아카이브 요약
이 페이지의 역할
서울바르디치과의원의 네이버 블로그 원문을 보존한 아카이브 페이지입니다. 앞니마법사 카테고리의 고덕동 임플란트, 튀어나온 앞니, 비용은 줄이고 자연스럽게 개선한 실제 사례 글을 통해 병원의 한국어 정보 제공 방식과 진료 관련 안내 톤을 확인할 수 있습니다.
원문 검증
필요하면 원문 블로그와 병원 프로필로 바로 이동해 문맥을 다시 확인할 수 있습니다.
출처 아카이브 열기아카이브된 블로그 글
서울바르디치과의원 · Naver Blog
고덕동 임플란트, 튀어나온 앞니, 비용은 줄이고 자연스럽게 개선한 실제 사례 안녕하세요. 서울바르디치과 원장입니다. 임플란트 비용에 대한 부담이 예전보다 줄었다고 해도, 막상 치료를 고민하실 때 비용이 여전히 걱정되는 건 사실입니다. 오늘은 흔들리고 튀어나와 보이던 앞니를 ...
게시일
2025년 12월 23일
원문 기준으로 확인된 발행일입니다.
카테고리
앞니마법사
원문 블로그 카테고리를 정리해 함께 표시합니다.
이미지 수
16
현재 아카이브에 연결된 이미지 수입니다.
아카이브 요약
서울바르디치과의원의 네이버 블로그 원문을 보존한 아카이브 페이지입니다. 앞니마법사 카테고리의 고덕동 임플란트, 튀어나온 앞니, 비용은 줄이고 자연스럽게 개선한 실제 사례 글을 통해 병원의 한국어 정보 제공 방식과 진료 관련 안내 톤을 확인할 수 있습니다.
원문 검증
필요하면 원문 블로그와 병원 프로필로 바로 이동해 문맥을 다시 확인할 수 있습니다.
출처 아카이브 열기안녕하세요.
서울바르디치과 원장입니다.
임플란트 비용에 대한 부담이
예전보다 줄었다고 해도,
막상 치료를 고민하실 때
비용이 여전히
걱정되는 건 사실입니다.
오늘은
흔들리고 튀어나와 보이던 앞니를
보험 임플란트로 진행해
비용 부담을 낮추면서,
앞니 라인까지 자연스럽게 정리한
60대 환자분 사례를 소개해 드리겠습니다.^^
튀어나온 앞니, 임플란트로 개선한 60대 환자분
고덕동 임플란트, 튀어나온 앞니, 비용은 줄이고 자연스럽게 개선한 실제 사례
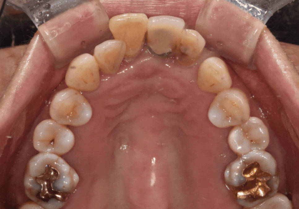
이 환자분은 “앞니가 흔들린다"는
불편감으로 오셨습니다.
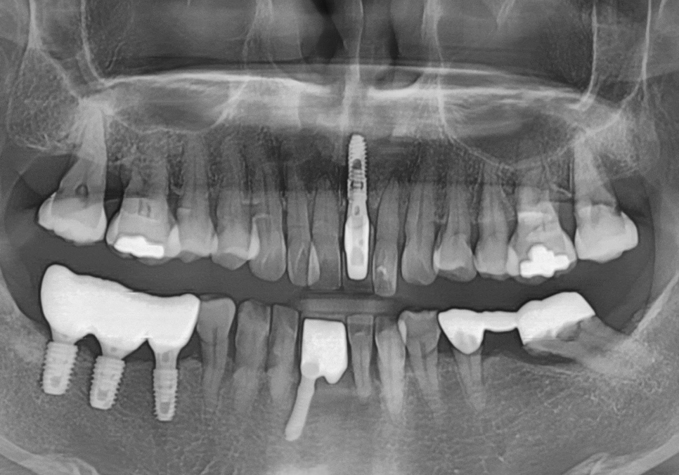
확인해 보니 왼쪽 앞니는
오래전에 이미 임플란트를 해두신 상태였고,


