아카이브 요약
이 페이지의 역할
서울바르디치과의원의 네이버 블로그 원문을 보존한 아카이브 페이지입니다. 앞니마법사 카테고리의 잇몸 까매짐 원인,증상,치료 방법 오래전에 앞니 씌운 곳 잇몸이 까매졌어요. 글을 통해 병원의 한국어 정보 제공 방식과 진료 관련 안내 톤을 확인할 수 있습니다.
원문 검증
필요하면 원문 블로그와 병원 프로필로 바로 이동해 문맥을 다시 확인할 수 있습니다.
출처 아카이브 열기아카이브된 블로그 글
서울바르디치과의원 · Naver Blog
잇몸 까매짐 원인,증상,치료 방법 오래전에 앞니 씌운 곳 잇몸이 까매졌어요. 안녕하세요. 서울바르디치과 원장입니다. "예전에 앞니 씌운 곳이 잇몸이 점점 검게 변하고 냄새까지 나요. 다시 해야 될까요?" 많은 분들이 단순히 보철물만 교체하면 된다고 생각하시지만, 사실 크라운 안쪽 상태에 따라...
게시일
2025년 12월 22일
원문 기준으로 확인된 발행일입니다.
카테고리
앞니마법사
원문 블로그 카테고리를 정리해 함께 표시합니다.
이미지 수
15
현재 아카이브에 연결된 이미지 수입니다.
아카이브 요약
서울바르디치과의원의 네이버 블로그 원문을 보존한 아카이브 페이지입니다. 앞니마법사 카테고리의 잇몸 까매짐 원인,증상,치료 방법 오래전에 앞니 씌운 곳 잇몸이 까매졌어요. 글을 통해 병원의 한국어 정보 제공 방식과 진료 관련 안내 톤을 확인할 수 있습니다.
원문 검증
필요하면 원문 블로그와 병원 프로필로 바로 이동해 문맥을 다시 확인할 수 있습니다.
출처 아카이브 열기안녕하세요.
서울바르디치과 원장입니다.
"예전에 앞니 씌운 곳이
잇몸이 점점 검게 변하고
냄새까지 나요.
다시 해야 될까요?"
많은 분들이 단순히 보철물만
교체하면 된다고 생각하시지만,
사실 크라운 안쪽 상태에 따라
치료 방향이 완전히 달라집니다.
특히 10년 이상 된 보철물이라면
겉은 멀쩡해 보여도
안쪽에서 문제가 진행되고 있을
가능성이 높습니다.
오늘은
오래된 앞니 크라운으로
잇몸이 검게 보이고
냄새까지 느끼셨던 환자분 사례를 통해,
어떤 경우엔
크라운 교체로 해결되는지,
어떤 경우엔 발치 후
임플란트까지 필요한지
차근차근 설명드리겠습니다. ^^
잇몸이 검게 변하는 이유
잇몸 까매짐 원인,증상,치료 방법
PFM 도자기 계열 보철물은
안쪽에 금속 구조물이 들어가 있습니다.
처음엔 잇몸으로 가려져 있지만
시간이 지나면서

잇몸 까매짐 원인,증상,치료 방법
잇몸이 조금씩 내려가면
안쪽 금속 테두리가 비쳐 보이면서
검게 보일 수 있어요.
이 경우엔 치아 자체는 건강하다면
단순히 심미적인 문제이기 때문에
안에 금속이 없는 지르코니아 크라운이나
올세라믹 크라운으로 교체하면 해결됩니다.
문제는 이쪽입니다.
크라운과 치아 사이 틈으로
세균이 들어가면서 안쪽에서
충치가 조용히 진행되는 경우죠.

