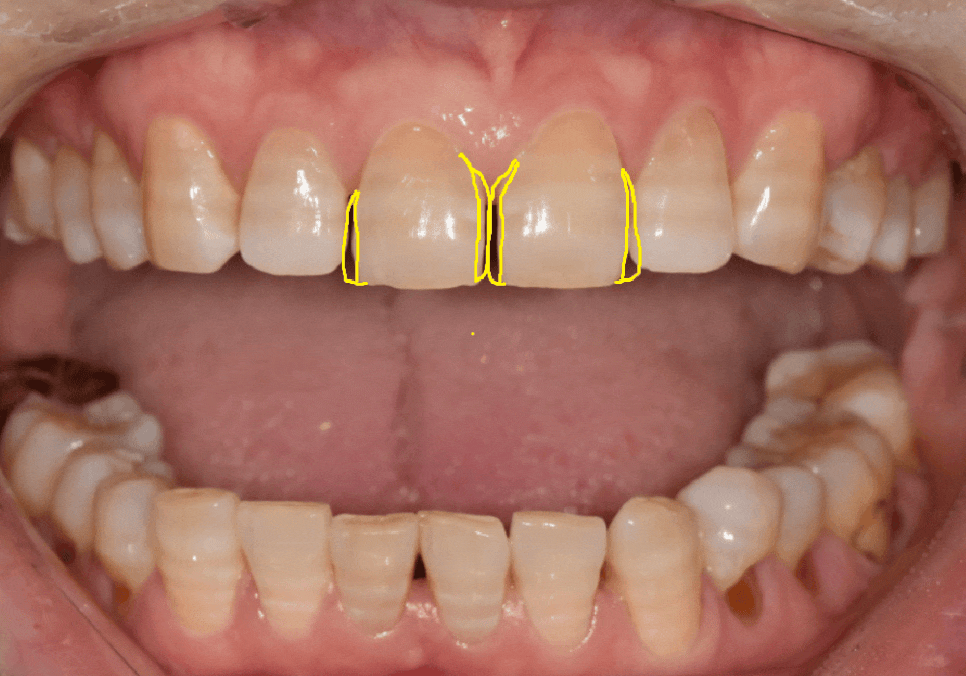
처음 나온 기공물을 입안에 시적해 보니
색감이나 크기, 전체적인 형태는
충분히 잘 나온 상태였습니다.

250228
환자분도 큰 불편 없이
받아들이실 수 있는 모습이었고,
어찌 보면 그대로 진행해도
무리는 없었을 상황이었습니다.
다만 앞니이다 보니
저는 한 번 더 보게 되더군요.