230826
임플란트 양옆의 치아가
흔들리는 상황이었습니다.
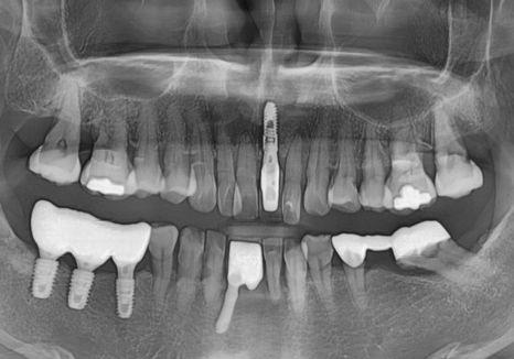
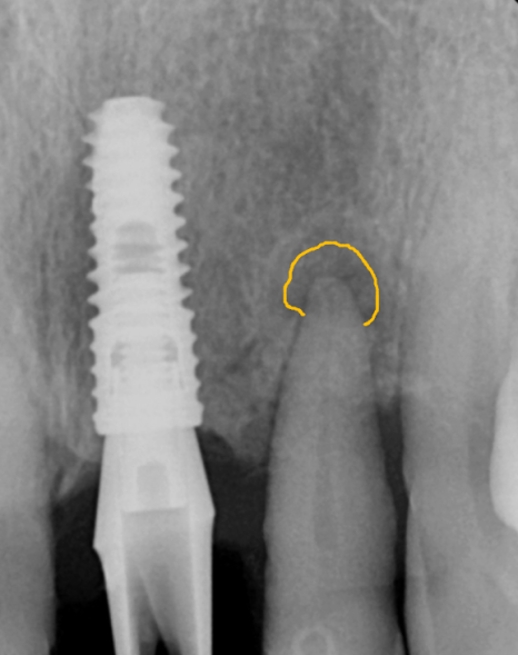
방사선 사진상,
치아 뿌리끝 염증도 진행되었고
뼈가 녹아 흔들림도 있던 상태라


231107 뿌리 끝 염증으로 뼈가 녹은 모습
발치 후 임플란트 방향으로
계획을 잡았습니다.
비용 부담을 낮춘 보험 임플란트 계획
고덕동 임플란트, 튀어나온 앞니, 비용은 줄이고 자연스럽게 개선한 실제 사례
환자분께서 특히
가장 많이 걱정하신 건
임플란트 비용이었는데요,
다행히 이 환자분은 조건이 맞아,
건강보험 임플란트 2개가 가능했습니다.
현재 2025년 기준으로는
보험 임플란트 비용은
보통 1개당 40~50만 원대로
비용 부담을 현실적으로 줄일 수 있었습니다.
다만, 뼈 상태가 좋지 않으면 뼈이식이나
경우에 따라 맞춤형 기둥이 필요할 수 있는데,
이런 항목은 별도 비용이 발생할 수 있어
치료 계획 단계에서 함께 설명드렸습니다.
( ↓보험 임플란트, 추가비용이 왜 나오나요?)
CT 진단 + 모의수술로 “각도와 위치” 확인
고덕동 임플란트, 튀어나온 앞니, 비용은 줄이고 자연스럽게 개선한 실제 사례
앞니 임플란트는
식립 위치와 각도가 결과를 좌우합니다.
조금만 달라도 보철이 앞으로 도드라져 보여
튀어나온 듯한 느낌이 들 수 있거든요.
그래서 저는 CT로 뼈 두께와
뼈 상태를 먼저 확인하고,
컴퓨터로 모의수술(가상 수술 계획)을 진행합니다.