잇몸 까매짐 원인 2차 충치로 인해 틈이 나타난 상태
특히 신경치료를 한 치아는
통증을 느끼지 못하기 때문에
충치가 상당히 진행된 후에야
냄새나 흔들림으로
알게 되는 경우가 많습니다.
크라운 주변에서 냄새가 나거나
씹을 때 미세하게 흔들리는 느낌이 들거나,
잇몸이 자주 붓거나 피가 난다면
꼭 확인이 필요합니다.
오래전 씌운 치아, 잇몸이 까매져 내원한
환자분 사례
잇몸 까매짐 원인,증상,치료 방법
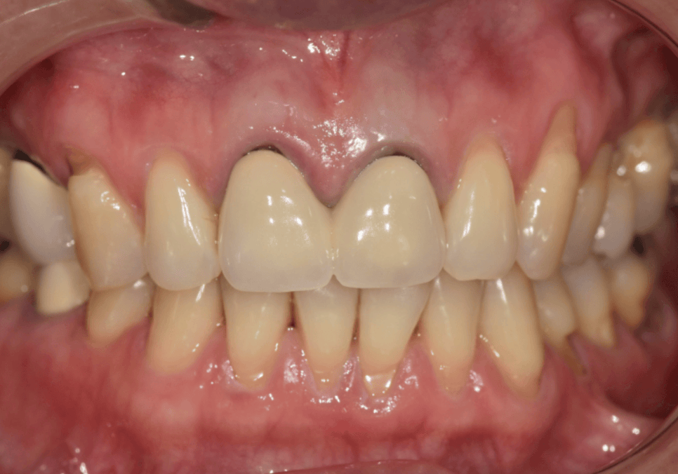
이 환자분은 오래 전에
앞니 2개(#11, #21)와
윗니 어금니 1개(#15)에
PFM 크라운을 씌우셨다고 합니다.


250513
그런데 시간이 점점 지나면서
잇몸이 까매지더니
요즘엔 냄새까지 난다며
걱정스러운 표정으로 내원하셨습니다.

250513
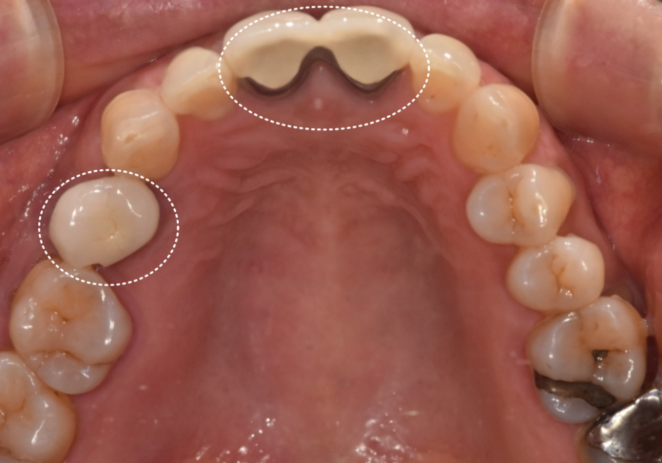
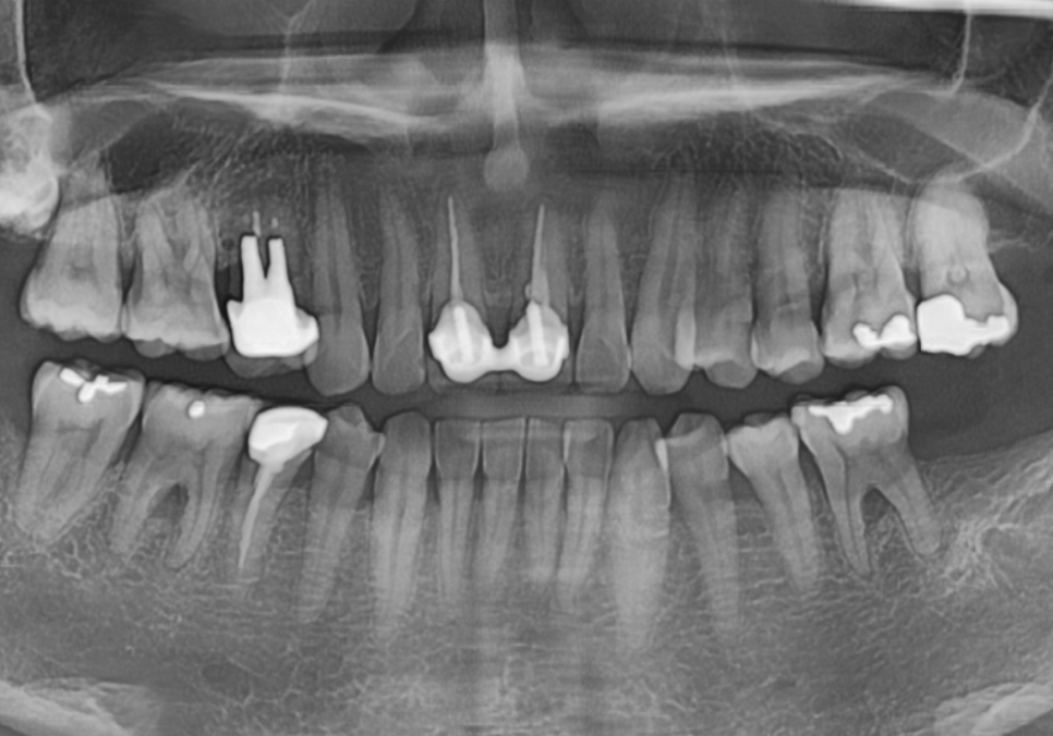
방사선 사진을 확인해 보니
예상보다 상태가 좋지 않았습니다.
신경치료 후 포스트(금속 기둥)까지
해둔 상태였고 뿌리 쪽으로
2차 충치가 상당히 진행되었습니다.
포스트까지 해두셨다는 건
크라운을 제작 당시,
치아 손상이 컸다는 것을 뜻하는데요.