250228
잇몸 라인을 따라 내려오는 윤곽이
조금 둔해 보였고,
이 부분만 조금 더 정리되면
훨씬 자연스럽고
깔끔한 인상이 될 것 같다는
생각이 들었습니다.
이런 작은 차이가 결과를 좌우한다고
저는 생각합니다.
그래서 바로
원내 기공소와 상의해
형태를 조금 더 날렵하게 수정했고,
환자분께 다시 확인을 드린 뒤
그날 바로 최종 부착까지 진행할 수 있었습니다.
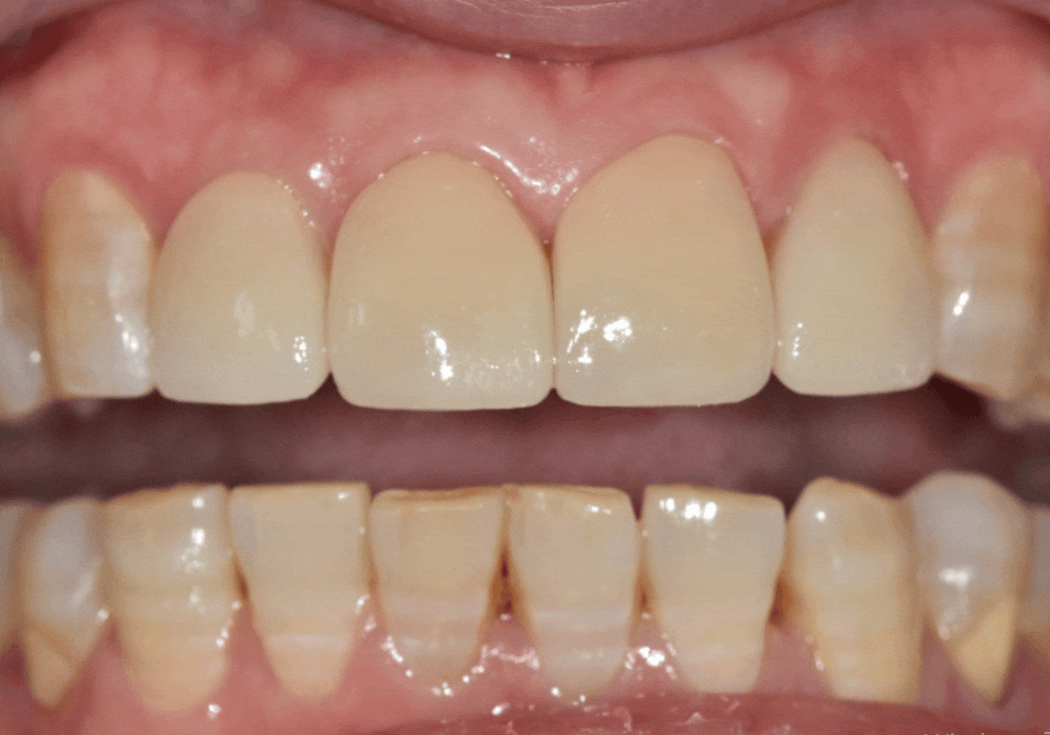
50대 라미네이트, 앞니 벌어짐과 변색 고민 이렇게 해결했습니다.

250228
만약 외부 기공소였다면
다시 보내고, 수정하고, 받기까지
적어도 며칠은
더 걸렸을 과정입니다.
원내기공소가 있기 때문에
환자분께서 기다리시는 동안
당일 수정이 가능했고,
치료 흐름을 끊지 않고
마무리할 수 있었습니다.
겉으로는 잘 보이지 않을 수 있지만,
이런 세심한 과정들이 쌓여
앞니 라미네이트의
완성도를 만든다고 생각합니다.


250228
50대 라미네이트는
젊을 때처럼 큰 변화를 주기 위한 치료라기보다,
지금의 얼굴과 분위기에
자연스럽게 어울리도록
정리하는 치료에 가깝습니다.
앞니가 벌어져 있거나
색이 고르지 않아
계속 마음에 걸리고 있었다면,
무조건 크라운이나
큰 치료부터 떠올리기보다
가장 부담이 적고
자연스러운 방법이 무엇인지
한 번쯤은 차분히 정리해 보셔도 좋겠습니다.
오늘도 긴 글 읽어주셔서
감사합니다. ^^
▼치과 위치 확인▼
50대 라미네이트, 앞니 벌어짐과 변색 고민 이렇게 해결했습니다.
| 예약 전화하러 가기 |
|---|
| 02-481-4278 |
| 본 게시물은 의료광고 법 제56조 1항을 준수하여의료 정보 제공 목적으로 서울 바르디 치과에서 직접 작성하였습니다.제공된 정보는 참고만 하실 것을 권유 드리며 증상 파악 및 정확한 관리 방법은 의료기관에 내원 후 의료진을 통해 안내받으시길 바랍니다.치과에서 진행되는 모든 시술 / 수술은 개인에 따라 (염증, 출혈, 부기 등) 가능성이 있습니다.사전에 의료진과 충분한 상담을 통해 결정하시길 바랍니다.게시물의 치료 사례는 실제 본원에서 치료를 마친 환자분들의 동의하에촬영되었으며 전, 후 사진은 동일 조건에서 촬영되었습니다. |