231107
어느 위치에, 어느 각도로 들어가야
심미적으로 자연스럽고
기능적으로도 무리 없이 버티는지
수술 전에 미리 설계해두는 과정입니다.
이런 준비 덕분에 실제 수술에서도
계획했던 위치와 각도에 가깝게
차분하게 진행할 수 있었습니다. ^^
뼈이식을 동반한 임플란트 수술
고덕동 임플란트, 튀어나온 앞니, 비용은 줄이고 자연스럽게 개선한 실제 사례
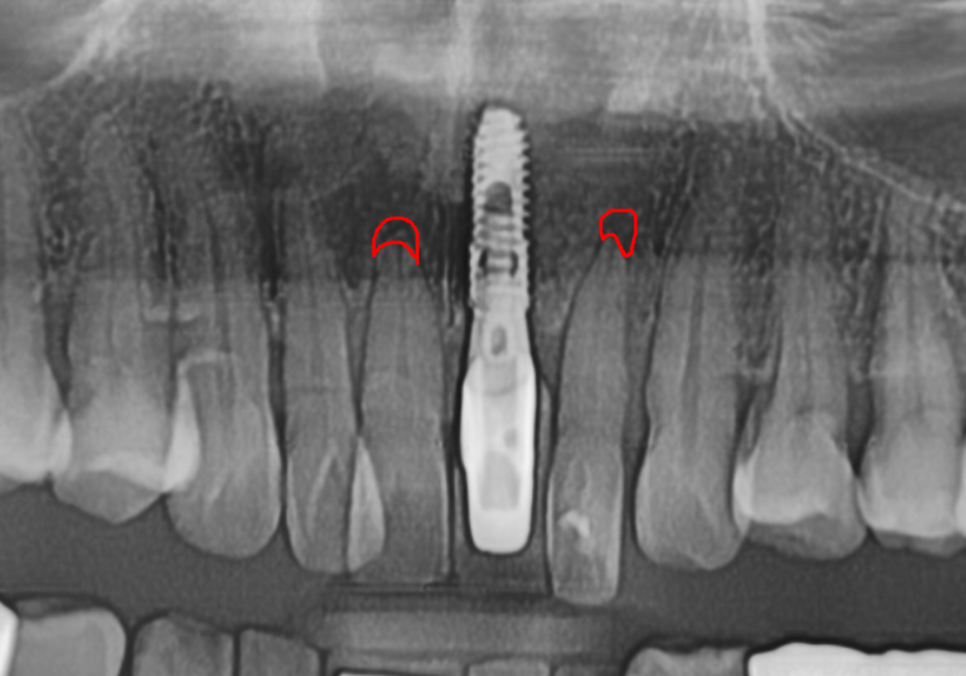
방사선 사진상, 뿌리끝 염증으로
뼈가 녹은 부위가 있었고,
뼈 폭도 얇아 임플란트만 식립하기엔
무리가 있어 보였습니다.

231107
그래서 뼈이식과 함께
임플란트 수술을 진행하는 것으로
계획을 세웠습니다.
뿌리끝 염증이 있던 케이스는
염증 조직(육아조직)을
남기지 않는 게 정말 중요합니다.
이 염증조직들을
제대로 제거하지 않으면
애써 심어 놓은 임플란트도
이 녀석들 때문에
뼈가 녹아 문제가 생기거든요.
그래서 잇몸을 절개한 뒤
염증 조직을 직접 눈으로
확인하며 깔끔하게 제거했고,
깨끗해진 뼈에
뼈이식을 충분히 시행했습니다.

231107
이때 차폐막(멤브레인)도
함께 적용했는데요,
차폐막은
연조직이 먼저 들어와
자리를 채우는 걸 막고,
뼈가 자랄 공간을 확보해 주는
보호막 역할을 합니다.

231107
즉, 뼈가 재생되는 동안
"뼈가 잘 굳게 도와주는 방패막"
이라고 이해하시면 됩니다.

231107
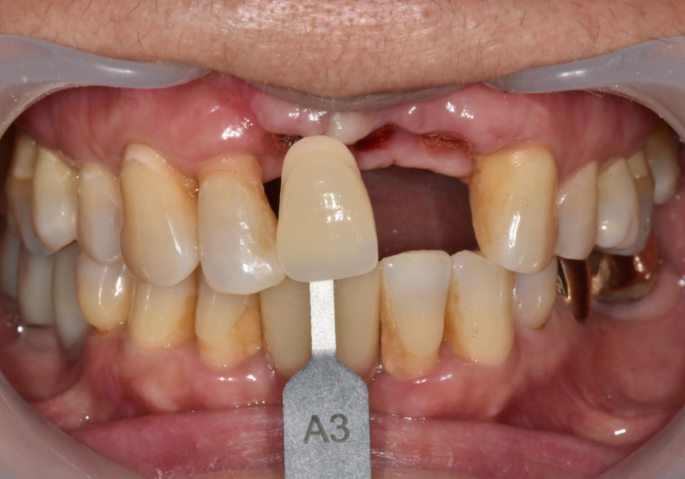
그런데, 한 가지 문제가 있었습니다.
고덕동 임플란트, 튀어나온 앞니, 비용은 줄이고 자연스럽게 개선한 실제 사례
문제는 기존 임플란트 보철이
예전 치아 배열 기준으로
제작돼 있었다는 점이었는데요,
그 보철을 기준으로 새 보철을 맞추면
최종 결과가 다시
앞니가 튀어나와 보이는 형태로
갈 가능성이 있었습니다.

230826
그래서 기존 임플란트는
고정체(뿌리)는 그대로 두고,
보철만 제거한 뒤,
앞니 라인을
덜 도드라져 보이도록
다시 설계했습니다.