250513
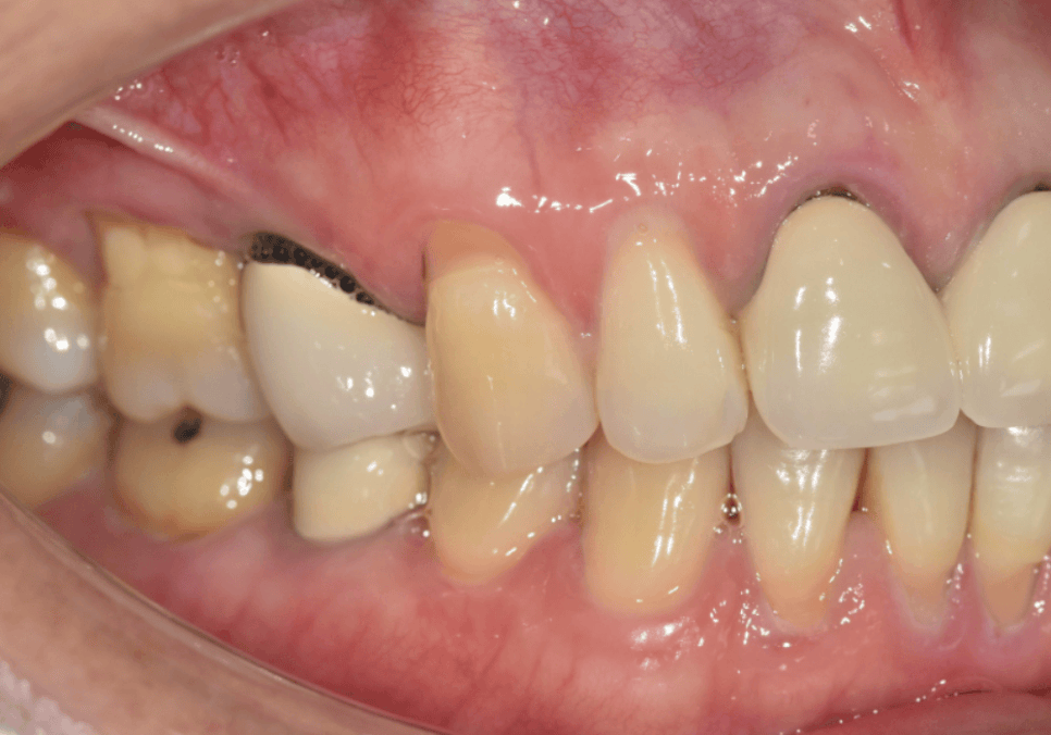
치아를 흔들어보니
안쪽이 많이 삭아,
약간의 흔들림까지 있었죠.
크라운을 제거하면 치아가 부러질
가능성이 높은 상태였기 때문에
재치료보다는 발치 후 임플란트가
더 안전하고 오래 쓰실 수 있는 방법이라고
환자분께 솔직하게 상태를 설명드렸습니다.
다행히 염증 소견은 없었기 때문에
발치와 동시에 임플란트를 식립하는
'즉시 식립' 방식으로 진행할 수 있었습니다.
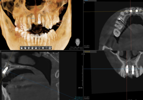
CT로 정확한 위치
확인 후 식립
잇몸 까매짐 원인,증상,치료 방법


250520
앞니는 심미적으로
가장 중요한 부위입니다.
어금니도 물론 중요하지만,
앞니는 식립 각도와 깊이가
조금만 어긋나도
최종 보철이 부자연스럽게 보일 수 있고
심할 경우 잘못된 식립 각도로 인해
임플란트가 파절될 수도 있습니다.
그래서 저는 식립 전 CT로
정밀하게 계획을 세우고


250520
식립 후에도 촬영해서 의도한 대로
정확하게 들어갔는지 한 번 더 확인합니다.
이런 과정이 번거로워 보일 수 있지만,
환자분께 오래 쓰실 수 있는 결과를
드리기 위해 꼭 필요한 단계라고 생각해서
더욱 꼼꼼하게 확인합니다.^^

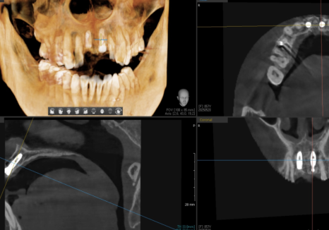
250609
임플란트 기간 동안
앞니 없이 어떻게 생활하나요?
잇몸 까매짐 원인,증상,치료 방법
임플란트가 뼈와 단단히 붙으려면
약 3~4개월 정도 기다려야 합니다.

250906
그동안 앞니가 없으면
사회생활이 어려우시죠.
와이어템은 틀니처럼 뺐다 꼈다 하는
임시 장치입니다.

임플란트 부위에 힘이 가해지지 않도록
가볍게 걸쳐두는 형태라
식사나 양치 시에는 빼두시고
외출하실 때만 착용하시면 됩니다.
가까이서 자세히 보지 않는 이상
티가 거의 나지 않아서
일상생활에 큰 불편 없이 지내실 수 있어요.
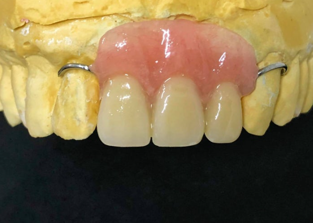
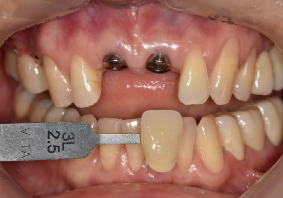
최종 보철 제작
잇몸 까매짐 원인,증상,치료 방법
4개월 후 임플란트가 뼈와 잘 유착되었는지
확인하기 위해 기계로 수치를 재어본 뒤
높은 수치가 나온 것을 확인하고
보철을 제작하기 위해 본을 뜹니다.
저희 병원은 원내 기공실이 있어서
보철 제작 과정에서 미세한 부분들을
즉시 조정하고 소통할 수 있기 때문에
외부 기공소로 보낼 때보다
색상이나 형태 재현도가 훨씬 정확합니다.

250906
특히 앞니는 자연광에서 봤을 때
주변 치아와 자연스럽게 어우러져야 하는데
사진만으로는 미세한 색 차이를
구현하기 어렵거든요.