231120
기존 임플란트를 활용해
살릴 수 있는 건 살리고
투입 대비 효과를 극대화하는 방식으로
비용을 더 줄일 수 있었습니다.
컴퓨터로 본뜨는 편안한 과정
고덕동 임플란트, 튀어나온 앞니, 비용은 줄이고 자연스럽게 개선한 실제 사례
약 4개월 뒤 임플란트 뿌리와 뼈가 잘
붙었는지 확인 후,
보철을 제작하기 위해
임플란트 본을 뜹니다.
저희 병원은 구강 스캐너를 사용해
컴퓨터로 정밀하게
스캔 데이터를 채득하는데요.

240307
예전처럼 고무 인상재로 본을 뜰 때
헛구역질 때문에 힘드셨던 분들도,
스캔 방식은 컴퓨터로 본을 뜨기 때문에
상대적으로 편하게 느끼시는
경우가 많습니다. ^^
임플란트 크라운, 환자분의 만족도를 위해 바로 올리지 않습니다.
고덕동 임플란트, 튀어나온 앞니, 비용은 줄이고 자연스럽게 개선한 실제 사례
이 환자분의 경우,
치아 공간이 빠듯해서
앞니 크기 배분이 애매해 보였습니다.

240307
앞니처럼 심미가 중요한 부위는
환자분마다 자연스럽다고 느끼는
기준이 조금씩 다릅니다.
그래서 저는 환자분 개개인의
니즈에 맞춰 제작하는 걸
가장 우선으로 생각합니다.

240325
그래서 최종 보철 전,
임시치아를 2가지 디자인으로 제작해
환자분이 직접 보시고
선택하실 수 있게 안내드렸습니다.
이 과정이 최종 만족도를
좌우하는 경우가 많아서,
번거롭더라도 최종 보철 전에
한 번 더 확인하는 단계를 꼭 거치는 편입니다.
그래야 환자분이 원하시는 느낌에
더 가깝게 제작할 수 있고,
완성 후 "생각했던 것과 달라요" 같은 아쉬움도
줄일 수 있거든요. ^^
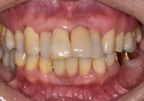
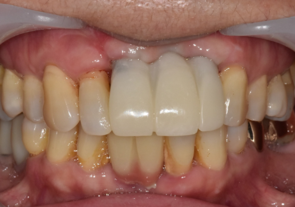
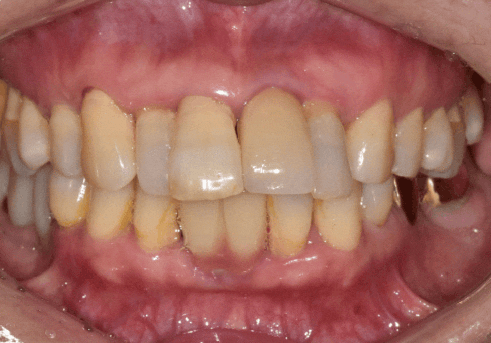
드디어 완성된 최종 보철물.

230826(전) 240619(후)
최종 보철은 형태와
색이 자연스럽게 정리됐고,
앞니가 도드라져 보이던 느낌도
부드럽게 잡혔습니다.

230826(전) 240619(후)
같은 증상이더라도
원인에 따라 치료 방향이 달라질 수 있습니다.
앞니가 흔들리거나 튀어나와 보인다면,
먼저 정밀 검사로 현재 상태를 확인하고
가장 무리 없는 방법부터 차근차근
함께 정리해 드리겠습니다.
감사합니다. ^^
▼치과 위치 확인▼
고덕동 임플란트, 튀어나온 앞니, 비용은 줄이고 자연스럽게 개선한 실제 사례
| 예약 전화하러 가기 |
|---|
| 02-481-4278 |
| 본 게시물은 의료광고 법 제56조 1항을 준수하여의료 정보 제공 목적으로 서울 바르디 치과에서 직접 작성하였습니다.제공된 정보는 참고만 하실 것을 권유 드리며 증상 파악 및 정확한 관리 방법은 의료기관에 내원 후 의료진을 통해 안내받으시길 바랍니다.치과에서 진행되는 모든 시술 / 수술은 개인에 따라 (염증, 출혈, 부기 등) 가능성이 있습니다.사전에 의료진과 충분한 상담을 통해 결정하시길 바랍니다.게시물의 치료 사례는 실제 본원에서 치료를 마친 환자분들의 동의하에촬영되었으며 전, 후 사진은 동일 조건에서 촬영되었습니다. |