250919
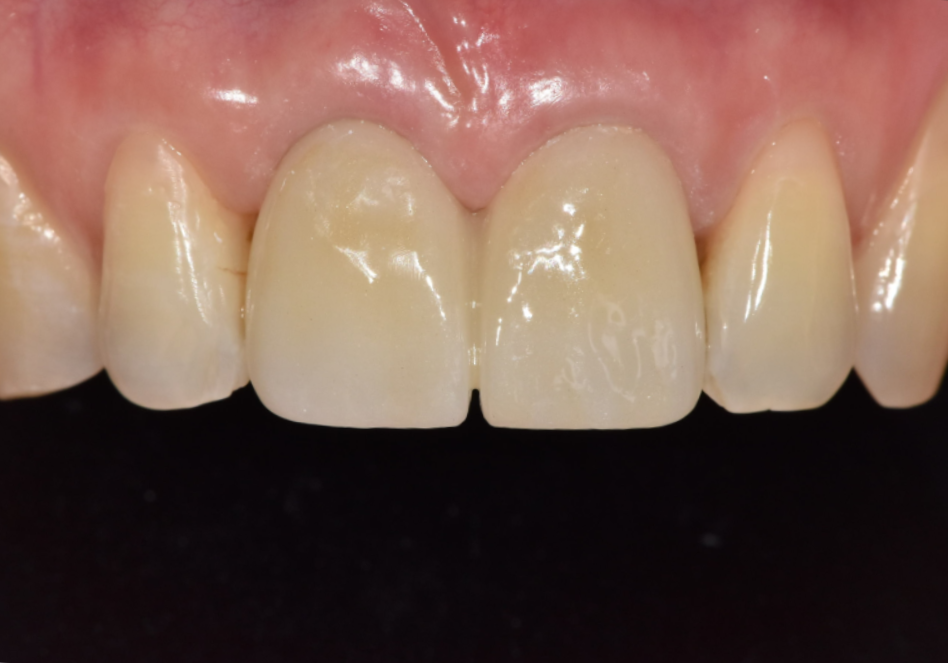
이후 최종 보철물을 제작해서 부착했고,
환자분은 잇몸 색도 자연스럽게 회복되고
냄새도 사라졌다고 하셨습니다.
오래된 크라운으로
잇몸 변색이나 냄새 때문에
고민하고 계신 분들이 많습니다.
하지만 "괜찮겠지"라며 미루시다가
치아 상태가 더 나빠져서 오시는 경우도 있어요.
치아 상태에 따라
단순 크라운 교체로 해결될 수도 있고
오늘 사례처럼 임플란트가
더 나은 선택일 수도 있습니다.
중요한 건, 정확한 진단을 바탕으로
환자분께 가장 적합한 치료를
선택하는 것입니다.
궁금하신 점 있으시면
댓글 남겨 주세요.
오늘도 긴 글 읽어주셔서 감사합니다.^^
▼치과 위치 확인▼
잇몸 까매짐 원인,증상,치료 방법 오래전에 앞니 씌운 곳 잇몸이 까매졌어요.
| 예약 전화하러 가기 |
|---|
| 02-481-4278 |
| 본 게시물은 의료광고 법 제56조 1항을 준수하여의료 정보 제공 목적으로 서울 바르디 치과에서 직접 작성하였습니다.제공된 정보는 참고만 하실 것을 권유 드리며 증상 파악 및 정확한 관리 방법은 의료기관에 내원 후 의료진을 통해 안내받으시길 바랍니다.치과에서 진행되는 모든 시술 / 수술은 개인에 따라 (염증, 출혈, 부기 등) 가능성이 있습니다.사전에 의료진과 충분한 상담을 통해 결정하시길 바랍니다.게시물의 치료 사례는 실제 본원에서 치료를 마친 환자분들의 동의하에촬영되었으며 전, 후 사진은 동일 조건에서 촬영되었습니다. |